CCL4 Antibody
-
中文名稱:CCL4兔多克隆抗體
-
貨號:CSB-PA193639
-
規格:¥1100
-
圖片:
-
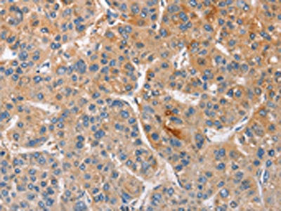
The image on the left is immunohistochemistry of paraffin-embedded Human liver cancer tissue using CSB-PA193639(CCL4 Antibody) at dilution 1/40, on the right is treated with fusion protein. (Original magnification: ×200)
-
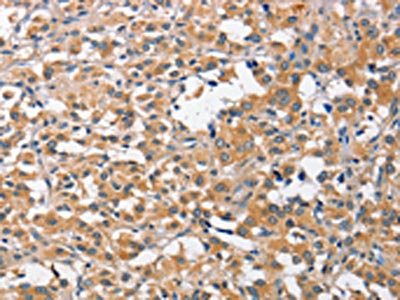
The image on the left is immunohistochemistry of paraffin-embedded Human thyroid cancer tissue using CSB-PA193639(CCL4 Antibody) at dilution 1/40, on the right is treated with fusion protein. (Original magnification: ×200)
-
-
其他:
產品詳情
-
Uniprot No.:
-
基因名:
-
別名:MIP 1 beta antibody; Secreted protein G 26 antibody; ACT 2 antibody; ACT-2 antibody; ACT2 antibody; AT744.1 antibody; AT744.2 antibody; C C motif chemokine 4 antibody; C C motif chemokine 4 like antibody; C C motif chemokine ligand 4 like 1 antibody; C C motif chemokine ligand 4 like 2 antibody; CC chemokine ligand 4 antibody; CC chemokine ligand 4L1 antibody; CC chemokine ligand 4L1d2 antibody; CC chemokine ligand 4L2 antibody; CCL4 antibody; CCL4_HUMAN antibody; ccl4l 1 antibody; CCL4L antibody; CCL4L1 antibody; Chemokine (C C motif) ligand 4 antibody; Chemokine (C C motif) ligand 4 like 1 antibody; Chemokine (C C motif) ligand 4 like 1; telomeric antibody; Chemokine (C C motif) ligand 4 like 2 antibody; Chemokine CC Motif Ligand 4 antibody; G 26 antibody; G 26 T lymphocyte secreted protein antibody; G-26 T-lymphocyte-secreted protein antibody; HC21 antibody; Immune activation 2 antibody; LAG 1 antibody; LAG-1 antibody; LAG1 antibody; Lymphocyte activation gene 1 antibody; Lymphocyte activation gene 1 protein antibody; Macrophage inflammatory protein 1 beta antibody; Macrophage inflammatory protein 1-beta antibody; Macrophage inflammatory protein 1b2 antibody; MGC104418 antibody; MGC126025 antibody; MGC126026 antibody; MIP-1-beta antibody; MIP-1-beta(1-69) antibody; MIP-1-beta(3-69) antibody; MIP1 beta antibody; MIP1B antibody; MIP1B1 antibody; Monocyte adherence induced protein 5 alpha antibody; PAT 744 antibody; Protein H400 antibody; SCYA2 antibody; SCYA4 antibody; SCYA4L antibody; SCYA4L1 antibody; SCYA4L2 antibody; SCYQ4L2 antibody; Secreted protein G 26 antibody; Secreted protein G26 antibody; SIS gamma antibody; SIS-gamma antibody; Small inducible cytokine A4 (homologous to mouse Mip 1b) antibody; Small inducible cytokine A4 antibody; small inducible cytokine A4-like antibody; Small-inducible cytokine A4 antibody; T cell activation protein 2 antibody; T-cell activation protein 2 antibody
-
宿主:Rabbit
-
反應種屬:Human,Rat
-
免疫原:Fusion protein of Human CCL4
-
免疫原種屬:Homo sapiens (Human)
-
標記方式:Non-conjugated
-
抗體亞型:IgG
-
純化方式:Antigen affinity purification
-
濃度:It differs from different batches. Please contact us to confirm it.
-
保存緩沖液:-20°C, pH7.4 PBS, 0.05% NaN3, 40% Glycerol
-
產品提供形式:Liquid
-
應用范圍:ELISA,IHC
-
推薦稀釋比:
Application Recommended Dilution ELISA 1:1000-1:5000 IHC 1:50-1:200 -
Protocols:
-
儲存條件:Upon receipt, store at -20°C or -80°C. Avoid repeated freeze.
-
貨期:Basically, we can dispatch the products out in 1-3 working days after receiving your orders. Delivery time maybe differs from different purchasing way or location, please kindly consult your local distributors for specific delivery time.
-
用途:For Research Use Only. Not for use in diagnostic or therapeutic procedures.
相關產品
靶點詳情
-
功能:Monokine with inflammatory and chemokinetic properties. Binds to CCR5. One of the major HIV-suppressive factors produced by CD8+ T-cells. Recombinant MIP-1-beta induces a dose-dependent inhibition of different strains of HIV-1, HIV-2, and simian immunodeficiency virus (SIV). The processed form MIP-1-beta(3-69) retains the abilities to induce down-modulation of surface expression of the chemokine receptor CCR5 and to inhibit the CCR5-mediated entry of HIV-1 in T-cells. MIP-1-beta(3-69) is also a ligand for CCR1 and CCR2 isoform B.
-
基因功能參考文獻:
- identified 13 ADCC-activated genes. Six gene expression assays including 8 of the 13 genes (CCL3, CCL4/CCL4L1/CCL4L2, CD160, IFNG, NR4A3 and XCL1/XCL2) were analyzed in 127 kidney biopsies PMID: 25449536
- PCR results show that lower copy numbers of CCL4L1 are observed in the Caucasian population nd higher copy numbers are observed in the Black population of South Africa. PMID: 24727646
- CCL4L1 allele frequency is higher in severe psoriasis, whereas CCL4L2 is more frequent in patients with a milder disease. PMID: 21614014
- multiple copies of CCL3L1 and CCL4L1 present in a single diploid genome are the result of segmental duplication at chromosome 17q12 PMID: 15028295
-
亞細胞定位:Secreted.
-
蛋白家族:Intercrine beta (chemokine CC) family
-
數據庫鏈接:
Most popular with customers
-
-
YWHAB Recombinant Monoclonal Antibody
Applications: ELISA, WB, IHC, IF, FC
Species Reactivity: Human, Mouse, Rat
-
Phospho-YAP1 (S127) Recombinant Monoclonal Antibody
Applications: ELISA, WB, IHC
Species Reactivity: Human
-
-
-
-
-















