-
中文名稱:CCL23兔多克隆抗體
-
貨號:CSB-PA962305
-
規格:¥1100
-
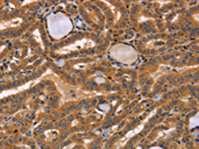
圖片:
-
The image on the left is immunohistochemistry of paraffin-embedded Human thyroid cancer tissue using CSB-PA962305(CCL23 Antibody) at dilution 1/50, on the right is treated with synthetic peptide. (Original magnification: ×200)
-
The image on the left is immunohistochemistry of paraffin-embedded Human lymphoma tissue using CSB-PA962305(CCL23 Antibody) at dilution 1/50, on the right is treated with synthetic peptide. (Original magnification: ×200)
-
-
其他:
產品詳情
-
Uniprot No.:
-
基因名:
-
別名:C C motif chemokine ligand 23 antibody; C-C motif chemokine 23 antibody; C6 beta chemokine antibody; CCL 23 antibody; CCL23 antibody; CCL23(30-99) antibody; CCL23_HUMAN antibody; Chemokine (C C motif) ligand 23 antibody; Chemokine CC motif ligand 23 antibody; ck beta 8 antibody; CK-beta-8 antibody; CKB 8 antibody; CKB-8 antibody; Ckb-8-1 antibody; CKB8 antibody; Hmrp-2a antibody; Macrophage inflammatory protein 3 antibody; MIP 3 antibody; MIP-3 antibody; MIP3 antibody; MPIF 1 antibody; MPIF-1 antibody; MPIF1 antibody; Myeloid progenitor inhibitory factor 1 antibody; OTTHUMP00000163948 antibody; SCYA 23 antibody; SCYA23 antibody; Small inducible cytokine A 23 antibody; Small inducible cytokine subfamily A (Cys-Cys); member 23 antibody; Small inducible cytokine subfamily A; member 23 antibody; Small-inducible cytokine A23 antibody
-
宿主:Rabbit
-
反應種屬:Human
-
免疫原:Synthetic peptide of Human CCL23
-
免疫原種屬:Homo sapiens (Human)
-
標記方式:Non-conjugated
-
抗體亞型:IgG
-
純化方式:Antigen affinity purification
-
濃度:It differs from different batches. Please contact us to confirm it.
-
保存緩沖液:-20°C, pH7.4 PBS, 0.05% NaN3, 40% Glycerol
-
產品提供形式:Liquid
-
應用范圍:ELISA,IHC
-
推薦稀釋比:
Application Recommended Dilution ELISA 1:1000-1:5000 IHC 1:50-1:200 -
Protocols:
-
儲存條件:Upon receipt, store at -20°C or -80°C. Avoid repeated freeze.
-
貨期:Basically, we can dispatch the products out in 1-3 working days after receiving your orders. Delivery time maybe differs from different purchasing way or location, please kindly consult your local distributors for specific delivery time.
-
用途:For Research Use Only. Not for use in diagnostic or therapeutic procedures.
引用文獻
- Macrophage Inflammatory Proteins (MIPs) Contribute to Malignant Potential of Colorectal Polyps and Modulate Likelihood of Cancerization Associated with Standard Risk Factors M Rivera-Escoto,International journal of molecular sciences,2024
相關產品
靶點詳情
-
功能:Shows chemotactic activity for monocytes, resting T-lymphocytes, and neutrophils, but not for activated lymphocytes. Inhibits proliferation of myeloid progenitor cells in colony formation assays. This protein can bind heparin. Binds CCR1. CCL23(19-99), CCL23(22-99), CCL23(27-99), CCL23(30-99) are more potent chemoattractants than the small-inducible cytokine A23.
-
基因功能參考文獻:
- CCL23 is posttranslationally modified by trypsin-like serine proteases and CCL23(47-117) might be a major active form of CCL23 in nasal polyps with chronic rhinosinusitis. PMID: 26560043
- The coexistence of diabetes and oxidative stress independently affected CCL23 levels, while the presence of Cardiovascular disease and inflammation had no impact on its concentrations. PMID: 24995525
- ADAMTS 8, CCL23, and TNFSF15 are implicated in anti-angiogenic activities PMID: 24384427
- Data show CCL23 stimulates chemotaxis of human THP-1 monocytes and enhances release of MMP-2, and suggest it plays a role in atherogenesis. PMID: 21656154
- Overproduction of CCL23 in nasal polyps might contribute to the pathogenesis of eosinophilic chronic rhinosinusitis with nasal polyps PMID: 21497884
- Patients with systemic sclerosis who had elevated CCL23 levels had shorter disease duration, and a higher frequency of pulmonary arterial hypertension. Serum CCL23 level was increased in early phase of disease and could be a marker for disease activity. PMID: 20824279
- Fresh eosinophils contained trace amounts of CCL23 protein. CCL23 was significantly released into the supernatant when the eosinophils were stimulated with GM-CSF or IL-5 but not with IFN-gamma or immobilized sIgA. PMID: 21646793
- independently associated with coronary atherosclerosis PMID: 20187767
- CKbeta8 transduces the chemotaxis signal through the G(i)/G(o) protein, phospholipase C, protein kinase C delta and NF-kappaB. PMID: 19951712
- CCL23 promoted chemotactic migration and differentiation of endothelial cells, and neovascularization in the chick chorioallantoic membrane PMID: 15927850
- May play a direct role in angiogenesis via upregulation of matrix metalloproteinase (MMP)-2 expression. PMID: 16378600
- Collectively, these data suggest a link between the inducible phenotype of CCL23 expression in monocytes by the prototype Th2 molecule pair IL-4/STAT6 and the increased number of CCL23-expressing cells in skin of atopic dermatitis patients. PMID: 17371990
- A peptide ligand termed SHAAGtide is cleaved from CCL23; is itself an attractant of monocytes and neutrophils in vitro; recruits leukocytes in vivo; is more potent than other natural agents with activity for FPRL1; receives authors' designation "CCR12." PMID: 17513790
- This protein may participate in the malignant progression of certain human cancer cells that overexpress ErbB2 through the transactivation of ErbB2 tyrosine kinase. PMID: 18258606
- CCL23, M-CSF, TNFRSF9, TNF-alpha, and CXCL13 are predictive of rheumatoid arthritis disease activity and may be useful in the definition of disease subphenotypes and in the measurement of response to therapy in clinical studies. PMID: 18668547
- these findings suggest that CCL23 results in up-regulation of KDR/flk-1 receptor gene transcription and protein expression and that KDR/Flk-1 up-regulation induced by CCL23 may contribute to potentiation of VEGF action in angiogenesis. PMID: 19265684
顯示更多
收起更多
-
亞細胞定位:Secreted.
-
蛋白家族:Intercrine beta (chemokine CC) family
-
組織特異性:High levels in adult lung, liver, skeletal muscle and pancreas. Moderate levels in fetal liver, adult bone marrow and placenta. The short form is the major species and the longer form was detected only in very low abundance. CCL23(19-99), CCL23(22-99), CC
-
數據庫鏈接:
Most popular with customers
-
-
YWHAB Recombinant Monoclonal Antibody
Applications: ELISA, WB, IHC, IF, FC
Species Reactivity: Human, Mouse, Rat
-
Phospho-YAP1 (S127) Recombinant Monoclonal Antibody
Applications: ELISA, WB, IHC
Species Reactivity: Human
-
-
-
-
-















