CCK Antibody
-
中文名稱:CCK兔多克隆抗體
-
貨號:CSB-PA004771ESR2HU
-
規格:¥440
-
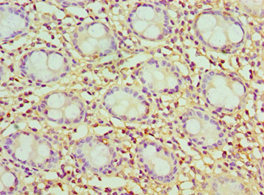
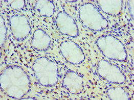
圖片:
-
其他:
產品詳情
-
產品名稱:Rabbit anti-Homo sapiens (Human) CCK Polyclonal antibody
-
Uniprot No.:
-
基因名:CCK
-
別名:(1-49)-CCK58 antibody; CCK antibody; CCK12 antibody; CCK18 antibody; CCK25 antibody; CCK33 antibody; CCK39 antibody; CCK5 antibody; CCK58 antibody; CCK7 antibody; CCK8 antibody; CCKN_HUMAN antibody; Cholecystokinin-5 antibody
-
宿主:Rabbit
-
反應種屬:Human
-
免疫原:Recombinant Human Cholecystokinin protein (21-115AA)
-
免疫原種屬:Homo sapiens (Human)
-
標記方式:Non-conjugated
-
克隆類型:Polyclonal
-
抗體亞型:IgG
-
純化方式:Antigen Affinity Purified
-
濃度:It differs from different batches. Please contact us to confirm it.
-
保存緩沖液:PBS with 0.02% sodium azide, 50% glycerol, pH7.3.
-
產品提供形式:Liquid
-
應用范圍:ELISA, IHC
-
推薦稀釋比:
Application Recommended Dilution IHC 1:20-1:200 -
Protocols:
-
儲存條件:Upon receipt, store at -20°C or -80°C. Avoid repeated freeze.
-
貨期:Basically, we can dispatch the products out in 1-3 working days after receiving your orders. Delivery time maybe differs from different purchasing way or location, please kindly consult your local distributors for specific delivery time.
-
用途:For Research Use Only. Not for use in diagnostic or therapeutic procedures.
相關產品
靶點詳情
-
功能:This peptide hormone induces gall bladder contraction and the release of pancreatic enzymes in the gut. Its function in the brain is not clear. Binding to CCK-A receptors stimulates amylase release from the pancreas, binding to CCK-B receptors stimulates gastric acid secretion.
-
基因功能參考文獻:
- We found the suicide-associated gene coexpression network. The reconstructed network consisted of 104 genes. Topological analysis showed that in total, CCK, INPP1, DDC, and NPY genes are the most fundamental hubs in the network PMID: 29381655
- L-trp is a luminal regulator of CCK release with effects on gastric emptying, an effect that could be mediated by CCK. L-trp's effect on GLP-1 secretion is only minor. At the doses given, the two amino acids did not affect subjective appetite feelings. PMID: 27875537
- The CCK polymorphism have reported significant association of -45C>T polymorphism with the presence of hallucinations. PMID: 27084212
- CCK does not appear to play a unique independent role in satiety/satiation. PMID: 26429068
- CCK release has been found to be halved in pregnant women with hyperemesis gravidarium, which supports the hypothesis that gastrointestinal motility is increased in pregnant women with hyperemesis gravidarium. PMID: 25331205
- CCK in plasma is an independent marker of cardiovascular mortality in elderly female patients. PMID: 26878472
- These data offer preliminary evidence supporting an association between the rs1799923 polymorphism in the CCK gene and PTSD PMID: 26454231
- Data suggest that endocrine responses differ between jejunal and gastric enteral feeding, with higher peak plasma CCK (cholecystokinin), PYY (peptide YY), and GLP-1/2 (glucagon-like peptides 1/2) concentrations being attained after jejunal feeding. PMID: 26762368
- active GLP-1 produced in the islet stimulates cholecystokinin production and secretion in a paracrine manner via cyclic AMP and CREB. PMID: 25984632
- Cardiac expression of pro-cholecystokinin is cell-specific, which differentiates the expression from that of intestinal endocrine cells and cerebral neurons. Plasma Pro-CCK is a prognostic marker in patients with stable heart failure. PMID: 25627687
- CCK binding modulates the contractile function of the lower esophageal sphincter through differential binding to the CCK-A receptor on the sling and clasp fibers PMID: 24914377
- Data suggest that up-regulation of plasma CCK levels is 50% higher following breakfast of meal replacement beverage containing fat emulsion of rapeseed oil with droplet size of 0.1 um (versus 0.3 um); satiety response and food intake are unaffected. PMID: 23975326
- These studies identify a key role for Cck in the development and treatment of mania. PMID: 23399917
- Results suggest excessive local release of CCK in response to duodenal lipid in functional dyspepsia. PMID: 24252886
- CCK enhances cholesterol absorption by activation of a pathway involving CCK1R/CCK2R, Gbetagamma, PI3K, Akt, Rab11a, and NPC1L. PMID: 24692543
- This review will summarize what is known regarding CCK, its receptors, and pancreatic--{REVIEW} PMID: 24177032
- We aimed to determine whether fasting or meal-stimulated ghrelin, PYY, CCK, and satiety responses are different between lean PCOS patients and healthy women. PMID: 24001751
- hnRNP-K regulates extracellular matrix, cell motility, and angiogenesis pathways. Involvement of the selected genes (Cck, Mmp-3, Ptgs2, and Ctgf) and pathways was validated by gene-specific expression analysis PMID: 23564449
- Normal CCK profiles in AN at admission indicates hormonal responses adapted to low food intake while change of eating habits and weight gain PMID: 23349895
- CD36 is a major mediator of FA-induced release of CCK and secretin. These peptides contribute to the role of CD36 in fat absorption and to its pleiotropic metabolic effects. PMID: 23233532
- a lineage of mature enteroendocrine cells have the ability to coexpress members of a group of functionally related peptides: CCK, secretin, GIP, GLP-1, PYY, and neurotensin PMID: 23064014
- CCK remarkably increases the firing frequency of action potentials of layer III pyramidal neurons in the entorhinal cortex. PMID: 21753024
- CCK gene -45C/T locus T allele was positively associated with schizophrenia in female Han population in northern China. PMID: 21542221
- it is likely that unsulfated CCK peptides constitute a separate hormone system that acts via CCK-B receptors. [review] PMID: 21985915
- This article reviews the role of cholecystokinin (CCK), a satiety-producing hormone, in the regulation of binge eating in those who suffer from bulimia nervosa [review] PMID: 22188045
- The results of this study demonistrated that the cholecystokinin polymorphisms is related toin Parkinson's disease hallucinations in asian group. PMID: 21506165
- CCK modulates intrinsic neuronal excitability and synaptic transmission in a surprisingly cell-type specific manner, acting as a key molecular switch to regulate the functional output of neuronal circuits. PMID: 21154912
- Cholecystokinin gene polymorphisms are not associated with antipsychotic induced weight gain in schizophrenia patients. PMID: 20732371
- Neither treatment of pancreatic cancer cells with CCK antibodies nor the down-regulation of CCK mRNA and peptide by shRNAs altered growth in vitro or in vivo. PMID: 21186400
- These results point to a potential route of action by which components of Hoodia might influence appetite control; the natural taste receptor antagonist was identified for further studies as an appetite suppressant. PMID: 20930049
- Study compared CCK-like immunoreactivity (CCK-LI) in plasma from 25 subjects in the late luteal phase (LLP) and the follicular phase (FP) and found that there was no difference during the menstrual cycle PMID: 20457200
- results suggest that the CCK system may play a role in the pathogenesis of panic disorder, with susceptibility alleles both protecting and contributing to the disease PMID: 20023595
- REVIEW: role in thermoregulation and other aspects of energetics PMID: 20036221
- Cefaclor, when given before a meal in the form of a capsule, does not stimulate CCK release or slow gastric emptying in healthy humans. PMID: 19914303
- This article reviews the corpus of work supporting the role of CCK in anxiety and suggests three research approaches which can further enhance our understanding of the CCK-2 system in panic disorder. PMID: 11713976
- This review describes the signaling pathways and transcription factors involved in neuronal CCK gene transcription. PMID: 11713982
- Endoproteolytic processing events of heterologously expressed cholecystokinin are studied in Saccharomyces cerevisiae. PMID: 11713985
- mapping of the CCK1R binding site by identifying residues that interact with the methionine and phenylalanine residues of the C-terminal moiety of CCK PMID: 11724786
- Deteriorating gallbladder contractions, possibly induced by alterations in the CCK-AR gene, as well as CCK-AR gene polymorphism, promoted gallstone formation. PMID: 12572876
- Results suggest that the L-(-188G) haplotype may act as a protective factor against panic by reducing the expression of anxiogenic cholecystokinin (CCK). PMID: 12627463
- in Chinese, visual hallucinations in Parkinson's disease are associated with cholecystokinin -45C>T polymorphism, and this association was still observed in the presence of the cholecystokinin-A receptor TC/CC genotype PMID: 12777967
- reduced basal hunger, rather than increased meal-induced satiety, contributes to the anorexia of aging and that changes in cholecystokinin are unlikely to be responsible PMID: 12915664
- CCK's suppression of food intake is enhanced when the stomach is distended. PMID: 12920059
- Ingestion of a CCK-releasing fatty acid reduces the tolerated volume of liquid delivered into the stomach, primarily via a CCK(1) receptor-mediated delay in gastric emptying. PMID: 14764444
- Review summarizes the physiological role of CCK not only in the stimulation of pancreatic and biliary secretions but also in the regulation of gastrointestinal motility. PMID: 15100163
- Study based on a small, well-characterized matched case-control group of patients with Parkinson disease (PD) suggests that the cholecystokinin system may influence the development of hallucinations in PD subjects. PMID: 15313848
- Ewing sarcomas synthesize and secrete proCCK that can be identified in plasma as circulating tumor marker. PMID: 15328192
- CCK regulates pancreatic enzyme secretion and growth, intestinal motility, satiety signalling and the inhibition of gastric acid secretion--REVIEW PMID: 15533776
- conclude that women with polycystic ovary syndrome (PCOS) have reduced postprandial cholecystokinin(CCK) secretion and deranged appetite regulation associated with increased levels of testosterone PMID: 15624269
- Gastrin and CCK exert a trophic action on some of the biliary tract cancers. PMID: 15682471
顯示更多
收起更多
-
亞細胞定位:Secreted.
-
蛋白家族:Gastrin/cholecystokinin family
-
數據庫鏈接:
Most popular with customers
-
-
YWHAB Recombinant Monoclonal Antibody
Applications: ELISA, WB, IHC, IF, FC
Species Reactivity: Human, Mouse, Rat
-
Phospho-YAP1 (S127) Recombinant Monoclonal Antibody
Applications: ELISA, WB, IHC
Species Reactivity: Human
-
-
-
-
-















