CATSPER1 Antibody
-
中文名稱:CATSPER1兔多克隆抗體
-
貨號:CSB-PA669752
-
規格:¥1100
-
圖片:
-
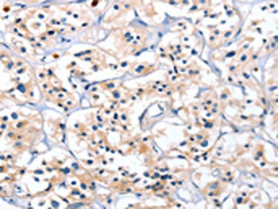
The image on the left is immunohistochemistry of paraffin-embedded Human thyroid cancer tissue using CSB-PA669752(CATSPER1 Antibody) at dilution 1/40, on the right is treated with fusion protein. (Original magnification: ×200)
-
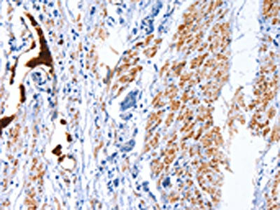
The image on the left is immunohistochemistry of paraffin-embedded Human prostate cancer tissue using CSB-PA669752(CATSPER1 Antibody) at dilution 1/40, on the right is treated with fusion protein. (Original magnification: ×200)
-
-
其他:
產品詳情
-
Uniprot No.:
-
基因名:CATSPER1
-
別名:CATSPER1; Cation channel sperm-associated protein 1; CatSper1; hCatSper
-
宿主:Rabbit
-
反應種屬:Human
-
免疫原:Fusion protein of Human CATSPER1
-
免疫原種屬:Homo sapiens (Human)
-
標記方式:Non-conjugated
-
抗體亞型:IgG
-
純化方式:Antigen affinity purification
-
濃度:It differs from different batches. Please contact us to confirm it.
-
保存緩沖液:-20°C, pH7.4 PBS, 0.05% NaN3, 40% Glycerol
-
產品提供形式:Liquid
-
應用范圍:ELISA,IHC
-
推薦稀釋比:
Application Recommended Dilution ELISA 1:1000-1:2000 IHC 1:25-1:100 -
Protocols:
-
儲存條件:Upon receipt, store at -20°C or -80°C. Avoid repeated freeze.
-
貨期:Basically, we can dispatch the products out in 1-3 working days after receiving your orders. Delivery time maybe differs from different purchasing way or location, please kindly consult your local distributors for specific delivery time.
-
用途:For Research Use Only. Not for use in diagnostic or therapeutic procedures.
相關產品
靶點詳情
-
功能:Voltage-gated calcium channel that plays a central role in calcium-dependent physiological responses essential for successful fertilization, such as sperm hyperactivation, acrosome reaction and chemotaxis towards the oocyte.
-
基因功能參考文獻:
- explored whether steroid hormones to which human spermatozoa are exposed in the male and female genital tract influence CatSper activation via modulation of ABHD2 PMID: 28507119
- Electrophysiological studies showed a significant increase in Cd(2+) and manganese (Mn(2+)) currents through the CaV3.1 mutants as well as a reduction in the inhibitory effect of Cd(2+) on the Ca(2+) current. PMID: 27134080
- Sperm with a near absence of CatSper current failed to respond to activation of CatSper by progesterone and there was fertilization failure at IVF. PMID: 26453676
- The role of CATSPER1 in idiopathic asthenospermia pathogenesis: exonal SNP rs1893316 in CATSPER1 significantly correlated with idiopathic asthenospermia risk PMID: 26354096
- Sox5 and Sox9 cause a significant increase in transactivation of the Catsper1 promoter. PMID: 25101494
- Progesterone via CatSper activates the PI3K-AKT pathway required for motility and hyperactivation but not for acrosome reaction. PMID: 23623968
- The immediate upstream region and the first exon in the human CATSPER1 gene negatively regulate transcriptional activity. PMID: 23313885
- This work reports the cloning and characterization of the promoter regions in the human and murine Catsper1 genes. The immediate upstream region and the first exon in the human CATSPER1 gene negatively regulate transcriptional activity. The mouse Catsper1 promoter exhibited transcriptional activity in both orientations and displayed significant expression levels in mouse testis in vivo. PMID: 23313885
- CatSper is indeed the principal Ca2+ channel of human spermatozoa, and that it is strongly potentiated by progesterone. PMID: 23530196
- CatSper activation can elicit functionally different behaviors according to the sensitivity of the Ca(2+) store, which may be regulated by capacitation and NO from the cumulus. PMID: 23344959
- It was shown that odorants directly activate CatSper without involving G protein-coupled receptors and cAMP. Membrane-permeable analogues of cyclic nucleotides activated CatSper directly via an extracellular site. PMID: 22354039
- The decreased or abnormal expression of the CatSper1 protein may be a factor involved in the pathogenesis of idiopathic asthenozoospermia. PMID: 21404705
- progesterone activates the sperm-specific, pH-sensitive CatSper Ca(2+) channel PMID: 21412338
- human CatSper is synergistically activated by elevation of intracellular pH and extracellular progesterone PMID: 21412339
- Studies indicate that CATSPER channel represents a novel human male fertility factor. PMID: 20648059
- Potential role for CatSper in sperm motility and fertility in mouse and human. CatSper is therefore implicated as a potential target to explore the molecular mechanisms of male infertility. PMID: 14688170
- CATSPER1 is meiotically and post-meiotically expressed in human testis tissue. PMID: 16625279
- CatSper1 and CatSper2 can associate with and modulate the function of the Ca(v)3.3 channel, which might be important in the regulation of sperm function. PMID: 16740636
- CatSper1 may be a potential target for immunocontraception, and the antibody may be a tool to study the function of ion channels in sperm. PMID: 18976756
- sequence analysis of CATSPER1 in heritable forms of nonsyndromic male infertility revealed two separate insertion mutations (c.539-540insT and c.948-949insATGGC) that are predicted to lead to frameshifts and premature stop codons PMID: 19344877
顯示更多
收起更多
-
相關疾病:Spermatogenic failure 7 (SPGF7)
-
亞細胞定位:Cell projection, cilium, flagellum membrane; Multi-pass membrane protein. Note=Specifically located in the principal piece of sperm tail.
-
蛋白家族:Cation channel sperm-associated (TC 1.A.1.19) family
-
組織特異性:Testis-specific.
-
數據庫鏈接:
Most popular with customers
-
-
YWHAB Recombinant Monoclonal Antibody
Applications: ELISA, WB, IHC, IF, FC
Species Reactivity: Human, Mouse, Rat
-
Phospho-YAP1 (S127) Recombinant Monoclonal Antibody
Applications: ELISA, WB, IHC
Species Reactivity: Human
-
-
-
-
-















