CASP12 Antibody
-
中文名稱:CASP12兔多克隆抗體
-
貨號:CSB-PA041334
-
規格:¥1100
-
圖片:
-
The image on the left is immunohistochemistry of paraffin-embedded Human brain tissue using CSB-PA041334(CASP12 Antibody) at dilution 1/50, on the right is treated with synthetic peptide. (Original magnification: ×200)
-
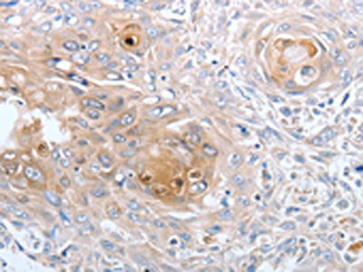
The image on the left is immunohistochemistry of paraffin-embedded Human esophagus cancer tissue using CSB-PA041334(CASP12 Antibody) at dilution 1/50, on the right is treated with synthetic peptide. (Original magnification: ×200)
-
-
其他:
產品詳情
-
Uniprot No.:
-
基因名:
-
別名:CASP 12 antibody; CASP-12 antibody; Casp12 antibody; CASP12P1 antibody; caspase 12 (gene/pseudogene) antibody; caspase 12 pseudogene 1 antibody; CASPC_HUMAN antibody; Inactive caspase-12 antibody; OTTHUMP00000207032 antibody
-
宿主:Rabbit
-
反應種屬:Human
-
免疫原:Synthetic peptide of Human CASP12
-
免疫原種屬:Homo sapiens (Human)
-
標記方式:Non-conjugated
-
抗體亞型:IgG
-
純化方式:Antigen affinity purification
-
濃度:It differs from different batches. Please contact us to confirm it.
-
保存緩沖液:-20°C, pH7.4 PBS, 0.05% NaN3, 40% Glycerol
-
產品提供形式:Liquid
-
應用范圍:ELISA,IHC
-
推薦稀釋比:
Application Recommended Dilution ELISA 1:2000-1:10000 IHC 1:50-1:200 -
Protocols:
-
儲存條件:Upon receipt, store at -20°C or -80°C. Avoid repeated freeze.
-
貨期:Basically, we can dispatch the products out in 1-3 working days after receiving your orders. Delivery time maybe differs from different purchasing way or location, please kindly consult your local distributors for specific delivery time.
-
用途:For Research Use Only. Not for use in diagnostic or therapeutic procedures.
相關產品
靶點詳情
-
功能:Has no protease activity. May reduce cytokine release in response to bacterial lipopolysaccharide during infections. Reduces activation of NF-kappa-B in response to TNF.
-
基因功能參考文獻:
- Piezo1 plays an important role in the apoptosis of human osteoarthritis-derived chondrocytes through a caspase-12-dependent pathway. PMID: 28731145
- study indicated the potential effect of Casp12 was on the activation of NF-kappaB by the degradation of IkappaBalpha in NPC cells. PMID: 28380444
- CASP12 genotype thus does not influence the phenotype of systemic lupus erythematosus in African-Americans PMID: 26973091
- Endoplasmic reticulum stress may be associated with apoptosis of LECs, resulting in cataract formation in diabetic patients. PMID: 27130368
- Endoplasmic reticulum stress related factor ATF6 and caspase-12 trigger apoptosis in neonatal hypoxic-ischemic encephalopathy. PMID: 26261584
- Expression of caspase-12 was linked to decreased systemic and adipose tissue inflammation in a cohort of African American obese children. PMID: 26582949
- We found that RNA interference-induced Caspase-12 silencing increased NOD1, hBD1 and hBD2 expression PMID: 25503380
- conclude that the functional CASP12L allele is not a marker for susceptibility and/or severity of CAP PMID: 24586588
- EtOH-induced activation of caspase-12 could be one of the underlying mechanisms of hepatocyte apoptosis. PMID: 24224909
- Distribution of CASP12 alleles (#rs497116) in African-Americans (AA) with rheumatoid arthritis (RA). There was no difference in the overall distribution of genotypes within AA with RA, but homozygous patients had lower baseline joint-narrowing scores. PMID: 24515649
- CASPASE-12 does not influence the susceptibility to Candida sepsis, nor has any effect on the serum cytokine concentrations in Candida sepsis patients during the course of infection. PMID: 21706251
- examines the role that CASP12 plays in down-regulating inflammation, we hypothesize that pathogens which exploit the inflammatory response are restrained by an active CASP12 gene product PMID: 21872999
- caspase 12 has acquired deleterious mutations PMID: 12054529
- Pathways involving this enzyme are involved in a neurodegenerative disease in vivo, and thus offer novel potential targets for the treatment of prion disorders. PMID: 14532116
- Na/Ca exchanger overexpression activates caspase-12 PMID: 15033764
- Csp12-L attenuates the inflammatory and innate immune response to endotoxins and in doing so may constitute a risk factor for developing sepsis PMID: 15129283
- Observational study of genotype prevalence. (HuGE Navigator) PMID: 16917906
- The activation of caspase-9 and depolarization of mitochondrial membrane potential were induced by BIK, which were decreased concomitant with caspase-12 silenced. PMID: 17574210
- proteolytic activity of caspase-12 is confined to its own proenzyme PMID: 18332441
- hRPE cells express a high level of caspase-12S. The regulated expression of caspase-12S suggests that this caspase recruitment domain (CARD)-only protein may be an endogenous dominant negative regulator that modulates inflammatory responses in hRPE cells. PMID: 18791174
- estrogen-mediated inhibition of Csp-12L expression is a built-in mechanism that has evolved to protect females from Listeria monocytogenes infection. PMID: 19447924
- the NOD2/RIP2 pathway has a role in recognition of Yersinia, but caspase-12 does not modulate innate host defense against Y. pestis PMID: 19721713
- The calcium-calpain-caspase-12-caspase-3 cascade is altered in F508del-CFTR expressing cells. PMID: 20041182
- Reactive oxygen species promote caspase-12 expression and tubular apoptosis in diabetic nephropathy. PMID: 20299359
- Observational study of gene-disease association. (HuGE Navigator) PMID: 20299368
- Observational study of gene-disease association. (HuGE Navigator) PMID: 20423816
- Observational study of gene-disease association. (HuGE Navigator) PMID: 20577092
- Constitutively active forms of caspase-12 (rev-Deltapro1 and rev-Deltapro2) could induce cell death in cells transfected with the corresponding expression vectors. PMID: 20646990
顯示更多
收起更多
-
蛋白家族:Peptidase C14A family
-
組織特異性:Detected in heart, kidney, liver, lung, pancreas, small intestine, spleen, stomach, thymus and testis.
-
數據庫鏈接:
Most popular with customers
-
YWHAB Recombinant Monoclonal Antibody
Applications: ELISA, WB, IHC, IF, FC
Species Reactivity: Human, Mouse, Rat
-
Phospho-YAP1 (S127) Recombinant Monoclonal Antibody
Applications: ELISA, WB, IHC
Species Reactivity: Human
-
-
-
-
-
-















