CARD6 Antibody
-
中文名稱:CARD6兔多克隆抗體
-
貨號:CSB-PA195161
-
規格:¥1100
-
圖片:
-
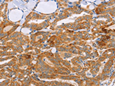
The image on the left is immunohistochemistry of paraffin-embedded Human thyroid cancer tissue using CSB-PA195161(CARD6 Antibody) at dilution 1/60, on the right is treated with synthetic peptide. (Original magnification: ×200)
-
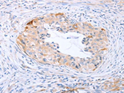
The image on the left is immunohistochemistry of paraffin-embedded Human cervical cancer tissue using CSB-PA195161(CARD6 Antibody) at dilution 1/60, on the right is treated with synthetic peptide. (Original magnification: ×200)
-
-
其他:
產品詳情
-
Uniprot No.:
-
基因名:
-
別名:CARD 6 antibody; CARD containing inhibitor of Nod1 and Cardiak-induced NF kB activation antibody; CARD6 antibody; CARD6_HUMAN antibody; Caspase recruitment domain family; member 6 antibody; Caspase recruitment domain protein 6 antibody; Caspase recruitment domain-containing protein 6 antibody; CINCIN1 antibody; D730008L15 antibody
-
宿主:Rabbit
-
反應種屬:Human
-
免疫原:Synthetic peptide of Human CARD6
-
免疫原種屬:Homo sapiens (Human)
-
標記方式:Non-conjugated
-
抗體亞型:IgG
-
純化方式:Antigen affinity purification
-
濃度:It differs from different batches. Please contact us to confirm it.
-
保存緩沖液:-20°C, pH7.4 PBS, 0.05% NaN3, 40% Glycerol
-
產品提供形式:Liquid
-
應用范圍:ELISA,IHC
-
推薦稀釋比:
Application Recommended Dilution ELISA 1:1000-1:5000 IHC 1:50-1:200 -
Protocols:
-
儲存條件:Upon receipt, store at -20°C or -80°C. Avoid repeated freeze.
-
貨期:Basically, we can dispatch the products out in 1-3 working days after receiving your orders. Delivery time maybe differs from different purchasing way or location, please kindly consult your local distributors for specific delivery time.
-
用途:For Research Use Only. Not for use in diagnostic or therapeutic procedures.
相關產品
靶點詳情
-
功能:May be involved in apoptosis.
-
基因功能參考文獻:
- The increased expression of CARD6 in esophageal squamous cell carcinoma,gastric and colorectal adenocarcinoma suggested that neoexpression of CARD6 might be related to activation of NF-kappaB pathway. PMID: 20025480
- identification as a modulator of NF-kappa B activation by Nod1- and Cardiak-mediated pathways PMID: 12775719
- CARD6 is a regulator of NF-kappaB activation that modulates the functions of RICK protein PMID: 16418290
- review of the regulation of interactions of CARD6 with RICK and microtubules [review] PMID: 16582588
-
數據庫鏈接:
Most popular with customers
-
-
YWHAB Recombinant Monoclonal Antibody
Applications: ELISA, WB, IHC, IF, FC
Species Reactivity: Human, Mouse, Rat
-
Phospho-YAP1 (S127) Recombinant Monoclonal Antibody
Applications: ELISA, WB, IHC
Species Reactivity: Human
-
-
-
-
-















