CAPN2 Antibody
-
中文名稱:CAPN2兔多克隆抗體
-
貨號:CSB-PA004496LA01HU
-
規格:¥440
-
圖片:
-
Western Blot
Positive WB detected in: 293T whole cell lysate
All lanes: CAPN2 antibody at 3.4µg/ml
Secondary
Goat polyclonal to rabbit IgG at 1/50000 dilution
Predicted band size: 80, 72 kDa
Observed band size: 80 kDa -
IHC image of CSB-PA004496LA01HU diluted at 1:300 and staining in paraffin-embedded human tonsil tissue performed on a Leica BondTM system. After dewaxing and hydration, antigen retrieval was mediated by high pressure in a citrate buffer (pH 6.0). Section was blocked with 10% normal goat serum 30min at RT. Then primary antibody (1% BSA) was incubated at 4°C overnight. The primary is detected by a biotinylated secondary antibody and visualized using an HRP conjugated SP system.
-
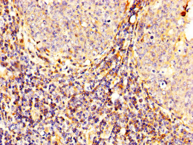
IHC image of CSB-PA004496LA01HU diluted at 1:300 and staining in paraffin-embedded human appendix tissue performed on a Leica BondTM system. After dewaxing and hydration, antigen retrieval was mediated by high pressure in a citrate buffer (pH 6.0). Section was blocked with 10% normal goat serum 30min at RT. Then primary antibody (1% BSA) was incubated at 4°C overnight. The primary is detected by a biotinylated secondary antibody and visualized using an HRP conjugated SP system.
-
Immunofluorescence staining of HepG2 cells with CSB-PA004496LA01HU at 1:100, counter-stained with DAPI. The cells were fixed in 4% formaldehyde, permeabilized using 0.2% Triton X-100 and blocked in 10% normal Goat Serum. The cells were then incubated with the antibody overnight at 4°C. The secondary antibody was Alexa Fluor 488-congugated AffiniPure Goat Anti-Rabbit IgG(H+L).
-
Immunoprecipitating CAPN2 in Hela whole cell lysate
Lane 1: Rabbit control IgG instead of CSB-PA004496LA01HU in Hela whole cell lysate. For western blotting, a HRP-conjugated Protein G antibody was used as the secondary antibody (1/2000)
Lane 2: CSB-PA004496LA01HU (8µg) + Hela whole cell lysate (500µg)
Lane 3: Hela whole cell lysate (10µg)
-
-
其他:
產品詳情
-
產品描述:CAPN2 polyclonal antibody CSB-PA004496LA01HU was produced in rabbit immunized by using the Recombinant Human Calpain-2 catalytic subunit protein (20-700AA) as the immunogen. The target protein CAPN2 is the large subunit of the ubiquitous enzyme, calpain 2, which catalyzes limited proteolysis of substrates involved in cytoskeletal remodeling and signal transduction. It proteolytically cleaves MYOC at 'Arg-226'. Diseases associated with CAPN2 include Nuclear Senile Cataract and Machado-Joseph Disease.
This Rabbit anti-Homo sapiens (Human) CAPN2 Polyclonal antibody was tested in the ELISA, WB, IHC, IF and IP applications. The non-conjugated IgG got purified by protein G and reached up to 95% in purity. It only reacts with the CAPN2 proteins of human-origin and may be used to detect the endogenous levels of CAPN2 protein. -
產品名稱:Rabbit anti-Homo sapiens (Human) CAPN2 Polyclonal antibody
-
Uniprot No.:
-
基因名:
-
別名:Calcium activated neutral proteinase 2 antibody; Calcium activated neutral proteinase antibody; Calcium-activated neutral protease 2; catalytic subunit antibody; Calcium-activated neutral proteinase 2 antibody; CALP80 antibody; Calpain 2 (m/II) large subunit antibody; Calpain 2 catalytic subunit antibody; Calpain 2 large catalytic subunit antibody; Calpain 2 large subunit antibody; Calpain 2; large [catalytic] subunit antibody; Calpain large polypeptide L2 antibody; Calpain M type antibody; Calpain M-type antibody; Calpain-2 catalytic subunit antibody; Calpain-2 large subunit antibody; Calpain2 antibody; CAN2_HUMAN antibody; CANP 2 antibody; CANP L2 antibody; CANP2 antibody; CANPL 2 antibody; CANPL2 antibody; CANPml antibody; Capa2 antibody; CAPN 2 antibody; CAPN2 antibody; FLJ39928 antibody; M calpain antibody; M calpin antibody; M type antibody; M-calpain antibody; mCANP antibody; Millimolar calpain antibody; Millimolar-calpain antibody
-
宿主:Rabbit
-
反應種屬:Human
-
免疫原:Recombinant Human Calpain-2 catalytic subunit protein (20-700AA)
-
免疫原種屬:Homo sapiens (Human)
-
標記方式:Non-conjugated
本頁面中的產品,CAPN2 Antibody (CSB-PA004496LA01HU),的標記方式是Non-conjugated。對于CAPN2 Antibody,我們還提供其他標記。見下表:
-
克隆類型:Polyclonal
-
抗體亞型:IgG
-
純化方式:>95%, Protein G purified
-
濃度:It differs from different batches. Please contact us to confirm it.
-
保存緩沖液:Preservative: 0.03% Proclin 300
Constituents: 50% Glycerol, 0.01M PBS, PH 7.4 -
產品提供形式:Liquid
-
應用范圍:ELISA, WB, IHC, IF, IP
-
推薦稀釋比:
Application Recommended Dilution WB 1:1000-1:5000 IHC 1:200-1:500 IF 1:50-1:200 IP 1:200-1:2000 -
Protocols:
-
儲存條件:Upon receipt, store at -20°C or -80°C. Avoid repeated freeze.
-
貨期:Basically, we can dispatch the products out in 1-3 working days after receiving your orders. Delivery time maybe differs from different purchasing way or location, please kindly consult your local distributors for specific delivery time.
-
用途:For Research Use Only. Not for use in diagnostic or therapeutic procedures.
相關產品
靶點詳情
-
功能:Calcium-regulated non-lysosomal thiol-protease which catalyzes limited proteolysis of substrates involved in cytoskeletal remodeling and signal transduction. Proteolytically cleaves MYOC at 'Arg-226'. Proteolytically cleaves CPEB3 following neuronal stimulation which abolishes CPEB3 translational repressor activity, leading to translation of CPEB3 target mRNAs.
-
基因功能參考文獻:
- High CCNA2 expression is associated with gefitinib resistance in lung cancer. PMID: 30106446
- in the field of neural injury, calpain-2 and caspase-3 proteases generate breakdown-products (BDPs) fragments that are indicative of different neural cell death mechanisms in different injury scenarios. Advanced proteomic techniques have shown a remarkable progress in identifying these BDPs experimentally PMID: 28112201
- The results of the present study suggested that miR93 regulated MMP1 and collagen I expression in fibroblasts via calpain2. miR93 mediated collagen expression in stress urinary incontinence via calpain2. PMID: 29115452
- Hyperactivated m-calpain induced cytoplasmic accumulation of truncated topoisomerase IIalpha in doxorubicin resistant T47D cells. PMID: 29425806
- Results find that overexpression of hTau increases intracellular calcium, which in turn activates calpain-2 and induces degradation of alpha4 nAChR. PMID: 27277673
- m-calpain translocated as the result of calcium influx was involved in DNA double-strand breaks repair, especially in the non-homologous end-joining pathway through proteolysis of nuclear Ku80. Cleaved Ku80 was still able to form a heterodimer with Ku70 and enhance DNA repair activity. PMID: 27121057
- 3 novel loci associated with serum alpha-carotene concentrations among a population that consumed a controlled diet. While replication is necessary, the CAPN2/CAPN8 locus provides compelling evidence for an association with serum alpha-carotene concentrations and may suggest a relationship with the development and progression of cancers. PMID: 28002826
- The inhibitory effects of BMP4 on PDGF-induced cell proliferation, collagen synthesis, and calpain-2 activation are impaired in pulmonary artery smooth muscle cells from pulmonary arterial hypertension patient. PMID: 28235949
- Calpain-2 upregulates PDGF-induced Akt phosphorylation in pulmonary vascular remodeling via an intracrine TGF-beta1/mTORC2 mechanism. PMID: 27099352
- the expression of CAPN2 was elevated in prostate cancer tissues than that in normal control tissues. PMID: 28280729
- Calpain 2-mediated cleavage of Atg3 and Atg7 accounts for the impaired autophagy. PMID: 27077802
- Calcineurin together with its upstream molecule, calpain 2, and its downstream effector, NFAT-c3, might contribute to the development of atrial fibrillation in patients with heart valve disease and diabetes. PMID: 27123462
- Calpain-2 modulates pulmonary vascular remodeling in pulmonary arterial hypertension. PMID: 26248159
- Taken together, our results demonstrated the deregulation of GAS2 in both AML and ALL and the requirement of GAS2-Calpain2 axis for the growth of leukemic cells. PMID: 26358320
- The combination of Ca2+ and ionomycin was required to activate calpain 2, resulting in the further degradation of Dicer and the appearance of a degradation product similar to that detected in platelets from some diabetic individuals. PMID: 25944670
- In a transgenic mouse model, hypoxia-triggered m-calpain activation is involved in endoplasmic reticulum stress-mediated Alzheimer's disease pathogenesis. PMID: 23889979
- Small interfering RNA (siRNA)-mediated silencing of m-calpain expression significantly suppressed the adhesive, migrative and invasive potentials of human hepatoma cells. PMID: 23733271
- The data reveal that hGAAP is a novel regulator of focal adhesion dynamics, cell adhesion, and migration by controlling localized Ca(2+)-dependent activation of calpain 2. PMID: 23940116
- The carboxyl tail of alpha-actinin-4 regulates its susceptibility to m-calpain and thus functions in cell migration and spreading. PMID: 23466492
- data demonstrate that GSK-3beta plays an important role in regulating tRXRalpha production by calpain II in cancer cells PMID: 23389291
- alpha-II spectrin was drastically accumulated in infected T cells derived from adult T-cell leukemia patients, whereas its digestive protease calpain-2 (CAN2) was significantly downregulated. PMID: 23538341
- The results suggest that calpain-2 and calpastatin expression is important in pancreatic cancers, influencing disease progression PMID: 23140395
- High expression of calpain-2 is significantly associated with resistance to platinum-based adjuvant chemotherapy. PMID: 22435971
- Expression of the large catalytic subunit of calpain-2 is significantly associated with clinical outcome of patients with triple-negative and basal-like disease. PMID: 22745213
- betaig-h3 co-localized with integrin alpha5beta1 to enhance the invasion of U87 cells, and that calpain-2, is involved in this process, acting as a downstream molecule. PMID: 22629380
- Two human hepatocellular carcinoma cell lines were researched using proteomics. A proteolysis network was built up, of which the CAPN2 centered subnetwork, including SPTBN1, ATP5B, and VIM, was more active in the highly metastatic HCC cell line. PMID: 22623320
- cleavage of CPEB3 by NMDA-activated calpain 2 accounts for the activity-related translation of CPEB3-targeted RNAs PMID: 22711986
- Staining intensity of calpain 2 in ovarian carcinoma decreased with increasing lymph node status. PMID: 22335024
- Subtype-selective induction of m-calpain in aorta during atherosclerotic progression is associated with proteolytic disorganization of VE-cadherin and proatherogenic hyperpermeability in cells. PMID: 22064597
- The expression of m-calpain-induced degradation products of extracellular matrix was correlated with the degree of disc degeneration in human intervertebral disc tissue PMID: 21839844
- Data show that transfection of cells with GRP78 or calpain I and calpain II siRNA reduced MPTB-mediated cell apoptosis in chondrosarcoma JJ012 cells. PMID: 21374734
- Calpain 2-mediated hTOP1 proteolysis not only impacts its biochemical activities but also alters some cellular functions of hTOP1. PMID: 21086148
- Confocal immunostaining demonstrated colocalization of m-calpain and the aggrecan product within the lower hypertrophic chondrocytes and in limited region of the pericellular matrix. PMID: 21117903
- NHE1 might participate in HIF-1-induced angiogenesis due, at least in part, to the alteration of calpain activity. PMID: 21185840
- Findings support the idea that calpain is involved in the turnover of LFA-1 adhesions at the rear of the cell. PMID: 21152086
- In brain, calpain-2 plays critical roles in developmental and adult synaptic plasticity. PMID: 20924799
- Knockdown of calpain 2 expression using shRNA or chemical inhibition of calpain activity reduced glioblastoma cell invasion by 90%. PMID: 20730561
- m-Calpain activation is regulated by its membrane localization and by its binding to phosphatidylinositol 4,5-bisphosphate. PMID: 20729206
- Data indicate that calpains are involved in the C-terminal truncation of aggrecan and might have a minor role in arthritic diseases. PMID: 20618160
- High m-calpain expression is associated with rhabdomyosarcoma aggressiveness. PMID: 20193680
- Overexpression of calpain-2 and low expression of calpastatin may involve in the pathological development of stress urinary incontinence. PMID: 19756344
- analysis of a novel role for calpain proteolysis of FAK in regulating adhesion dynamics in motile cells PMID: 20150423
- excessive TRPM7 channel activity causes oxidative and nitrosative stresses, producing cell rounding mediated by p38 MAPK/JNK-dependent activation of m-calpain PMID: 20070945
- m-Calpain antagonizes RhoA overactivation and endothelial barrier dysfunction under disturbed shear conditions. PMID: 19752040
- a higher calpain/calpastatin ratio collaborates with activated ERK to promote the generation of the low molecular weight-AR PMID: 19946123
- Overactivation of Ca(2+)-calpain pathways contributes to beta cell dysfunction and apoptosis in type 2 diabetes. PMID: 19861418
- Calpain activation in neurodegenerative diseases PMID: 12070670
- colocalization with detergent-insoluble rafts on T-cells PMID: 12150984
- localization of m-calpain within caveolae may contribute to maintenance of the enzyme in an inactive state and that m-calpain may also contribute to the regulation of calcium-sensing receptor levels. PMID: 12783889
- activation of m-calpain during mitosis is required for cells to establish the chromosome alignment by regulating some molecules that generate polar ejection force PMID: 14688278
顯示更多
收起更多
-
亞細胞定位:Cytoplasm. Cell membrane. Note=Translocates to the plasma membrane upon Ca(2+) binding.
-
蛋白家族:Peptidase C2 family
-
組織特異性:Ubiquitous.
-
數據庫鏈接:
Most popular with customers
-
YWHAB Recombinant Monoclonal Antibody
Applications: ELISA, WB, IHC, IF, FC
Species Reactivity: Human, Mouse, Rat
-
Phospho-YAP1 (S127) Recombinant Monoclonal Antibody
Applications: ELISA, WB, IHC
Species Reactivity: Human
-
-
-
-
-
-















