CALB2 antibody
-
中文名稱:CALB2兔多克隆抗體
-
貨號:CSB-PA004433
-
規格:¥1100
-
圖片:
-
Gel: 8%SDS-PAGE Lysate: 40μg
Lane: Human fetal brian tissue
Primary antibody: CALB2 Antibody at dilution 1/400 dilution
Secondary antibody: Goat anti rabbit IgG at 1/8000 dilution
Exposure time: 40 seconds -
The image on the left is immunohistochemistry of paraffin-embedded Human breast cancer tissue using CALB2 Antibody at dilution 1/25, on the right is treated with synthetic peptide. (Original magnification: ×200)
-
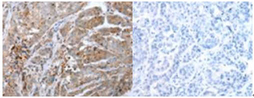
The image on the left is immunohistochemistry of paraffin-embedded Human gastric cancer tissue using CALB2 Antibody at dilution 1/25, on the right is treated with synthetic peptide. (Original magnification: ×200
-
-
其他:
產品詳情
-
產品名稱:Rabbit anti-Homo sapiens (Human) CALB2 Polyclonal antibody
-
Uniprot No.:
-
基因名:
-
別名:29 kDa calbindin antibody; CAB 29 antibody; CAB29 antibody; CAL 2 antibody; CAL2 antibody; CALB 2 antibody; CALB2 antibody; CALB2_HUMAN antibody; Calbindin 2 29kDa antibody; Calbindin 2 antibody; Calbindin D29K antibody; Calbindin2 antibody; Calretinin antibody; CR antibody
-
宿主:Rabbit
-
反應種屬:Human
-
免疫原:Synthetic peptide of Human CALB2
-
免疫原種屬:Homo sapiens (Human)
-
標記方式:Non-conjugated
-
克隆類型:Polyclonal
-
抗體亞型:IgG
-
純化方式:Antigen Affinity purified
-
濃度:It differs from different batches. Please contact us to confirm it.
-
保存緩沖液:-20°C, pH7.4 PBS, 0.05% NaN3, 40% Glycerol
-
產品提供形式:Liquid
-
應用范圍:WB, IHC, ELISA
-
推薦稀釋比:
Application Recommended Dilution WB 1:500-1:2000 IHC 1:100-1:300 ELISA 1:20000 -
Protocols:
-
儲存條件:Upon receipt, store at -20°C or -80°C. Avoid repeated freeze.
-
貨期:Basically, we can dispatch the products out in 1-3 working days after receiving your orders. Delivery time maybe differs from different purchasing way or location, please kindly consult your local distributors for specific delivery time.
-
用途:For Research Use Only. Not for use in diagnostic or therapeutic procedures.
相關產品
靶點詳情
-
功能:Calretinin is a calcium-binding protein which is abundant in auditory neurons.
-
基因功能參考文獻:
- we have identified septin 7, an essential cellular component implicated in the final steps of cell division, as a strong Bt-dependent gene regulatory protein binding to the promoter of CALB2. PMID: 29699512
- Calretinin was positive in 20 cases with MM. PMID: 27761727
- Calretinin could be verified as a blood-based marker for Malignant mesothelioma (MM). The assay is robust and shows a performance that is comparable to that of mesothelin. Retrospective analyses would not be limited by storage time. The high specificity supports a combination of calretinin with other markers. PMID: 28558669
- calretinin increases Leydig cell viability and proliferation, possibly via ERK1/2 and AKT pathways, and suppresses apoptosis possibly via the mitochondria-related apoptotic pathway PMID: 28437248
- expression of calretinin in human fetal testis specimens, was examined. PMID: 27990638
- In Malignant mesothelioma , increased calretinin expression is associated with epithelioid histology and better survival. PMID: 27780599
- Calretinin, D2-40 and mesothelin are aberrantly expressed in a proportion of CRC cases. PMID: 27062033
- We studied 38 bone marrow biopsy specimens of non-CML myeloproliferative neoplasms from 31 patients. All eight bone marrow biopsy specimens from patients with mutant CALR showed strong cytoplasmic staining of the megakaryocytes (83.5%; range, 50%-98%; median, 87%) with the CAL2 antibody. PMID: 27686170
- NCX1 and the calcium binding protein calretinin cooperate within the striatum to confer tolerance against cerebral ischemia. PMID: 25633096
- Overexpression of human calretinin in mouse primary mesothelial cells inversely affects proliferation and cell migration. PMID: 26695618
- Patients with Down syndrome may have enteric nervous system disorders functionally similar to HD, related to abnormal or imbalanced autonomic innervation, of which distal calretinin hypoinnervation is one manifestation, despite the presence of ganglia. PMID: 26230373
- the unique disposition of CALR at the MII spindle uncovers a physical interaction with endoplasmic reticulum that may mediate cytoskeletal remodelling during oocyte maturation. PMID: 25620022
- In focal cortical dysplasia (FCD), the density of CR positive neurons was increased in cortical layer V compared to non-FCD temporal lobe. PMID: 26081613
- might be used as a marker for the ameloblastomas and could play an important role in the differentiation of aggressiveness of different odontogenic tumors PMID: 25046230
- We concluded that WT1, but not calretinin, is a useful prognostic factor in malignant pleural mesothelioma PMID: 24323466
- This article reviews the information that is currently available on calretinin expression in tumors and on its application as an immunohistochemical marker in diagnostic pathology. PMID: 24185118
- Calretinin positivity was observed in all rectal biopsies of Hirschsprung disease showing the presence of ganglion cells, and the staining was consistently absent in all cases of aganglionosis. PMID: 25119007
- Calretinin IHC offered additional diagnostic value in the Hirschprung disease using specimens with inadequate amount of submucosa and rarely seen ganglion cells. PMID: 24294384
- calretinin immunoexpression and the hormonal status for estrogen receptors (ER), progesterone receptors (PR), and ERRB2, in 33 cases of cutaneous metastases of ductal breast carcinoma, as well as in seven primary cutaneous apocrine tumors, were studied PMID: 24322014
- Restricted diffusion of calretinin in cerebellar granule cell dendrites implies Ca(2)-dependent interactions via its EF-hand 5 domain. PMID: 23732647
- Calretinin was found in nerve fibrils in all of the fetal colonic samples. Calretinin was expressed in the gut as early as 22 gestational weeks. PMID: 23701779
- CD34/calretinin immunohistochemistry could be useful for differentiating sinonasal schwannoma from its histological mimics. PMID: 23995573
- high-level calretinin expression in invasive ductal carcinoma of the breast is most common in grade 3 tumors with a basal-like phenotype and is associated with poor overall survival. PMID: 24262018
- Data indicate that fallopian tube and the epithelial component of Brenner tumours (BTs) expressed AKR1C3 and androgen receptor, but the tumour stromal cells showed strong expression of calretinin, inhibin and steroidogenic factor 1 in the majority of BTs. PMID: 24012099
- All 12 patients without Hirschsprung disease had calretinin-positive nerve fibers in the lamina propria or muscularis mucosae, and all 5 patients with Hirschsprung disease had no calretinin staining of nerves. PMID: 23899067
- High Calretinin expression is associated with mesothelioma. PMID: 23595591
- Our results show that different levels of serous ovarian tumor progression are accompanied by changes in the immunohistochemical expression pattern of EpCAM, CD24, and calretinin PMID: 23011824
- an unexpected role for CR in directly modulating effectors such as Ca(v)2.1, which may have major consequences for Ca(2+) signaling and neuronal excitability. PMID: 23033479
- This study demonistrated that significant linear regression between calbindin expression and short-term and long-term percent retention of auditory verbal learning test in patients whose epilepsy PMID: 22796338
- Data show that calretinin and CK5/6 were positive in 100 and 64% of mesotheliomas, and 92 and 31% of reactive effusions, respectively, and desmin was negative in all malignant cases and positive in 85% of reactive effusions. PMID: 23075894
- Over-expression of CR reduces huntingtin-caused cytotoxicity in both non-neuronal and neuronal cell models of Huntington's disease. PMID: 22891683
- A set of cryosections revealed extensive colocalization of calretinin with vasoactive intestinal peptide in both surviving submucosal perikarya and mucosal nerve fibres in human chagasic submucosa and mucosa. PMID: 22555304
- Immunohistochemical study of calretinin expression in normal skin and cutaneous adnexal proliferations. PMID: 22343111
- Low calretinin is associated with high neutrophil-to-lymphocyte ratio and malignant mesothelioma. PMID: 22011651
- Calretinin appears to be a useful marker to distinguish Olfactory neuroblastoma from other small round blue cell tumors PMID: 22020045
- Results suggest that following 5-FU treatment in CRC cell lines, CALB2 is involved in apoptosis induction through the intrinsic mitochondrial pathway. This indicates that CALB2 may be an important mediator of 5-FU-induced cell death PMID: 21629658
- calretinin-containing cells in the human hippocampus are highly vulnerable, thus inhibition mediated by dendritic inhibitory cells and their synchronization by interneuron-specific interneurons may be impaired in epilepsy. PMID: 20576695
- Developed a novel and sensitive ELISA for the detection of calretinin in serum, heparin plasma, or EDTA plasma augmented with calcium from mesothelioma patients. PMID: 20509881
- identification of two elements that act as butyrate-sensitive repressors in all colon cancer cell lines tested PMID: 19998412
- The overall density of Calretinin neurons in cerebral cortex was significantly decreased in focal cortical dysplasias. PMID: 19854615
- Calretinin plays a crucial role in the modulation of intrinsic neuronal excitability and the induction of long-term potentiation. PMID: 19450707
- a tumor marker for cardiac myxoma PMID: 11642722
- Two types of calretinin-immunostained terminals were found in the CA1 region. PMID: 12064772
- AP2-like cis element acts as an enhancer of gene expression in neuronal cells PMID: 12359331
- E-cadherin and calretinin are sensitive and specific in differential diagnosis of benign and malignant serous effusion specimens. PMID: 15285029
- Disorders of Sertoli cell differentiation as indicated by calretinin and/or cytokeratin-18 expression contribute to the multifactorial mechanisms underlying spermatogenic failure PMID: 15950053
- Calretinin-immunoreactive unipolar brush cells are presented in the vermis after the 28th gestational week. At birth, they are presentm in the vestibular lobules. At the birth the number of calretinin-immunoreactive unipolar brush cells increase. PMID: 16289944
- Calretinin immunostaining provides some insights into the histogenesis of invasive and noninvasive implants in serous borderline tumors of the ovary. PMID: 16415795
- Cells lining the mesothelial inclusion cysts had CAL2 immunohistochemical reactivity. PMID: 17535091
- The combinational characterization of calretinin (either by polyclonal or monoclonal antibody), inhibin alpha, and Melan-A expression is of great significance in the differential diagnosis of adrenocortical tumors. PMID: 18091323
顯示更多
收起更多
-
蛋白家族:Calbindin family
-
組織特異性:Brain.
-
數據庫鏈接:
Most popular with customers
-
-
YWHAB Recombinant Monoclonal Antibody
Applications: ELISA, WB, IHC, IF, FC
Species Reactivity: Human, Mouse, Rat
-
Phospho-YAP1 (S127) Recombinant Monoclonal Antibody
Applications: ELISA, WB, IHC
Species Reactivity: Human
-
-
-
-
-















