C5AR2 Antibody
-
中文名稱:C5AR2兔多克隆抗體
-
貨號:CSB-PA868390PA01HU
-
規格:¥440
-
圖片:
-
IHC image of CSB-PA868390PA01HU diluted at 1:100 and staining in paraffin-embedded human brain tissue performed on a Leica BondTM system. After dewaxing and hydration, antigen retrieval was mediated by high pressure in a citrate buffer (pH 6.0). Section was blocked with 10% normal goat serum 30min at RT. Then primary antibody (1% BSA) was incubated at 4°C overnight. The primary is detected by a biotinylated secondary antibody and visualized using an HRP conjugated SP system.
-
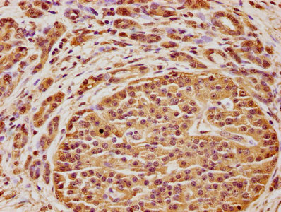
IHC image of CSB-PA868390PA01HU diluted at 1:100 and staining in paraffin-embedded human pancreatic cancer performed on a Leica BondTM system. After dewaxing and hydration, antigen retrieval was mediated by high pressure in a citrate buffer (pH 6.0). Section was blocked with 10% normal goat serum 30min at RT. Then primary antibody (1% BSA) was incubated at 4°C overnight. The primary is detected by a biotinylated secondary antibody and visualized using an HRP conjugated SP system.
-
-
其他:
產品詳情
-
產品名稱:Rabbit anti-Homo sapiens (Human) C5AR2 Polyclonal antibody
-
Uniprot No.:
-
基因名:
-
別名:C5AR2; C5L2; GPR77; C5a anaphylatoxin chemotactic receptor 2; Complement component 5a receptor 2; G-protein coupled receptor 77
-
宿主:Rabbit
-
反應種屬:Human
-
免疫原:Peptide sequence from Human C5a anaphylatoxin chemotactic receptor 2 protein (2-19AA)
-
免疫原種屬:Homo sapiens (Human)
-
標記方式:Non-conjugated
本頁面中的產品,C5AR2 Antibody (CSB-PA868390PA01HU),的標記方式是Non-conjugated。對于C5AR2 Antibody,我們還提供其他標記。見下表:
-
克隆類型:Polyclonal
-
抗體亞型:IgG
-
純化方式:Antigen Affinity Purified
-
濃度:It differs from different batches. Please contact us to confirm it.
-
保存緩沖液:Preservative: 0.03% Proclin 300
Constituents: 50% Glycerol, 0.01M PBS, pH 7.4 -
產品提供形式:Liquid
-
應用范圍:ELISA, IHC
-
推薦稀釋比:
Application Recommended Dilution IHC 1:20-1:200 -
Protocols:
-
儲存條件:Upon receipt, store at -20°C or -80°C. Avoid repeated freeze.
-
貨期:Basically, we can dispatch the products out in 1-3 working days after receiving your orders. Delivery time maybe differs from different purchasing way or location, please kindly consult your local distributors for specific delivery time.
-
用途:For Research Use Only. Not for use in diagnostic or therapeutic procedures.
相關產品
靶點詳情
-
功能:Receptor for the chemotactic and inflammatory C3a, C4a and C5a anaphylatoxin peptides and also for their dearginated forms ASP/C3adesArg, C4adesArg and C5adesArg respectively. Couples weakly to G(i)-mediated signaling pathways.
-
基因功能參考文獻:
- Both rs2972607 and rs8112962 SNPs of C5L2 are associated with coronary artery disease in a Han population of China. PMID: 28052000
- Studies indicate that the complement response lie the active fragments, C3a and C5a, acting through their specific receptors, C3aR, C5aR1 and C5aR2 to direct the cellular response to inflammation. PMID: 28576324
- negative regulator of BDNF secretion by pulp fibroblasts under carious teeth PMID: 28033061
- All the C698T genotypes and allele frequencies in C5L2 were almost similar in both the cases and controls. PMID: 25935173
- C5AR and C5L2-mediated neutrophil dysfunction is associated with a poor outcome in sepsis. PMID: 25726869
- this study reveals a novel role for C5aR2 in C5a-mediated activation of mast cells and demonstrates that C5aR2 ligation initiates a beta-arrestin-2-, PI3K-, and ERK-dependent signaling pathway in these cells. PMID: 26283482
- C5a2 can modulate ERK1/2 signaling in macrophages via heteromer formation with C5a1 and beta-arrestin recruitment. PMID: 24777312
- prominent C5L2 expression in advanced atherosclerotic stages directly correlates with high levels of proinflammatory cytokines PMID: 24819959
- The present study has extended the mutation spectrum of C5L2, and Thr196Asn mutations in C5L2 were associated with retinitis pigmentosa and serum lipid levels. PMID: 24885523
- C5aR and C5L2 may have roles in adiposity in women PMID: 24523571
- A novel polymorphism (901G > a) of C5L2 gene is associated with coronary artery disease in Chinese Han and Uyghur population. PMID: 24073849
- our study indicates that 698C>T polymorphism of C5L2 gene is associated with the T2DM in individuals of Saudi population which was found to be similar with other studies. PMID: 24078164
- C5L2 may be implicated in the pro-inflammatory role in C5a-primed neutrophils for ANCA-induced activation. PMID: 23785491
- C5L2 receptors are abundant in neurofibrillary tangles in Alzheimer's disease brain compared to controls. PMID: 23394121
- The results suggest that insulin sensitivity may be permissive for coupling of C5L2 levels to lipid storage and utilization. PMID: 23460866
- C5L2 has been recently demonstrated to physically interact with both C5aR and beta-arrestin to negatively regulate C5aR signaling toward an anti-inflammatory manner PMID: 23239822
- C5L2 was expressed in the kidney and localized to the distal convoluted tubule and connecting tubule. PMID: 22960554
- genetic association studies in the Chinese Han population: Data suggest that an SNP in C5L2 (C698T) is associated with type 2 diabetes mellitus; 698CT heterozygotes exhibited increased serum triglyceride levels. PMID: 22180093
- The aim of this study was to investigate the genetic alterations and mRNA expression pattern of C5aR and C5L2 genes in neutrophils from attack-free familial Mediterranean fever patients. PMID: 22187344
- Neither the familial combined hyperlipidemia subjects nor the type 2 diabetes patients were found to have the S323I variant of the C5L2 gene. PMID: 22194190
- negatively modulated during TLR-mediated enhancement of C5a-induced proinflammatory responses PMID: 21630250
- 698CT genotype of C5L2 may be a genetic maker of CAD in the Han and Uygur population in western China PMID: 21698200
- Data show that C5L2 is predominantly intracellular, while C5aR is expressed on the plasma membrane, and that internalized C5aR following ligand binding is co-localized with both C5L2 and beta-arrestin. PMID: 20044484
- These results suggest that C5L2 is an anaphylatoxin-binding protein with unique ligand binding and signaling properties. PMID: 11773063
- A8Delta71-73 is the first antagonist of c5a that blocks C5a and C5adesArg74 binding to C5L2 making it a valuable tool for studying C5L2 functions. PMID: 14570896
- C5L2 on neutrophils diminishes during sepsis due to systemic generation of complement 5a (C5a), which is associated with a poor prognosis. PMID: 15634936
- first demonstration that C5L2 is a functional receptor, mediating acylation-stimulating protein triglyceride stimulation PMID: 15833747
- C5L2 is a highly regulated scavenger receptor for C5a and C5a-des-Arg(74) PMID: 17068344
- C5L2 appears to bind complement factor C5a and C5a des Arg by different mechanisms, and, unlike C5a receptor (C5aR), C5L2 uses critical residues in its N-terminal domain for binding only to C5a des Arg. PMID: 17158873
- a major function of human C5L2 is to remove active complement fragments from the extracellular environment. PMID: 19100624
- C5L2 is a functional metabolic receptor, and serine 323 is important for ASP induced functionality. PMID: 19615750
- Recombinant C3adesArg/acylation stimulating protein (ASP) is highly bioactive: a critical evaluation of C5L2 binding and 3T3-L1 adipocyte activation. PMID: 19767107
- C3a des Arg77 binds to C5L2 but not to the C3a receptor (LocusID: 719). C3a and C3a des Arg77 both stimulate triglyceride synthesis (acylation stimulating protein, ASP) in adipocytes and fibroblasts and so C5L2 could be the receptor for ASP. PMID: 12540846
- C5L2 is a high affinity binding protein for C5a and C5a des Arg74, and has a moderate affinity for C3a. Unlike the original receptors for C5a (CD88) and C3a (C3aR), C5L2 couples weakly to Gi-mediated signalling pathways. PMID: 11773063
顯示更多
收起更多
-
亞細胞定位:Cell membrane; Multi-pass membrane protein.
-
蛋白家族:G-protein coupled receptor 1 family
-
組織特異性:Frontal cortex, hippocampus, hypothalamus, pons and liver.
-
數據庫鏈接:
Most popular with customers
-
-
YWHAB Recombinant Monoclonal Antibody
Applications: ELISA, WB, IHC, IF, FC
Species Reactivity: Human, Mouse, Rat
-
-
-
-
-
-















