C3orf18 Antibody
-
中文名稱:C3orf18兔多克隆抗體
-
貨號:CSB-PA892447LA01HU
-
規格:¥440
-
圖片:
-
Western blot
All lanes: C3orf18 antibody at 1.7μg/ml
Lane 1: Mouse kidney tissue
Lane 2: Mouse spleen tissue
Lane 3: Mouse lung tissue
Secondary
Goat polyclonal to rabbit IgG at 1/10000 dilution
Predicted band size: 18, 16 kDa
Observed band size: 18 kDa -
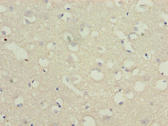
Immunohistochemistry of paraffin-embedded human brain tissue using CSB-PA892447LA01HU at dilution of 1:100
-
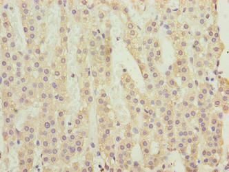
Immunohistochemistry of paraffin-embedded human adrenal gland tissue using CSB-PA892447LA01HU at dilution of 1:100
-
Immunofluorescent analysis of HepG2 cells using CSB-PA892447LA01HU at dilution of 1:100 and Alexa Fluor 488-congugated AffiniPure Goat Anti-Rabbit IgG(H+L)
-
-
其他:
產品詳情
-
產品名稱:Rabbit anti-Homo sapiens (Human) C3orf18 Polyclonal antibody
-
Uniprot No.:
-
基因名:C3orf18
-
別名:C3orf18; Uncharacterized protein C3orf18; Protein G20
-
宿主:Rabbit
-
反應種屬:Human, Mouse
-
免疫原:Recombinant Human Uncharacterized protein C3orf18 protein (83-162AA)
-
免疫原種屬:Homo sapiens (Human)
-
標記方式:Non-conjugated
本頁面中的產品,C3orf18 Antibody (CSB-PA892447LA01HU),的標記方式是Non-conjugated。對于C3orf18 Antibody,我們還提供其他標記。見下表:
-
克隆類型:Polyclonal
-
抗體亞型:IgG
-
純化方式:Antigen Affinity Purified
-
濃度:It differs from different batches. Please contact us to confirm it.
-
保存緩沖液:Preservative: 0.03% Proclin 300
Constituents: 50% Glycerol, 0.01M PBS, PH 7.4 -
產品提供形式:Liquid
-
應用范圍:ELISA, WB, IHC, IF
-
推薦稀釋比:
Application Recommended Dilution WB 1:500-1:2000 IHC 1:20-1:200 IF 1:50-1:200 -
Protocols:
-
儲存條件:Upon receipt, store at -20°C or -80°C. Avoid repeated freeze.
-
貨期:Basically, we can dispatch the products out in 1-3 working days after receiving your orders. Delivery time maybe differs from different purchasing way or location, please kindly consult your local distributors for specific delivery time.
-
用途:For Research Use Only. Not for use in diagnostic or therapeutic procedures.
相關產品
靶點詳情
-
亞細胞定位:Membrane; Single-pass membrane protein.
-
數據庫鏈接:
Most popular with customers
-
-
YWHAB Recombinant Monoclonal Antibody
Applications: ELISA, WB, IHC, IF, FC
Species Reactivity: Human, Mouse, Rat
-
-
-
-
-
-















