-
中文名稱:BUD31兔多克隆抗體
-
貨號:CSB-PA01749A0Rb
-
規格:¥440
-
圖片:
-
Western blot
All lanes: BUD31 antibody at 5µg/ml
Lane 1: Jurkat whole cell lysate
Lane 2: Raji whole cell lysate
Lane 3: NIH/3T3 whole cell lysate
Lane 4: K562 whole cell lysate
Lane 5: HepG2 whole cell lysate
Lane 6: U251 whole cell lysate
Secondary
Goat polyclonal to rabbit IgG at 1/10000 dilution
Predicted band size: 17, 18 kDa
Observed band size: 17 kDa -
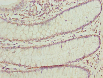
Immunohistochemistry of paraffin-embedded human colon cancer using CSB-PA01749A0Rb at dilution of 1:100
-
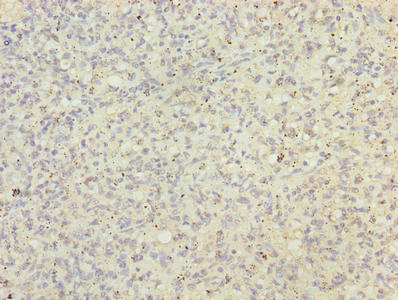
Immunohistochemistry of paraffin-embedded human spleen tissue using CSB-PA01749A0Rb at dilution of 1:100
-
Immunofluorescent analysis of MCF-7 cells using CSB-PA01749A0Rb at dilution of 1:100 and Alexa Fluor 488-congugated AffiniPure Goat Anti-Rabbit IgG(H+L)
-
-
其他:
產品詳情
-
產品名稱:Rabbit anti-Homo sapiens (Human) BUD31 Polyclonal antibody
-
Uniprot No.:
-
基因名:BUD31
-
別名:Bud31 antibody; BUD31 homolog (S. cerevisiae) antibody; BUD31_HUMAN antibody; Cwc14 antibody; EDG 2 antibody; EDG2 antibody; fSAP17 antibody; Functional spliceosome associated protein 17 antibody; G10 antibody; G10 maternal transcript homolog antibody; Maternal G10 transcript antibody; Protein BUD31 homolog antibody; Protein EDG-2 antibody; Protein G10 homolog antibody; YCR063W antibody
-
宿主:Rabbit
-
反應種屬:Human, Mouse
-
免疫原:Recombinant Human Protein BUD31 homolog protein (1-144AA)
-
免疫原種屬:Homo sapiens (Human)
-
標記方式:Non-conjugated
本頁面中的產品,BUD31 Antibody (CSB-PA01749A0Rb),的標記方式是Non-conjugated。對于BUD31 Antibody,我們還提供其他標記。見下表:
-
克隆類型:Polyclonal
-
抗體亞型:IgG
-
純化方式:>95%, Protein G purified
-
濃度:It differs from different batches. Please contact us to confirm it.
-
保存緩沖液:Preservative: 0.03% Proclin 300
Constituents: 50% Glycerol, 0.01M PBS, PH 7.4 -
產品提供形式:Liquid
-
應用范圍:ELISA, WB, IHC, IF
-
推薦稀釋比:
Application Recommended Dilution WB 1:500-1:2000 IHC 1:20-1:200 IF 1:50-1:200 -
Protocols:
-
儲存條件:Upon receipt, store at -20°C or -80°C. Avoid repeated freeze.
-
貨期:Basically, we can dispatch the products out in 1-3 working days after receiving your orders. Delivery time maybe differs from different purchasing way or location, please kindly consult your local distributors for specific delivery time.
-
用途:For Research Use Only. Not for use in diagnostic or therapeutic procedures.
引用文獻
相關產品
靶點詳情
-
功能:Involved in the pre-mRNA splicing process. May play a role as regulator of AR transcriptional activity; may increase AR transcriptional activity.
-
基因功能參考文獻:
- High BUD31 expression is associated with hepatocellular carcinoma. PMID: 25731616
-
亞細胞定位:Nucleus.
-
蛋白家族:BUD31 (G10) family
-
組織特異性:Detected in epithelial and stromal cells in benign prostate hyperplasia tissue (at protein level).
-
數據庫鏈接:
Most popular with customers
-
-
YWHAB Recombinant Monoclonal Antibody
Applications: ELISA, WB, IHC, IF, FC
Species Reactivity: Human, Mouse, Rat
-
Phospho-YAP1 (S127) Recombinant Monoclonal Antibody
Applications: ELISA, WB, IHC
Species Reactivity: Human
-
-
-
-
-















