BTG1 Antibody
-
中文名稱:BTG1兔多克隆抗體
-
貨號:CSB-PA192473
-
規格:¥1100
-
圖片:
-
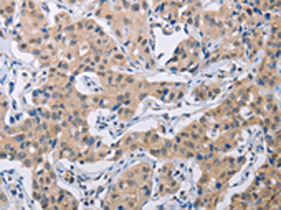
The image on the left is immunohistochemistry of paraffin-embedded Human thyroid cancer tissue using CSB-PA192473(BTG1 Antibody) at dilution 1/15, on the right is treated with fusion protein. (Original magnification: ×200)
-
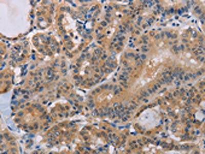
The image on the left is immunohistochemistry of paraffin-embedded Human lung cancer tissue using CSB-PA192473(BTG1 Antibody) at dilution 1/15, on the right is treated with fusion protein. (Original magnification: ×200)
-
-
其他:
產品詳情
-
Uniprot No.:
-
基因名:
-
別名:BTG1Protein BTG1 antibody; B-cell translocation gene 1 protein antibody
-
宿主:Rabbit
-
反應種屬:Human,Mouse,Rat
-
免疫原:Fusion protein of Human BTG1
-
免疫原種屬:Homo sapiens (Human)
-
標記方式:Non-conjugated
-
抗體亞型:IgG
-
純化方式:Antigen affinity purification
-
濃度:It differs from different batches. Please contact us to confirm it.
-
保存緩沖液:-20°C, pH7.4 PBS, 0.05% NaN3, 40% Glycerol
-
產品提供形式:Liquid
-
應用范圍:ELISA,IHC
-
推薦稀釋比:
Application Recommended Dilution ELISA 1:1000-1:2000 IHC 1:15-1:50 -
Protocols:
-
儲存條件:Upon receipt, store at -20°C or -80°C. Avoid repeated freeze.
-
貨期:Basically, we can dispatch the products out in 1-3 working days after receiving your orders. Delivery time maybe differs from different purchasing way or location, please kindly consult your local distributors for specific delivery time.
-
用途:For Research Use Only. Not for use in diagnostic or therapeutic procedures.
相關產品
靶點詳情
-
功能:Anti-proliferative protein.
-
基因功能參考文獻:
- This study demonstrated for the first time that lower expression of BTG1 correlated with poor survival in PDAC patients, which suggests that BTG1 expression may serve as an available prognostic biomarker in the future PMID: 29076521
- BTG1 expression is lowered in colorectal cancer cells. Forced BTG1 expression reverses aggressive phenotypes in colorectal cancers. PMID: 27447746
- BTG1 down-regulation in colorectal cancer occurs through epigenetic repression, which is involved in the development and progression of colorectal cancer. PMID: 29374692
- BTG1 gene deletion is associated with acute lymphoblastic leukemia. PMID: 28033648
- our results identify BTG1 as a tumor suppressor in leukemia that, when deleted, strongly enhances the risk of relapse in IKZF1-deleted B-cell precursor acute lymphoblastic leukemia, and augments the glucocorticoid resistance phenotype mediated by the loss of IKZF1 function. PMID: 27979924
- BTG1 interacts with ATF4 and positively modulates its activity by recruiting the protein arginine methyl transferase PRMT1 to methylate ATF4 on arginine residue 239. PMID: 26657730
- our data suggest that BTG1 overexpression combined with radiation therapy increases the therapeutic efficacy of breast cancer treatment via regulation of the cell cycle and apoptosis-related signaling pathways. PMID: 26503430
- Suggest that down-regulated BTG1 expression might promote gastric carcinogenesis partially due to its promoter methylation. BTG1 overexpression might reverse the aggressive phenotypes. PMID: 26050197
- Reduced BTG1 expression is associated with increased nasopharyngeal cancer severity, suggesting it is a negative regulator of the cancer and can serve as a prognostic indicator. Reduced BTG1 expression is possibly associated with tumour metastasis. PMID: 24985971
- Our results indicate that altered BTG1 expression might affect hepatocarcinogenesis and may represent a novel biomarker for HCC carcinogenesis and progression. PMID: 25405901
- Data indicate that microRNA-19a regulates prostate cancer cells by directly targeting B cell translocation gene-1 protein BTG1. PMID: 25936765
- Altered expression of BTG1 is a potential biomarker for carcinogenesis and progression of gastric cancer, particularly for proximal nondiffuse and diffuse GC. PMID: 25487193
- Results show that reduced BTG1 expression is associated with increased disease severity, suggesting it as negative regulator of thyroid cancer. PMID: 25017022
- Down-regulation of BTG1 by miR-454-3p renders tumor cells sensitive to radiation. PMID: 25115181
- BTG1 protein levels were significantly reduced in hepatocellular cancer and were associated with lymph node metastasis, clinical stage, cell differentiation, and prognosis. PMID: 25173640
- Bcell translocation 1 gene inhibits cellular metastasisassociated behavior in breast cancer. PMID: 24714932
- Reduced BTG1 expression is associated with increased disease severity, suggesting it is a negative regulator of esophageal cancer PMID: 24969561
- BTG1 deletions might play a role in leukemogenesis of B-cell precursor acute lymphoblastic leukemia as well as of BCR-ABL1-positive mixed-phenotype acute leukemia and chronic myeloid leukemia in B-lineage blast crisis (B-lineage). PMID: 24998463
- BTG1 may play important roles as a negative regulator to breast cancer cell. PMID: 24272202
- BTG1 expression decreased in nonsmall cell lung cancer and correlated significantly with lymph node metastasis; clinical stage; histological grade; poor overall survival PMID: 24264312
- Altered BTG1 expression might play a role in the pathogenesis. PMID: 24084718
- These results indicate that BTG1 may be used as a novel therapeutic target for human breast cancer treatment. PMID: 23982470
- BTG1 deletions are not associated with down syndrome acute lymphoblastic leukemia PMID: 22868968
- BTG1 loss is a novel finding in acute lymphoblastic leukemia in children with down syndrome PMID: 22072402
- BTG1 regulates glucocorticoid receptor autoinduction in acute lymphoblastic leukemia. PMID: 20354172
- Antiproliferative proteins of the BTG/Tob family are degraded by the ubiquitin-proteasome system. the C-terminal regions are necessary and sufficient to control the stabilities of BTG1, BTG2, Tob, and Tob2 proteins. PMID: 12135500
- FoxO3a controls expression of BTG1 and subsequent regulation of protein arginine methyl transferase activity. PMID: 14734530
- BTG1 may play an important role in the process of angiogenesis PMID: 15033446
- BTG1 is a novel important coactivator involved in the regulation of myoblast differentiation. PMID: 15674337
- five genes (TNFSF10/TRAIL, IL1RN, IFI27, GZMB, and CCR5) were upregulated and three genes (CLK1, TNFAIP3 and BTG1) were downregulated in at least three out of four subpopulations during acute GVHD. PMID: 18814951
- These findings support the hypothesis that BTG1 polymorphisms may influence genetic predisposition for MS, especially in relapse-onset MS patients. PMID: 19515430
顯示更多
收起更多
-
相關疾病:A chromosomal aberration involving BTG1 may be a cause of a form of B-cell chronic lymphocytic leukemia. Translocation t(8;12)(q24;q22) with MYC.
-
蛋白家族:BTG family
-
數據庫鏈接:
Most popular with customers
-
-
YWHAB Recombinant Monoclonal Antibody
Applications: ELISA, WB, IHC, IF, FC
Species Reactivity: Human, Mouse, Rat
-
Phospho-YAP1 (S127) Recombinant Monoclonal Antibody
Applications: ELISA, WB, IHC
Species Reactivity: Human
-
-
-
-
-















