BOLL Antibody
-
中文名稱:BOLL兔多克隆抗體
-
貨號:CSB-PA177370
-
規格:¥1100
-
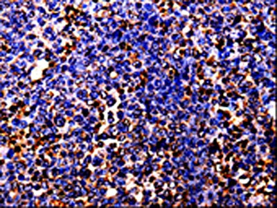
圖片:
-
The image is immunohistochemistry of paraffin-embedded Human lung cancer tissue using CSB-PA177370(BOLL Antibody) at dilution 1/10. (Original magnification: ×200)
-
The image is immunohistochemistry of paraffin-embedded Human ovarian cancer tissue using CSB-PA177370(BOLL Antibody) at dilution 1/10. (Original magnification: ×200)
-
-
其他:
產品詳情
-
Uniprot No.:
-
基因名:
-
別名:Bol (Drosophila boule homolog) like antibody; Bol antibody; Bol boule like antibody; Bol, boule like (Drosophila) antibody; bol, boule-like (Drosophila) antibody; Boll antibody; BOLL_HUMAN antibody; BOULE antibody; Boule like antibody; BOULE, Drosophila, homolog of antibody; Protein boule like antibody; Protein boule-like antibody; Putative uncharacterized protein BOLL antibody
-
宿主:Rabbit
-
反應種屬:Human,Mouse
-
免疫原:Fusion protein of Human BOLL
-
免疫原種屬:Homo sapiens (Human)
-
標記方式:Non-conjugated
-
抗體亞型:IgG
-
純化方式:Antigen affinity purification
-
濃度:It differs from different batches. Please contact us to confirm it.
-
保存緩沖液:-20°C, pH7.4 PBS, 0.05% NaN3, 40% Glycerol
-
產品提供形式:Liquid
-
應用范圍:ELISA,IHC
-
推薦稀釋比:
Application Recommended Dilution ELISA 1:500-1:5000 IHC 1:5-1:20 -
Protocols:
-
儲存條件:Upon receipt, store at -20°C or -80°C. Avoid repeated freeze.
-
貨期:Basically, we can dispatch the products out in 1-3 working days after receiving your orders. Delivery time maybe differs from different purchasing way or location, please kindly consult your local distributors for specific delivery time.
-
用途:For Research Use Only. Not for use in diagnostic or therapeutic procedures.
相關產品
靶點詳情
-
功能:Probable RNA-binding protein, which may be required during spermatogenesis. May act by binding to the 3'-UTR of mRNAs and regulating their translation.
-
基因功能參考文獻:
- hypermethylation of DAZL and BOULE promoters in human sperm is associated with human infertility PMID: 27358391
- Our study demonstrated an oncogenic role of BOLL in CRC despite tumor-specific promoter hypermethylation. PMID: 25605553
- demonstrate that Boll is also transiently expressed during oogenesis in the fetal mouse ovary, but is simultaneously co-expressed within the same germ cells as Dazl PMID: 24086306
- Assessing the expression of both CDY1 and BOULE by qualitative RT-PCR is a sensitive and feasible test for predicting the presence of sperm cells in testicular tissue biopsies. PMID: 21474125
- expression of spermatogenic phenotypes of partial AZFc deletions is independent of the variations in DAZL and BOULE in the Han population PMID: 19342699
- BOULE may encode a key conserved switch that regulates progression of germ cells through meiosis in men. PMID: 12499397
- Role in spermatogenesis. Decreased DAZ proteins in spermatogenic failure may be due to germ cell loss. Transcription of BOULE, DAZL, and DAZ not altered in degrees of spermatogenic failure. No increase of DAZL or BOULE found in DAZ deletion. PMID: 15066460
- Major group of infertile men with meiotic arrest lack BOULE protein and its putative target, CDC25A expression. Spermatogenic failure may arise from factor(s) upstream of BOULE possibly involved in regulating transcription and/or translation of BOULE. PMID: 15070965
- BOULE coding sequence mutations are not an important factor in the aetiology of azoospermia. PMID: 15379971
- mutations in BOULE can be eliminated as a major cause of impaired spermatogenesis. PMID: 15705409
- Among the three BOULE isoforms, B2 might have the major role for meiotic completion. PMID: 17114206
- CDC25A is subject to translational control by BOLL, which is an evolutionarily conserved mechanism. PMID: 19417033
- human DAZL (deleted in azoospermia-like) functions in primordial germ-cell formation, whereas closely related genes DAZ and BOULE (also called BOLL) promote later stages of meiosis and development of haploid gametes PMID: 19865085
顯示更多
收起更多
-
亞細胞定位:Cytoplasm.
-
蛋白家族:RRM DAZ family
-
組織特異性:Testis specific. Not expressed in early embryos, primordial germ cells and spermatogonial cells. First expressed in the cytoplasm of spermatocytes and then persists through meiosis.
-
數據庫鏈接:
Most popular with customers
-
-
YWHAB Recombinant Monoclonal Antibody
Applications: ELISA, WB, IHC, IF, FC
Species Reactivity: Human, Mouse, Rat
-
Phospho-YAP1 (S127) Recombinant Monoclonal Antibody
Applications: ELISA, WB, IHC
Species Reactivity: Human
-
-
-
-
-















