BMPR1B Antibody
-
中文名稱:BMPR1B兔多克隆抗體
-
貨號:CSB-PA698112
-
規格:¥1100
-
圖片:
-
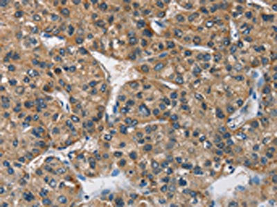
The image on the left is immunohistochemistry of paraffin-embedded Human thyroid cancer tissue using CSB-PA698112(BMPR1B Antibody) at dilution 1/25, on the right is treated with fusion protein. (Original magnification: ×200)
-
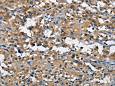
The image on the left is immunohistochemistry of paraffin-embedded Human liver cancer tissue using CSB-PA698112(BMPR1B Antibody) at dilution 1/25, on the right is treated with fusion protein. (Original magnification: ×200)
-
-
其他:
產品詳情
-
Uniprot No.:
-
基因名:
-
別名:BMPR1B; Bone morphogenetic protein receptor type-1B; BMP type-1B receptor; BMPR-1B; CD antigen CDw293
-
宿主:Rabbit
-
反應種屬:Human,Mouse
-
免疫原:Fusion protein of Human BMPR1B
-
免疫原種屬:Homo sapiens (Human)
-
標記方式:Non-conjugated
-
抗體亞型:IgG
-
純化方式:Antigen affinity purification
-
濃度:It differs from different batches. Please contact us to confirm it.
-
保存緩沖液:-20°C, pH7.4 PBS, 0.05% NaN3, 40% Glycerol
-
產品提供形式:Liquid
-
應用范圍:ELISA,IHC
-
推薦稀釋比:
Application Recommended Dilution ELISA 1:2000-1:5000 IHC 1:25-1:100 -
Protocols:
-
儲存條件:Upon receipt, store at -20°C or -80°C. Avoid repeated freeze.
-
貨期:Basically, we can dispatch the products out in 1-3 working days after receiving your orders. Delivery time maybe differs from different purchasing way or location, please kindly consult your local distributors for specific delivery time.
-
用途:For Research Use Only. Not for use in diagnostic or therapeutic procedures.
相關產品
靶點詳情
-
功能:On ligand binding, forms a receptor complex consisting of two type II and two type I transmembrane serine/threonine kinases. Type II receptors phosphorylate and activate type I receptors which autophosphorylate, then bind and activate SMAD transcriptional regulators. Receptor for BMP7/OP-1 and GDF5. Positively regulates chondrocyte differentiation through GDF5 interaction.
-
基因功能參考文獻:
- Results identified the tumor-suppressive BMPR1B regulated by miR-1274a in clear cell renal cell carcinoma. PMID: 29192325
- We detected two BMPR1B mutations in two unrelated PRS families, suggesting that BMPR1B disruption is probably a cause of human PRS. PMID: 28418932
- over-expression of CYP2J2 in MDA-MB-468-derived breast cancer cells activates BMPR1B expression that may contribute to increased migration PMID: 27720933
- Mutations in three genes (GDF5, NPR2, BMPR1B) have been reported to cause different forms of acromesomelic dysplasia PMID: 26926249
- Results show an association between age-induced depletion of the ovarian reserve and BMPR1B receptor density and suggest that the dysregulation of BMP receptor signalling may inhibit the normal steroidogenic differentiation required for maturation in older patients. PMID: 26805635
- Low expression of BMPRIB is associated with breast cancer. PMID: 26684357
- Two novel mutations in BMPR1B were identified in two patients with brachydactyly type A1. PMID: 25758993
- Using computational analyses with the COREX/BEST algorithm, the study uncovered an overall pattern connecting various regions of BMPR-1B ectodomain, including the four conserved residues in the protein-protein interface. PMID: 26562759
- Novel mutation in the BMPR1B gene (R486L) in a Polish family and further delineation of the phenotypic features of BMPR1B-related brachydactyly. PMID: 25776145
- Data found a hypomorphic BMPR1B mutation causes du Pan acromesomelic dysplasia PMID: 26105076
- Disequilibrium of BMP2 levels in the breast stem cell niche launches epithelial transformation by overamplifying BMPR1B cell response. PMID: 25601208
- Disrupting the binding of miR-125b toward BMPR1B would increase protein expression, diminishing abnormal cell proliferation as well as serum and cellular CA125 levels PMID: 24339876
- Data indicate missense (c.157T>C, p.(C53R)) or nonsense (c.657G>A, p.(W219*)) mutations in bone morphogenetic protein receptor type IB (BMPR1B) in two consanguineous families with acromesomelic chondrodysplasia-type Grebe. PMID: 24129431
- the shear-induced apoptosis and autophagy are mediated by bone morphogenetic protein receptor type (BMPR)-IB, BMPR-specific Smad1 and Smad5, and p38 mitogen-activated protein kinase. PMID: 24021264
- A significant association was observed between the 455C allele of BMP4 and increased left ventricular internal diameter systolic (p=0.004) and between 1650T allele of BMPR1B and lower left atrium diameter (p=0.038). PMID: 22971142
- Suggest that BMPR1B mutations are associated with the pathogenesis of childhood idiopathic pulmonary arterial hypertension. PMID: 22374147
- BMP15 uses preferentially BMPR1B as its type I receptor, suggesting an important role for the BMPR1B receptor in human female fertility PMID: 22294741
- rs1434536 in the 3'UTR of BMPR1B gene affects the binding ability of miR-125b to BMPR1B mRNA and contributes to the genetic predisposition to localized prostate cancer and patients aged>70 years. PMID: 21556765
- BMPR1B were detected in the human retina and retinoblastoma cell lines. PMID: 21152263
- performed linkage analysis in brachydactyly (BD) type A2 and mapped a locus for BD type A2 to 4q21-q25. This interval includes the gene bone morphogenetic protein receptor 1B. PMID: 14523231
- BMP-2-induced apoptosis was mediated by BMP-RIB in osteoblasts and occurred independently of BMP-2-induced osteoblast differentiation. PMID: 14576167
- the BMP system is strongly involved in pulmonary artery smooth muscle mitosis through ALK-6, resulting in the progression of vascular remodeling of pulmonary arteries in pulmonary hypertension. PMID: 15192043
- Anti mullerian hormnoe is a gonadal tumor suppressor which mediates its effects through a specific type II receptor and the bone morphogenetic protein (BMP)-specific Smad proteins. PMID: 15897891
- GDF5 is a novel brachydactyly type A2 causing gene involving BMPR1b impaired activity. PMID: 16014698
- Results indicate that increased bone morphogenetic protein receptor (BMPR)-IB by TGF-beta1, FGF-2, and PDGF-AB significantly enhances BMP-2-induced osteogenesis in vitro. PMID: 17001689
- HGF up-regulates the expression of the bone morphogenetic protein receptors, BMPR-IB and BMPR-II, in prostate cancer cells PMID: 17203235
- significant shift in the emission maximum from 498 to 510 nm was detected when bis-ANS binds ecBMPR-IB. FRET revealed close proximity between the tyrosine & bis-ANS binding site. PMID: 17363346
- Our results indicated the potential involvement of ALK6 activation by rhTGFbetas in the synergy between rhTGFbetas and rhBMPs. PMID: 17381068
- there was significant down-regulation of ALK-6 (activin receptor-like kinase 6) expression in asthma patients at baseline; allergy challenge was associated with upregulation PMID: 18292470
- Changes in BMPR1B localization regulate osteogenic responses of bone cells to BMP2. PMID: 18619554
- the interaction of Ror2 with BRIb is specific and independent of post-translational N-glycosylation. PMID: 19135982
- decreased expression of BMPR-IB correlates with poor prognosis in breast cancer patients and leads to increased cell proliferation of breast cancer cells in vitro PMID: 19451094
- Decrease BMPR-1B expression led to decreased SMAD1 phosphorylation and correlated witht he malignant grade of human gliomas and a poor prognosis. PMID: 19513897
- Results suggest that allele-specific regulation of BMPR1B by miR-125b explains the observed disease risk in breast cancer. PMID: 19738052
顯示更多
收起更多
-
相關疾病:Acromesomelic dysplasia, Demirhan type (AMDD); Brachydactyly A2 (BDA2); Brachydactyly A1, D (BDA1D)
-
亞細胞定位:Cell membrane. Membrane; Single-pass type I membrane protein.
-
蛋白家族:Protein kinase superfamily, TKL Ser/Thr protein kinase family, TGFB receptor subfamily
-
數據庫鏈接:
Most popular with customers
-
-
YWHAB Recombinant Monoclonal Antibody
Applications: ELISA, WB, IHC, IF, FC
Species Reactivity: Human, Mouse, Rat
-
Phospho-YAP1 (S127) Recombinant Monoclonal Antibody
Applications: ELISA, WB, IHC
Species Reactivity: Human
-
-
-
-
-















