BMP15 Antibody
-
中文名稱:BMP15兔多克隆抗體
-
貨號:CSB-PA192471
-
規格:¥1100
-
圖片:
-
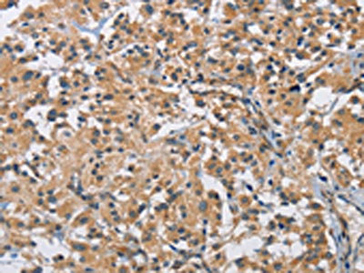
The image on the left is immunohistochemistry of paraffin-embedded Human thyroid cancer tissue using CSB-PA192471(BMP15 Antibody) at dilution 1/40, on the right is treated with fusion protein. (Original magnification: ×200)
-
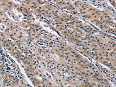
The image on the left is immunohistochemistry of paraffin-embedded Human gastric cancer tissue using CSB-PA192471(BMP15 Antibody) at dilution 1/40, on the right is treated with fusion protein. (Original magnification: ×200)
-
Gel: 10%SDS-PAGE, Lysate: 60 μg, Lane: A549 cells, Primary antibody: CSB-PA192471(BMP15 Antibody) at dilution 1/266.7, Secondary antibody: Goat anti rabbit IgG at 1/8000 dilution, Exposure time: 5 minutes
-
-
其他:
產品詳情
-
Uniprot No.:
-
基因名:BMP15
-
別名:BMP 15 antibody; BMP-15 antibody; BMP15 antibody; BMP15_HUMAN antibody; Bone morphogenetic protein 15 antibody; GDF 9B antibody; GDF-9B antibody; GDF9B antibody; Growth/differentiation factor 9B antibody; ODG2 antibody; POF4 antibody
-
宿主:Rabbit
-
反應種屬:Human
-
免疫原:Fusion protein of Human BMP15
-
免疫原種屬:Homo sapiens (Human)
-
標記方式:Non-conjugated
-
抗體亞型:IgG
-
純化方式:Antigen affinity purification
-
濃度:It differs from different batches. Please contact us to confirm it.
-
保存緩沖液:-20°C, pH7.4 PBS, 0.05% NaN3, 40% Glycerol
-
產品提供形式:Liquid
-
應用范圍:ELISA,WB,IHC
-
推薦稀釋比:
Application Recommended Dilution ELISA 1:1000-1:2000 WB 1:200-1:1000 IHC 1:50-1:200 -
Protocols:
-
儲存條件:Upon receipt, store at -20°C or -80°C. Avoid repeated freeze.
-
貨期:Basically, we can dispatch the products out in 1-3 working days after receiving your orders. Delivery time maybe differs from different purchasing way or location, please kindly consult your local distributors for specific delivery time.
-
用途:For Research Use Only. Not for use in diagnostic or therapeutic procedures.
相關產品
靶點詳情
-
功能:May be involved in follicular development. Oocyte-specific growth/differentiation factor that stimulates folliculogenesis and granulosa cell (GC) growth.
-
基因功能參考文獻:
- The present mini-review provides an overview of recent findings relating GDF-9 and BMP-15 as fundamental factors implicated in the regulation of ovarian function and discusses their potential role as markers of oocyte quality in women. PMID: 30039232
- Data suggest that GDF9 and BMP15 are oocyte-secreted factors with leading roles in control of ovarian function in female reproduction, modulating both fate of somatic granulosa cells and quality/developmental competence of the egg. (GDF9 = growth and differentiation factor-9; BMP15 = bone morphogenetic protein-15) [REVIEW] PMID: 29544636
- the expression of BMP15 in follicular fluid and Smad1 in granulosa cells was significantly decreased in the PCOS group compared with the control (P<0.05). The data suggested that the BMP15/Smad1 signalling pathway may be involved in granulosa cell apoptosis PMID: 28983616
- BMP15 did not seem critical for follicles to enter the growth phase. Genetic counselling should be performed and fertility preservation discussed before progressive loss of follicular reserve PMID: 28094433
- Mutations in BMP15 associated with primary ovarian insufficiency reduce mature protein production, activity, or synergy with GDF9. PMID: 28359091
- Human GDF9 and BMP15 act synergistically to stimulate granulosa cell proliferation, a response that also involves species-specific non-SMAD signalling pathways. PMID: 25155366
- GDF9 c.169G>T (D57Y), c.546G>A (rs1049127), and BMP15 rs79377927 (788_789insTCT) were associated with premature ovarian failure in the Chinese Hui population. PMID: 25954833
- BMP15 supplementation differentially modulates reductive metabolism and mitochondrial localization within the oocyte. PMID: 25721374
- results support a model of activation for human GDF9 dependent on cumulin formation through heterodimerization with BMP15. Oocyte-secreted cumulin is likely to be a central regulator of fertility in mono-ovular mammals. PMID: 26254468
- GDF9 and BMP15 expression is reduced in primordial, primary, and secondary follicles in ovarian tissues of PCOS patients. PMID: 25172094
- The results showed no direct association between BMP15-9G or 852T and the development of premature ovarian failure (POF). Women with the 538A mutation are up to five times more likely to develop POF. The 788insTCT polymorphism had low biological impact. PMID: 25445105
- the BMP15 c.-9G allele is related to BMP15 increased transcription, supporting c.-9C>G as a causal agent of premature ovarian failure PMID: 25246117
- BMP15 polymorphism is not associated with ovarian reserve. PMID: 25336710
- BMP15 is a critical regulator of folliculogenesis and granulosa cell activities. Variations in BMP15 gene dosage have a relevant influence on ovarian function and can account for several defects of female fertility. PMID: 24980253
- Data suggest upregulation of mRNA for BMP15 and GDF9 (growth differentiation factor 9) in cumulus granulosa cells serves as biomarker for oocyte maturation, fertilization, embryo quality, and pregnancy in couples undergoing ICSI for male infertility. PMID: 25139161
- Oocyte-derived BMP15 decreases gap junction intercellular communication activity between human granulosa cells by down-regulating Cx43 expression, most likely via a Smad-dependent signaling pathway. PMID: 24413384
- BMP15 down-regulates StAR expression and decreases progesterone production in human granulosa cells, likely via ALK3-mediated SMAD1/5/8 signaling. PMID: 24140593
- Data from cultured mouse preantral follicles suggest that [human recombinant] BMP15 promotes follicle growth in short term (24 hours) incubation; subsequently BMP15 (48-72 hours) causes follicular atresia with increased granulosa cell apoptosis. PMID: 23782946
- genetic association studies in population of women in Spain: Data suggest an association between an SNP in BMP15 (rs3897937) and age at menopause; thus, duration of fertility in women may have genetic determinants involved in estrogen metabolism. PMID: 23173577
- BMP15 and GDF9 transcript levels increase in mature oocytes from women with polycystic ovary syndrome after ovarian stimulation, and might inhibit the progesterone secretion by follicular cells PMID: 22825968
- the activation of bone morphogenetic protein 15 gene (BMP15) during the differentiation of human amniotic fluid stem cells (hAFSCs) into oocyte-like cells PMID: 22356426
- This study evaluated the levels of bone morphogenetic protein receptors BMPRIB and BMPRII mRNA in goat follicles and the effects of bone morphogenetic protein-15 (BMP-15) on the in vitro development of cultured preantral follicles. PMID: 22382392
- BMP15 uses preferentially BMPR1B as its type I receptor, suggesting an important role for the BMPR1B receptor in human female fertility PMID: 22294741
- BMP15 is associated with high response to ovarian stimulation. PMID: 21565556
- BMP15 gene mutations may be potentially associated with polycystic ovarian syndrome patients. PMID: 22014425
- In the samples from girls/women, the number of developing follicles was greater with GDF9 or BMP15 alone than with no BMP15 or GDF9. PMID: 21632818
- The expression of GDF9 and BMP15 in oocytes from patients with polycystic ovary syndrome cannot reach the normal level even after ovarian stimulation. PMID: 21669410
- There were no statistically significant differences in embryo quality among the patients regarding follicular fluid BMP15 expression status. PMID: 21496799
- Results describe a purified untagged human BMP15 mature region, which is stable and highly bioactive in human and rodent granulosa cells and as such is of importance for studies on human fertility. PMID: 20937357
- Integral role of GDF-9 and BMP-15 in ovarian function. PMID: 21226076
- Impaired production of BMP15 and GDF9 mature proteins derived from proproteins with mutation in the proregion. PMID: 20547206
- Various missense variants of the BMP15 gene were identified among patients with premature ovarian failure. PMID: 20364024
- data demonstrate that polymorphisms in major folliculogenesis genes, GDF9, BMP15, AMH, and AMHR2, are not associated with polycystic ovary syndrome susceptibility. PMID: 20236105
- No significant difference was detected in the expression of BMP-15 between patients with polycystic ovary syndrome and controls. PMID: 19376510
- Data show that show that Golgi apparatus casein kinase (G-CK) catalyzes the phosphorylation of rhBMP-15 and rhGDF-9. PMID: 20067794
- in Chinese premature ovarian failure patients, study revealed 3 variants in coding region of BMP15 - an insertion p.262insLeu in 5 patients & 2 novel mutations c.985C>T (p.Arg329Cys)& c.598C>T (p.His200Tyr) PMID: 19438907
- Results describe the expression and characterization of recombinant human BMP15, which is biologically active and very stable, and can induce the expression of a variety of mouse granulosa cell genes. PMID: 19651638
- Bone morphogenetic protein-15 is expressed in oocytes and cumulus granulosa cells and may play an important role in the hCG-induced oocyte final maturation and corpus luteum (CL) formation PMID: 19635612
- Data show that bone morphogenetic protein-15 activates the Smad pathway in granulosa cell models. PMID: 12419820
- interaction with growth and differentiation factor-9 and implication in aberrant ovarian phenotype PMID: 12446716
- BMP-15 and GDF-9 have roles in fertility; critical sequences are determined by mutagenesis PMID: 14970198
- Hypergonadotropic ovarian failure is associated with an inherited mutation of human bone morphogenetic protein-15 gene. PMID: 15136966
- comparison of the molecular characteristics of BMP-15 of polyovulatory mice with that of monoovulatory humans PMID: 15809424
- Missense mutations in the BMP15 gene are associated with ovarian failure PMID: 16508750
- although mutations in BMP15 and GDF9 are not a major cause of ovarian insufficiency, they may be involved in premature ovarian failure PMID: 16645022
- Mutational screening of the bone morphogenetic protein 15 (BMP15) and growth differentiation factor 9 (GDF9) genes in a population with premature ovarian failure (POF) identified no new mutations. PMID: 17027369
- a BMP15 alteration,as a possible cause of ovarian failure, previously described as a mutation, is instead a polymorphism PMID: 17826728
- We analyzed two polymorphisms (-9C>G and IVS1+905A>G) within the BMP15 gene in women from Spain with polycystic ovary syndrome (PCOS). BMP15 gene does not seem to be associated with PCOS. PMID: 17905236
- phosphorylation state of rhBMP-15 and rhGDF-9 is a determinant of their agonistic and antagonistic activities PMID: 18006624
- characterization of the post-translational modification of recombinant BMP-15 mature protein (P16 and P17); findings are the first knowledge of the structure of rhBMP-15 mature protein toward understanding the molecular basis of BMP-15 function PMID: 18227435
顯示更多
收起更多
-
相關疾病:Ovarian dysgenesis 2 (ODG2); Premature ovarian failure 4 (POF4)
-
亞細胞定位:Secreted.
-
蛋白家族:TGF-beta family
-
數據庫鏈接:
Most popular with customers
-
YWHAB Recombinant Monoclonal Antibody
Applications: ELISA, WB, IHC, IF, FC
Species Reactivity: Human, Mouse, Rat
-
-
-
-
-
-
-















