BLK Antibody
-
中文名稱:BLK兔多克隆抗體
-
貨號:CSB-PA237032
-
規格:¥1100
-
圖片:
-
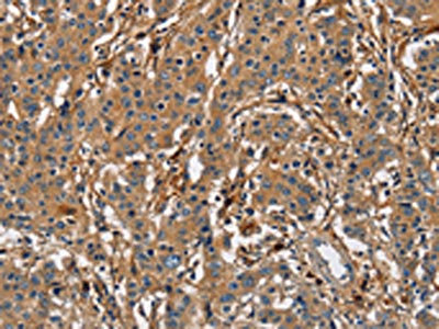
The image on the left is immunohistochemistry of paraffin-embedded Human thyroid cancer tissue using CSB-PA237032(BLK Antibody) at dilution 1/20, on the right is treated with fusion protein. (Original magnification: ×200)
-
The image on the left is immunohistochemistry of paraffin-embedded Human gastric cancer tissue using CSB-PA237032(BLK Antibody) at dilution 1/20, on the right is treated with fusion protein. (Original magnification: ×200)
-
Gel: 8%SDS-PAGE, Lysate: 40 μg, Lane: A172 cells, Primary antibody: CSB-PA237032(BLK Antibody) at dilution 1/250, Secondary antibody: Goat anti rabbit IgG at 1/8000 dilution, Exposure time: 2 minutes
-
-
其他:
產品詳情
-
Uniprot No.:
-
基因名:BLK
-
別名:B lymphocyte kinase antibody; B lymphoid tyrosine kinase antibody; Blk antibody; BLK nonreceptor tyrosine kinase antibody; BLK_HUMAN antibody; EC 2.7.10.2 antibody; MGC 10442 antibody; MGC10442 antibody; MODY 11 antibody; MODY11 antibody; P55 BLK antibody; p55-BLK antibody; Tyrosine kinase B lymphocyte specific antibody; Tyrosine protein kinase antibody; Tyrosine-protein kinase BLK antibody
-
宿主:Rabbit
-
反應種屬:Human,Mouse
-
免疫原:Fusion protein of Human BLK
-
免疫原種屬:Homo sapiens (Human)
-
標記方式:Non-conjugated
-
抗體亞型:IgG
-
純化方式:Antigen affinity purification
-
濃度:It differs from different batches. Please contact us to confirm it.
-
保存緩沖液:-20°C, pH7.4 PBS, 0.05% NaN3, 40% Glycerol
-
產品提供形式:Liquid
-
應用范圍:ELISA,WB,IHC
-
推薦稀釋比:
Application Recommended Dilution ELISA 1:1000-1:2000 WB 1:200-1:1000 IHC 1:25-1:100 -
Protocols:
-
儲存條件:Upon receipt, store at -20°C or -80°C. Avoid repeated freeze.
-
貨期:Basically, we can dispatch the products out in 1-3 working days after receiving your orders. Delivery time maybe differs from different purchasing way or location, please kindly consult your local distributors for specific delivery time.
-
用途:For Research Use Only. Not for use in diagnostic or therapeutic procedures.
相關產品
靶點詳情
-
功能:Non-receptor tyrosine kinase involved in B-lymphocyte development, differentiation and signaling. B-cell receptor (BCR) signaling requires a tight regulation of several protein tyrosine kinases and phosphatases, and associated coreceptors. Binding of antigen to the B-cell antigen receptor (BCR) triggers signaling that ultimately leads to B-cell activation. Signaling through BLK plays an important role in transmitting signals through surface immunoglobulins and supports the pro-B to pre-B transition, as well as the signaling for growth arrest and apoptosis downstream of B-cell receptor. Specifically binds and phosphorylates CD79A at 'Tyr-188'and 'Tyr-199', as well as CD79B at 'Tyr-196' and 'Tyr-207'. Phosphorylates also the immunoglobulin G receptors FCGR2A, FCGR2B and FCGR2C. With FYN and LYN, plays an essential role in pre-B-cell receptor (pre-BCR)-mediated NF-kappa-B activation. Contributes also to BTK activation by indirectly stimulating BTK intramolecular autophosphorylation. In pancreatic islets, acts as a modulator of beta-cells function through the up-regulation of PDX1 and NKX6-1 and consequent stimulation of insulin secretion in response to glucose. Phosphorylates CGAS, promoting retention of CGAS in the cytosol.
-
基因功能參考文獻:
- our results indicated that the BLK rs13277113 polymorphism was involved in the genetic background of RA in Chinese population and the association of BANK1 rs3733197 polymorphism with RA was dependent on the genotype of BLK rs13277113 polymorphism, highlighting B-cell response implicated in the pathogenesis of RA. PMID: 28925718
- present study suggests a novel association between specific TNFSF4 and BLK gene polymorphisms and allergic rhinitis risk. PMID: 28713926
- This meta-analysis confirms that polymorphisms in the BLK alleles rs13277113 A/G, rs2736340 T/C, and rs2248932 T/C are associated with susceptibility to SLE in Caucasian and Asian populations. PMID: 27067206
- Confirm the association of rs548234/ATG5, rs2736340/BLK and rs10516487/BANK1 with systemic lupus erythematosus in Chinese Han and reinforced our hypothesis of their epistasis effect in regulating B-cell signaling in SLE. PMID: 26420661
- ur study provides evidence that human BLK is a true proto-oncogene capable of inducing tumors, and we demonstrate a novel BLK activity-dependent tumor model suitable for studies of BLK-driven lymphomagenesis and screening of novel BLK inhibitors in vivo. PMID: 28670978
- rs13277113 GA genotype of BLK is more frequent in Systemic Lupus Erythematosus patients and may have a role in low gene expression and increased flares PMID: 27864698
- current meta-analysis suggested that FAM167A-BLK rs2736340 polymorphism is associated with several autoimmune diseases PMID: 27105348
- the SNPs in TNFSF4 and FAM167A-BLK may be involved in asthma and allergic rhinitis gene risk in the Han Chinese cohort. PMID: 27088737
- The systemic lupus erythematosus variant Ala71Thr of BLK severely decreases protein abundance and binding to BANK1 through impairment of the SH3 domain function. PMID: 26821283
- Report a novel BLK gene variant in common variable immunodeficiency-patients that causes suppressed B-cell proliferation and reduced ability of B-cells to elicit antigen-specific CD4(+) T-cell responses. PMID: 25926555
- A major mechanism underlying the BLK association with autoimmune disease involves lowered thresholds for basal B cell receptor signaling, enhanced B cell-T cell interactions, and altered patterns of isotype switching. PMID: 26246128
- our study reveals a previously unappreciated role of reduced BLK expression on extraperitoneal accumulation of B1a cells in mice, as well as the presence of IgG autoantibodies and B1-like cells in humans. PMID: 25972485
- Results support previous findings that vaiants in the RHOB and FAM167A-BLK genes may be associated with susceptibility to systemic sclerosis. PMID: 25470816
- These results place Blk upstream of the p190RhoGAP-RhoA pathway in Galpha13-activated cells, overall representing an opposing signaling module during CXCL12-triggered invasion. PMID: 25025568
- Report role of BLK genetic variants in confering risk of systemic lupus erythematosus in Chinese population. PMID: 24091983
- The observations suggested that C8orf13-BLK, in combination with STAT4, plays a pivotal role in creating genetic susceptibility to polymyositis/dermatomyositis in Japanese individuals. PMID: 24632671
- B-lymphoid tyrosine kinase (Blk) is an oncogene and a potential target for therapy with dasatinib in cutaneous T-cell lymphoma PMID: 24919804
- results demonstrated that both lupus-associated functional variants contribute to the autoimmune disease association by modulating transcription of BLK in B cells and thus potentially altering immune responses PMID: 24702955
- Our study confirms evidence for epistasis between BLK and BANK1 in systemic lupus erythematosis from a Chinese population for the first time. PMID: 24085759
- The BLK region was significantly associated with Kawasaki disease susceptibility in populations of Korean and European descent. PMID: 24023612
- BANK1 and BLK have roles in B-cell signaling through phospholipase C gamma 2 PMID: 23555801
- SNPs of the FAM167A-BLK region, but not the BANK1 SNPs, were associated with the development of primary Sjogren's syndrome in Han Chinese. PMID: 23899688
- This study confirms BANK1 as an RA susceptibility gene and for the first time provides evidence for epistasis between BANK1 and BLK in RA. PMID: 23646104
- study demonstrated that the loss-of-function BLK-p.A71T mutation is very unlikely to cause MODY; instead, it may modestly influence type 2 diabetes risk through an interaction with obesity PMID: 23224494
- the functional SNP BLK rs2248932 T/C variant allele was associated with rheumatoid arthritis development PMID: 22740142
- Blk allele expression differences at the protein level are restricted to early B cells. PMID: 22678060
- The genetic variants in the promoter region of BLK may cause dysregulation of BLK expression, which might finally contribute to the initiation and progression of systemic lupus erythematosus. PMID: 22313735
- BCR-ABL downregulates the Blk gene (encoding B-lymphoid kinase) through c-Myc in leukemic stem cells in chronic myeloid leukemia PMID: 22797726
- Expression of RUNX1 isoforms and its target gene BLK in childhood acute lymphoblastic leukemia. PMID: 22748822
- Rare and common regulatory variants in BLK are involved in disease susceptibility in systemic lupus erythematosus. PMID: 22696686
- Single nucleotide polymorphism in BLK gene is associated with Kawasaki disease. PMID: 22446961
- allelic variation in Blk does not play a major role in determining multifocal motor neuropathy susceptibility. PMID: 22003931
- This study shows a genetic interaction between BANK1 and BLK, and demonstrates that these molecules interact physically. PMID: 21978998
- Moderate evidence exists for an association between the BLK rs13277113, rs2248932 variants and systemic lupus erythematosus. PMID: 21152986
- study evaluated SNP rs2248932 from BLK and further defined its role in systemic lupus erythematosus (SLE) risk; its association with SLE was confirmed in Chinese Han population PMID: 20130895
- studies found that IRF5, STAT4 and BLK are associated not only with systemic lupus erythematosus, but also rheumatoid arthritis and systemic sclerosis [review] PMID: 20453440
- our results do not support a major implication of the C8orf13-BLK gene region in susceptibility to Giant cell arteritis PMID: 20156505
- Results indicate the FAM167A-BLK region may be a shared genetic factor for a number of autoimmune diseases in multiple populations, but the genetic contribution may be grater in Asian populations. PMID: 19740902
- genetic polymorphism is associated with systemic sclerosis in North-American and European populations PMID: 19796918
- Our findings indicate that the rs13277113A allele is associated not only with SLE but also with SSc and that the FAM167A-BLK region is a common genetic risk factor for both SLE and SSc. PMID: 20131239
- transcription of the B cell-specific blk gene is regulated by NERF/ELF-2 and AMl1 PMID: 14970218
- identified and confirmed through replication two new genetic loci for SLE: a promoter-region allele associated with reduced expression of BLK and increased expression of C8orf13 and variants in the ITGAM-ITGAX region PMID: 18204098
- The association of the C8orf13-BLK region with systemic lupus erythematosus was replicated in a Japanese population. PMID: 19180478
- Our data confirmed association of STAT4 (rs7574865, odds ratio (OR) =1.71, P=3.55 x 10(-23)) and BLK (rs13277113, OR=0.77, P=1.34 x 10(-5)) with SLE PMID: 19225526
- Blk is constitutively tyrosine phosphorylated in malignant cutaneous T-cell lymphoma cell lines and spontaneously active in kinase assays PMID: 19351960
- STAT4 and BLK displayed a strong genetic association with primary antiphospholipid syndrome. PMID: 19644876
- Findings point to BLK as a previously unrecognized modulator of beta-cell function, the deficit of which may lead to the development of diabetes. PMID: 19667185
- Observational study and genome-wide association study of gene-disease association and gene-gene interaction. (HuGE Navigator) PMID: 19503088
顯示更多
收起更多
-
相關疾?。?/div>Maturity-onset diabetes of the young 11 (MODY11)亞細胞定位:Cell membrane; Lipid-anchor.蛋白家族:Protein kinase superfamily, Tyr protein kinase family, SRC subfamily組織特異性:Expressed in lymphatic organs, pancreatic islets, Leydig cells, striate ducts of salivary glands and hair follicles.數據庫鏈接:
Most popular with customers
-
-
YWHAB Recombinant Monoclonal Antibody
Applications: ELISA, WB, IHC, IF, FC
Species Reactivity: Human, Mouse, Rat
-
Phospho-YAP1 (S127) Recombinant Monoclonal Antibody
Applications: ELISA, WB, IHC
Species Reactivity: Human
-
-
-
-
-















