BIRC2 Antibody
-
中文名稱:BIRC2兔多克隆抗體
-
貨號:CSB-PA618777ESR1HU
-
規格:¥440
-
圖片:
-
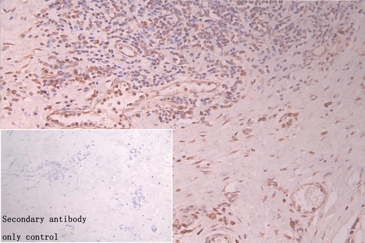
IHC image of CSB-PA618777ESR1HU diluted at 1:120 and staining in paraffin-embedded human gastric cancer performed on a Leica BondTM system. After dewaxing and hydration, antigen retrieval was mediated by high pressure in a citrate buffer (pH 6.0). Section was blocked with 10% normal goat serum 30min at RT. Then primary antibody (1% BSA) was incubated at 4°C overnight. The primary is detected by a Goat anti-rabbit polymer IgG labeled by HRP and visualized using 0.05% DAB. Secondary antibody only control: uses 1% BSA instead of primary antibody
-
-
其他:
產品詳情
-
產品名稱:Rabbit anti-Homo sapiens (Human) BIRC2 Polyclonal antibody
-
Uniprot No.:
-
基因名:
-
別名:API 1 antibody; API1 antibody; Apoptosis inhibitor 1 antibody; Baculoviral IAP repeat containing 2 antibody; Baculoviral IAP repeat containing protein 2 antibody; Baculoviral IAP repeat-containing protein 2 antibody; BIRC 2 antibody; BIRC2 antibody; BIRC2_HUMAN antibody; C IAP1 antibody; C-IAP1 antibody; Cellular inhibitor of apoptosis 1 antibody; cellular inhibitor of apoptosis protein 1 antibody; cIAP 1 antibody; cIAP1 antibody; HIAP 2 antibody; HIAP-2 antibody; HIAP2 antibody; IAP 2 antibody; IAP homolog B antibody; IAP-2 antibody; IAP2 antibody; Inhibitor of apoptosis protein 2 antibody; MIHB antibody; NFR2 TRAF signalling complex protein antibody; RING finger protein 48 antibody; RNF 48 antibody; RNF48 antibody; TNFR2 TRAF signaling complex protein 2 antibody; TNFR2-TRAF-signaling complex protein 2 antibody
-
宿主:Rabbit
-
反應種屬:Human
-
免疫原:Recombinant Human Baculoviral IAP repeat-containing protein 2 protein (1-300AA)
-
免疫原種屬:Homo sapiens (Human)
-
標記方式:Non-conjugated
-
克隆類型:Polyclonal
-
抗體亞型:IgG
-
純化方式:Antigen Affinity Purified
-
濃度:It differs from different batches. Please contact us to confirm it.
-
保存緩沖液:PBS with 0.02% sodium azide, 50% glycerol, pH7.3.
-
產品提供形式:Liquid
-
應用范圍:ELISA, IHC
-
推薦稀釋比:
Application Recommended Dilution IHC 1:20-1:200 -
Protocols:
-
儲存條件:Upon receipt, store at -20°C or -80°C. Avoid repeated freeze.
-
貨期:Basically, we can dispatch the products out in 1-3 working days after receiving your orders. Delivery time maybe differs from different purchasing way or location, please kindly consult your local distributors for specific delivery time.
-
用途:For Research Use Only. Not for use in diagnostic or therapeutic procedures.
相關產品
靶點詳情
-
功能:Multi-functional protein which regulates not only caspases and apoptosis, but also modulates inflammatory signaling and immunity, mitogenic kinase signaling, and cell proliferation, as well as cell invasion and metastasis. Acts as an E3 ubiquitin-protein ligase regulating NF-kappa-B signaling and regulates both canonical and non-canonical NF-kappa-B signaling by acting in opposite directions: acts as a positive regulator of the canonical pathway and suppresses constitutive activation of non-canonical NF-kappa-B signaling. The target proteins for its E3 ubiquitin-protein ligase activity include: RIPK1, RIPK2, RIPK3, RIPK4, CASP3, CASP7, CASP8, TRAF2, DIABLO/SMAC, MAP3K14/NIK, MAP3K5/ASK1, IKBKG/NEMO, IKBKE and MXD1/MAD1. Can also function as an E3 ubiquitin-protein ligase of the NEDD8 conjugation pathway, targeting effector caspases for neddylation and inactivation. Acts as an important regulator of innate immune signaling via regulation of Toll-like receptors (TLRs), Nodlike receptors (NLRs) and RIG-I like receptors (RLRs), collectively referred to as pattern recognition receptors (PRRs). Protects cells from spontaneous formation of the ripoptosome, a large multi-protein complex that has the capability to kill cancer cells in a caspase-dependent and caspase-independent manner. Suppresses ripoptosome formation by ubiquitinating RIPK1 and CASP8. Can stimulate the transcriptional activity of E2F1. Plays a role in the modulation of the cell cycle.
-
基因功能參考文獻:
- study provides an interesting example using chemical biological approaches for determining distinct biological consequences from inhibiting vs. activating an E3 ubiquitin ligase and suggests a potential broad therapeutic strategy for targeting c-MYC in cancer treatment by pharmacologically modulating cIAP1 E3 ligase activity. PMID: 30181285
- NAIP expression is most abundant in M2 macrophages, while cIAP1 and cIAP2 show an inverse pattern of expression in polarized cells, cIAP2 is preferentially expressed in M1-macrophages and cIAP1 in M2-macrophages. IAP antagonist treatment of resting M0 macrophages preceding polarization stimulation, induced upregulation of NAIP in M2 and downregulation of cIAP1 in M1 and M2 but an induction of cIAP2 in M1 macrophages. PMID: 29518103
- we conclude that DMBT1 by binding with CRNDE and c-IAP1 associated with PI3K-AKT pathway is crucial for GBC carcinogenesis, and targeting this pathway may be pivotal in the treatment of GBC. PMID: 27637083
- These results reveal an additional level of regulation of the stability and the activity of E2F1 by a non-degradative K63-poly-ubiquitination and uncover a novel function for the E3-ubiquitin ligase cIAP1. PMID: 28542143
- High cIAP1 expression is associated with colorectal cancer. PMID: 27014915
- the cytoplasmic retinoic acid receptor gamma (RARgamma) controls receptor-interacting protein kinase 1 (RIP1)-initiated cell death when cellular inhibitor of apoptosis (cIAP) activity is blocked. PMID: 28871172
- High cIAP1 expression is associated with Lung Tumorigenesis. PMID: 27197231
- These data suggest that molluscum contagiosum virus MC159 competitively binds to NEMO to prevent cIAP1-induced NEMO polyubiquitination. PMID: 28515292
- The baseline tumor necrosis factor tumor (TNFalpha) expression correlates with the sensitivity to Inhibitors of apoptosis proteins (IAPs) antagonist T-3256336. PMID: 27608596
- cIAP1-induced mitophagy led to dysfunctional mitochondria that resulted in abrogation of mitochondrial oxygen consumption rate along with the decrease in ATP levels. The ubiquitination of cIAP1 was found to be the critical regulator of mitophagy. PMID: 27693792
- Overexpression of cIAP1 is associated with glioma. PMID: 26666816
- High expression of cIAP1 is associated with triple-negative breast cancer. PMID: 26733177
- cIAP1 and cIAP2 mediate BCL10 ubiquitination essential for BCR-dependent NF-kB activity in the ABC subtype of DLBCL. cIAP1/2 attach K63-linked polyubiquitin chains on themselves and on BCL10, recruiting IKK and LUBAC essential for IKK activation. PMID: 27070702
- AZD5582 draws Mcl-1 down-regulation for induction of apoptosis through targeting of cIAP1 and XIAP in human pancreatic cancer PMID: 26314849
- Data indicate that Smac/DIABLO showed an inverse correlation with inhibitor of apoptosis proteins XIAP, cIAP-1 and cIAP-2. PMID: 25549803
- Data show that ectopic expression of interferon regulatory factor 1 (IRF-1) reduces NF-kappa B activity and suppresses TNF receptor-associated factor 2 (TRAF2) and inhibitor of apoptosis 1 protein (cIAP1) expression in breast cancer cells. PMID: 26011589
- cIAP1 is associated with tumor progression in human ovarian cancer. PMID: 26168135
- The E3 ubiquitin ligase activity of XIAP and cIAP1 activates NFkappaB signalling, leading to the direct binding of p65 to the promoter of Beclin 1 and to its transcriptional activation and induction of autophagy. PMID: 25669656
- CIAP1 and cIAP2 represent novel therapeutic targets for the prevention of spontaneous preterm birth. PMID: 25046208
- Data suggest that the seventh zinc finger motif of DNA-binding protein A20 plays important role in NFkappaB-mediated apoptosis induced by tumor necrosis factor-alpha; A20 appears to bind and thus down-regulate inhibitor of apoptosis proteins cIAP1/2. PMID: 25911380
- these findings suggest that GDC-0152 results in human leukemia apoptosis through caspase-dependent mechanisms involving down-regulation of IAPs and inhibition of PI3K/Akt signaling. PMID: 25273171
- Results identify IGF2BP1 as a critical translational regulator of cIAP1-mediated apoptotic resistance in rhabdomyosarcoma. PMID: 24704827
- Survivin affected the stability of cIAP1 through binding, contributing to cell sensitivity to antineoplastic drug YM155. PMID: 25635055
- cIAP1 and cIAP2 expression is increased in placenta from women with pre-existing maternal obesity and in response to treatment with pro-inflammatory cytokines PMID: 25113061
- XIAP, cIAP1, and cIAP2, members of inhibitor of apoptosis (IAP) proteins, are critical regulators of cell death and survival and are attractive targets for new cancer therapy PMID: 24841289
- Although motions within each interface of the 'closed' monomer are insufficient to activate cIAP1, they enable associations with catalytic partners and activation factors. PMID: 25383668
- cIAP1 undergoes a dramatic conformational change during activation that is now shown to be due to the dynamic and metastable nature of the closed form of the enzyme. PMID: 25469840
- Data suggest IAP1 is involved in pancreatic beta cell survival during endoplasmic reticulum stress; switching between IAP1 and transcription factor CHOP in unfolded protein response allows cells to survive or kills cells through apoptosis. [REVIEW] PMID: 24559922
- we show that cIAP1 regulates TNF-induced actin cytoskeleton reorganization through a cdc42-dependentpathway PMID: 24276241
- ARC is regulated via BIRC2/MAP3K14 signalling and its overexpression in AML or MSCs can function as a resistant factor to birinapant-induced leukaemia cell death. PMID: 25079338
- study demonstrate EndoG interacts with cIAP1; results indicate IAPs interact and ubiquitinate EndoG via K63-mediated isopeptide linkages without affecting EndoG levels and EndoG-mediated cell death, suggesting EndoG ubiquitination by IAPs may serve as a regulatory signal independent of proteasomal degradation PMID: 25139236
- cIAPs constitutively downregulate PACS-2 by polyubiquitination and proteasomal degradation, thereby restraining TRAIL-induced killing of liver cancer cells PMID: 24633224
- Selenite caused CYLD upregulation via LEF1 and cIAP downregulation, both of which contribute to the degradation of ubiquitin chains on RIP1 and subsequent caspase-8 activation and colorectal tumor cell apoptosis. PMID: 24577083
- Ubiquitin-dependent regulation of MEKK2/3-MEK5-ERK5 signaling module by XIAP and cIAP1.cIAP1 role in the physical and functional disassembly of ERK5-MAPK module and human muscle cell differentiation. PMID: 24975362
- higher expression in the ovarian endometriomas PMID: 24382102
- we note that the compounds that sensitize cancer cells to TRAIL are the most efficacious in binding to X-linked IAP, and in inducing cellular-IAP (cIAP)-1 and cIAP-2 degradation PMID: 24194568
- Identify xIAP and cIAP1 as molecular targets of ceramide and show ceramide analog LCL85 is an effective sensitizer in overcoming resistance of metastatic colon and breast cancers to apoptosis induction to suppress metastasis in vivo. PMID: 24422988
- Data indicate that silencing of IAPs, IAP1 IAP2 and XIAP, reduced the TRAP-evoked RhoA activation. PMID: 24371121
- cisplatin significantly triggered the proteasomal degradation of cellular inhibitor of apoptosis protein 1 and 2 (c-IAP1 and c-IAP2), and X-linked inhibitor of apoptosis (XIAP) in a ROS-dependent manner PMID: 24425875
- Data indicate the discovery of benzodiazepinone 36, a selective XIAP BIR2 inhibitors. PMID: 24093940
- Data indicate that a potent BIR2-selective inhibitor with in vivo pharmacokinetic properties which potentiates apoptotic signaling. PMID: 24083782
- palmitate did not decrease cIAP-1 and cIAP-2 mRNA expression in the cells PMID: 24008361
- The cIAP1 expression was decreased by siRNA silencing of Foxa2, but increased by Foxa2-expressing vectors. PMID: 23275033
- BIRC2 and BIRC3 act as a molecular brake to rein in activation of the JNK signalling pathway and to fine-tune NF-kappaB and JNK signalling to ensure transcriptional responses are appropriately matched to extracellular inputs. PMID: 23250032
- Data suggest that inhibitor of apoptosis (IAP) antagonist-based cancer treatment may be compromised by osteoporosis and enhanced skeletal metastasis, which may be prevented by antiresorptive agents. PMID: 23269702
- The 3'untranslated region of BIRC2 contains a cis-acting element that decreases stability of the message but increase protein expression PMID: 23605047
- These results suggest that OTUB1 regulates NF-kappaB and MAPK signalling pathways and TNF-dependent cell death by modulating c-IAP1 stability. PMID: 23524849
- a molecular mechanism for cIAP1's regulation in the NOD2 signaling pathway PMID: 23109427
- c-IAP1 acts on both secretion of PCSK9 and its lysosomal localization. The novel pathway described here will open new avenues for exploring novel disease treatments. PMID: 23085658
- IAP inhibitors and lexatumumab synergistically trigger apoptosis in a RIP1-dependent but TNFalpha-independent manner in RMS cells PMID: 22927431
顯示更多
收起更多
-
亞細胞定位:Cytoplasm. Nucleus. Note=Agents that induce either the extrinsic or intrinsic apoptotic pathways promote its redistribution from the nuclear compartment to the cytoplasmic compartment. Associated with the midbody in telophase cells, and found diffusely in the nucleus of interphase cells.
-
蛋白家族:IAP family
-
組織特異性:Present in many fetal and adult tissues. Mainly expressed in adult skeletal muscle, thymus, testis, ovary, and pancreas, low or absent in brain and peripheral blood leukocytes.
-
數據庫鏈接:
Most popular with customers
-
YWHAB Recombinant Monoclonal Antibody
Applications: ELISA, WB, IHC, IF, FC
Species Reactivity: Human, Mouse, Rat
-
Phospho-YAP1 (S127) Recombinant Monoclonal Antibody
Applications: ELISA, WB, IHC
Species Reactivity: Human
-
-
-
-
-
-















