-
中文名稱:BDNF兔多克隆抗體
-
貨號:CSB-PA616184
-
規格:¥1100
-
圖片:
-
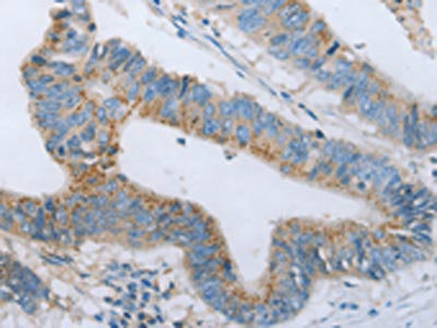
The image on the left is immunohistochemistry of paraffin-embedded Human colon cancer tissue using CSB-PA616184(BDNF Antibody) at dilution 1/20, on the right is treated with fusion protein. (Original magnification: ×200)
-
Gel: 10%SDS-PAGE, Lysate: 40 μg, Lane: Mouse skin tissue, Primary antibody: CSB-PA616184(BDNF Antibody) at dilution 1/250, Secondary antibody: Goat anti rabbit IgG at 1/8000 dilution, Exposure time: 2 minutes
-
-
其他:
產品詳情
-
Uniprot No.:
-
基因名:
-
別名:Abrineurin antibody; ANON2 antibody; BDNF antibody; BDNF_HUMAN antibody; Brain Derived Neurotrophic Factor antibody; Brain-derived neurotrophic factor antibody; BULN2 antibody; MGC34632 antibody; Neurotrophin antibody
-
宿主:Rabbit
-
反應種屬:Human,Mouse,Rat
-
免疫原:Fusion protein of Human BDNF
-
免疫原種屬:Homo sapiens (Human)
-
標記方式:Non-conjugated
-
抗體亞型:IgG
-
純化方式:Antigen affinity purification
-
濃度:It differs from different batches. Please contact us to confirm it.
-
保存緩沖液:-20°C, pH7.4 PBS, 0.05% NaN3, 40% Glycerol
-
產品提供形式:Liquid
-
應用范圍:ELISA,WB,IHC
-
推薦稀釋比:
Application Recommended Dilution ELISA 1:1000-1:2000 WB 1:200-1:1000 IHC 1:10-1:50 -
Protocols:
-
儲存條件:Upon receipt, store at -20°C or -80°C. Avoid repeated freeze.
-
貨期:Basically, we can dispatch the products out in 1-3 working days after receiving your orders. Delivery time maybe differs from different purchasing way or location, please kindly consult your local distributors for specific delivery time.
-
用途:For Research Use Only. Not for use in diagnostic or therapeutic procedures.
引用文獻
- Light‐Dependent Circadian Rhythm Governs O‐GlcNAc Cycling to Influence Cognitive Function in Adult Zebrafish J Park, DY Kim, ES Oh, IO Han,Journal of Pineal Research,2024
相關產品
靶點詳情
-
功能:Important signaling molecule that activates signaling cascades downstream of NTRK2. During development, promotes the survival and differentiation of selected neuronal populations of the peripheral and central nervous systems. Participates in axonal growth, pathfinding and in the modulation of dendritic growth and morphology. Major regulator of synaptic transmission and plasticity at adult synapses in many regions of the CNS. The versatility of BDNF is emphasized by its contribution to a range of adaptive neuronal responses including long-term potentiation (LTP), long-term depression (LTD), certain forms of short-term synaptic plasticity, as well as homeostatic regulation of intrinsic neuronal excitability.; Important signaling molecule that activates signaling cascades downstream of NTRK2. Activates signaling cascades via the heterodimeric receptor formed by NGFR and SORCS2. Signaling via NGFR and SORCS2 plays a role in synaptic plasticity and long-term depression (LTD). Binding to NGFR and SORCS2 promotes neuronal apoptosis. Promotes neuronal growth cone collapse.
-
基因功能參考文獻:
- The sample consisted of 181 suicide cases (47 early suicide cases, 134 late suicide cases) and 162 controls. Patients with the BDNF Met allele had a 1.42-fold increased risk of suicide when compared with the Val allele carrier. When a suicide case is stratified by occurrence time, patients with the Met/Val or Met/Met genotype had a 2.48-fold increased risk of committing suicide early than those with the Val/Val genotype. PMID: 29734216
- Low brain derived neurotrophic factor may contribute to the pathogenesis of schizophrenia, but maybe not to its cognitive impairments. PMID: 29482040
- In a 12-year longitudinal population-based sample of older adults (n = 2,218), we used growth curve modeling to investigate whether the benefits of physical activity on cognitive preservation differed by BDNF genotype and sex across multiple cognitive domains including processing speed, attention, working memory, and episodic verbal memory. PMID: 29402782
- Mn-SOD V allele carries a worse outcome profile after stroke, relating to nitrosative stress, inflammatory, and apoptotic response and associated with a BDNF reduction. PMID: 30150066
- while the BDNF Val66Met Megroup displayed significant SICI reduction in the bilateral M1 in response to motor training, short-interval intracortical inhibition (SICI) remained unchanged in the BDNF Val66Met group. PMID: 29856758
- Our study provides evidence for the correlation between the BDNF variant rs6265 and emotional symptoms in the early phase after mild traumatic brain injury. PMID: 29357818
- These results indicate that genetic variant Met66 decreased the serum BDNF levels in combination with self-reported risk-taking propensity among heroin users. PMID: 30134233
- serum BDNF levels and the BDNF Val66Met polymorphism in healthy young adults were associated with the sleep pattern on weekends but not with that on weekdays, suggesting that the systems involved in BDNF control may be linked to endogenous sleep characteristics rather than the socially constrained sleep schedule in healthy young adults. PMID: 29944703
- Neurotrophic factors and hippocampal activity in PTSD PMID: 29799860
- upregulation of PAI-1 may be a critical mechanism underlying insufficient neurotrophic support and increased neurodegeneration associated with AD. Thus, targeting BDNF maturation through pharmacological inhibition of PAI-1 might become a potential treatment for AD. PMID: 28132883
- This study shows the genetic correlates of early trauma in a group of schizophrenia patients (BDNF Met carriers). PMID: 28711474
- This study demonstrated significant differences in the blood levels of BDNF between people with epilepsy and healthy subjects. PMID: 30140987
- Study shows that brain-derived neurotrophic factor concentrations in serum and peritoneal fluid were significantly higher in women with endometriosis with pain compared to women with endometriosis without pain. PMID: 28954602
- Met allele of the Val66Met polymorphism in brain derived neurotrophic factor is associated with lower BMI-SDS in children PMID: 28960774
- platelet BDNF and SERT do not specifically underlie psychosocial deficits in stage Huntington's Disease, while higher BDNF storage in delayed mild symptoms PMID: 30039833
- Direct within family analysis showed that fathers with the Met allele were more likely than Val/Val carriers to exhibit differential parenting toward twins who differed in their prosocial behavior. The same pattern of findings was found with mother-rated and experimentally assessed prosociality. PMID: 28523227
- The results of this study suggest that the Val66Met polymorphism does not predict long-term, functional mobility following stroke. PMID: 29480080
- polymorphisms in BDNF gene including rs925946, rs10501087, rs6265 and rs988712 can be considered as genetic determinants of obesity (systematic review and meta-analysis). PMID: 28818748
- Single nucleotide polymorphism found in the BDNF-AS (BDNF antisense RNA [nonprotein coding]) gene may be related to the decreased plasma brain derived neurotrophic factor levels found in frail elderly people. PMID: 27449141
- The pattern of low BDNF and high inflammation in MDD may be influenced by the Val66Met polymorphism; the association of a polymorphism in the BDNF gene with inflammatory markers in addition to BDNF levels suggests an interaction between these systems. PMID: 28656803
- Angiogenin contributes to angiogenesis induced by Brain-derived neurotrophic factor (BDNF). PMID: 29573867
- Findings demonstrated that polymorphism Val66Met is not associated with temporal lobe epilepsy caused by hippocampal sclerosis, epilepsy-related factors and psychiatric comorbidities in this selected group of patients. PMID: 30015148
- Study suggested that BDNF 196 G>A polymorphism may be a genetic marker for predicting insulin resistance before initiating risperidone treatment in autism spectrum disorder patients. PMID: 29369497
- No significant difference was found in the BDNF Val66Met polymorphism between patients with GAD and healthy controls, nor was this polymorphism significantly associated with antidepressant drug efficacy for GAD PMID: 29446659
- Its single-nucleotide polymorphisms involves in dopaminergic metabolism and motor and cognitive function in older adults. PMID: 29525179
- BDNF rs11030101 and BDNF rs61888800are associated with change of temperament scores in a clinical sample of subjects with major depression (MDD), who received selective serotonin reuptake inhibitor treatment. PMID: 29310728
- We found that harsh parenting predicted an increased error-related negativity only among children with a methionine allele of the BDNF genotype, and evidence of moderated mediation: the ERN mediated the relationship between parenting and internalizing diagnoses and dimensional symptoms only if children had a methionine allele. PMID: 28427482
- Findings presented here suggest a strong influence of seasonality on depression outcome and BDNF expression in atopic dermatitis and psoriasis PMID: 27409526
- Serum BDNF was significantly lower in patients with Parkinson's disease than in patients with essential tremor and controls. PMID: 29350074
- The purpose of this systematic review was to provide a comprehensive analysis of the available clinical trials analyzing, in seniors, the effect of interval aerobic training (IAT) and continuous aerobic training (CAT) on peripheral brain-derived neurotrophic factor (BDNF) concentration. PMID: 28498065
- findings suggested that BDNF modulates graunlosa cell functions and the action probably mediated by FSHR-coupled signaling pathway, to affect aromatase-mediated steroidogenesis. PMID: 28282971
- The functional Val66Met BDNF polymorphism is not associated with BDNF serum levels in acute episode of schizophrenia and depression. PMID: 29331787
- This study demonstrated that a significantly higher incidence of defective BDNF expression in granule layers of the cerebellar cortex. PMID: 29174061
- combining cognitive and physical exercise had no additional or synergistic effect on peripheral BDNF levels compared with physical exercise alone PMID: 29842831
- Review/Meta-analysis: suggests a lower risk of ischemic stroke for the GG genotype of BDNF rs6265. PMID: 29449128
- that the BDNF SNP rs1157659 interacted with mild traumatic brain injury to predict hippocampal volume PMID: 28755387
- found that though there was no significantly difference in peripheral BDNF levels between ADHD patients and control groups overall, BDNF levels were significantly higher in males with ADHD compared with controls. PMID: 29132072
- found evidence that supported the hypothesis that BDNF Val66Met polymorphism moderated the relationship between stress and depression. PMID: 29102837
- the BDNF Val66Met polymorphism is associated with functional tuning of behaviorally-relevant frontolimbic circuitry, particularly involving the ventromedial prefrontal cortex, during higher-order learning. PMID: 28867340
- MicroRNA-103 suppresses glioma cell proliferation and invasion by targeting BDNF. PMID: 29257320
- High expression levels of BDNF was observed in cervical cancer.BDNF role in epithelial-mesenchymal transition, migration and invasion of cervical cancer. PMID: 29345295
- There was a statistically significant change in BDNF levels post-chemotherapy in early-stage breast cancer patients, and plasma BDNF levels were associated with self-perceived concentration deficit in patients receiving chemotherapy. PMID: 29258453
- Meta-analysis/Review: patients with ischemic stroke at high risk of post stroke depression have lower BDNF levels at the early stage of stroke. PMID: 29128330
- Coronary artery disease patients exhibited significantly lower plasma BDNF and higher vWF levels than those of control patients. PMID: 29409455
- Brain-derived neurotrophic factor (BDNF) was found to be the downstream target of miR-107 in breast cancer. PMID: 27813254
- This study showed that in first-episode psychosis subjects, with global DNA hypo-methylation and reduced BDNF gene-expression. PMID: 29056292
- down-regulated in cord blood by prenatal smoking PMID: 28130959
- BDNF/TrkB axis plays a role in epithelial mesenchymal transition promoting the acquisition of (myo)fibroblast cell phenotype in idiopathic pulmonary fibrosis. PMID: 28938915
- Results show that Lnc RNA BDNF-AS inversely regulates the expression level of BDNF which modulates high-glucose induced apoptosis in human retinal pigment epithelial cells. PMID: 28657668
- This study show a linear relationship between the BDNF Val66Met genotypes and plasma BDNF levels in Caucasian depressed patients. PMID: 28848102
顯示更多
收起更多
-
相關疾病:Bulimia nervosa 2 (BULN2); Congenital central hypoventilation syndrome (CCHS)
-
亞細胞定位:Secreted.; [BDNF precursor form]: Secreted.
-
蛋白家族:NGF-beta family
-
組織特異性:Detected in blood plasma and in saliva (at protein level). Brain. Highly expressed in hippocampus, amygdala, cerebral cortex and cerebellum. Also expressed in heart, lung, skeletal muscle, testis, prostate and placenta.
-
數據庫鏈接:
Most popular with customers
-
-
YWHAB Recombinant Monoclonal Antibody
Applications: ELISA, WB, IHC, IF, FC
Species Reactivity: Human, Mouse, Rat
-
Phospho-YAP1 (S127) Recombinant Monoclonal Antibody
Applications: ELISA, WB, IHC
Species Reactivity: Human
-
-
-
-
-















