BCL2 Antibody
-
中文名稱:BCL2兔多克隆抗體
-
貨號:CSB-PA832691
-
規格:¥1100
-
圖片:
-
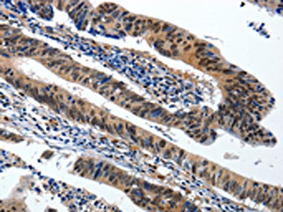
The image on the left is immunohistochemistry of paraffin-embedded Human colorectal cancer tissue using CSB-PA832691(BCL2 Antibody) at dilution 1/20, on the right is treated with synthetic peptide. (Original magnification: ×200)
-
The image on the left is immunohistochemistry of paraffin-embedded Human liver cancer tissue using CSB-PA832691(BCL2 Antibody) at dilution 1/20, on the right is treated with synthetic peptide. (Original magnification: ×200)
-
Gel: 10%SDS-PAGE, Lysate: 40 μg, Lane: Hela cells, Primary antibody: CSB-PA832691(BCL2 Antibody) at dilution 1/650, Secondary antibody: Goat anti rabbit IgG at 1/8000 dilution, Exposure time: 30 seconds
-
-
其他:
產品詳情
-
Uniprot No.:
-
基因名:
-
別名:BCL2; Apoptosis regulator Bcl-2
-
宿主:Rabbit
-
反應種屬:Human
-
免疫原:Synthetic peptide of Human BCL2
-
免疫原種屬:Homo sapiens (Human)
-
標記方式:Non-conjugated
-
抗體亞型:IgG
-
純化方式:Antigen affinity purification
-
濃度:It differs from different batches. Please contact us to confirm it.
-
保存緩沖液:-20°C, pH7.4 PBS, 0.05% NaN3, 40% Glycerol
-
產品提供形式:Liquid
-
應用范圍:ELISA,WB,IHC
-
推薦稀釋比:
Application Recommended Dilution ELISA 1:2000-1:5000 WB 1:500-1:2000 IHC 1:25-1:100 -
Protocols:
-
儲存條件:Upon receipt, store at -20°C or -80°C. Avoid repeated freeze.
-
貨期:Basically, we can dispatch the products out in 1-3 working days after receiving your orders. Delivery time maybe differs from different purchasing way or location, please kindly consult your local distributors for specific delivery time.
-
用途:For Research Use Only. Not for use in diagnostic or therapeutic procedures.
相關產品
靶點詳情
-
功能:Suppresses apoptosis in a variety of cell systems including factor-dependent lymphohematopoietic and neural cells. Regulates cell death by controlling the mitochondrial membrane permeability. Appears to function in a feedback loop system with caspases. Inhibits caspase activity either by preventing the release of cytochrome c from the mitochondria and/or by binding to the apoptosis-activating factor (APAF-1). Also acts as an inhibitor of autophagy: interacts with BECN1 and AMBRA1 during non-starvation conditions and inhibits their autophagy function. May attenuate inflammation by impairing NLRP1-inflammasome activation, hence CASP1 activation and IL1B release.
-
基因功能參考文獻:
- long noncoding RNA HOTAIR suppresses TNF-alpha induced nucleus pulposus cell apoptosis by regulating miR-34a/Bcl-2 axis. PMID: 30138895
- The mitochondrial depolarization also stems from the Bcl-2 inhibition mediated by DFMT, followed by the cytochrome c release that activates caspase signaling. With the participation of the two-pronged mechanism, a programmed apoptosis is induced in response to DFMT treatment. PMID: 28805013
- miR-7-5p reduced energy consumption via inhibiting PARP-1 expression, and miR-7-5p increased energy generation by suppressing the expression of Bcl-2. PMID: 30219819
- Venetoclax-based combination treatment for newly diagnosed elderly patients for whom intense chemotherapy is not an option may be the first setting in which this agent may be employed in Acute myeloid leukemia. Based on pre-clinical evidence, BCL-2 inhibition may be useful in relapsed/refractory disease in conjunction with cytotoxic therapy, but has modest single agent activity. PMID: 29264938
- Glandular, menopause-independent DFF40, DFF45, and Bcl-2 overexpression may play an important role in the pathogenesis of endometrial polyps and benign endometrial hyperplasia PMID: 28914671
- data strongly suggest that XIAP-mediated inhibition of final caspase-3 processing is the last and major hurdle in TRAIL-induced apoptosis in NCI-H460 cells, which can be overcome by Smac in a Bcl-2 level dependent manner. PMID: 29927992
- could not find any relationship between Bcl-2, c-Myc and EBER-ISH positivity and the low/high IPS groups in classical Hodgkin lymphoma PMID: 29708579
- Fluorescence in situ hybridization studies (histologic sections) confirmed translocations of MYC (8q24), BCL2 (18q21) and BCL6 (3q27) in all patients. PMID: 30043475
- High BCL-2 expression is associated with colorectal cancer. PMID: 30015962
- MiR-29a down-regulation is correlated with drug resistance of nasopharyngeal carcinoma cell line CNE-1 and MiR-29a up-regulation decreases Taxol resistance of nasopharyngeal carcinoma CNE-1 cells possibly via inhibiting STAT3 and Bcl-2 expression. PMID: 29914005
- Results revealed that BCL-2 protein is highly expressed in colon cancer tissues and was identified as a direct target for mir-184. BCL-2 appeared to participate in cell cycle regulation and malignant transformation to colon cancer. PMID: 28782841
- Results indicate that full-length B-cell leukemia 2 family protein (Bcl-2) Ile14Gly/Val15Gly displayed severely reduced structural stability and a shortened protein half-life. PMID: 29131545
- Data show the regulation of BCL2 mainly associated with methylation across the molecular subtypes of breast cancer. Luminal A and B subtypes showed upregulated expression of BCL2 protein, mRNA, and hypomethylation. Although copy number alteration may have played a minor role, mutation status was not related to BCL2 regulation. Upregulation of BCL2 was associated with better prognosis than downregulation of BCL2. PMID: 28701032
- c-MYC/BCL2 protein co-expression in non-germinal center B-cell subtype constituted a unique group with extremely inferior outcome regardless of ethnicity PMID: 29801406
- Overexpression of LIN28B promotes colon cancer development by increasing BCL-2 expression. PMID: 29669301
- High BCL2 expression is associated with Prostate Cancer. PMID: 29641255
- The findings of the present study indicated that icariin prevented injury and apoptosis in HUVECs following oxLDL treatment, in particular via the regulation of protein and mRNA expression levels of Bcl-2 and caspase-3. PMID: 29532884
- BCL2 expression is also a strong predictive marker for DLBCL patients treated with R-CHOP. PMID: 28154089
- High BCL2 expression is associated with drug resistance in ovarian cancer. PMID: 29286126
- Elevated expression of Bcl-2 was an independent prognostic factor for poorer overall survival in triple-negative breast cancer and as such a significant marker for tumor aggressiveness. PMID: 28777433
- CD30+ diffuse large B-cell lymphoma has characteristic clinicopathological features mutually exclusive with MYC gene rearrangement and negatively associated with BCL2 protein expression. PMID: 29666157
- Phosphorylated and activated deoxycytidine kinase inhibits ionizing radiation (IR)-induced total cell death and apoptosis, and promotes IR-induced autophagy through the mTOR pathway and by inhibiting the binding of Bcl2 protein to BECN1 in breast cancer cells. PMID: 29393406
- It was demonstrated that hypoxia stimulates migration and invasion in the MG63 human osteosarcoma cell line, which was correlated with the downregulation of miR15a and upregulation of B-cell lymphoma 2 (Bcl2) expression PMID: 29484432
- miR-21 may promote salivary adenoid cystic carcinoma progression via PDCD4 and PTEN down-regulation and Bcl-2 up-regulation. PMID: 29328455
- Paper analyses results of serum cytokines and lymphocyte apoptosis study in nodular goiter against the background of autoimmune thyroiditis and thyroid adenoma based on the cell preparedness to apoptosis, the number of apoptotic lymphocytes and the content of proapoptotic tumor necrosis factor-alpha, interleukins in serum, considering the polymorphism of BCL-2, CTLA-4 and APO-1 genes. PMID: 29250672
- Permeabilisation of the mitochondrial outer membrane (MOMP) is directly regulated by the BCL-2 (B cell lymphoma 2) family in mammals [Review]. PMID: 28396106
- The present study demonstrated that TATfused inositol 1,4,5trisphosphate receptorderived peptide (TATIDPS), which targets the BH4 domain of Bcl2, increased cisplatininduced Ca2+ flux from the endoplasmic reticulum (ER) into the cytosol and mitochondria. PMID: 29207009
- we highlight the emerging recognition of MYC and BCL2 coexpression as the most robust predictor of diffuse large B cell lymphoma outcome, and discuss rationally conceived experimental approaches to treat these high-risk patients. PMID: 29198442
- Bcl-2 binding to ARTS involves the BH3 domain of Bcl-2. Lysine 17 in Bcl-2 serves as the main acceptor for ubiquitylation, and a Bcl-2 K17A mutant has increased stability and is more potent in protection against apoptosis. PMID: 29020630
- The expression levels of miR-204-5p were downregulated in prostate cancer cells compared with normal prostate epithelial cells. BCL2 mRNA and protein expression decreased in miR-204-5p-transfected cells, which led to cytochrome C release from mitochondria. Cotransfection of a reporter vector harboring the BCL2 3'-untranslated region to compete with endogenous transcripts partially rescued miR-204-5p-induced apoptosis. PMID: 27519795
- GATA4 was a transcription factor that activated mouse double minute 2 homolog (MDM2) and B cell lymphoma 2 (BCL2) expression in ALL cells. PMID: 28849107
- High BCL2 expression is associated with oncogenicity and chemoresistance in hepatocellular carcinoma. PMID: 28445151
- Gastrin and BCL2 apoptosis regulator (Bcl2) are highly expressed in gastric cancer tissues, and they are correlated with the clinicopathologic features. PMID: 29268861
- This study utilized a lentiviral vector that overexpressed the human VEGF and Bcl-2 genes simultaneously. Co-overexpression of VEGF and Bcl-2 inhibits the oxygen glucose deprivation induced apoptosis of mesenchymal stem cells. PMID: 28627637
- Double-hit lymphoma (DHL) is an aggressive form of DLBCL with an unmet treatment need, in which MYC rearrangement is present with either BCL2 or BCL6 rearrangement PMID: 28952038
- The expression of Bcl-2 and E cadherin immunopositivity was associated positively with tumor grade, high T category and histopathological grades. The results of this study points to the significance of cell proliferation and invasion as a major determinant of prognosis in OSCC. PMID: 28393810
- meta-analysis suggests a role BCL-2 promoter polymorphisms in cancer susceptibility and prognosis; rs2279115 was associated with higher risk of cancer susceptibility in Asia but not in Caucasian; rs2279115 was associated with a higher risk in digestive system cancer and endocrine system cancer but not breast cancer, respiratory cancer and hematopoietic cancer PMID: 28445963
- In this study, we investigated whether APG-1252-12A inhibits the growth of five leukemia cell lines in a concentration- or time-dependent manner by MTS assay.APG-1252-12A is a Bcl-2 homology (BH)-3 mimetic that specifically binds to Bcl-2 and Bcl-xl, which has shown efficacy in some Bcl-2 dependent hematological cancers PMID: 28586007
- Multiple lines of evidence suggest formation of a potential cruciform DNA structure at MBR peak III, which was also supported by in silico studies. The formation of a non-B DNA structure could be a basis for fragility at BCL2 breakpoint regions, eventually leading to chromosomal translocations. PMID: 29246583
- The upregulation of miR-219-5p inhibited melanoma growth and metastasis and strengthened melanoma cells chemosensitivity by targeting Bcl-2. Therefore, the modulation of miR-219-5p expression may be a novel treatment strategy in melanoma. PMID: 28884131
- The expression of the anti-apoptotic protein Bcl-2 was greater in luminal A breast cancer tissue samples compared to triple-negative breast cancer. PMID: 28801774
- Lnc_ASNR interacted with the protein ARE/poly (U)-binding/degradation factor 1(AUF1), which is reported to promote rapid degradation of the Bcl-2 mRNA, an inhibitor of apoptosis. Lnc_ASNR binds to AUFI in nucleus, decreasing the cytoplasmic proportion of AUF1 which targets the B-cell lymphoma-2 (Bcl-2) mRNA. PMID: 27578251
- Bcl-2 high expression was significantly correlated with favorable overall survival and better disease/recurrence free survival in colorectal cancer.[meta-analysis] PMID: 28785155
- High expression of bcl-2 in KCOT supports the general agreement that some features of KCOT are those of a neoplasia. The bcl-2 expression in connective tissue cells suggests that these cells may also be important as epithelial cells in the biological behavior odontogenic keratocyst PMID: 28862228
- Results identified BCL2 as a direct target of miR-139-5p in colorectal cancer cells and showed that the tumor suppressor activity of miR-139-5p is mediated by the modulation of BCL2 expression. PMID: 27244080
- Polo-like kinase inhibition can sensitize cholangiocarcinoma cells to cisplatin-induced apoptosis with proteasomal Bcl-2 degradation as an additional pro-apoptotic effect. PMID: 28652654
- Lipid oxidation product 4-hydroxy-2-nonenal is at the crossroads of NF-kappaB pathway and anti-apoptotic Bcl2 expression. (Review) PMID: 27840321
- Ibrutinib-resistant TMD8 cells had higher BCL2 gene expression and increased sensitivity to ABT-199, a BCL-2 inhibitor. Consistently, clinical samples from ABC-DLBCL patients who experienced poorer response to ibrutinib had higher BCL2 gene expression. We further demonstrated synergistic growth suppression by ibrutinib and ABT-199 in multiple ABC-DLBCL, GCB-DLBCL, and follicular lymphoma cell lines. PMID: 28428442
- MUC1-C Stabilizes MCL-1 in the Oxidative Stress Response of Triple-Negative Breast Cancer Cells to BCL-2 Inhibitors PMID: 27217294
- The BCL2 c.-938C>A and c.21G>A single-nucleotide polymorphisms showed a significant impact on outcome with transitional cell carcinoma of the bladder PMID: 28417194
顯示更多
收起更多
-
相關疾病:A chromosomal aberration involving BCL2 has been found in chronic lymphatic leukemia. Translocation t(14;18)(q32;q21) with immunoglobulin gene regions. BCL2 mutations found in non-Hodgkin lymphomas carrying the chromosomal translocation could be attributed to the Ig somatic hypermutation mechanism resulting in nucleotide transitions.
-
亞細胞定位:Mitochondrion outer membrane; Single-pass membrane protein. Nucleus membrane; Single-pass membrane protein. Endoplasmic reticulum membrane; Single-pass membrane protein.
-
蛋白家族:Bcl-2 family
-
組織特異性:Expressed in a variety of tissues.
-
數據庫鏈接:
Most popular with customers
-
-
YWHAB Recombinant Monoclonal Antibody
Applications: ELISA, WB, IHC, IF, FC
Species Reactivity: Human, Mouse, Rat
-
Phospho-YAP1 (S127) Recombinant Monoclonal Antibody
Applications: ELISA, WB, IHC
Species Reactivity: Human
-
-
-
-
-















