BCAP29 Antibody
-
中文名稱:BCAP29兔多克隆抗體
-
貨號:CSB-PA002591DSR1HU
-
規格:¥440
-
圖片:
-
Western blot
All lanes: BCAP29 antibody at 2.93µg/ml
Lane 1: Raji whole cell lysate
Lane 2: Colo320 whole cell lysate
Lane 3: Rat gonad tissue
Lane 4: THP-1 whole cell lysate
Secondary
Goat polyclonal to rabbit IgG at 1/10000 dilution
Predicted band size: 29, 41 kDa
Observed band size: 29 kDa -
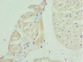
Immunohistochemistry of paraffin-embedded human heart tissue using CSB-PA002591DSR1HU at dilution of 1:100
-
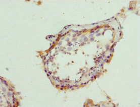
Immunohistochemistry of paraffin-embedded human testis tissue using CSB-PA002591DSR1HU at dilution of 1:100
-
-
其他:
產品詳情
-
產品名稱:Rabbit anti-Homo sapiens (Human) BCAP29 Polyclonal antibody
-
Uniprot No.:
-
基因名:BCAP29
-
別名:BCAP29; BAP29; B-cell receptor-associated protein 29; BCR-associated protein 29; Bap29
-
宿主:Rabbit
-
反應種屬:Human, Rat
-
免疫原:Recombinant Human B-cell receptor-associated protein 29 protein (125-241AA)
-
免疫原種屬:Homo sapiens (Human)
-
標記方式:Non-conjugated
-
克隆類型:Polyclonal
-
抗體亞型:IgG
-
純化方式:Antigen Affinity Purified
-
濃度:It differs from different batches. Please contact us to confirm it.
-
保存緩沖液:PBS with 0.02% sodium azide, 50% glycerol, pH7.3.
-
產品提供形式:Liquid
-
應用范圍:ELISA, WB, IHC
-
推薦稀釋比:
Application Recommended Dilution WB 1:1000-1:5000 IHC 1:20-1:200 -
Protocols:
-
儲存條件:Upon receipt, store at -20°C or -80°C. Avoid repeated freeze.
-
貨期:Basically, we can dispatch the products out in 1-3 working days after receiving your orders. Delivery time maybe differs from different purchasing way or location, please kindly consult your local distributors for specific delivery time.
-
用途:For Research Use Only. Not for use in diagnostic or therapeutic procedures.
相關產品
靶點詳情
-
功能:May play a role in anterograde transport of membrane proteins from the endoplasmic reticulum to the Golgi. May be involved in CASP8-mediated apoptosis.
-
基因功能參考文獻:
- we believe that in contrast to traditional gene fusions, DUS4L-BCAP29 cannot be used as a cancer biomarker. Instead, it is a fusion transcript that exists in normal physiology and that its pro-growth effect is not unique to cancer cells. PMID: 28415823
- Bap29varP acts as an essential chaperone, influencing the processing and trafficking of Pgp to the cell surface. PMID: 18097552
-
亞細胞定位:Endoplasmic reticulum membrane; Multi-pass membrane protein.
-
蛋白家族:BCAP29/BCAP31 family
-
數據庫鏈接:
Most popular with customers
-
-
YWHAB Recombinant Monoclonal Antibody
Applications: ELISA, WB, IHC, IF, FC
Species Reactivity: Human, Mouse, Rat
-
Phospho-YAP1 (S127) Recombinant Monoclonal Antibody
Applications: ELISA, WB, IHC
Species Reactivity: Human
-
-
-
-
-















