-
中文名稱:B3GNT6兔多克隆抗體
-
貨號:CSB-PA744392LA01HU
-
規格:¥440
-
圖片:
-
Western Blot
Positive WB detected in: K562 whole cell lysate, HT29 whole cell lysate
All lanes: B3GNT6 antibody at 10µg/ml
Secondary
Goat polyclonal to rabbit IgG at 1/50000 dilution
Predicted band size: 43, 30 kDa
Observed band size: 43 kDa -
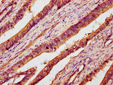
IHC image of CSB-PA744392LA01HU diluted at 1:100 and staining in paraffin-embedded human colon cancer performed on a Leica BondTM system. After dewaxing and hydration, antigen retrieval was mediated by high pressure in a citrate buffer (pH 6.0). Section was blocked with 10% normal goat serum 30min at RT. Then primary antibody (1% BSA) was incubated at 4°C overnight. The primary is detected by a biotinylated secondary antibody and visualized using an HRP conjugated SP system.
-
-
其他:
產品詳情
-
產品名稱:Rabbit anti-Homo sapiens (Human) B3GNT6 Polyclonal antibody
-
Uniprot No.:
-
基因名:B3GNT6
-
別名:B3GNT6Acetylgalactosaminyl-O-glycosyl-glycoprotein beta-1,3-N-acetylglucosaminyltransferase antibody; EC 2.4.1.147 antibody; Core 3 synthase antibody; UDP-GlcNAc:betaGal beta-1,3-N-acetylglucosaminyltransferase 6 antibody; BGnT-6 antibody; Beta-1,3-Gn-T6 antibody; Beta-1,3-N-acetylglucosaminyltransferase 6 antibody; Beta3Gn-T6 antibody
-
宿主:Rabbit
-
反應種屬:Human
-
免疫原:Recombinant Human Acetylgalactosaminyl-O-glycosyl-glycoprotein beta-1,3-N-acetylglucosaminyltransferase protein (251-345AA)
-
免疫原種屬:Homo sapiens (Human)
-
標記方式:Non-conjugated
本頁面中的產品,B3GNT6 Antibody (CSB-PA744392LA01HU),的標記方式是Non-conjugated。對于B3GNT6 Antibody,我們還提供其他標記。見下表:
-
克隆類型:Polyclonal
-
抗體亞型:IgG
-
純化方式:>95%, Protein G purified
-
濃度:It differs from different batches. Please contact us to confirm it.
-
保存緩沖液:Preservative: 0.03% Proclin 300
Constituents: 50% Glycerol, 0.01M PBS, pH 7.4 -
產品提供形式:Liquid
-
應用范圍:ELISA, WB, IHC
-
推薦稀釋比:
Application Recommended Dilution WB 1:500-1:5000 IHC 1:20-1:200 -
Protocols:
-
儲存條件:Upon receipt, store at -20°C or -80°C. Avoid repeated freeze.
-
貨期:Basically, we can dispatch the products out in 1-3 working days after receiving your orders. Delivery time maybe differs from different purchasing way or location, please kindly consult your local distributors for specific delivery time.
-
用途:For Research Use Only. Not for use in diagnostic or therapeutic procedures.
引用文獻
相關產品
靶點詳情
-
功能:Beta-1,3-N-acetylglucosaminyltransferase that synthesizes the core 3 structure of the O-glycan, an important precursor in the biosynthesis of mucin-type glycoproteins. Plays an important role in the synthesis of mucin-type O-glycans in digestive organs.
-
基因功能參考文獻:
- expression was markedly down-regulated in gastric and colorectal carcinomas PMID: 15755813
- alpha2beta1 integrin acquired core3 O-glycans in cells expressing core3 synthase with decreased maturation of beta1 integrin, leading to decreased levels of the alpha2beta1 integrin complex PMID: 19395705
-
亞細胞定位:Golgi apparatus membrane; Single-pass type II membrane protein.
-
蛋白家族:Glycosyltransferase 31 family
-
組織特異性:Present in stomach and colon (at protein level). Restricted in the stomach, colon and small intestine, where core 3 structure is present.
-
數據庫鏈接:
Most popular with customers
-
-
YWHAB Recombinant Monoclonal Antibody
Applications: ELISA, WB, IHC, IF, FC
Species Reactivity: Human, Mouse, Rat
-
Phospho-YAP1 (S127) Recombinant Monoclonal Antibody
Applications: ELISA, WB, IHC
Species Reactivity: Human
-
-
-
-
-















