B2M Antibody
-
中文名稱:B2M兔多克隆抗體
-
貨號:CSB-PA791042
-
規格:¥1100
-
圖片:
-
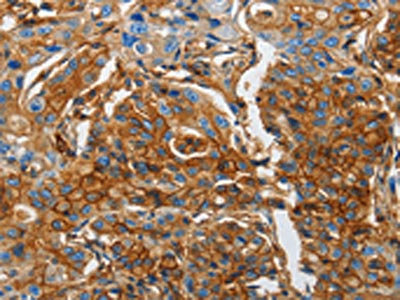
The image on the left is immunohistochemistry of paraffin-embedded Human esophagus cancer tissue using CSB-PA791042(B2M Antibody) at dilution 1/25, on the right is treated with fusion protein. (Original magnification: ×200)
-
The image on the left is immunohistochemistry of paraffin-embedded Human lung cancer tissue using CSB-PA791042(B2M Antibody) at dilution 1/25, on the right is treated with fusion protein. (Original magnification: ×200)
-
Gel: 15%SDS-PAGE, Lysate: 40 μg, Lane 1-2: Human kidney tissue, Raji cells, Primary antibody: CSB-PA791042(B2M Antibody) at dilution 1/250, Secondary antibody: Goat anti rabbit IgG at 1/8000 dilution, Exposure time: 20 seconds
-
-
其他:
產品詳情
-
Uniprot No.:
-
基因名:
-
別名:B2M antibody; B2MG_HUMAN antibody; Beta 2 microglobin antibody; Beta 2 microglobulin antibody; Beta 2 microglobulin precursor antibody; Beta chain of mhc class 1 proteins antibody; Beta chain of MHC class I molecules antibody; Beta-2-microglobulin form pI 5.3 antibody; CDABP0092 antibody; Hdcma22p antibody; IMD43 antibody
-
宿主:Rabbit
-
反應種屬:Human
-
免疫原:Fusion protein of Human B2M
-
免疫原種屬:Homo sapiens (Human)
-
標記方式:Non-conjugated
-
抗體亞型:IgG
-
純化方式:Antigen affinity purification
-
濃度:It differs from different batches. Please contact us to confirm it.
-
保存緩沖液:-20°C, pH7.4 PBS, 0.05% NaN3, 40% Glycerol
-
產品提供形式:Liquid
-
應用范圍:ELISA,WB,IHC
-
推薦稀釋比:
Application Recommended Dilution ELISA 1:1000-1:2000 WB 1:200-1:1000 IHC 1:50-1:200 -
Protocols:
-
儲存條件:Upon receipt, store at -20°C or -80°C. Avoid repeated freeze.
-
貨期:Basically, we can dispatch the products out in 1-3 working days after receiving your orders. Delivery time maybe differs from different purchasing way or location, please kindly consult your local distributors for specific delivery time.
-
用途:For Research Use Only. Not for use in diagnostic or therapeutic procedures.
相關產品
靶點詳情
-
功能:Component of the class I major histocompatibility complex (MHC). Involved in the presentation of peptide antigens to the immune system. Exogenously applied M.tuberculosis EsxA or EsxA-EsxB (or EsxA expressed in host) binds B2M and decreases its export to the cell surface (total protein levels do not change), probably leading to defects in class I antigen presentation.
-
基因功能參考文獻:
- Data show that plasma beta2-microglobulin (beta2m) levels are specifically increased in Alzheimer's disease (AD), indicating that beta2m could play a role in AD. PMID: 29741401
- Binding stability to beta2-microglobulin may confer to HLA-C the ability to preferentially act either as a conventional immune-competent molecule or as an accessory molecule involved in HIV-1 infectivity via viral envelope glycoprotein binding. PMID: 28051183
- Molecular dynamic simulations reveal that D59P mutation in the DE loop region of B2M disrupts the native sandwich folded structure and highlight a decrease in the average number of hydrogen bonds in the loop regions on D59P mutation that enhances conformational flexibility, which lead to higher aggregation propensity. PMID: 28657666
- Study characterized the salt-induced oligomers of the acid-unfolded state of beta2m using an array of biophysical tools including steady-state and time-resolved fluorescence, circular dichroism, dynamic light scattering, and atomic force microscopy imaging. Results revealed the distinct pathways by which beta2m assembles into oligomers and fibrils. PMID: 27467899
- We focused on the genetic and functional analysis of beta2-microglobulin (B2M), a component of the HLA class-I complex. We identified alterations in genes involved in various functions, such as B2M involved in immunosurveillance PMID: 28302866
- Pretransplant beta2-Microglobulin Is Associated with the Risk of Acute Graft-versus-Host-Disease after Allogeneic Hematopoietic Cell Transplant.( PMID: 27044906
- we found that beta2M but no other serum markers had independent prognostic significance in the UK CLL4 trial PMID: 26732125
- Both cystatin C and beta 2 macroglobulin are elevated in type 2 diabetics with diabetic nephropathy. PMID: 28182344
- Serum B2M level was positively associated with Gensini score system, SYNTAX score system and the number of diseased coronary vessels. PMID: 28249620
- Data suggest that T-cell receptor (TCR) alpha-constant domain (C- and F-strands) directly interacts with unbound MHC light chain, beta2-microglobulin (beta2M); these interactions do not appear to be involved in T-cell cytotoxicity, suggesting an alternate role for beta2M binding to TCR; TCR beta-chain does not appear to interact directly with beta2M. PMID: 28671821
- These data suggest beta2M might participate in the development of lung emphysema through induction of lung epithelial cell senescence and inhibition. PMID: 28213472
- Heparin-induced amyloid fibrillation of beta2 -microglobulin explained by solubility and a supersaturation-dependent conformational phase diagram PMID: 28249361
- results suggest that doxycycline and rifamycin are general inhibitors of Cu(II)-induced beta2m amyloid formation. PMID: 28468825
- High B2M levels were associated with an increased risk of ischemic stroke in this study of middle-aged women PMID: 28490653
- Letter: serum levels of anti-carbonic anhydrase autoantibodies and beta macroglobulin correlate with ClinESSDAI score in patients with Sjogren's syndrome. PMID: 28079504
- Macromolecular crowding favors the fibrillization of beta2-microglobulin by accelerating the nucleation step and inhibiting fibril disassembly. PMID: 27481166
- Beta2M mRNA expression in cells of the urinary sediment is higher in T1D patients with diabetic kidney disease and in patients with focal segmental glomerulosclerosis in comparison to healthy subjects, maybe reflecting a tubulointerstitial injury promoted by albumin. PMID: 27173460
- Serum levels of beta trace protein and beta 2 microglobulin can be used to predict residual kidney function in hemodialysis patients. PMID: 26924065
- Results show that high serum 2-m levels and lymphoma associated hemophagocytic lymphohistiocytosis (LAHS) were associated with markedly poorer overall survival (OS) in patients with hemophagocytic lymphohistiocytosis suggesting that serum2-m concentration was a powerful and independent prognostic factor for OS in patients with LAHS. PMID: 27110054
- The chaperone crystallin, which is a mild modulator of the lag phase of the variant fibrillogenesis, potently inhibits fibril elongation of the wild-type even once it is absorbed on D76N beta2-microglobulin fibrils. PMID: 26921323
- B2M is a potential tissue biomarker and therapeutic target of borderline and malignant ovarian tumours and the dysregulation of B2M in these tumours may be mediated by the TGF-beta signaling pathway. PMID: 26983758
- BTP and B2M levels are less affected than serum by amputation, and should be considered for future study of GFR estimation PMID: 26800100
- Overexpression of B2M are associated with invasion, metastasis of the pancreatic ductal adenocarcinoma. PMID: 26406402
- Serum Beta-2 Microglobulin level is elevated in Chronic Hepatitis C related chronic liver diseases and may be used as a marker for Chronic Hepatitis C disease progression towards cirrhosis and carcinoma. PMID: 26625805
- Data suggest that, in modeling early assembly mechanisms for amyloidogenic beta2-microglobulin (B2M and/or truncated B2M, crosslinked and native), domain-swapped hinge region of B2M is key to both intra-molecular and inter-molecular interactions. PMID: 26655720
- The results show that, although other factors influence the fibril growth kinetics, a striking difference in the solubility of the proteins is a key determinant of the different amyloidogenicity of human B2M and mouse B2M. PMID: 26780548
- beta2M-mediated VEGFR-2/Akt/mTOR phosphorylation and tumor angiogenesis was significantly suppressed by over-expression of DKK-3. PMID: 26278164
- ESAT-6/ESAT-6:CFP-10 can enter into the endoplasmic reticulum where it sequesters beta2M to inhibit cell surface expression of MHC-I-beta2M complexes, resulting in downregulation of class I-mediated antigen presentation. PMID: 25356553
- The study presents the X-ray crystallographic structures of three families of oligomers formed by macrocyclic peptides containing a heptapeptide sequence derived from the amyloidogenic E chain of beta 2-microglobulin (B2M). PMID: 25915729
- Serum cystatin C, urine NAG, RBP, and ET-1 levels were found to be insufficient for the evaluation of SCD nephropathy. Increased B2M/creatinie levels can be valuable in estimating possible glomerular and tubular damage in SCD. PMID: 23987825
- Unfolding of the C-terminal portion of human beta 2 microglobulin may be related to amyloidogenicity. PMID: 25523495
- The results suggest that the interaction between beta2m fibrils and membranes of endosomal origin may play a role in the molecular mechanism of beta2m amyloid-associated osteoarticular tissue destruction in DRA. PMID: 25100247
- Monoclonal antibodies to HLA-E bind epitopes carried by unfolded beta2 m-free heavy chains. PMID: 25982269
- Beta2-Microglobulin deficiency causes a complex immunodeficiency of the innate and adaptive immune system. PMID: 25702838
- A competitive mechanism of amyloid fibrillation and amorphous aggregation reproduced the observed aggregation kinetics of beta2-microglobulin. PMID: 26063798
- Conformational differences between B2M and its truncated variant DeltaN6 fibrils can explain the relatively enhanced amyloidogenic potential of the truncation variant. PMID: 24679070
- findings suggest that beta2m at transplantation predict the outcome after ASCT in NHL PMID: 25577449
- The expression profiles of DEP1 and B2MG correlate with increased cell senescence and survival in breast cancer. PMID: 25412306
- Beta 2-microglobulin is responsible for systemic amyloidosis in patients undergoing long-term hemodialysis. PMID: 25750126
- beta2-M expression demonstrated a significant difference in the four breast cancer molecular subtypes, and may be related to apoptosis regulation in breast cancer. PMID: 25292288
- Serum B2-M levels may be used as an activity parameter in inflammatory bowel disease. PMID: 25152594
- Urinary beta2-MG levels showed a significant correlation with renal function and proteinuria in IgA nephropathy. PMID: 24851068
- results suggest that serum beta2M and GGT levels are useful indicators for evaluating the occurrence of slight inflammation as background, which promotes atherosclerosis even in healthy children. PMID: 24572983
- Beta-2 microglobulin levels are increased in about 30 percent of renal cell carcinoma patients, above all in subjects with metastatic disease. PMID: 24692843
- Substantial changes of CSF beta 2-m concentrations are predictive of purulent meningitis, leptomeningeal metastasis, viral meningitis/encephalitis, and neuroborreliosis. PMID: 24895473
- Serum beta2-microglobulin levels correlate with tumor stage in MM. PMID: 25247952
- The increased proportion of advanced glycation end products and beta2M deposition induced by long-term exposure of peritoneal dialysis fluid may be a marker of peritoneal injury. PMID: 24337623
- Amyloidogenic and nonamyloidogenic variants of beta2-microglobulin, mapping interactions that inhibit or promote fibril formation in atomic detail. PMID: 24981172
- MHC I and b2m genes are both expressed in in human as well as mice during the developmental stages of cerebellar cortex PMID: 24272393
- An association between serum B2M and non-Hodgkin lymphoma prognosis. PMID: 24969158
顯示更多
收起更多
-
相關疾病:Immunodeficiency 43 (IMD43); Amyloidosis 8 (AMYL8)
-
亞細胞定位:Secreted. Cell surface.;
-
蛋白家族:Beta-2-microglobulin family
-
數據庫鏈接:
Most popular with customers
-
-
YWHAB Recombinant Monoclonal Antibody
Applications: ELISA, WB, IHC, IF, FC
Species Reactivity: Human, Mouse, Rat
-
Phospho-YAP1 (S127) Recombinant Monoclonal Antibody
Applications: ELISA, WB, IHC
Species Reactivity: Human
-
-
-
-
-















