ATM Antibody
-
中文名稱:ATM兔多克隆抗體
-
貨號:CSB-PA612595
-
規格:¥1090
-
圖片:
-
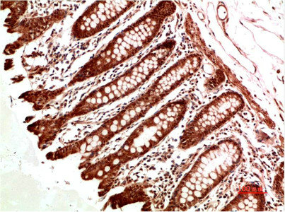
Immunohistochemical analysis of paraffin-embedded Human Colon Carcinoma Tissue using ATM Rabbit pAb diluted at 1:500.
-
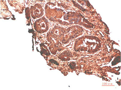
Immunohistochemical analysis of paraffin-embedded Human Breast Carcinoma Tissue using ATM Rabbit pAb diluted at 1:500.
-
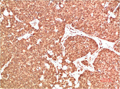
Immunohistochemical analysis of paraffin-embedded Human Prostate Carcinoma Tissue using ATM Rabbit pAb diluted at 1:500.
-
-
其他:
產品詳情
-
Uniprot No.:
-
基因名:
-
別名:A-T mutated antibody; A-T mutated homolog antibody; AT mutated antibody; AT1 antibody; ATA antibody; Ataxia telangiectasia mutated antibody; Ataxia telangiectasia mutated gene antibody; Ataxia telangiectasia mutated homolog (human) antibody; Ataxia telangiectasia mutated homolog antibody; ATC antibody; ATD antibody; ATDC antibody; ATE antibody; ATM antibody; ATM serine/threonine kinase antibody; ATM_HUMAN antibody; DKFZp781A0353 antibody; MGC74674 antibody; OTTHUMP00000232981 antibody; Serine protein kinase ATM antibody; Serine-protein kinase ATM antibody; Serine/threonine-protein kinase ATM antibody; Tefu antibody; TEL1 antibody; TEL1; telomere maintenance 1; homolog antibody; TELO1 antibody; Telomere fusion protein antibody
-
宿主:Rabbit
-
反應種屬:Human,Mouse,Rat
-
免疫原:Recombinant Protein of ATM of ATM
-
免疫原種屬:Homo sapiens (Human)
-
標記方式:Non-conjugated
-
純化方式:The antibody was affinity-purified from rabbit antiserum by affinity-chromatography using epitope-specific immunogen.
-
濃度:It differs from different batches. Please contact us to confirm it.
-
保存緩沖液:Liquid in PBS containing 50% glycerol, 0.5% BSA and 0.02% sodium azide.
-
產品提供形式:Liquid
-
應用范圍:IHC,ELISA
-
推薦稀釋比:
Application Recommended Dilution IHC IHC-p:1:100-200 -
Protocols:
-
儲存條件:Upon receipt, store at -20°C or -80°C. Avoid repeated freeze.
-
貨期:Basically, we can dispatch the products out in 1-3 working days after receiving your orders. Delivery time maybe differs from different purchasing way or location, please kindly consult your local distributors for specific delivery time.
-
用途:For Research Use Only. Not for use in diagnostic or therapeutic procedures.
相關產品
靶點詳情
-
功能:Serine/threonine protein kinase which activates checkpoint signaling upon double strand breaks (DSBs), apoptosis and genotoxic stresses such as ionizing ultraviolet A light (UVA), thereby acting as a DNA damage sensor. Recognizes the substrate consensus sequence [ST]-Q. Phosphorylates 'Ser-139' of histone variant H2AX at double strand breaks (DSBs), thereby regulating DNA damage response mechanism. Also plays a role in pre-B cell allelic exclusion, a process leading to expression of a single immunoglobulin heavy chain allele to enforce clonality and monospecific recognition by the B-cell antigen receptor (BCR) expressed on individual B-lymphocytes. After the introduction of DNA breaks by the RAG complex on one immunoglobulin allele, acts by mediating a repositioning of the second allele to pericentromeric heterochromatin, preventing accessibility to the RAG complex and recombination of the second allele. Also involved in signal transduction and cell cycle control. May function as a tumor suppressor. Necessary for activation of ABL1 and SAPK. Phosphorylates DYRK2, CHEK2, p53/TP53, FBXW7, FANCD2, NFKBIA, BRCA1, CTIP, nibrin (NBN), TERF1, UFL1, RAD9, UBQLN4 and DCLRE1C. May play a role in vesicle and/or protein transport. Could play a role in T-cell development, gonad and neurological function. Plays a role in replication-dependent histone mRNA degradation. Binds DNA ends. Phosphorylation of DYRK2 in nucleus in response to genotoxic stress prevents its MDM2-mediated ubiquitination and subsequent proteasome degradation. Phosphorylates ATF2 which stimulates its function in DNA damage response. Phosphorylates ERCC6 which is essential for its chromatin remodeling activity at DNA double-strand breaks.
-
基因功能參考文獻:
- In mitosis ATM forms a complex with the poly(ADP)ribose polymerase Tankyrase 1, the spindle pole protein NuMA1, and breast cancer protein BRCA1, another crucial DDR player. The complex is required for efficient poly(ADP)ribosylation of NuMA1. PMID: 24553124
- ATM was a direct target of miR-181a. PMID: 24531888
- A review discusses ATM function and the consequences of its loss during chronic lymphocytic leukemia pathogenesis. PMID: 23906020
- Data show that serine-922 of TAX1BP2 protein is the phosphorylation site of ataxia telangiectasia mutated (ATM) kinase. PMID: 24240686
- Data indicate that ataxia telangiectasia mutated (ATM) protein phosphorylates BRG1 protein at Ser-721. PMID: 24413084
- These results indicate that ATM regulates a sub-set of NF-kappaB dependent genes after a genotoxic stress by direct phosphorylation of p65. PMID: 22715377
- Data suggest that expression of cytomegalovirus UL76 up-regulates human interleukin-8 (IL8) expression/secretion in response to DNA damage; both UL76 and human ATM have roles in mechanism of IL8 induction during cytomegalovirus infection. PMID: 24068928
- Huntington's disease cells presented a delayed nucleo-shuttling of phosphorylated forms of the ATM kinase. PMID: 24277524
- ATM silencing induced partial reduction in levels of Skp2, a component of SCF(Skp2) ubiquitin ligase that controls Cdt1 degradation. PMID: 24280901
- Heterozygosity for the ATM rs373759 polymorphism may be a potential risk factor for papillary thyroid cancer. PMID: 23925578
- cAMP signaling inhibits radiation-induced ATM activation by PKA-dependent activation of PP2A, and this signaling mechanism augments radiation-induced apoptosis by reducing ATM-dependent activation of NF-kappaB in lung cancer cells. PMID: 24568192
- Study found that in human oncogene-transformed and cancer cells, ATM suppressed ARF protein levels and activity in a transcription-independent manner. PMID: 23851489
- Tumoral loss of ATM protein was detected more often in patients with a family history of pancreatic cancer than in those without PMID: 24486587
- An important role of ATM-mediated Mad1 Serine 214 phosphorylation in mitosis. PMID: 24728176
- OCT variants ( OCT1, OCT2 and ATM) were significantly associated with elevated baseline and glucose-induced C-peptide levels in polycystic ovary syndrome PMID: 24533710
- The findings implicate an important role of variants in the ATM- CHEK2- BRCA1 axis in modification of the genetic predisposition to papillary thyroid carcinoma and its clinical manifestations. PMID: 24599715
- Cuc B also triggers ATM-activated p53-14-3-3-sigma pathways. PMID: 24505404
- Data indicate that ATM-depletion can sensitize breast cancer cells to PARP inhibition, suggesting a potential in the treatment of breast cancers low in ATM protein expression/activity, such as those arising in mutant ATM heterozygous carriers. PMID: 24252502
- ATM levels were significantly down-regulated in oxaliplatin-resistant colorectal cancer cells. PMID: 24145123
- ATM-mediated Snail Serine 100 phosphorylation in response to ionizing irradiation plays an important part in the regulation of radiosensitivity. PMID: 23891091
- Our study indicates that the expression of Pim kinases is physiologically related to DNA-PKcs and ATM in ECs. PMID: 22282239
- At a low reactive oxygen species condition during genotoxic insult, the ATM/sumoylated-IKKgamma interaction induced NFkappaB activation that resisted JNK-mediated apoptosis. PMID: 24457965
- genetic association studies in a population of men in Germany: Data suggest that an SNP near ATM (ataxia telangiectasia mutated protein; rs11212617) is associated with coronary artery disease (but not blood glucose level) in the subjects studied. PMID: 24281401
- ATM and ATR each contribute to DNA damage response (DDR) activation caused by BKPyV infection. PMID: 22952448
- High ATM expression is associated with breast cancer. PMID: 23857602
- Reduced protein expression of ATM is associated with breast carcinoma. PMID: 23117476
- ATM protein expression is an independent prognostic marker in sporadic breast cancer. PMID: 24285016
- ATM mutation and ATM protein loss had characteristics of old age, distal location of tumor, large tumor size, and histologic intestinal type. PMID: 24324828
- ATM/ATR pathway plays an important role in tumor recognition. PMID: 24726882
- data confirm previous work showing that Lig3 is required to maintain mtDNA integrity and function, and highlight a new function of ATM in regulating DNA Lig3 stability and consequently mtDNA repair PMID: 24342190
- ATM mutations either alone or in combination with 11q deletion lead to demonstrable ATM dysfunction in patients with chronic lymphocytic leukemia. PMID: 23585524
- The findings of this study suggested that biallelic ATM-inactivating mutations may present as isolated, generalized dystonia. PMID: 23640770
- This study therefore sheds light on the mechanisms underlying AZA resistance, and will enable better understanding of AZA resistance in patients undergoing AZA treatment. PMID: 24680865
- NKX3.1 and ATM have a functional interaction leading to ATM activation and then NKX3.1 degradation in a tightly regulated DNA damage response specific to prostate epithelial cells. PMID: 23890999
- Activation of H2AX and ATM in varicella-zoster virus infected cells is associated with expression of VZV ORF61 and ORF63. PMID: 24606682
- IP7, formed by IP6K2, binds CK2 to enhance its phosphorylation of the Tti1/Tel2 complex, thereby stabilizing DNA-PKcs and ATM. This process stimulates p53 phosphorylation at serine 15 to activate the cell death program. PMID: 24657168
- ATM and MDC1 maintain genomic stability not only by controlling the DNA damage response, but also by regulating spindle assembly checkpoint activation, providing an important link between these two essential biological processes. PMID: 24509855
- we elucidated the prognostic implications of the expressions of ATM, Chk2, and p53, in gastric carcinoma PMID: 23969480
- The regulation of ATM by HDAC enzymes therefore suggests a vital role for HDAC1 and HDAC2 in the DNA damage response. PMID: 23939379
- Apoptotic progression is markedly attenuated by ATM gene knockdown through downregulation of caspase-8 and caspase-9. PMID: 24530529
- ATM and MAPKAP kinase 2 mediate radiation sensitivity in pancreatic cancer cells via phosphorylation of TRIM29. PMID: 24469230
- data provide strong evidences that Aurora-A and BRCA1/2 inversely control the sensitivity of cancer cells to radio- and chemotherapy through the ATM/Chk2-mediated DNA repair networks PMID: 24480460
- glioma stem cells were more resistant to radiation compared to glioma cells due to high expression of phosphorylated cell cycle checkpoint proteins, and inhibition of ATM could significantly reduce the radioresistance of glioma stem cells and glioma cells PMID: 23846672
- ATM-deficient mice show resistance to hepatocyte cell death. PMID: 23435430
- mimosine treatment, ATM blocks S phase entry in response to ROS, which prevents replication fork stalling-induced DNA damage. PMID: 24421316
- In Rho 0-Hep G2 cells, which lack mitochondrial DNA and functional mitochondria, ATM failed to respond to hydrogen peroxide, indicating that mitochondria are required for the oxidative activation of ATM. PMID: 24406161
- 12 pathogenic Atm mutations (1 missense, 4 nonsense, 5 frameshift, 1 splicing, and 1 large genomic deletion) were found in 8 Chinese patients from 5 families. All were novel. No homozygous mutation and founder-effect mutation were found. PMID: 23807571
- Heterozygous carriers of c.8851-1G>T (associated with absence of ATM kinase activity) had a stronger radiosensitive phenotype with this assay than heterozygous carriers of p.Asp2708Asn (associated with residual kinase activity). PMID: 23632773
- Significant association with PTC was found for rs1801516 (D1853N) in ATM and rs1867277 in the promoter region of FOXE1 (OR = 1.55, 95% CI 1.03, 2.34). PMID: 24105688
- Kaposi's sarcoma-associated herpesvirus induces the ATM and H2AX DNA damage response early during de novo infection of primary endothelial cells, which play roles in latency establishment. PMID: 24352470
顯示更多
收起更多
-
相關疾?。?/div>Ataxia telangiectasia (AT)亞細胞定位:Nucleus. Cytoplasmic vesicle. Cytoplasm, cytoskeleton, microtubule organizing center, centrosome.蛋白家族:PI3/PI4-kinase family, ATM subfamily組織特異性:Found in pancreas, kidney, skeletal muscle, liver, lung, placenta, brain, heart, spleen, thymus, testis, ovary, small intestine, colon and leukocytes.數據庫鏈接:
Most popular with customers
-
-
YWHAB Recombinant Monoclonal Antibody
Applications: ELISA, WB, IHC, IF, FC
Species Reactivity: Human, Mouse, Rat
-
Phospho-YAP1 (S127) Recombinant Monoclonal Antibody
Applications: ELISA, WB, IHC
Species Reactivity: Human
-
-
-
-
-















