ATG16L1 Antibody
-
中文名稱:ATG16L1兔多克隆抗體
-
貨號:CSB-PA734569ESR1HU
-
規格:¥440
-
圖片:
-
Western blot
All lanes: ATG16L1 antibody at 2µg/ml + MCF-7 whole cell lysate
Secondary
Goat polyclonal to rabbit IgG at 1/10000 dilution
Predicted band size: 69, 67, 54, 48, 50 kDa
Observed band size: 69 kDa -
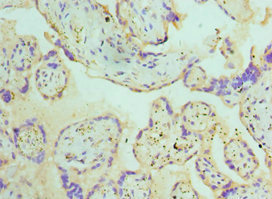
Immunohistochemistry of paraffin-embedded human placenta tissue using CSB-PA734569ESR1HU at dilution of 1:100
-
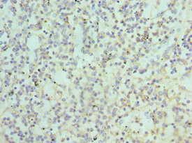
Immunohistochemistry of paraffin-embedded human spleen tissue using CSB-PA734569ESR1HU at dilution of 1:100
-
-
其他:
產品詳情
-
產品名稱:Rabbit anti-Homo sapiens (Human) ATG16L1 Polyclonal antibody
-
Uniprot No.:
-
基因名:
-
別名:A16L1_HUMAN antibody; APG16 like 1 antibody; APG16-like 1 antibody; APG16L antibody; APG16L beta antibody; ATG16 autophagy related 16 like 1 antibody; ATG16 autophagy related 16-like 1 (S. cerevisiae) antibody; ATG16A antibody; ATG16L antibody; Atg16l1 antibody; Autophagy related protein 16 1 antibody; Autophagy-related protein 16-1 antibody; FLJ00045 antibody; FLJ10035 antibody; FLJ10828 antibody; FLJ22677 antibody; IBD10 antibody; OTTHUMP00000164391 antibody; OTTHUMP00000164393 antibody; OTTHUMP00000165876 antibody; OTTHUMP00000165877 antibody; WD repeat domain 30 antibody; WDR30 antibody
-
宿主:Rabbit
-
反應種屬:Human
-
免疫原:Recombinant Human Autophagy-related protein 16-1 protein (90-300AA)
-
免疫原種屬:Homo sapiens (Human)
-
標記方式:Non-conjugated
-
克隆類型:Polyclonal
-
抗體亞型:IgG
-
純化方式:Antigen Affinity Purified
-
濃度:It differs from different batches. Please contact us to confirm it.
-
保存緩沖液:PBS with 0.02% sodium azide, 50% glycerol, pH7.3.
-
產品提供形式:Liquid
-
應用范圍:ELISA, WB, IHC
-
推薦稀釋比:
Application Recommended Dilution WB 1:200-1:2000 IHC 1:20-1:200 -
Protocols:
-
儲存條件:Upon receipt, store at -20°C or -80°C. Avoid repeated freeze.
-
貨期:Basically, we can dispatch the products out in 1-3 working days after receiving your orders. Delivery time maybe differs from different purchasing way or location, please kindly consult your local distributors for specific delivery time.
-
用途:For Research Use Only. Not for use in diagnostic or therapeutic procedures.
相關產品
靶點詳情
-
功能:Plays an essential role in autophagy: interacts with ATG12-ATG5 to mediate the conjugation of phosphatidylethanolamine (PE) to LC3 (MAP1LC3A, MAP1LC3B or MAP1LC3C), to produce a membrane-bound activated form of LC3 named LC3-II. Thereby, controls the elongation of the nascent autophagosomal membrane. Regulates mitochondrial antiviral signaling (MAVS)-dependent type I interferon (IFN-I) production. Negatively regulates NOD1- and NOD2-driven inflammatory cytokine response. Instead, promotes with NOD2 an autophagy-dependent antibacterial pathway. Plays a role in regulating morphology and function of Paneth cell.
-
基因功能參考文獻:
- genetic associations studies conducted in population of postmenopausal women in Brazil: Data suggest that a genetic polymorphism in ATG16L1 (T300A) is associated with cardiovascular disease in postmenopausal women in the population studied (after adjustments for confounding variables). PMID: 30236831
- show that the WD repeat-containing C-terminal domain (WD40 CTD) of ATG16L1 is essential for LC3 recruitment to endolysosomal membranes during non-canonical autophagy PMID: 29317426
- the role of the autophagy elongation complex (ATG5-12/16L1) in Hepatitis C virus replication and membranous web formation, was examined. PMID: 28067309
- The association of ATG16L1 to Crohn's disease in Iranian patients was confirmed while it was shown that the studied polymorphisms in IRGM was not associated with Crohn's disease. PMID: 29960072
- T300A polymorphism alters the function of motif-containing molecules that engage ATG16L1 through the WD40 domain PMID: 27273576
- Two SNPs (rs4663421 and rs6758317) and the TT haplotype of the ATG16L1 gene are possibly associated with ankylosing spondylitis susceptibility in a Chinese Han female population. PMID: 28952203
- the ATG16L1 genotype was significantly associated with the risk of developing Crohn's disease. PMID: 27698206
- The identification, purification, biochemical characterization and crystallization of the proteolytically stable ATG16L1 subfragment, 72-307, are reported here. PMID: 28994404
- Our results suggest that these three genes that are critical components of the autophagy pathway (ATG16L, ATG2B, ATG5) are not significant risk factors among Spanish patients with either pseudoexfoliation syndrome or pseudoexfoliation glaucoma. PMID: 27960588
- TMEM74 promotes tumor cell survival by inducing autophagy via interactions with ATG16L1 and ATG9A. PMID: 29048433
- HBV gained access to Atg5-12/16L1 via interaction of its core protein with the Atg12 moiety of the complex. In contrast, subsequent autophagosome maturation and closure events were unnecessary for HBV replication, as evidenced by inhibition of Atg8/LC3 conjugation. Interfering with the HBV/Atg12 cross talk may be a tool for virus control. PMID: 29367244
- genetic variations in ATG16L1 can predict brain metastasis (BM) and that genome analysis would facilitate stratification of patients for BM prevention trials. PMID: 28441070
- transient expression of ATG16L1 not only inhibited autophagosome biogenesis, but also aberrantly targeted RAB11-positive recycling endosomes, resulting in recycling endosome aggregates. PMID: 27875067
- the ATG16L1 (T300A) variant is associated with necrotizing enterocolitis in premature infants PMID: 27893720
- this study shows that the association between ATG16L1 and Crohn's disease is mediated at least in part through Rac1 hyperactivation and subsequent defective dendritic cell migration PMID: 27435106
- the data suggested that genetic variants within the ATG16L1 gene promoter were not a risk factor for sporadic Parkinson's disease development PMID: 28279708
- Polymorphism in ATG16L1 gene is associated withinflammatory bowel disease. PMID: 28542425
- EVA1A interacts with the WD repeats of ATG16L1 through its C-terminal and promotes ATG12-ATG5/ATG16L1 complex recruitment to the autophagic membrane and enhances the formation of the autophagosome. PMID: 27490928
- Identified and present structure of the predicted WD40 domain boundaries of the autophagy-related protein 16-1 (ATG16L1). PMID: 28685931
- this study revealed that ATG16L1 deficiency led to alterations in macrophage function that contribute to the severity of Crohn disease PMID: 28130498
- The present results support the hypothesis that Trimethylamine N-oxide may be involved in the pathogenesis of inflammatory bowel disease by impacting ATG16L1-induced autophagy and activating NLRP3 inflammasome. PMID: 28629999
- MicroRNA-410 regulates autophagy-related gene ATG16L1 expression and enhances chemosensitivity via autophagy inhibition in osteosarcoma.( PMID: 28138700
- we focus on the contributions of the plasma membrane to autophagosome biogenesis governed by ATG16L1 and ATG9A trafficking, and summarize the physiological and pathological implications of this macroautophagy route, from development and stem cell fate to neurodegeneration and cancer. PMID: 27758042
- ATG16L1 T300A Polymorphism is Correlated with Gastric Cancer Susceptibility. PMID: 26547861
- Induction of Anti-TNF induced macrophages is impaired in donors carrying the T300A risk allele for the ATG16L1 suggesting that an intact autophagy pathway may be important for an optimal response to anti-TNF therapy in inflammatory bowel disease. PMID: 26417049
- The Egr-1 and Atg16L1 genes' polymorphisms were significant risk factors for susceptibility to chronic obstructive pulmonary disease (COPD) . These results demonstrate that autophagy regulator genetic mutations are associated with COPD in male smokers. PMID: 24012056
- Subjects homozygous for the autophagy-related 16-like protein (ATG16L1) CD-associated gene variant (rs2241880), had low SHIP mRNA expression and activity. PMID: 26226011
- The Thr300Ala variant in ATG16L1 is associated with improved survival in human colorectal cancer and enhanced production of type I interferon. PMID: 25645662
- ATG16L1 as a bona fide physiological CSNK2 and PPP1 substrate, which reveals a novel molecular link from CSNK2 to activation of the autophagy-specific ATG12-ATG5-ATG16L1 complex and autophagy induction PMID: 26083323
- Knockdown of Atg16L1, a crucial autophagy gene, leads to developmental retention of early-stage cells in various tissues where the differentiation of stem cells is retarded. PMID: 26837467
- Antibacterial autophagy is impaired in CLEC12A-deficient cells, and this effect is exacerbated in the presence of the ATG16L1( *)300A risk allele. PMID: 26095365
- ATG16L1 may be used as a biomarker for selecting oral squamous cell carcinoma patients with a more aggressive phenotype. PMID: 25060858
- CNTNAP3 could upregulate the expression of ATG16L1 and increase autophagy vacuoles PMID: 25883416
- decreased expression in colon biopsies of Crohn's disease patients; conversely, increased expression in ulcerative colitis patients PMID: 25886994
- ATG16L1 variant rs2241880 was associated with 38% increase in the risk for Crohn's disease for higher mutational load, whereas IL23R variant rs11209026 decreased the risk by 54% for higher mutational load. PMID: 25738374
- CD patients homozygous for the ATG16L1-T300A risk allele show impaired clearance of pathosymbionts in ileal inflammation indicating that ATG16L1 is essential for effective elimination of pathosymbionts upon inflammation. PMID: 25253126
- genotyped 31 Crohn's disease (CD)-associated genes in 102 Slovenian patients. The strongest association for treatment response defined as decrease in CRP levels was found for ATG16L1 SNP rs10210302. PMID: 25712183
- These two steps are essential for the maturation of small single-membrane autophagic precursors containing ATG16L1 and mATG9 proteins into double-membrane autophagosomes PMID: 25461811
- The signaling axis of HIF-1a, miR-20a-5p, and ATG16L1 in autophagic process might be a critical adapting mechanism for ischemic kidney injury. PMID: 26165754
- ATG16L1 gene does play a role in the pathogenesis of Crohn's Disease in the Chinese population. PMID: 25048429
- ATG16L1 expression could influence vascular endothelial function during atherogenesis. PMID: 25767270
- Data suggest ATG16L1 dimer interacts with WIPI2b (WD repeat domain phosphoinositide-interacting protein 2) and this interaction is linked to phosphatidylinositol 3-phosphate production in endoplasmic reticulum and autophagosome formation. [REVIEW] PMID: 25233411
- results showed that the prevalence of ATG16L1 and IL23R variants was not significantly different between patients and controls. However a possible role of ATG16L1 (T300A) on CD phenotype was suggested PMID: 25159710
- Subjects carrying GG genotype were at a higher risk for colorectal cancer (OR 1.99, 95% CI: 1.02-3.91, p=0.039) when compared with the more frequent AA genotype. PMID: 24715166
- Monocytes of Crohn's disease patients show enhanced phagocytosis associated with the presence of ATG16L1 and NOD2 variants. PMID: 24627602
- MIR142-3p, upon transient overexpression in the cells, resulted in decreased ATG16L1 mRNA and protein levels PMID: 24401604
- Carriage of the minor A allele of ATG16L1 was associated with septic shock with at least one organ failure (odds ratio (OR): 2.40, p: 0.036). PMID: 24791954
- this is the first paediatric study reporting an association between the presence of the rs2241880 risk polymorphism of ATG16L1 in children with CD and a more severe phenotype of the disease. PMID: 24656308
- The frequency of the allele G of the polymorphism T300A was higher in the group of patients with Crohn's disease (48.6%) than in controls (42.4%), although not reaching statistical significance. PMID: 25003259
- Letter: ATG16L1 rs2241880 genetic polymorphism does not confer predisposition to rheumatoid arthritis. PMID: 23535819
顯示更多
收起更多
-
相關疾病:Inflammatory bowel disease 10 (IBD10)
-
亞細胞定位:Cytoplasm. Preautophagosomal structure membrane; Peripheral membrane protein.
-
蛋白家族:WD repeat ATG16 family
-
數據庫鏈接:
Most popular with customers
-
-
YWHAB Recombinant Monoclonal Antibody
Applications: ELISA, WB, IHC, IF, FC
Species Reactivity: Human, Mouse, Rat
-
Phospho-YAP1 (S127) Recombinant Monoclonal Antibody
Applications: ELISA, WB, IHC
Species Reactivity: Human
-
-
-
-
-















