-
中文名稱:ARRB2兔多克隆抗體
-
貨號:CSB-PA002135LA01HU
-
規格:¥440
-
圖片:
-
Western Blot
Positive WB detected in: PC-3 whole cell lysate, Rat heart tissue, Rat liver tissue
All lanes: ARRB2 antibody at 3.5µg/ml
Secondary
Goat polyclonal to rabbit IgG at 1/50000 dilution
Predicted band size: 47, 48, 46, 49, 45 kDa
Observed band size: 47 kDa -
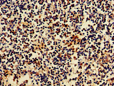
IHC image of CSB-PA002135LA01HU diluted at 1:700 and staining in paraffin-embedded human spleen tissue performed on a Leica BondTM system. After dewaxing and hydration, antigen retrieval was mediated by high pressure in a citrate buffer (pH 6.0). Section was blocked with 10% normal goat serum 30min at RT. Then primary antibody (1% BSA) was incubated at 4°C overnight. The primary is detected by a biotinylated secondary antibody and visualized using an HRP conjugated SP system.
-
Immunofluorescent analysis of HepG2 cells using CSB-PA002135LA01HU at dilution of 1:100 and Alexa Fluor 488-congugated AffiniPure Goat Anti-Rabbit IgG(H+L)
-
-
其他:
產品詳情
-
產品名稱:Rabbit anti-Homo sapiens (Human) ARRB2 Polyclonal antibody
-
Uniprot No.:
-
基因名:
-
別名:ARB 2 antibody; ARB2 antibody; ARR 2 antibody; ARR2 antibody; ARRB 2 antibody; ARRB2 antibody; ARRB2_HUMAN antibody; Arrestin 3 antibody; Arrestin beta 2 antibody; Arrestin beta-2 antibody; BARR2 antibody; Beta-arrestin-2 antibody; DKFZp686L0365 antibody; HGNC:712 antibody
-
宿主:Rabbit
-
反應種屬:Human, Rat
-
免疫原:Recombinant Human Beta-arrestin-2 protein (222-369AA)
-
免疫原種屬:Homo sapiens (Human)
-
標記方式:Non-conjugated
本頁面中的產品,ARRB2 Antibody (CSB-PA002135LA01HU),的標記方式是Non-conjugated。對于ARRB2 Antibody,我們還提供其他標記。見下表:
-
克隆類型:Polyclonal
-
抗體亞型:IgG
-
純化方式:>95%, Protein G purified
-
濃度:It differs from different batches. Please contact us to confirm it.
-
保存緩沖液:Preservative: 0.03% Proclin 300
Constituents: 50% Glycerol, 0.01M PBS, pH 7.4 -
產品提供形式:Liquid
-
應用范圍:ELISA, WB, IHC, IF
-
推薦稀釋比:
Application Recommended Dilution WB 1:500-1:5000 IHC 1:500-1:1000 IF 1:50-1:200 -
Protocols:
-
儲存條件:Upon receipt, store at -20°C or -80°C. Avoid repeated freeze.
-
貨期:Basically, we can dispatch the products out in 1-3 working days after receiving your orders. Delivery time maybe differs from different purchasing way or location, please kindly consult your local distributors for specific delivery time.
-
用途:For Research Use Only. Not for use in diagnostic or therapeutic procedures.
引用文獻
- β-arrestin-2 predicts the clinical response to β-blockers in cirrhotic portal hypertension patients: A prospective study SA Lashen,World journal of hepatology,2023
相關產品
靶點詳情
-
功能:Functions in regulating agonist-mediated G-protein coupled receptor (GPCR) signaling by mediating both receptor desensitization and resensitization processes. During homologous desensitization, beta-arrestins bind to the GPRK-phosphorylated receptor and sterically preclude its coupling to the cognate G-protein; the binding appears to require additional receptor determinants exposed only in the active receptor conformation. The beta-arrestins target many receptors for internalization by acting as endocytic adapters (CLASPs, clathrin-associated sorting proteins) and recruiting the GPRCs to the adapter protein 2 complex 2 (AP-2) in clathrin-coated pits (CCPs). However, the extent of beta-arrestin involvement appears to vary significantly depending on the receptor, agonist and cell type. Internalized arrestin-receptor complexes traffic to intracellular endosomes, where they remain uncoupled from G-proteins. Two different modes of arrestin-mediated internalization occur. Class A receptors, like ADRB2, OPRM1, ENDRA, D1AR and ADRA1B dissociate from beta-arrestin at or near the plasma membrane and undergo rapid recycling. Class B receptors, like AVPR2, AGTR1, NTSR1, TRHR and TACR1 internalize as a complex with arrestin and traffic with it to endosomal vesicles, presumably as desensitized receptors, for extended periods of time. Receptor resensitization then requires that receptor-bound arrestin is removed so that the receptor can be dephosphorylated and returned to the plasma membrane. Mediates endocytosis of CCR7 following ligation of CCL19 but not CCL21. Involved in internalization of P2RY1, P2RY4, P2RY6 and P2RY11 and ATP-stimulated internalization of P2RY2. Involved in phosphorylation-dependent internalization of OPRD1 and subsequent recycling or degradation. Involved in ubiquitination of IGF1R. Beta-arrestins function as multivalent adapter proteins that can switch the GPCR from a G-protein signaling mode that transmits short-lived signals from the plasma membrane via small molecule second messengers and ion channels to a beta-arrestin signaling mode that transmits a distinct set of signals that are initiated as the receptor internalizes and transits the intracellular compartment. Acts as signaling scaffold for MAPK pathways such as MAPK1/3 (ERK1/2) and MAPK10 (JNK3). ERK1/2 and JNK3 activated by the beta-arrestin scaffold are largely excluded from the nucleus and confined to cytoplasmic locations such as endocytic vesicles, also called beta-arrestin signalosomes. Acts as signaling scaffold for the AKT1 pathway. GPCRs for which the beta-arrestin-mediated signaling relies on both ARRB1 and ARRB2 (codependent regulation) include ADRB2, F2RL1 and PTH1R. For some GPCRs the beta-arrestin-mediated signaling relies on either ARRB1 or ARRB2 and is inhibited by the other respective beta-arrestin form (reciprocal regulation). Increases ERK1/2 signaling in AGTR1- and AVPR2-mediated activation (reciprocal regulation). Involved in CCR7-mediated ERK1/2 signaling involving ligand CCL19. Is involved in type-1A angiotensin II receptor/AGTR1-mediated ERK activity. Is involved in type-1A angiotensin II receptor/AGTR1-mediated MAPK10 activity. Is involved in dopamine-stimulated AKT1 activity in the striatum by disrupting the association of AKT1 with its negative regulator PP2A. Involved in AGTR1-mediated chemotaxis. Appears to function as signaling scaffold involved in regulation of MIP-1-beta-stimulated CCR5-dependent chemotaxis. Involved in attenuation of NF-kappa-B-dependent transcription in response to GPCR or cytokine stimulation by interacting with and stabilizing CHUK. Suppresses UV-induced NF-kappa-B-dependent activation by interacting with CHUK. The function is promoted by stimulation of ADRB2 and dephosphorylation of ARRB2. Involved in p53/TP53-mediated apoptosis by regulating MDM2 and reducing the MDM2-mediated degradation of p53/TP53. May serve as nuclear messenger for GPCRs. Upon stimulation of OR1D2, may be involved in regulation of gene expression during the early processes of fertilization. Also involved in regulation of receptors other than GPCRs. Involved in endocytosis of TGFBR2 and TGFBR3 and down-regulates TGF-beta signaling such as NF-kappa-B activation. Involved in endocytosis of low-density lipoprotein receptor/LDLR. Involved in endocytosis of smoothened homolog/Smo, which also requires GRK2. Involved in endocytosis of SLC9A5. Involved in endocytosis of ENG and subsequent TGF-beta-mediated ERK activation and migration of epithelial cells. Involved in Toll-like receptor and IL-1 receptor signaling through the interaction with TRAF6 which prevents TRAF6 autoubiquitination and oligomerization required for activation of NF-kappa-B and JUN. Involved in insulin resistance by acting as insulin-induced signaling scaffold for SRC, AKT1 and INSR. Involved in regulation of inhibitory signaling of natural killer cells by recruiting PTPN6 and PTPN11 to KIR2DL1. Involved in IL8-mediated granule release in neutrophils. Involved in the internalization of the atypical chemokine receptor ACKR3. Acts as an adapter protein coupling FFAR4 receptor to specific downstream signaling pathways, as well as mediating receptor endocytosis. During the activation step of NLRP3 inflammasome, directly associates with NLRP3 leading to inhibition of proinflammatory cytokine release and inhibition of inflammation.
-
基因功能參考文獻:
- Pre-treatment with beta-arrestin2 agonists was shown to inhibit the AMPK/mTOR signaling pathway, and to inhibit autophagy by restoring the levels of beta-arrestin2 in BEAS-2B cells. These changes were reversed with the knockdown of beta-arrestin2, indicating that beta-arrestin2 suppressed autophagy through the AMPK-mTOR signaling pathway. PMID: 30355935
- Extracellular alpha-synuclein induces sphingosine S1P1R uncoupled from inhibitory G-protein leaving beta-arrestin signal intact. PMID: 28300069
- Results showed that significantly higher expression of betaarrestin2 was observed in colorectal cancer tissues compared with normal colon tissues. PMID: 29620228
- overexpression of beta-arrestin2 can inhibit the growth of renal cell carcinoma (RCC) cells in vitro, and beta-arrestin2 acts as a tumor suppressor gene in RCC; the main mechanism may directly suppress the phosphorylation of IkBa and indirectly suppress NFkB PMID: 28485809
- Study investigated the association between five ARRB2 single nucleotide polymorphisms (SNPs): rs1045280, rs2036657, rs4790694, rs3786047 and rs452246, and response to antidepressant treatment in a sample of 569 patients with a major depressive episode treated for 6months: GG/GT patients for rs4522461 and AA/AC patients for rs4790694 had a lower response. PMID: 29031912
- Itch/beta-arrestin2 complex binds SuFu and induces its Lys63-linked polyubiquitylation without affecting its stability. PMID: 29515120
- USP33 may indirectly regulate the degradation and recycling of CXCR4 through deubiquitinating beta-arrestin2, promoting colorectal tumor cell metastasis. PMID: 27835898
- Antihistamines displayed similar kinetic signatures on antagonizing histamine-induced beta-arrestin2 recruitment as compared to displacing radioligand binding from the H1R. PMID: 27468652
- the internalization motif for the human neuropeptide Y4 receptor, which regulates arrestin-3 recruitment and receptor endocytosis, was identified. PMID: 27818291
- Collectively, these data show that beta-arrestin2 phosphorylation at Thr(383) underlies beta-arrestin-dependent Erk1/2 activation by G protein-coupled receptors. PMID: 28169830
- Data indicate that a constitutively monomeric CXCL12 variant reproduced the G protein-dependent and beta-arrestin-dependent responses that are associated with normal CXCR4 signaling and lead to cell migration. PMID: 28325822
- EPCR occupancy recruits G-protein coupled receptor kinase 5, thereby inducing beta-arrestin-2 biased PAR1 signaling by both APC and thrombin. In PMID: 27561318
- CCR5 is highly expressed in active inflammatory bowel disease, and it has positive correlation with lymphocyte grade and negative correlation with expression of beta-arrestin2. PMID: 28140695
- Data suggest that PAR4 and P2Y12 heterodimer internalization/endocytosis is required for beta-arrestin-2 recruitment to endosomes and up-regulation of Akt signaling; activation of PAR4 but not of P2Y12 drives internalization of the PAR4-P2Y12 heterodimer. (PAR4 = protease-activated receptor 4; P2Y12 = purinergic receptor P2Y, G-protein coupled, 12 protein; Akt = proto-oncogene protein c-akt) PMID: 28652403
- Heterodimerization of the kappa opioid receptor and neurotensin receptor 1 contributes to a novel beta-arrestin-2-signaling pathway. PMID: 27523794
- RACK1 and beta-arrestin2 inhibit the dimerization of PDE4D5. PMID: 26257302
- Suggest that fenoterol inhibited AICAR-induced AMPK alpha1 activation and TNF-alpha release through beta-arrestin-2 in THP-1 cells. PMID: 27657826
- Results demonstrate that betaArr2 signaling may be an important pathway for TAAR1 function and that the activation of the TAAR1-D2R complex negatively modulates GSK3b signaling PMID: 26372541
- Role for engagement of BARR2 by the transactivated EGFR in agonist-specific regulation of delta receptor activation of ERK1/2 PMID: 26211551
- Data suggest that thrombin can directly activate PAR2 vasorelaxation, signal transduction (stimulating both calcium and MAP kinase responses), and triggering beta-arrestin recruitment (both beta-arrestin 1 and 2). PMID: 26957205
- a beta-arrestin signalling cycle that is catalytically activated by the GPCR and energetically coupled to the endocytic machinery PMID: 26829388
- The rare variants in ARRB2 were significantly associated with smoking status. PMID: 25450229
- analysis of the crystal structure of the rhodopsin-arrestin complex PMID: 26467309
- In this study, we aimed to exploit an in vitro model system of BPH in order to better understand the mechanisms of alpha-AR signaling in prostatic hyperplasia. PMID: 26850854
- interaction of beta-arrestin with GPCRs, and the beta-arrestin conformational changes in real time and in living human cells, using a series of fluorescence resonance energy transfer (FRET)-based beta-arrestin2 biosensors PMID: 27007855
- ARRB2 is not upregulated in inflammation-associated hepatocellular carcinoma (HCC) and paracancerous tissues. PMID: 26077142
- Beta-arrestin 2 promotes inflammation-induced intestinal epithelial apoptosis through endoplasmic reticulum stress/PUMA in colitis. PMID: 25354317
- MTS assay revealed that silencing of beta-arrestin 2 increased the sensitivity to anti-cancer drugs to some extent. On the other hand, overexpression of beta-arrestin 2 had the opposite effects. PMID: 25973019
- In a mouse model of Marfan syndrome, BARR2 contributes to thoracic aortic aneurysm formation by regulating ERK1/2-dependent expression of proaneurysmal genes and proteins downstream of the AT1aR. PMID: 26371162
- GPCR cell-surface expression is regulated by receptor sequestration in response to beta-arrestin-2 phosphorylation by ERK1/2 PMID: 26324936
- GPR40 functions via both G protein-mediated and beta-arrestin-mediated mechanisms; endogenous and synthetic ligands differentially engage these pathways to promote insulin secretion. PMID: 26157145
- identified a novel role for beta-arrestin2 in the modulation of the castration-resistant prostate cancer progress through FOXO1 PMID: 25752515
- Study demonstrates that the minor allele of rs1045280, the tSNP of ARRB2, significantly increases late-onset Alzheimer's disease risk in a Northern Han Chinese population, implying that ARRB2 may represent a susceptibility gene PMID: 24635845
- arrestin-3 and GRK2 play an essential role in the regulation of agonist-mediated GPR40 internalization, but are not involved in the regulation of constitutive GPR40 internalization. PMID: 25038452
- SUMOylation is a novel mechanism in the regulation of beta-arrestin 2-mediated IL-1R/TRAF6 signaling PMID: 25425640
- The stem cell-expressed receptor Lgr5 possesses canonical and functionally active molecular determinants critical to beta-arrestin-2 recruitment. PMID: 24386388
- Decreased beta-arrestin expression is associated with breast cancer. PMID: 24568448
- Phosphorylation and structural elements within the C-terminal tail of FFA4 allow for the recruitment of arrestin-3. PMID: 24817122
- a novel adaptor beta-arrestin 2 that associates with phosphorylated TIGIT for further recruitment of SHIP1 (SH2-containing inositol phosphatase 1) through the ITT-like motif. PMID: 24817116
- GPR43 modulates NF-kappaB activity via beta-arrestin 2. PMID: 23985900
- CRF2(a) receptor desensitization is dependent on beta-arrestin2 recruitment. PMID: 23820308
- CCR1.beta-arrestin-2 complex may be related to a potential scavenging function of the receptor, which may be important for maintenance of chemokine gradients and receptor responsiveness in complex fields of chemokines during inflammation. PMID: 24056371
- Taken together, the participation of 5-HT1A and FGFR1 homodimers and recruitment of beta-arrestin2 was demonstrated in the FGFR1-5-HT1A heteroreceptor complexes upon agonist treatments. PMID: 24157794
- Beta-arr2 binding is only required for agonist-induced internalization of the CB1 receptor. PMID: 23541635
- beta-arrestin 2 and CCR7 and PI3K phosphorylation have a role in bisoprolol reversed epinephrine-mediated inhibition of cell migration, in dendritic cells loaded with cholesterol PMID: 23290307
- Social anhedonia mutant DISC-1 mouse model has reduced levels of beta-arrestin-1,2 in the nucleus accumbens. PMID: 23011268
- beta-arrestin2-PDE4D5 complex allowed the recruitment of Epac1 to beta2AR and induced a switch from beta2AR non-hypertrophic signaling to a beta1AR-like pro-hypertrophic signaling cascade. PMID: 23266473
- Arf (ADP-ribosylation factor) GAP (GTPase-activating protein) AGAP2 plays a role in the signalling and recycling of beta2-adrenergic receptors, co-localizing with overexpressed beta2AR and trapping beta2AR in the perinuclear region. PMID: 23527545
- Beta 2 adrenergic receptor endocytosis requires beta-arrestin2 but not ARRDC3. PMID: 23208550
- The interaction of TbetaRII with betaarrestin2 is involved in modulating TGFbeta signal transduction, as loss of betaarrestin2 increases the phosphorylation of p38 and modestly affects pSmad levels. PMID: 23069267
顯示更多
收起更多
-
亞細胞定位:Cytoplasm. Nucleus. Cell membrane. Membrane, clathrin-coated pit. Cytoplasmic vesicle. Note=Translocates to the plasma membrane and colocalizes with antagonist-stimulated GPCRs.
-
蛋白家族:Arrestin family
-
數據庫鏈接:
Most popular with customers
-
-
YWHAB Recombinant Monoclonal Antibody
Applications: ELISA, WB, IHC, IF, FC
Species Reactivity: Human, Mouse, Rat
-
Phospho-YAP1 (S127) Recombinant Monoclonal Antibody
Applications: ELISA, WB, IHC
Species Reactivity: Human
-
-
-
-
-















