ARPC2 Antibody
-
中文名稱:ARPC2兔多克隆抗體
-
貨號:CSB-PA099883
-
規格:¥1100
-
圖片:
-
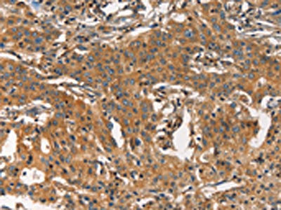
The image on the left is immunohistochemistry of paraffin-embedded Human thyroid cancer tissue using CSB-PA099883(ARPC2 Antibody) at dilution 1/30, on the right is treated with synthetic peptide. (Original magnification: ×200)
-
The image on the left is immunohistochemistry of paraffin-embedded Human gastric cancer tissue using CSB-PA099883(ARPC2 Antibody) at dilution 1/30, on the right is treated with synthetic peptide. (Original magnification: ×200)
-
Gel: 8%SDS-PAGE, Lysate: 40 μg, Lane 1-4: 231 cells, human fetal brain tissue, NIH/3T3 cells, PC3 cells, Primary antibody: CSB-PA099883(ARPC2 Antibody) at dilution 1/350, Secondary antibody: Goat anti rabbit IgG at 1/8000 dilution, Exposure time: 40 seconds
-
-
其他:
產品詳情
-
Uniprot No.:
-
基因名:
-
別名:Actin related protein 2/3 complex subunit 2 34kDa antibody; Actin related protein 2/3 complex subunit 2 antibody; Actin-related protein 2/3 complex subunit 2 antibody; ARC 34 antibody; ARC34 antibody; Arp2/3 complex 34 kDa subunit antibody; ARP2/3 protein compex subunit 34 antibody; ARPC 2 antibody; Arpc2 antibody; ARPC2_HUMAN antibody; p34 Arc antibody; p34-ARC antibody; p34Arc antibody; PNAS 139 antibody; PNAS139 antibody; PRO 2446 antibody; PRO2446 antibody
-
宿主:Rabbit
-
反應種屬:Human,Mouse,Rat
-
免疫原:Synthetic peptide of Human ARPC2
-
免疫原種屬:Homo sapiens (Human)
-
標記方式:Non-conjugated
-
抗體亞型:IgG
-
純化方式:Antigen affinity purification
-
濃度:It differs from different batches. Please contact us to confirm it.
-
保存緩沖液:-20°C, pH7.4 PBS, 0.05% NaN3, 40% Glycerol
-
產品提供形式:Liquid
-
應用范圍:ELISA,WB,IHC
-
推薦稀釋比:
Application Recommended Dilution ELISA 1:1000-1:2000 WB 1:200-1:1000 IHC 1:25-1:100 -
Protocols:
-
儲存條件:Upon receipt, store at -20°C or -80°C. Avoid repeated freeze.
-
貨期:Basically, we can dispatch the products out in 1-3 working days after receiving your orders. Delivery time maybe differs from different purchasing way or location, please kindly consult your local distributors for specific delivery time.
-
用途:For Research Use Only. Not for use in diagnostic or therapeutic procedures.
相關產品
靶點詳情
-
功能:Actin-binding component of the Arp2/3 complex, a multiprotein complex that mediates actin polymerization upon stimulation by nucleation-promoting factor (NPF). The Arp2/3 complex mediates the formation of branched actin networks in the cytoplasm, providing the force for cell motility. Seems to contact the mother actin filament. In addition to its role in the cytoplasmic cytoskeleton, the Arp2/3 complex also promotes actin polymerization in the nucleus, thereby regulating gene transcription and repair of damaged DNA. The Arp2/3 complex promotes homologous recombination (HR) repair in response to DNA damage by promoting nuclear actin polymerization, leading to drive motility of double-strand breaks (DSBs).
-
基因功能參考文獻:
- In the association analysis of 110 gastric cancer tissues, ARPC2 showed significant associations with large tumor size, lymph node invasion, and high tumor stage. In addition, ARPC2-positive patients exhibited lower RFS and OS rates compared with ARPC2-negative patients. We thus identify that ARPC2 plays an aneretic role in human gastric cancer and provided a new target for gastric cancer therapy. PMID: 28694563
- Downregulation of the ARP2/3 complex signaling pathway, a common final pathway for multiple signaling cascades that regulate the actin cytoskeleton, would compromise the structural stability of spines, leading to their loss. In concert with findings from deletion of the ARP2/3 complex in mice, these findings support the idea that spine deficits in the DLPFC may contribute to subcortical hyperdopaminergia in schizophrenia. PMID: 27523502
- Recent reports now demonstrate a novel aspect of the ARP2/3 complex and the nucleating-promoting factors in the maintenance of endothelial barrier function and junction remodeling of established endothelial cell junctions. PMID: 24621569
- FOXF1 repressed cell growth and expression of collagen-1 and actin-related protein 2/3 complex, subunit 2. PMID: 25260753
- The Arp2/3 complex is recruited to invading Rickettsia parkeri and is required for efficient invasion. PMID: 22188208
- Filopodia initiation: focus on the Arp2/3 complex and formins PMID: 21975549
- WASH is a bimodular protein and a component of the BLOC-1 complex in which the C terminus is involved in Arp2/3-mediated actin nucleation, whereas the N-terminal portion is required for its regulation and localization in the cells PMID: 20308062
- The actin-related protein 2 accumulated in punctate structures that formed an extensivenetwork in a region corresponding to the postition of the Golgi complex. PMID: 15793564
- Compared with controls, actin-related protein 2/3 level was markedly increased in brains of intractable epilepsy patients. PMID: 18708039
- These findings strongly suggest that defective IL10 function is central to the pathogenesis of the ulcerative colitis subtype of inflammatory bowel disease. PMID: 18836448
顯示更多
收起更多
-
亞細胞定位:Cytoplasm, cytoskeleton. Cell projection. Cell junction, synapse, synaptosome. Nucleus.
-
蛋白家族:ARPC2 family
-
數據庫鏈接:
Most popular with customers
-
-
YWHAB Recombinant Monoclonal Antibody
Applications: ELISA, WB, IHC, IF, FC
Species Reactivity: Human, Mouse, Rat
-
Phospho-YAP1 (S127) Recombinant Monoclonal Antibody
Applications: ELISA, WB, IHC
Species Reactivity: Human
-
-
-
-
-















