ARL6IP1 Antibody
-
中文名稱:ARL6IP1兔多克隆抗體
-
貨號:CSB-PA614878LA01HU
-
規格:¥440
-
圖片:
-
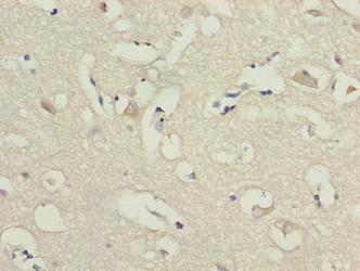
Immunohistochemistry of paraffin-embedded human brain tissue using CSB-PA614878LA01HU at dilution of 1:100
-
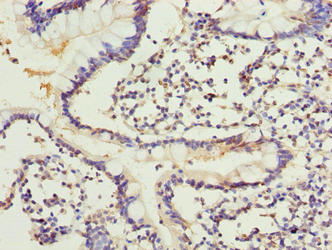
Immunohistochemistry of paraffin-embedded human small intestine tissue using CSB-PA614878LA01HU at dilution of 1:100
-
Immunofluorescent analysis of HepG2 cells using CSB-PA614878LA01HU at dilution of 1:100 and Alexa Fluor 488-congugated AffiniPure Goat Anti-Rabbit IgG(H+L)
-
-
其他:
產品詳情
-
產品名稱:Rabbit anti-Homo sapiens (Human) ARL6IP1 Polyclonal antibody
-
Uniprot No.:
-
基因名:ARL6IP1
-
別名:ARL6IP1; ARL6IP; ARMER; KIAA0069; ADP-ribosylation factor-like protein 6-interacting protein 1; ARL-6-interacting protein 1; Aip-1; Apoptotic regulator in the membrane of the endoplasmic reticulum
-
宿主:Rabbit
-
反應種屬:Human
-
免疫原:Recombinant Human ADP-ribosylation factor-like protein 6-interacting protein 1 protein (93-133AA)
-
免疫原種屬:Homo sapiens (Human)
-
標記方式:Non-conjugated
本頁面中的產品,ARL6IP1 Antibody (CSB-PA614878LA01HU),的標記方式是Non-conjugated。對于ARL6IP1 Antibody,我們還提供其他標記。見下表:
-
克隆類型:Polyclonal
-
抗體亞型:IgG
-
純化方式:Antigen Affinity Purified
-
濃度:It differs from different batches. Please contact us to confirm it.
-
保存緩沖液:Preservative: 0.03% Proclin 300
Constituents: 50% Glycerol, 0.01M PBS, PH 7.4 -
產品提供形式:Liquid
-
應用范圍:ELISA, IHC, IF
-
推薦稀釋比:
Application Recommended Dilution IHC 1:20-1:200 IF 1:50-1:200 -
Protocols:
-
儲存條件:Upon receipt, store at -20°C or -80°C. Avoid repeated freeze.
-
貨期:Basically, we can dispatch the products out in 1-3 working days after receiving your orders. Delivery time maybe differs from different purchasing way or location, please kindly consult your local distributors for specific delivery time.
-
用途:For Research Use Only. Not for use in diagnostic or therapeutic procedures.
相關產品
靶點詳情
-
功能:Positively regulates SLC1A1/EAAC1-mediated glutamate transport by increasing its affinity for glutamate in a PKC activity-dependent manner. Promotes the catalytic efficiency of SLC1A1/EAAC1 probably by reducing its interaction with ARL6IP5, a negative regulator of SLC1A1/EAAC1-mediated glutamate transport. Plays a role in the formation and stabilization of endoplasmic reticulum tubules. Negatively regulates apoptosis, possibly by modulating the activity of caspase-9 (CASP9). Inhibits cleavage of CASP9-dependent substrates and downstream markers of apoptosis but not CASP9 itself. May be involved in protein transport, membrane trafficking, or cell signaling during hematopoietic maturation.
-
基因功能參考文獻:
- ARL6ip1 is a three-spanning transmembrane protein with a conophylline binding pocket. PMID: 24076029
- Down-regulation of ARL6IP1 expression arrested CaSki cell cycling at the G0/G1 phase and mitigated CaSki cell migration, determined by wound healing assays. PMID: 20213509
- ARL6IP1 may play a key role in cisplatin-induced apoptosis in CaSki cervical cancer cells by regulating the expression of apoptosis-associated proteins. PMID: 20372863
- novel endoplasmic reticulum integral membrane protein which protects cells by inhibiting caspase-9 activity and reveal a possible role for ARMER in cell survival PMID: 12754298
-
相關疾病:Spastic paraplegia 61, autosomal recessive (SPG61)
-
亞細胞定位:Endomembrane system; Multi-pass membrane protein. Endoplasmic reticulum membrane; Multi-pass membrane protein. Endoplasmic reticulum.
-
蛋白家族:ARL6ip family
-
組織特異性:Expressed in all hematopoietic cell lineages, but the highest level of expression is found in early myeloid progenitor cells. Expressed in brain, bone marrow, thymus and lung. Expressed at low level in liver, kidney and spleen. Not detected in heart.
-
數據庫鏈接:
Most popular with customers
-
-
YWHAB Recombinant Monoclonal Antibody
Applications: ELISA, WB, IHC, IF, FC
Species Reactivity: Human, Mouse, Rat
-
Phospho-YAP1 (S127) Recombinant Monoclonal Antibody
Applications: ELISA, WB, IHC
Species Reactivity: Human
-
-
-
-
-















