AQP3 Antibody
-
中文名稱:AQP3兔多克隆抗體
-
貨號:CSB-PA531552
-
規格:¥1100
-
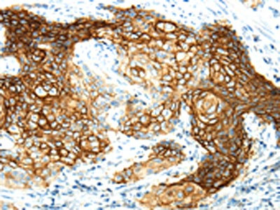
圖片:
-
The image on the left is immunohistochemistry of paraffin-embedded Human cervical cancer tissue using CSB-PA531552(AQP3 Antibody) at dilution 1/30, on the right is treated with synthetic peptide. (Original magnification: ×200)
-
Gel: 8%SDS-PAGE,Lysate: 40 μg,,Primary antibody: CSB-PA531552(AQP3 Antibody) at dilution 1/200 dilution,Secondary antibody: Goat anti rabbit IgG at 1/8000 dilution,Exposure time: 1 minute
-
-
其他:
產品詳情
-
Uniprot No.:
-
基因名:
-
別名:AQP3; Aquaporin-3; AQP-3; Aquaglyceroporin-3
-
宿主:Rabbit
-
反應種屬:Human,Mouse,Rat
-
免疫原:Synthetic peptide of Human AQP3
-
免疫原種屬:Homo sapiens (Human)
-
標記方式:Non-conjugated
-
抗體亞型:IgG
-
純化方式:Antigen affinity purification
-
濃度:It differs from different batches. Please contact us to confirm it.
-
保存緩沖液:-20°C, pH7.4 PBS, 0.05% NaN3, 40% Glycerol
-
產品提供形式:Liquid
-
應用范圍:ELISA,WB,IHC
-
推薦稀釋比:
Application Recommended Dilution ELISA 1:1000-1:2000 WB 1:200-1:1000 IHC 1:25-1:100 -
Protocols:
-
儲存條件:Upon receipt, store at -20°C or -80°C. Avoid repeated freeze.
-
貨期:Basically, we can dispatch the products out in 1-3 working days after receiving your orders. Delivery time maybe differs from different purchasing way or location, please kindly consult your local distributors for specific delivery time.
-
用途:For Research Use Only. Not for use in diagnostic or therapeutic procedures.
相關產品
靶點詳情
-
功能:Water channel required to promote glycerol permeability and water transport across cell membranes. Acts as a glycerol transporter in skin and plays an important role in regulating SC (stratum corneum) and epidermal glycerol content. Involved in skin hydration, wound healing, and tumorigenesis. Provides kidney medullary collecting duct with high permeability to water, thereby permitting water to move in the direction of an osmotic gradient. Slightly permeable to urea and may function as a water and urea exit mechanism in antidiuresis in collecting duct cells. It may play an important role in gastrointestinal tract water transport and in glycerol metabolism.
-
基因功能參考文獻:
- the present data suggest that expression of AQP3 and 5 may be a marker for distinguishing between patients with dry mouth and those with Sjogren's syndrome PMID: 29925705
- Expression of AQP3 was markedly upregulated and miR-488 was significantly upregulated in osteosarcoma (OS) tissues and cell lines. miR488 inhibited the proliferation, invasion and epithelial-mesenchymal transition (EMT) of OS cells by directly downregulating AQP3 expression, and miR488 targeting AQP3 was responsible for inhibition of the proliferation, invasion and EMT of OS cells. PMID: 30015825
- TFF peptides promptly produced at sites of injury increase AQP levels, most notably AQP3, thereby enhancing the cells' ability to rapidly change their shape as part of the restitutive process. TFF peptides also require functioning AQP3 channels to induce cell migration. PMID: 29046361
- an altered expression of placental AQP3 may produce failures in placentation such as in preeclampsia. PMID: 29567477
- Data show that AQP3 is localized largely in the cytoplasm and can be targeted to the plasma membrane in prostate cancer cells via a cAMP/PKA/RalA pathway. PMID: 29532894
- placental expression reduced in pre-eclampsia PMID: 29108637
- In response to injury, AQP3-depleted colonic epithelial cells showed defective lamellipodia, focal adhesions, and repair after wounding, along with impaired H2O2 responses after exposure to the intestinal pathogen Citrobacter rodentium. PMID: 28049834
- AQP3 siRNA and PLD2 siRNA significantly downregulated the mRNA and protein levels of AQP3 and PLD2 in the A431 cells; inhibiting proliferation and promoting apoptosis in vitro. PMID: 28656282
- Reduced epidermal AQP-3 may have a role in impaired melanocyte survival in vitiligo, and might be a potential negative biological marker for vitiligo activity PMID: 26923934
- provide evidence for the involvement of the JNK pathway in AQP3 regulation in isolated oligohydramnios tissues in vitro, in amniotic epithelial cells derived from normal amniotic fluid and fluid from patients with isolated oligohydramnios PMID: 27814615
- Results indicate that AQP3 promotes stem-like properties of gastric carcinoma (GC) cells by activating the Wnt/GSK-3beta/beta-catenin signaling pathway. PMID: 26918728
- The Adiponectin increases AQP3 expression through PPARalpha-mediated signaling inhepatic stellate cells. PMID: 28595905
- skin dryness observed in intrinsic and extrinsic aged skin may be explained, at least in part, by AQP3 downregulation. This may open new avenues sufficient to control skin texture and beauty. Its interaction in skin protein organization and gene polymorphism can also be tackled in future research PMID: 26509906
- epigenetic signatures at AQP3 and SOCS3 engage in low-grade inflammation across different tissues, possible via JAK/STAT mediated pathways PMID: 27824951
- RNA interference (RNAi) of aquaporin 3 (AQP3) retarded the growth and invasiveness of XWLC-05 lung cancer cells and decreased the activity of matrix metalloproteinase 2 (MMP2). PMID: 28189680
- Taken together, our data, as a proof of principle, suggest that AQP3 can promote tumor growth of pancreatic cancer cells by activating the Mtor signaling pathway and provide a potential therapeutic target in the treatment of PDAC. PMID: 28377226
- AQP3 was upregulated, and AQP7 and AQP9 were downregulated in hepatocellular carcinoma. A high expression of AQP3 and low expression of AQP7 was significantly associated with the aggressive features of hepatocellular carcinoma. PMID: 27121567
- AQP3 inhibition that induced glycerol uptake reduction and glycerol administration would rehabilitate the cell proliferation. PMID: 26768614
- AQP3 increases in hepatocellular carcinoma. Auphen reduces AQP3 levels, suppressing tumor growth. PMID: 27022216
- roles of AQP-3 in AQP-3 aquaglyceroporin and ClC-3 chloride channels complex PMID: 26794461
- treatment of human HepG2 cells with TCDD also increased the expression of AQP3 mRNA and protein PMID: 26454884
- AQP3 knockdown retards the growth of NSCLC cells partially through inhibiting HIF-1alpha/VEGF and Raf/MEK/ERK signalling pathways. PMID: 26765123
- AQP3 was found to be expressed in 67.71% of parts with GIM, and AQP3 immunoreactivity was identified more frequently in severe GIM areas (P < 0.001). In short, the incidence and severity of GIM correlated with the distance from GC, and AQP3 was differentially expressed in goblet cells, with most AQP3-positive goblet cells presenting in severe GIM. PMID: 26506416
- AQP3 was expressed in trophoblast explants. Blocking it with CuSO4 prevented apoptosis. PMID: 26568619
- Expression of CXCL4 and aquaporin 3 and 10 mRNAs in middle ear effusion is associated with the pathophysiology of otitis media with effusion. PMID: 26810286
- results demonstrate that AQP3 is required for CXCL12-induced breast cancer cell signaling and directional migration by a mechanism involving the CXCL12-induced generation of extracellular H2O2 and subsequent intracellular transport by AQP3 PMID: 26830227
- We, for the first time, identified an ERE in the promoter of AQP3 gene, and found that estrogen might promote breast cancer development through activating ERE in the promoter of AQP3 gene and upregulating AQP3 expression in ER-positive breast cancer. PMID: 26219409
- these findings suggest that AQP3 is required for EGF-EGFR cell signaling in cancer cells and is a therapeutic target for cancer progression. PMID: 26896765
- AQP3 may play a role in nonmelanoma skin cancer pathogenesis PMID: 26107428
- the human aquaglyceroporins, i.e., AQP3, AQP7, AQP9 and AQP10 can act as silicon transporters in both Xenopus laevis oocytes and HEK-293 cells. PMID: 26313002
- AQP3-facilitated H2O2 transport is required for NF-kappaB activation in keratinocytes in the development of psoriasis. PMID: 26100668
- AQP3 protein expression is regulated by cAMP-PKA-CREB signal pathway. PMID: 25961543
- The results suggest that morphine increases the AQP3 expression level in the colon, which promotes water absorption from the luminal side to the vascular side and causes constipation. PMID: 25766885
- Report down-regulation of aquaporin3 expression by lipopolysaccharide via p38/c-Jun N-terminal kinase signalling pathway in HT-29 human colon epithelial cells. PMID: 25914463
- AQP-3 expression is increased in the burn wound following injury. PMID: 25603981
- Oleic acid-induced hepatic steatosis in HepG2 cells is associated with the coordinated regulation of aquaporin 3 and aquaporin 9 via activation of p38 signaling PMID: 25105540
- There is a correlation between AQP3 protein expression and tumour stage and grade in urothelial cancer, with AQP3 expression being reduced or lost in tumours of higher grade and stage. PMID: 24022233
- AQP3 induces ERK1/2 activation, thereby increasing MMP3 expression and secretion, which in turn promotes prostate cancer cell motility and invasion. PMID: 25515250
- The opening of ClC-3 transports Cl(-) across the cell membrane and then drives the efflux of water through AQP-3 channels and ion channels; AQP-3 may interact with ClC-3 in order to regulate the effluxes of chloride and water. PMID: 25450461
- AQP3 expression in tumor tissue may be considered as a potential prognostic marker in patients with HER2-over-expressing EBC after curative surgery. PMID: 25964557
- results provide a mechanism by which AQP3 is upregulated, as well as highlight the importance of miR-874 in gastric cancer development and progression. PMID: 23800944
- Resveratrol inhibited NHEK proliferation by downregulating the expression of AQP3 in an SIRT1/ARNT/ERK dependent fashion. PMID: 24726500
- Investigated both AQP3 expression in the skin of an experimental burn model. Observations suggest that dermal AQP3 gene expression was increased to maintain water homeostasis in response to dehydration from burn. PMID: 24508472
- We conclude that water fluxes accompanying CFTR activity are linked to AQP3 but not to a cAMP-stimulated aqueous pore in the CFTR protein PMID: 24338365
- AQP3 promotes epithelial-mesenchymal transition in human cases of gastric adenocarcinoma. PMID: 24887009
- analysis of the molecular link between the circadian clock and AQP3 function in mouse dorsal skin and HaCaT cells PMID: 24418925
- AQP3-Notch1 axis may provide insight into epidermal homeostasis control. PMID: 24260356
- Our data suggest for the first time that the aberrant expression of AQP3 and AQP5 proteins may be strongly related to tumor progression and prognosis in patients with hepatocellular carcinoma PMID: 24224160
- AQP3-EGFP diffusion is altered upon increased cAMP, which may correspond to basolateral adaptations in response to the increased apical water readsorption. PMID: 24452376
- High expression of both AQP3 and AQP5, not each alone, is an independent poor prognostic factor in ESCC patients. PMID: 23797770
顯示更多
收起更多
-
亞細胞定位:Cell membrane; Multi-pass membrane protein. Basolateral cell membrane; Multi-pass membrane protein.
-
蛋白家族:MIP/aquaporin (TC 1.A.8) family
-
組織特異性:Widely expressed in epithelial cells of kidney (collecting ducts) and airways, in keratinocytes, immature dendritic cells and erythrocytes. Isoform 2 is not detectable in erythrocytes at the protein level.
-
數據庫鏈接:
Most popular with customers
-
-
YWHAB Recombinant Monoclonal Antibody
Applications: ELISA, WB, IHC, IF, FC
Species Reactivity: Human, Mouse, Rat
-
Phospho-YAP1 (S127) Recombinant Monoclonal Antibody
Applications: ELISA, WB, IHC
Species Reactivity: Human
-
-
-
-
-















