APOC2 Antibody
-
中文名稱:APOC2兔多克隆抗體
-
貨號:CSB-PA001932OA01HU
-
規格:¥440
-
圖片:
-
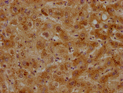
IHC image of CSB-PA001932OA01HU diluted at 1:500 and staining in paraffin-embedded human liver tissue performed on a Leica BondTM system. After dewaxing and hydration, antigen retrieval was mediated by high pressure in a citrate buffer (pH 6.0). Section was blocked with 10% normal goat serum 30min at RT. Then primary antibody (1% BSA) was incubated at 4°C overnight. The primary is detected by a biotinylated secondary antibody and visualized using an HRP conjugated SP system.
-
-
其他:
產品詳情
-
產品名稱:Rabbit anti-Homo sapiens (Human) APOC2 Polyclonal antibody
-
Uniprot No.:
-
基因名:
-
別名:APC 2 antibody; APC2 antibody; Apo CII antibody; Apo-CII antibody; APOC 2 antibody; ApoC II antibody; ApoC-II antibody; APOC2 antibody; APOC2 protein antibody; APOC2_HUMAN antibody; ApoCII antibody; Apolipoprotein C II antibody; Apolipoprotein C II precursor antibody; Apolipoprotein C2 antibody; ApolipoproteinCII antibody; MGC75082 antibody; ProapoC-II antibody; Proapolipoprotein C-II antibody
-
宿主:Rabbit
-
反應種屬:Human
-
免疫原:Peptide sequence from Human Apolipoprotein C-II protein (20-38AA)
-
免疫原種屬:Homo sapiens (Human)
-
標記方式:Non-conjugated
本頁面中的產品,APOC2 Antibody (CSB-PA001932OA01HU),的標記方式是Non-conjugated。對于APOC2 Antibody,我們還提供其他標記。見下表:
-
克隆類型:Polyclonal
-
抗體亞型:IgG
-
純化方式:>95%, Protein G purified
-
濃度:It differs from different batches. Please contact us to confirm it.
-
保存緩沖液:Preservative: 0.03% Proclin 300
Constituents: 50% Glycerol, 0.01M PBS, pH 7.4 -
產品提供形式:Liquid
-
應用范圍:ELISA, IHC
-
推薦稀釋比:
Application Recommended Dilution IHC 1:500-1:1000 -
Protocols:
-
儲存條件:Upon receipt, store at -20°C or -80°C. Avoid repeated freeze.
-
貨期:Basically, we can dispatch the products out in 1-3 working days after receiving your orders. Delivery time maybe differs from different purchasing way or location, please kindly consult your local distributors for specific delivery time.
-
用途:For Research Use Only. Not for use in diagnostic or therapeutic procedures.
相關產品
靶點詳情
-
功能:Component of chylomicrons, very low-density lipoproteins (VLDL), low-density lipoproteins (LDL), and high-density lipoproteins (HDL) in plasma. Plays an important role in lipoprotein metabolism as an activator of lipoprotein lipase. Both proapolipoprotein C-II and apolipoprotein C-II can activate lipoprotein lipase. In normolipidemic individuals, it is mainly distributed in the HDL, whereas in hypertriglyceridemic individuals, predominantly found in the VLDL and LDL.
-
基因功能參考文獻:
- Results from this exploratory analysis suggest that regulatory element methylation levels within the larger TOMM40-APOE-APOC2 gene region correlate with AD-related biomarkers and TOMM40 or APOE gene expression in AD. PMID: 29371683
- Triglyceride-raising variant alleles of the APOC2 encoding apo C-II, associated with clinical Cardiovascular endpoints. PMID: 28534127
- The results demonstrate the important role of both intra- and inter-subunit charge interactions in stabilizing apoC-II amyloid fibrils, a process that may be a key factor in determining the general ability of proteins to form amyloid fibrils. PMID: 28229588
- The results highlight the importance of charge-pair interactions within the apoC-II fibril core PMID: 26196342
- Conformational rearrangement of apoC-II at lipoprotein surfaces promotes interaction with LPL. PMID: 26026161
- Large deletion in APOC2 caused by Alu-Alu homologous recombination is associated with with apolipoprotein C-II deficiency. PMID: 25172036
- No APOC2 mutations were identified in a cohort of patients with diabetic lipemia. PMID: 25131724
- STAT1 bound on multienhancer 2 cooperates with RXRalpha located on apoCII promoter and upregulates apoCII expression only in macrophages. PMID: 22808166
- Mutations in GPIHBP1 are rare but the associated clinical phenotype of hypertriglyceridaemia is severe PMID: 22239554
- These results support a predictive change in the ratio of plasma ApoCIII to ApoCII in pregnancies complicated by severe preeclampsia. PMID: 21321243
- Substoichiometric concentrations of cyc[60-70] significantly delayed fibril formation by the fibrillogenic, linear peptides apoC-II[60-70] and apoC-II[56-76]. PMID: 22244853
- Activation of apoC-II fibrils by submicellar lipid (NBD-lyso-12-phosphocholine) is catalytic with release of monomer- and tetramer-bound lipid accompanying fibril elongation and growth. PMID: 21985034
- Physiological shear flow conditions and conditions experienced during apoC-II manufacturing exert significant effects on apoC-II conformation, leading to protein misfolding, aggregation, and amyloid fibril formation. PMID: 21476595
- Includes the observation of APOC4-APOC2 read-through transcription PMID: 8530039
- Our structural model for apoC-II fibrils suggests that apoC-II monomers fold and self-assemble to form a stable cross-beta-scaffold containing relatively unstructured connecting loops. PMID: 21146539
- Results describe the functional role of the secondary structure in the lipoprotein lipase-binding portion of apolipoprotein CII. PMID: 20042600
- Human apolipoprotein C-II (apoC-II) slowly forms amyloid fibers in lipid-free solutions at physiological pH and salt concentrations PMID: 11751863
- During amyloidosis under oxidizing conditions, cysteine-containing apolipoprotein C-II (apoC-II) derivatives form fibrils more rapidly and become extensively tangled compared to wild-type apoC-II. PMID: 12450397
- Three categories of global constraints, together with the local classical NMR constraints, define the 3D structure of the apoCII-SDS micelle complex and give important clues toward a possible mechanism for the activation of lipoprotein lipase by apoCII. PMID: 12590574
- regions of lipoprotein lipase that are responsive to activation by apoC-II PMID: 12682050
- Hydrolysis activated by APOC2 was faster compared with the LPL-mediated lipolysis of emulsion triolein. The binding density of APOC2 was less for small emulsion surfaces than for large ones. PMID: 12782148
- Different levels of secreted apoC-II had little effect on LDL and HDL protein degradation by HepG2 cells. Compared to controls, cells under-expressing apoC-II showed a 160% higher capacity to selectively take up HDL-CE. PMID: 15778093
- Results show that purified human HDL and recombinant apolipoprotein A-I lipid particles bind directly to amyloid beta and apolipoprotein C-II amyloid fibrils. PMID: 16432277
- No relationship was found between ApoCII polymorphism and coronary disease in the Chinese Han population. PMID: 16459141
- Decrease of LPL activity in the heart, along with the inhibitory effects of excess apolipoprotein C-II, may contribute to the hypertriglyceridemia observed in apolipoprotein c-ii transgenic mice. PMID: 17018885
- Taken together these data demonstrate an interaction between antichymotrypsin and apolipoprotein C-II that accelerates fibrillogenesis and indicates a specific role for accessory proteins in protein aggregation. PMID: 17174330
- These results suggested that T-->A substitution at position -190 in the apoC-II gene promoter only partly affected transcriptional activity of the apoC-II promoter, leading to decrease of apoC-II expression in quantity. PMID: 17222387
- The ozone oxidation product of cholesterol, 3beta-hydroxy-5-oxo-5,6-secocholestan-6-al, rapidly promotes human apolipoprotein (apo) C-II amyloid fibril formation in vitro. PMID: 17429947
- Both common and rare DNA variants of APOC2 gene were found in 10% patients with severe hypertriglyceridemia PMID: 17717288
- Phospholipid interaction induces molecular-level polymorphism in APOC2 amyloid fibrils via alternative assembly pathways. PMID: 18005990
- The concentration-dependent kinetics of apolipoprotein C-II amyloid fibril formation and correlated this with the final size distribution of the fibrils determined by sedimentation velocity experiments, is studied. PMID: 18206908
- lipids promote on-pathway intermediates of apoC-II fibril assembly and the accumulation of a discrete tetrameric intermediate depends on the molecular state of the lipid PMID: 18852267
- No significant differences were found between the acute hypertriglyceridaemic pancreatitis cases and controls with severe hypertriglyceridaemia in terms of LPL activity and mass, hepatic lipase activity, CII and CIII mass, or apo E polymorphisms. PMID: 19534808
顯示更多
收起更多
-
相關疾病:Hyperlipoproteinemia 1B (HLPP1B)
-
亞細胞定位:Secreted.
-
蛋白家族:Apolipoprotein C2 family
-
組織特異性:Liver and intestine.
-
數據庫鏈接:
Most popular with customers
-
-
YWHAB Recombinant Monoclonal Antibody
Applications: ELISA, WB, IHC, IF, FC
Species Reactivity: Human, Mouse, Rat
-
-
-
-
-
-















