APCDD1 Antibody
-
中文名稱:APCDD1兔多克隆抗體
-
貨號:CSB-PA814246LA01HU
-
規格:¥440
-
圖片:
-
Western Blot
Positive WB detected in: 293T whole cell lysate, MCF-7 whole cell lysate, 293 whole cell lysate, HepG2 whole cell lysate, PC-3 whole cell lysate, Hela whole cell lysate, K562 whole cell lysate
All lanes: APCDD1 antibody at 1:1000
Secondary
Goat polyclonal to rabbit IgG at 1/50000 dilution
Predicted band size: 59 kDa
Observed band size: 59 kDa -
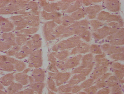
IHC image of CSB-PA814246LA01HU diluted at 1:100 and staining in paraffin-embedded human heart tissue performed on a Leica BondTM system. After dewaxing and hydration, antigen retrieval was mediated by high pressure in a citrate buffer (pH 6.0). Section was blocked with 10% normal goat serum 30min at RT. Then primary antibody (1% BSA) was incubated at 4°C overnight. The primary is detected by a biotinylated secondary antibody and visualized using an HRP conjugated SP system.
-
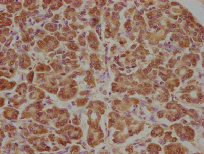
IHC image of CSB-PA814246LA01HU diluted at 1:100 and staining in paraffin-embedded human pancreatic tissue performed on a Leica BondTM system. After dewaxing and hydration, antigen retrieval was mediated by high pressure in a citrate buffer (pH 6.0). Section was blocked with 10% normal goat serum 30min at RT. Then primary antibody (1% BSA) was incubated at 4°C overnight. The primary is detected by a biotinylated secondary antibody and visualized using an HRP conjugated SP system.
-
-
其他:
產品詳情
-
產品名稱:Rabbit anti-Homo sapiens (Human) APCDD1 Polyclonal antibody
-
Uniprot No.:
-
基因名:APCDD1
-
別名:Adenomatosis polyposis coli down regulated 1 antibody; Adenomatosis polyposis coli down regulated 1 protein antibody; Adenomatosis polyposis coli down-regulated 1 protein antibody; APCD1_HUMAN antibody; APCDD 1 antibody; APCDD1 antibody; B7323 antibody; DRAPC1 antibody; FP7019 antibody; HHS antibody; HTS antibody; hypoptrichosis simplex antibody; Protein APCDD1 antibody
-
宿主:Rabbit
-
反應種屬:Human
-
免疫原:Recombinant Human Protein APCDD1 protein (22-288AA)
-
免疫原種屬:Homo sapiens (Human)
-
標記方式:Non-conjugated
本頁面中的產品,APCDD1 Antibody (CSB-PA814246LA01HU),的標記方式是Non-conjugated。對于APCDD1 Antibody,我們還提供其他標記。見下表:
-
克隆類型:Polyclonal
-
抗體亞型:IgG
-
純化方式:Antigen Affinity Purified
-
濃度:It differs from different batches. Please contact us to confirm it.
-
保存緩沖液:Preservative: 0.03% Proclin 300
Constituents: 50% Glycerol, 0.01M PBS, pH 7.4 -
產品提供形式:Liquid
-
應用范圍:ELISA, WB, IHC
-
推薦稀釋比:
Application Recommended Dilution WB 1:500-1:2000 IHC 1:20-1:200 -
Protocols:
-
儲存條件:Upon receipt, store at -20°C or -80°C. Avoid repeated freeze.
-
貨期:Basically, we can dispatch the products out in 1-3 working days after receiving your orders. Delivery time maybe differs from different purchasing way or location, please kindly consult your local distributors for specific delivery time.
-
用途:For Research Use Only. Not for use in diagnostic or therapeutic procedures.
相關產品
靶點詳情
-
功能:Negative regulator of the Wnt signaling pathway. Inhibits Wnt signaling in a cell-autonomous manner and functions upstream of beta-catenin. May act via its interaction with Wnt and LRP proteins. May play a role in colorectal tumorigenesis.
-
基因功能參考文獻:
- Thus, we have provided the first evidence that APCDD1 expression is epigenetically silenced in OS, which may facilitate invasion and metastasis of OS cells. PMID: 28698141
- these novel findings suggest that APCDD1 positively regulates adipogenic differentiation and that its down-regulation by miR-130 during diet-induced obesity may contribute to impaired adipogenic differentiation and obesity-related metabolic disease. PMID: 28242765
- This study demonstrated a critical role for Apcdd1 in OL differentiation after white matter injury that points to a potential therapeutic approach for inhibiting Wnt signaling in these disorders. PMID: 25946682
- Unusual role of APCDD1 in dental follicle cells during osteogenic differentiation. APCDD1 sustains the expression and activation of beta-catenin. PMID: 25592970
- mutation in the APCDD1 gene is responsible for hereditary hypotrichosis simplex in a large Chinese family. PMID: 22512811
- Data show that the methylated VAPA-APCDD1 DNA in maternal plasma is predominantly derived from the fetus, and this novel fetal epigenetic marker in maternal plasma is useful for the noninvasive detection of fetal trisomy 18. PMID: 21152411
- APCDD1 is a novel inhibitor of the Wnt signalling pathway with an essential role in human hair growth PMID: 20393562
顯示更多
收起更多
-
相關疾病:Hypotrichosis 1 (HYPT1)
-
亞細胞定位:Cell membrane; Single-pass type I membrane protein.
-
蛋白家族:APCDD1 family
-
組織特異性:Abundantly expressed in heart, pancreas, prostate and ovary. Moderately expressed in lung, liver, kidney, spleen, thymus, colon and peripheral lymphocytes. Abundantly expressed in both the epidermal and dermal compartments of the hair follicle. Present in
-
數據庫鏈接:
Most popular with customers
-
-
YWHAB Recombinant Monoclonal Antibody
Applications: ELISA, WB, IHC, IF, FC
Species Reactivity: Human, Mouse, Rat
-
Phospho-YAP1 (S127) Recombinant Monoclonal Antibody
Applications: ELISA, WB, IHC
Species Reactivity: Human
-
-
-
-
-















