ANXA6 Antibody
-
中文名稱:ANXA6兔多克隆抗體
-
貨號:CSB-PA197126
-
規格:¥1100
-
圖片:
-
The image on the left is immunohistochemistry of paraffin-embedded Human breast cancer tissue using CSB-PA197126(ANXA6 Antibody) at dilution 1/17, on the right is treated with fusion protein. (Original magnification: ×200)
-
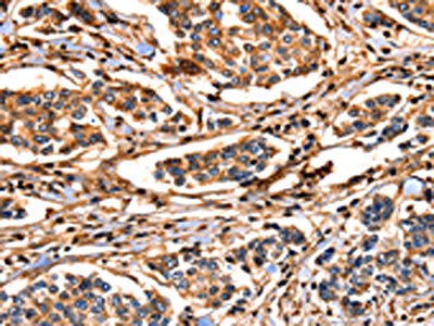
The image on the left is immunohistochemistry of paraffin-embedded Human colon cancer tissue using CSB-PA197126(ANXA6 Antibody) at dilution 1/17, on the right is treated with fusion protein. (Original magnification: ×200)
-
Gel: 8%SDS-PAGE, Lysate: 30 μg, Lane: 293T cells, Primary antibody: CSB-PA197126(ANXA6 Antibody) at dilution 1/350, Secondary antibody: Goat anti rabbit IgG at 1/8000 dilution, Exposure time: 10 seconds
-
-
其他:
產品詳情
-
Uniprot No.:
-
基因名:
-
別名:67 kDa calelectrin antibody; Annexin A6 antibody; Annexin VI antibody; Annexin VI p68 antibody; Annexin-6 antibody; AnnexinA6 antibody; AnnexinVI antibody; ANX 6 antibody; ANX A6 antibody; ANX6 antibody; ANXA 6 antibody; ANXA6 antibody; ANXA6_HUMAN antibody; Calcium binding protein p68 antibody; Calelectrin antibody; Calphobindin II antibody; Calphobindin-II antibody; CalphobindinII antibody; CBP 68 antibody; CBP68 antibody; Chromobindin 20 antibody; Chromobindin-20 antibody; Chromobindin20 antibody; CPB II antibody; CPB-II antibody; CPBII antibody; Lipocortin VI antibody; LipocortinVI antibody; p68 antibody; p70 antibody; Protein III antibody; ProteinIII antibody
-
宿主:Rabbit
-
反應種屬:Human,Mouse,Rat
-
免疫原:Fusion protein of Human ANXA6
-
免疫原種屬:Homo sapiens (Human)
-
標記方式:Non-conjugated
-
抗體亞型:IgG
-
純化方式:Antigen affinity purification
-
濃度:It differs from different batches. Please contact us to confirm it.
-
保存緩沖液:-20°C, pH7.4 PBS, 0.05% NaN3, 40% Glycerol
-
產品提供形式:Liquid
-
應用范圍:ELISA,WB,IHC
-
推薦稀釋比:
Application Recommended Dilution ELISA 1:1000-1:2000 WB 1:200-1:500 IHC 1:25-1:100 -
Protocols:
-
儲存條件:Upon receipt, store at -20°C or -80°C. Avoid repeated freeze.
-
貨期:Basically, we can dispatch the products out in 1-3 working days after receiving your orders. Delivery time maybe differs from different purchasing way or location, please kindly consult your local distributors for specific delivery time.
-
用途:For Research Use Only. Not for use in diagnostic or therapeutic procedures.
相關產品
靶點詳情
-
功能:May associate with CD21. May regulate the release of Ca(2+) from intracellular stores.
-
基因功能參考文獻:
- This review will discuss how the multiple scaffold functions may enable AnxA6 to modulate migratory cell behavior in health and disease PMID: 28060548
- Immunoprecipitation of the products obtained from the transcription/translation system using various anti-annexin A6 antibodies confirmed the presence of several isoforms and suggested that this protein might be present in different configurations. PMID: 27743858
- AnxA6 protein in adipocytes was upregulated by oxidative stress which might trigger AnxA6 induction in adipose tissues and contribute to impaired fat storage and adiponectin release. PMID: 27702590
- High ANXA6 expression is associated with neoplasms. PMID: 28881357
- stable or transient AnxA6 overexpression in HuH7 cells led to elevated lipid droplet numbers/size and neutral lipid staining under control conditions PMID: 28712927
- Annexin VI is enriched in calcifying valve interstitial cell derived-matrix vesicles from patients with end stage renal disease-induced hypercalcemia and aortic valve calcification. PMID: 28369848
- These findings suggest that cancer-associated fibroblasts -tumor cell crosstalk supported by ANXA6+ EVs is predictive of pancreatic ductal adenocarcinoma aggressiveness, highlighting a therapeutic target and potential biomarker for pancreatic ductal adenocarcinoma. PMID: 27701147
- The current study shows that AnxA6 is specifically reduced in human hepatocellular carcinoma suggesting a role of this protein in hepatocarcinogenesis. PMID: 27334756
- Data suggest that reduced ability of AnxA6-expressing cells to migrate is associated with decreased cell surface expression of integrins alphaVbeta3 and alpha5beta1. PMID: 26578516
- ANXA6 was detected as a novel systemic lupus erythematosus susceptibility gene, with several single-nucleotide polymorphisms (SNPs) contributing independently to the association with disease PMID: 26202167
- ANXA6 is a EZH2 target gene involving gastric cellular proliferation. PMID: 25947258
- Evidence for annexin A6-dependent plasma membrane remodelling of lipid domains PMID: 25409976
- The rapid degradation of activated EGFR in AnxA6-depleted invasive tumor cells underlies their sensitivity to EGFR-targeted inhibitors. PMID: 24354805
- These results show that influenza A virus replication depends on maintenance of the cellular cholesterol balance and identify AnxA6 as a critical factor in linking the virus to cellular cholesterol homeostasis. PMID: 24194536
- TNIP1/ANXA6 and CSMD1 variants interacting with cigarette smoking and alcohol intake affect risk of psoriasis. PMID: 23541940
- Influence of the 524-VAAEIL-529 sequence of annexins A6 in their interfacial behavior and interaction with lipid monolayers. PMID: 23683957
- Ca(2+) is the main factor which regulates the interaction of AnxA6 with monolayers composed of neutral lipids, determine AnxA6 localization in cholesterol and sphingomyelin enriched microdomains, thus contributing to the etiology of the NPC disease. PMID: 23360953
- AnxA6 is a new PKCalpha scaffold to promote PKCalpha-mediated EGFR inactivation. PMID: 22797061
- anxA6 inhibits Drp1 activity, and Ca(2+)-binding to anxA6 relieves this inhibition to permit Drp1-mediated mitochondrial fission PMID: 23341998
- AnxA6 via its stimulatory actions on PKCalpha and its role in mediating Ca(2+) flux across membranes regulates terminal differentiation and mineralization events of chondrocytes. PMID: 22399299
- the regulation of cell surface receptors by annexin A6 may be facilitated by its unique structure that allows recruitment of interaction partners and simultaneously bridging specialized membrane domains with cortical actin surrounding activated receptors PMID: 21990038
- AnxA6 is a novel receptor that mediates the endocytosis of bovine beta-glucuronidase. PMID: 21672540
- In addition to regulating cholesterol and caveolin distribution, AnxA6 acts as a scaffold/targeting protein for several signaling proteins. PMID: 20888375
- reduced AnxA6 expression contributes to breast cancer progression by promoting the loss of functional cell-cell and/or cell-ECM contacts and anchorage-independent cell proliferation PMID: 21185831
- In the presence of calcium, AnxA6 re-located to the fractions enriched in detergent-resistant microdomains only in the Niemann-Pick type C disease cells, suggestive of AnxA6 participation in organization of these microdomains. PMID: 21216236
- High ANXA6 expression in the cytoplasm is associated with uterine cervix carcinogenesis. PMID: 21119665
- Data suggests that the hydroxyl group of cholesterol and Trp 343 are involved in AnxA6-membrane interactions. PMID: 20363475
- AnxA6 may participate in formation of cholesterol-rich platforms on LE and therefore may contribute to the pathology of the NPC disease. PMID: 19900398
- Data show that annexin 6 is a candidate receptor for chondroitin sulfate chains. PMID: 12140262
- Characterization of phosphorylation-mimicking mutant annexin VI (T356D) reveals a potential regulatory mechanism leading to a higher degree of flexibility and possibly a higher calcium binding affinity of annexin VI upon phosphorylation. PMID: 12534274
- The nucleotide-binding site of ANXA6 is formed by the amino acid residues located in both halves of the protein, in two distinct domains. PMID: 12885247
- cell surface annexin VI may function as an acidic pH binding site or receptor and may also function as a co-receptor with LRP-1 at neutral pH PMID: 15226301
- endogenous annexin 6 could regulate the Maxi-chloride channel in placenta PMID: 15355961
- TPD52 bound to annexin VI in a Ca(2+)-dependent manner suggesting that these molecules may act in concert to regulate secretory processes in plasma cells PMID: 15576473
- Macrophage reprogramming during oxidative stress occurs through the cytosolic mobilization of annexin VI from lipid rafts. PMID: 16153422
- It is a first report supporting the hypothesis of a direct implication of AnxA6 in vitamin A-dependent tissue mineralization. PMID: 16674946
- Annexin A6 has roles in alterations in cholesterol transport and caveolin export from the Golgi complex PMID: 17822395
- AnxA6 interferes with caveolin transport through the inhibition of cPLA(2). PMID: 18245088
- annexin A6 contributes to the calcium-dependent cell surface exposition of the membrane associated-S100A8/A9 complex PMID: 18786929
- Annexin A6 is highly abundant in monocytes of obese and type 2 diabetic individuals. PMID: 19322030
- results implicate annexin A6 in the actin-dependent regulation of Ca(2+) entry, with consequences for the rates of cell proliferation PMID: 19386597
顯示更多
收起更多
-
亞細胞定位:Cytoplasm. Melanosome. Note=Identified by mass spectrometry in melanosome fractions from stage I to stage IV.
-
蛋白家族:Annexin family
-
數據庫鏈接:
Most popular with customers
-
-
YWHAB Recombinant Monoclonal Antibody
Applications: ELISA, WB, IHC, IF, FC
Species Reactivity: Human, Mouse, Rat
-
Phospho-YAP1 (S127) Recombinant Monoclonal Antibody
Applications: ELISA, WB, IHC
Species Reactivity: Human
-
-
-
-
-















