-
中文名稱:ANXA4兔多克隆抗體
-
貨號:CSB-PA001845ESR2HU
-
規格:¥440
-
圖片:
-
Western blot
All lanes: Annexin A4 antibody at 4μg/ml
Lane 1: 293T whole cell lysate
Lane 2: Hela whole cell lysate
Lane 3: HepG2 whole cell lysate
Secondary
Goat polyclonal to rabbit IgG at 1/10000 dilution
Predicted band size: 36, 28 kDa
Observed band size: 36 kDa -
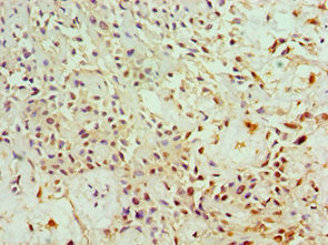
Immunohistochemistry of paraffin-embedded human breast cancer using CSB-PA001845ESR2HU at dilution of 1:100
-
-
其他:
產品詳情
-
產品名稱:Rabbit anti-Homo sapiens (Human) ANXA4 Polyclonal antibody
-
Uniprot No.:
-
基因名:ANXA4
-
別名:35 beta calcimedin antibody; 35-beta calcimedin antibody; AIV antibody; Annexin 4 antibody; Annexin A4 antibody; Annexin IV (placental anticoagulant protein II) antibody; Annexin IV antibody; Annexin IV placental anticoagulant protein II antibody; Annexin-4 antibody; AnnexinA4 antibody; AnnexinIV antibody; ANX 4 antibody; ANX A4 antibody; ANX4 antibody; ANXA 4 antibody; ANXA4 antibody; ANXA4 protein antibody; ANXA4_HUMAN antibody; Carbohydrate binding protein P33/P41 antibody; Carbohydrate-binding protein p33/p41 antibody; Chromobindin 4 antibody; Chromobindin-4 antibody; Chromobindin4 antibody; DKFZp686H02120 antibody; Endonexin I antibody; EndonexinI antibody; Lipocortin IV antibody; LipocortinIV antibody; MGC75105 antibody; OTTHUMP00000160052 antibody; OTTHUMP00000202207 antibody; P32.5 antibody; P33/41 antibody; PAP II antibody; PAP-II antibody; PAPII antibody; PIG 28 antibody; PIG28 antibody; Placental anticoagulant protein II antibody; PP4 X antibody; PP4-X antibody; PP4X antibody; Proliferation inducing gene 28 antibody; Proliferation inducing protein 28 antibody; Protein II antibody; Xanx-4 antibody; ZAP 36 antibody; ZAP36 antibody
-
宿主:Rabbit
-
反應種屬:Human
-
免疫原:Recombinant Human Annexin A4 protein (110-319AA)
-
免疫原種屬:Homo sapiens (Human)
-
標記方式:Non-conjugated
-
克隆類型:Polyclonal
-
抗體亞型:IgG
-
純化方式:Antigen Affinity Purified
-
濃度:It differs from different batches. Please contact us to confirm it.
-
保存緩沖液:PBS with 0.02% sodium azide, 50% glycerol, pH7.3.
-
產品提供形式:Liquid
-
應用范圍:ELISA, WB, IHC
-
推薦稀釋比:
Application Recommended Dilution WB 1:500-1:5000 IHC 1:20-1:200 -
Protocols:
-
儲存條件:Upon receipt, store at -20°C or -80°C. Avoid repeated freeze.
-
貨期:Basically, we can dispatch the products out in 1-3 working days after receiving your orders. Delivery time maybe differs from different purchasing way or location, please kindly consult your local distributors for specific delivery time.
-
用途:For Research Use Only. Not for use in diagnostic or therapeutic procedures.
引用文獻
- Proteomic analysis of uterine fluid of fertile and subfertile hens before and after insemination Riou C, et al,Reproduction,2019
- Proteomic characterization of Withaferin A-targeted protein networks for the treatment of monoclonal myeloma gammopathies Dom M.et al,J Proteomics,2018
相關產品
靶點詳情
-
功能:Calcium/phospholipid-binding protein which promotes membrane fusion and is involved in exocytosis.
-
基因功能參考文獻:
- ANXA4 expression was increased at both the mRNA and protein level in the drugresistant ovarian cancer cells, and ANXA4 contained a Lewis(y) structure. ANXA4 overexpression can abnormally activate signaling pathways and regulate the expression of a numbers of factors, forming a positive feedback loop to induce the chemoresistance of ovarian cancer cells. PMID: 30066907
- Annexin A4 binds to artificial membranes and generates curvature force initiated from free edges, whereas annexin A6 induces constriction force. PMID: 29158488
- Taken together, these data indicate that up-regulation of ANXA4 leads to activation of the NF-kappaB pathway and its target genes in a feedback regulatory mechanism via the p65 subunit, resulting in tumor growth in GBC. PMID: 27491820
- Upregulation and nuclear translocation of ANXA4 have been observed in the progression of colorectal cancer and ovarian serous carcinoma. Knockdown of ANXA4 attenuated migration in ovarian cancer and breast cancer cells. In contrast, knockdown of ANXA4 increased susceptibility to platinum in ovarian cancer and malignant mesothelioma cells. Review. PMID: 27100483
- Study identifies ANXA4 and FLNA as up-regulated in buccal squamous cell carcinoma arising from oral submucous fibrosis. PMID: 27485544
- High ANXA4 expression is associated with metastasis of hepatocellular carcinoma. PMID: 26779633
- annexin A4 can be regarded as an important molecular marker in triple-negative breast cancer prognosis. PMID: 27650619
- role of annexin A4 in cancer PMID: 26048190
- Data shows that CYTB and ANXA4 overexpression may be involved in carcinogenesis and histopathological differentiation of ovarian clear cell carcinoma and suggest they may serve as a potential diagnostic biomarkers. PMID: 25633807
- These findings indicate that the calcium-binding site in the ANXA4 repeat induces chemoresistance to the platinum-based drug by elevating the intracellular chloride concentration. PMID: 25277200
- Fhit delocalizes annexin A4 from plasma membrane to cytosol and sensitizes lung cancer cells to paclitaxel. PMID: 24223161
- enhanced expression of Anx A4 confers platinum resistance by promoting efflux of platinum drugs via ATP7A. PMID: 24150977
- This study showed that overexpression and nuclear localization of annexin A4 are related to chemoresistance and poor survival in patients with serous papillary ovarian carcinomas. PMID: 23290009
- suggest that ANXA4 triggers a signaling cascade, leading to increased epithelial cell proliferation, ultimately promoting carcinogenesis PMID: 22970268
- Lower expression of annexin A4 during window of implantation in infertile patients with endometriosis might be associated with the decrease of endometrial receptivity. PMID: 22883517
- Eight ANXA4 polymorphisms are significantly associated with the risk of aspirin-exacerbated respiratory disease. PMID: 22847161
- that H3K4 tri- and dimethylation play an important role and that JARID1A is the histone-demethylating enzyme responsible for removal of this mark PMID: 21348943
- In an Alzheimer model, transgenic mice overexpressing mutant human amyloid precursor protein (APP) show a significant increase of annexin A5 in the brain cortex but not in other organs, including liver, kidney, lung, and intestine. PMID: 20648654
- Annexin A4 differentially modulates the NF-kappaB signaling pathway, depending on its interactions with p50 and the intracellular Ca(2+) ion level. PMID: 20237821
- The overexpression of Annexin IV may be an ovarian CCC-specific molecular marker. PMID: 19955935
- annexin IV plays an important role in the morphological diversification and dissemination of the clear cell renal cell carcinoma PMID: 15145526
- This work provides mechanistic insight into how annexin A4 may regulate plasma membrane protein function. PMID: 16687573
- ANXA4 transcription and translation are regulated by progesterone. ANXA4 may be important in regulating ion and water transport across the endometrial epithelium. PMID: 16954445
- There were no significant differences in plasma annexin IV levels between women with and without antiphospholipid antibodies PMID: 17363042
- Enhanced expression of Annexin A4 is associated with clear cell carcinoma of the ovary PMID: 19598262
顯示更多
收起更多
-
亞細胞定位:Zymogen granule membrane; Peripheral membrane protein.
-
蛋白家族:Annexin family
-
數據庫鏈接:
Most popular with customers
-
YWHAB Recombinant Monoclonal Antibody
Applications: ELISA, WB, IHC, IF, FC
Species Reactivity: Human, Mouse, Rat
-
Phospho-YAP1 (S127) Recombinant Monoclonal Antibody
Applications: ELISA, WB, IHC
Species Reactivity: Human
-
-
-
-
-
-















