ANXA3 Antibody
-
中文名稱:ANXA3兔多克隆抗體
-
貨號:CSB-PA195186
-
規格:¥1100
-
圖片:
-
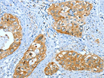
The image on the left is immunohistochemistry of paraffin-embedded Human cervical cancer tissue using CSB-PA195186(ANXA3 Antibody) at dilution 1/35, on the right is treated with fusion protein. (Original magnification: ×200)
-
The image on the left is immunohistochemistry of paraffin-embedded Human thyroid cancer tissue using CSB-PA195186(ANXA3 Antibody) at dilution 1/35, on the right is treated with fusion protein. (Original magnification: ×200)
-
Gel: 10%SDS-PAGE, Lysate: 40 μg, Lane: Lovo cells, Primary antibody: CSB-PA195186(ANXA3 Antibody) at dilution 1/650, Secondary antibody: Goat anti rabbit IgG at 1/8000 dilution, Exposure time: 1 second
-
-
其他:
產品詳情
-
Uniprot No.:
-
基因名:ANXA3
-
別名:2-cyclic phosphate 2-phosphohydrolase antibody; 35-alpha calcimedin antibody; Annexin A3 antibody; Annexin III antibody; Annexin-3 antibody; ANX3 antibody; ANXA 3 antibody; Anxa3 antibody; ANXA3_HUMAN antibody; Calcimedin 35 alpha antibody; Inositol 1 2 cyclic phosphate 2 phosphohydrolase antibody; Inositol 1 antibody; Lipocortin III antibody; OTTHUMP00000160701 antibody; OTTHUMP00000219237 antibody; OTTHUMP00000219238 antibody; PAP III antibody; PAP-III antibody; Placental anticoagulant protein III antibody
-
宿主:Rabbit
-
反應種屬:Human,Mouse,Rat
-
免疫原:Fusion protein of Human ANXA3
-
免疫原種屬:Homo sapiens (Human)
-
標記方式:Non-conjugated
-
抗體亞型:IgG
-
純化方式:Antigen affinity purification
-
濃度:It differs from different batches. Please contact us to confirm it.
-
保存緩沖液:-20°C, pH7.4 PBS, 0.05% NaN3, 40% Glycerol
-
產品提供形式:Liquid
-
應用范圍:ELISA,WB,IHC
-
推薦稀釋比:
Application Recommended Dilution ELISA 1:2000-1:5000 WB 1:500-1:2000 IHC 1:50-1:200 -
Protocols:
-
儲存條件:Upon receipt, store at -20°C or -80°C. Avoid repeated freeze.
-
貨期:Basically, we can dispatch the products out in 1-3 working days after receiving your orders. Delivery time maybe differs from different purchasing way or location, please kindly consult your local distributors for specific delivery time.
-
用途:For Research Use Only. Not for use in diagnostic or therapeutic procedures.
相關產品
靶點詳情
-
功能:Inhibitor of phospholipase A2, also possesses anti-coagulant properties. Also cleaves the cyclic bond of inositol 1,2-cyclic phosphate to form inositol 1-phosphate.
-
基因功能參考文獻:
- ANXA3 levels in urine show clinically significant correlation with real tumor volumes. PMID: 28703915
- The down-regulation of Annexin A3 by siRNA inhibited the invasion and epithelial-mesenchymal transition of colorectal cancer cells through the up-regulation of p53. PMID: 29224019
- ANXA3 plays important roles in gastric cancer carcinogenesis and metastasis. PMID: 27894078
- The findings implicate the expression of ANXA3 with the natural progression of breast cancer and associate it with increased lymphatic metastasis. The study validates the use of ANXA3 as a potential prognosis biomarker for breast cancer. PMID: 28497041
- we identified ANXA3 as a regulator of hepatitis C virus maturation and egress PMID: 27653686
- ANXA3 role in the proliferation and invasion of breast cancer cells. PMID: 27878264
- Results identified potential variant in ANXA3 gene [chr4, c.C820T(p.R274*)] in a large family with an unknown equinus deformity, which could lead to a three-dimensional conformational change. PMID: 27475959
- Anxa3 knockdown inhibited the growth, migration, invasion, and metastasis of lung adenocarcinoma. PMID: 27995049
- These results suggest that the iEA index or a combination of polymorphisms in EGFR and ANXA3 may serve as predictive factors of drug response, and therefore could be useful for optimal selection of chemotherapy regimens. PMID: 26475168
- ANX A3 has roles as a mammary biomarker, regulator and therapeutic target in breast cancer PMID: 26093083
- Our results suggest that ANXA3 can serve as a novel diagnostic biomarker and that the inhibition of ANXA3 may be a viable therapeutic option for the treatment of CD133+ liver-CSC-driven HCC. PMID: 26095609
- Findings reveal that ANXA3 might play an important role in hepatocellular carcinoma progression and chemoresistance. PMID: 24375474
- findings suggest that ANXA3 plays a role in HCC CSC/CIC maintenance, and that ANXA3 may represent a potential CSC/CIC-specific therapeutic target for improving the treatment of HCC. PMID: 25267273
- Two different antigenic variants of ANXA3 are present in post-DRE urines and their clinical significance for diagnosis of prostate cancer should be further investigated. PMID: 24954692
- Expression of annexin A3 was increased in gastric cancer compared with that in normal gastric tissues. Annexin A3 expression was significantly associated with tumor volume and TNM stage. PMID: 24815437
- Annexin A3 was upregulated in gastric cancer cells. Deletion of endogenous Annexin A3 significantly inhibited gastric cancer cell proliferation, migration, and invasion. PMID: 24824926
- Low ANXA3 expression is associated with radioresistance in nasopharyngeal carcinoma. PMID: 23464856
- Annexin A3 expression correlates with tumor size and lymph node metastasis.Annexin A3 might be regulated apoptosis by affecting Bcl-2/Bax balance.Annexin A3 was an independent prognostic factor in breast cancer. PMID: 23631820
- The expression change of Anxa3 can be utilized as a potential indicator for the development, invasion, metastasis and drug resistance of tumors. PMID: 23011854
- the association of multi-drug resistance with ANXA3, one of the highly expressed proteins in BEL7402/5-FU-resistant hepatoma cell line, was verified PMID: 22189913
- annexin A3 secretion may be associated with exocytosis and the release of exosomes PMID: 21435174
- Decreased expression of ANXA3 in papillary thyroid cancer supports the idea that ANXA3 may be an effective marker of microcarcinoma, and a negative predictor of papillary thyroid cancer progression. PMID: 21137070
- AnnexinA3 plays an important role in the initiation and progression of human gallbladder cancer. PMID: 21055154
- two spliced isoforms of Annexin A3 are expressed differently in human renal cortex and renal-cell carcinoma PMID: 20167856
- Annexin A3 could be a target for therapeutic intervention and may also serve as a biomarker for drug resistance in ovarian cancer patients. PMID: 20103635
- ANXA3 is a novel angiogenic factor that induces vascular endothelial growth factor production through the hypoxia-inducible factor-1 pathway PMID: 16236264
顯示更多
收起更多
-
蛋白家族:Annexin family
-
數據庫鏈接:
Most popular with customers
-
-
YWHAB Recombinant Monoclonal Antibody
Applications: ELISA, WB, IHC, IF, FC
Species Reactivity: Human, Mouse, Rat
-
Phospho-YAP1 (S127) Recombinant Monoclonal Antibody
Applications: ELISA, WB, IHC
Species Reactivity: Human
-
-
-
-
-















