ANAPC10 Antibody
-
中文名稱:ANAPC10兔多克隆抗體
-
貨號:CSB-PA892350ESR2HU
-
規格:¥440
-
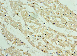
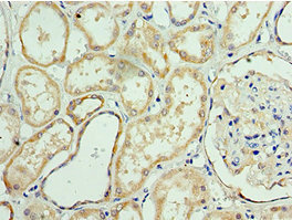
圖片:
-
其他:
產品詳情
-
產品名稱:Rabbit anti-Homo sapiens (Human) ANAPC10 Polyclonal antibody
-
Uniprot No.:
-
基因名:
-
別名:ANAPC 10 antibody; anapc10 antibody; Anaphase promoting complex 10 antibody; Anaphase promoting complex subunit 10 antibody; Anaphase-promoting complex subunit 10 antibody; Apc 10 antibody; APC10 antibody; APC10_HUMAN antibody; Cyclosome subunit 10 antibody; DKFZP564L0562 antibody; Doc 1 antibody; Doc1 antibody; Doc1; S. cerevisiae; homolog of antibody; OTTHUMP00000220297 antibody; OTTHUMP00000220298 antibody; OTTHUMP00000220299 antibody; OTTHUMP00000220300 antibody; OTTHUMP00000220303 antibody
-
宿主:Rabbit
-
反應種屬:Human
-
免疫原:Recombinant Human Anaphase-promoting complex subunit 10 protein (1-185AA)
-
免疫原種屬:Homo sapiens (Human)
-
標記方式:Non-conjugated
-
克隆類型:Polyclonal
-
抗體亞型:IgG
-
純化方式:Antigen Affinity Purified
-
濃度:It differs from different batches. Please contact us to confirm it.
-
保存緩沖液:PBS with 0.02% sodium azide, 50% glycerol, pH7.3.
-
產品提供形式:Liquid
-
應用范圍:ELISA, IHC
-
推薦稀釋比:
Application Recommended Dilution IHC 1:20-1:200 -
Protocols:
-
儲存條件:Upon receipt, store at -20°C or -80°C. Avoid repeated freeze.
-
貨期:Basically, we can dispatch the products out in 1-3 working days after receiving your orders. Delivery time maybe differs from different purchasing way or location, please kindly consult your local distributors for specific delivery time.
-
用途:For Research Use Only. Not for use in diagnostic or therapeutic procedures.
相關產品
靶點詳情
-
功能:Component of the anaphase promoting complex/cyclosome (APC/C), a cell cycle-regulated E3 ubiquitin ligase that controls progression through mitosis and the G1 phase of the cell cycle. The APC/C complex acts by mediating ubiquitination and subsequent degradation of target proteins: it mainly mediates the formation of 'Lys-11'-linked polyubiquitin chains and, to a lower extent, the formation of 'Lys-48'- and 'Lys-63'-linked polyubiquitin chains.
-
基因功能參考文獻:
- Cdc20 requires APC3 and APC8 to bind and activate the APC/C when the spindle assembly checkpoint is satisfied, but only APC8 when active, and APC10 is crucial for the destruction of cyclin B1 and securin, but not cyclin A PMID: 21336306
- Substrates are recruited to the Anaphase-promoting complex by binding to a bipartite substrate receptor composed of Cdh1 and Doc1. PMID: 21186364
-
蛋白家族:APC10 family
-
數據庫鏈接:
Most popular with customers
-
-
YWHAB Recombinant Monoclonal Antibody
Applications: ELISA, WB, IHC, IF, FC
Species Reactivity: Human, Mouse, Rat
-
Phospho-YAP1 (S127) Recombinant Monoclonal Antibody
Applications: ELISA, WB, IHC
Species Reactivity: Human
-
-
-
-
-















