ANAPC1 Antibody
-
中文名稱:ANAPC1兔多克隆抗體
-
貨號:CSB-PA231989
-
規格:¥1100
-
圖片:
-
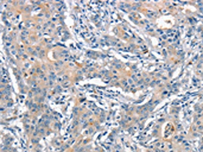
The image on the left is immunohistochemistry of paraffin-embedded Human gastic cancer tissue using CSB-PA231989(ANAPC1 Antibody) at dilution 1/15, on the right is treated with synthetic peptide. (Original magnification: ×200)
-
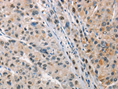
The image on the left is immunohistochemistry of paraffin-embedded Human liver cancer tissue using CSB-PA231989(ANAPC1 Antibody) at dilution 1/15, on the right is treated with synthetic peptide. (Original magnification: ×200)
-
-
其他:
產品詳情
-
Uniprot No.:
-
基因名:
-
別名:ANAPC 1 antibody; Anapc1 antibody; Anaphase promoting complex subunit 1 antibody; anaphase-promoting complex 1 (meiotic checkpoint regulator) antibody; Anaphase-promoting complex subunit 1 antibody; Apc 1 antibody; APC1 antibody; APC1_HUMAN antibody; Cyclosome subunit 1 antibody; MCPR antibody; Meiotic checkpoint regulator antibody; Mitotic checkpoint regulator antibody; Protein Tsg 24 antibody; Protein Tsg24 antibody; Testis-specific gene 24 protein antibody; TSG 24 antibody; TSG24 antibody
-
宿主:Rabbit
-
反應種屬:Human,Mouse
-
免疫原:Synthetic peptide of Human ANAPC1
-
免疫原種屬:Homo sapiens (Human)
-
標記方式:Non-conjugated
-
抗體亞型:IgG
-
純化方式:Antigen affinity purification
-
濃度:It differs from different batches. Please contact us to confirm it.
-
保存緩沖液:-20°C, pH7.4 PBS, 0.05% NaN3, 40% Glycerol
-
產品提供形式:Liquid
-
應用范圍:ELISA,IHC
-
推薦稀釋比:
Application Recommended Dilution ELISA 1:1000-1:2000 IHC 1:15-1:50 -
Protocols:
-
儲存條件:Upon receipt, store at -20°C or -80°C. Avoid repeated freeze.
-
貨期:Basically, we can dispatch the products out in 1-3 working days after receiving your orders. Delivery time maybe differs from different purchasing way or location, please kindly consult your local distributors for specific delivery time.
-
用途:For Research Use Only. Not for use in diagnostic or therapeutic procedures.
相關產品
靶點詳情
-
功能:Component of the anaphase promoting complex/cyclosome (APC/C), a cell cycle-regulated E3 ubiquitin ligase that controls progression through mitosis and the G1 phase of the cell cycle. The APC/C complex acts by mediating ubiquitination and subsequent degradation of target proteins: it mainly mediates the formation of 'Lys-11'-linked polyubiquitin chains and, to a lower extent, the formation of 'Lys-48'- and 'Lys-63'-linked polyubiquitin chains.
-
基因功能參考文獻:
- Data show that FZR1 (Fzr), a cofactor of the multi-subunit E3 ligase complex anaphase-promoting complex/cyclosome (APC/C), represents a therapeutic target in myeloma. PMID: 27655696
- in the Alzheimer's disease (AD)mouse model APP/PS1, lower cdh1 levels were observed in pyramidal neurons in CA1 when compared to age-matched wildtype mice. In this review, we provide a complete list of APC/C substrates that are involved in the nervous system and we discuss their functions. We also summarize recent studies that show neurobiological effects in cdh1 knockout mouse models. PMID: 28505105
- cryo-EM structure of an APC/C-Cdh1 complex with Apc1(WD40) deleted showed that the mutant APC/C is locked into an inactive conformation in which the UbcH10-binding site of the catalytic module is inaccessible. Additionally, an EM density for Apc15 is not visible PMID: 27601667
- The ABBA-KEN-ABBA amino acid motif cassette holds the Mitotic Checkpoint Complex (MCC) onto the Anaphase-Promoting Complex-Cyclosome (APC/C) by binding the two Cdc20 molecules in the MCC-APC/C complex. PMID: 27939943
- findings suggest a tumor suppressor role for APC/C(Cdh1) in melanocytes and that targeting PAX3 may be a strategy for treating melanoma. PMID: 26329581
- Human Cytomegalovirus UL21a but not UL97 can disrupt APC/C function, leading to the accumulation of substrates and that UL21a is necessary and sufficient to induce the degradation of APC1, in addition to the previously reported APC4 and APC5. PMID: 25903336
- Data indicate that regulation of Rad17 turnover is through the Cdh1/anaphase-promoting complex pathway in breast cancer cells. PMID: 23637229
- EYA1 is efficiently degraded during mitotic exit in a ANAPC1-dependent manner and these two proteins physically interact. PMID: 23263983
- Single nucleotide polymorhpisms of ANAPC1 were associated with nicotine dependence. PMID: 22377092
- Studies indicate that the APC/C is tightly regulated by its co-activators and by the spindle assembly checkpoint. PMID: 21633387
- the ability of Emi1 to inhibit APC/C is negatively regulated by CDKs PMID: 21454540
- Data demonstrate that PFKFB3 is essential for cell division and that it is regulated by APC/C-Cdh1 and SKP1-CUL1-F (SCF)-beta-TrCP. PMID: 21402913
- Studies indicate that APC/C(Cdh1) is required to maintain genomic stability. PMID: 19826416
- Cdh1 may function as a component in tumor suppression via proteolysis of Skp2 in colorectal tumorigenesis and may serve as a prognostic marker in colon cancer patients. PMID: 18535175
- ANAPC1 methylation was probably not implicated in gastric carcinogenesis PMID: 18622497
顯示更多
收起更多
-
蛋白家族:APC1 family
-
數據庫鏈接:
Most popular with customers
-
-
YWHAB Recombinant Monoclonal Antibody
Applications: ELISA, WB, IHC, IF, FC
Species Reactivity: Human, Mouse, Rat
-
-
-
-
-
-















