ALG2 Antibody
-
中文名稱:ALG2兔多克隆抗體
-
貨號:CSB-PA863983ESR1HU
-
規格:¥440
-
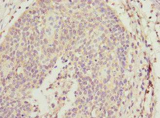
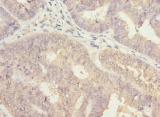
圖片:
-
其他:
產品詳情
-
產品名稱:Rabbit anti-Homo sapiens (Human) ALG2 Polyclonal antibody
-
Uniprot No.:
-
基因名:ALG2
-
別名:ALG2; UNQ666/PRO1298; Alpha-1,3/1,6-mannosyltransferase ALG2; Asparagine-linked glycosylation protein 2 homolog; GDP-Man:Man(1GlcNAc(2-PP-Dol alpha-1,3-mannosyltransferase; GDP-Man:Man(1GlcNAc(2-PP-dolichol mannosyltransferase; GDP-Man:Man(2GlcNAc(2-PP-Dol alpha-1,6-mannosyltransferase
-
宿主:Rabbit
-
反應種屬:Human
-
免疫原:Recombinant Human Alpha-1,3/1,6-mannosyltransferase ALG2 protein (197-416AA)
-
免疫原種屬:Homo sapiens (Human)
-
標記方式:Non-conjugated
-
克隆類型:Polyclonal
-
抗體亞型:IgG
-
純化方式:Antigen Affinity Purified
-
濃度:It differs from different batches. Please contact us to confirm it.
-
保存緩沖液:PBS with 0.02% sodium azide, 50% glycerol, pH7.3.
-
產品提供形式:Liquid
-
應用范圍:ELISA, IHC
-
推薦稀釋比:
Application Recommended Dilution IHC 1:20-1:200 -
Protocols:
-
儲存條件:Upon receipt, store at -20°C or -80°C. Avoid repeated freeze.
-
貨期:Basically, we can dispatch the products out in 1-3 working days after receiving your orders. Delivery time maybe differs from different purchasing way or location, please kindly consult your local distributors for specific delivery time.
-
用途:For Research Use Only. Not for use in diagnostic or therapeutic procedures.
相關產品
靶點詳情
-
功能:Mannosylates Man(2)GlcNAc(2)-dolichol diphosphate and Man(1)GlcNAc(2)-dolichol diphosphate to form Man(3)GlcNAc(2)-dolichol diphosphate.
-
基因功能參考文獻:
- We identify ALG14 and ALG2 as novel genes in which mutations cause a congenital myasthenic syndrome PMID: 23404334
- The ALG2 binding site is necessary for the punctate distribution of the carboxyl-terminal proline-rich region of Alix in HeLa cells. PMID: 14999017
- The expression and transport of ALG-2 in association with TSG101 and Vps4B are reported. PMID: 16004603
-
相關疾病:Congenital disorder of glycosylation 1I (CDG1I); Myasthenic syndrome, congenital, 14 (CMS14)
-
亞細胞定位:Membrane; Single-pass membrane protein.
-
蛋白家族:Glycosyltransferase group 1 family, Glycosyltransferase 4 subfamily
-
數據庫鏈接:
Most popular with customers
-
-
YWHAB Recombinant Monoclonal Antibody
Applications: ELISA, WB, IHC, IF, FC
Species Reactivity: Human, Mouse, Rat
-
Phospho-YAP1 (S127) Recombinant Monoclonal Antibody
Applications: ELISA, WB, IHC
Species Reactivity: Human
-
-
-
-
-















