ALG11 Antibody
-
中文名稱:ALG11兔多克隆抗體
-
貨號:CSB-PA647192LA01HU
-
規格:¥440
-
圖片:
-
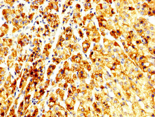
IHC image of CSB-PA647192LA01HU diluted at 1:250 and staining in paraffin-embedded human adrenal gland tissue performed on a Leica BondTM system. After dewaxing and hydration, antigen retrieval was mediated by high pressure in a citrate buffer (pH 6.0). Section was blocked with 10% normal goat serum 30min at RT. Then primary antibody (1% BSA) was incubated at 4°C overnight. The primary is detected by a biotinylated secondary antibody and visualized using an HRP conjugated SP system.
-
Immunofluorescence staining of HepG2 cells with CSB-PA647192LA01HU at 1:105, counter-stained with DAPI. The cells were fixed in 4% formaldehyde, permeabilized using 0.2% Triton X-100 and blocked in 10% normal Goat Serum. The cells were then incubated with the antibody overnight at 4°C. The secondary antibody was Alexa Fluor 488-congugated AffiniPure Goat Anti-Rabbit IgG(H+L).
-
-
其他:
產品詳情
-
產品名稱:Rabbit anti-Homo sapiens (Human) ALG11 Polyclonal antibody
-
Uniprot No.:
-
基因名:
-
別名:ALG11; GT8; GDP-Man:Man(3GlcNAc(2-PP-Dol alpha-1,2-mannosyltransferase; Asparagine-linked glycosylation protein 11 homolog; Glycolipid 2-alpha-mannosyltransferase
-
宿主:Rabbit
-
反應種屬:Human
-
免疫原:Recombinant Human GDP-Man:Man(3)GlcNAc(2)-PP-Dol alpha-1,2-mannosyltransferase protein (416-480AA)
-
免疫原種屬:Homo sapiens (Human)
-
標記方式:Non-conjugated
本頁面中的產品,ALG11 Antibody (CSB-PA647192LA01HU),的標記方式是Non-conjugated。對于ALG11 Antibody,我們還提供其他標記。見下表:
-
克隆類型:Polyclonal
-
抗體亞型:IgG
-
純化方式:>95%, Protein G purified
-
濃度:It differs from different batches. Please contact us to confirm it.
-
保存緩沖液:Preservative: 0.03% Proclin 300
Constituents: 50% Glycerol, 0.01M PBS, pH 7.4 -
產品提供形式:Liquid
-
應用范圍:ELISA, IHC, IF
-
推薦稀釋比:
Application Recommended Dilution IHC 1:200-1:500 IF 1:50-1:200 -
Protocols:
-
儲存條件:Upon receipt, store at -20°C or -80°C. Avoid repeated freeze.
-
貨期:Basically, we can dispatch the products out in 1-3 working days after receiving your orders. Delivery time maybe differs from different purchasing way or location, please kindly consult your local distributors for specific delivery time.
-
用途:For Research Use Only. Not for use in diagnostic or therapeutic procedures.
相關產品
靶點詳情
-
功能:Mannosyltransferase involved in the last steps of the synthesis of Man5GlcNAc(2)-PP-dolichol core oligosaccharide on the cytoplasmic face of the endoplasmic reticulum. Catalyzes the addition of the 4th and 5th mannose residues to the dolichol-linked oligosaccharide chain.
-
基因功能參考文獻:
- Hence, we concluded that there is different transcriptional control mechanism between mALG11 and hALG11 PMID: 25036826
- After identifying the congenital disorders of glycosylation-Ip index patient, study describe three more cases suffering from an ALG11 deficiency. PMID: 22213132
- Deficiency of the endoplasmatic mannosyltransferase hALG11 leads to congenital disorder of glycosylation. PMID: 20080937
-
相關疾病:Congenital disorder of glycosylation 1P (CDG1P)
-
亞細胞定位:Endoplasmic reticulum. Endoplasmic reticulum membrane; Multi-pass membrane protein.
-
蛋白家族:Glycosyltransferase group 1 family, Glycosyltransferase 4 subfamily
-
數據庫鏈接:
Most popular with customers
-
-
YWHAB Recombinant Monoclonal Antibody
Applications: ELISA, WB, IHC, IF, FC
Species Reactivity: Human, Mouse, Rat
-
Phospho-YAP1 (S127) Recombinant Monoclonal Antibody
Applications: ELISA, WB, IHC
Species Reactivity: Human
-
-
-
-
-















