ALDH1A2 Antibody
-
中文名稱:ALDH1A2兔多克隆抗體
-
貨號:CSB-PA039662
-
規格:¥1100
-
圖片:
-
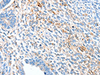
The image on the left is immunohistochemistry of paraffin-embedded Human ovarian cancer tissue using CSB-PA039662(ALDH1A2 Antibody) at dilution 1/60, on the right is treated with synthetic peptide. (Original magnification: ×200)
-
The image on the left is immunohistochemistry of paraffin-embedded Human colon cancer tissue using CSB-PA039662(ALDH1A2 Antibody) at dilution 1/60, on the right is treated with synthetic peptide. (Original magnification: ×200)
-
Gel: 10%SDS-PAGE, Lysate: 40 μg, Lane: K562 cells, Primary antibody: CSB-PA039662(ALDH1A2 Antibody) at dilution 1/400, Secondary antibody: Goat anti rabbit IgG at 1/8000 dilution, Exposure time: 5 seconds
-
-
其他:
產品詳情
-
Uniprot No.:
-
基因名:
-
別名:AL1A2_HUMAN antibody; Aldehyde dehydrogenase family 1 member A2 antibody; ALDH1A2 aldehyde dehydrogenase 1 family; member A2 antibody; ALDH1A2 antibody; Aldh1a7 antibody; AV116159 antibody; MGC26444 antibody; RALDH 2 antibody; RALDH(II) antibody; Raldh1 antibody; RalDH2 antibody; RALDH2 T antibody; Retinal dehydrogenase 2 antibody; Retinaldehyde dehydrogenase 2 antibody; Retinaldehyde specific dehydrogenase type 2 antibody; Retinaldehyde-specific dehydrogenase type 2 antibody
-
宿主:Rabbit
-
反應種屬:Human,Mouse,Rat
-
免疫原:Synthetic peptide of Human ALDH1A2
-
免疫原種屬:Homo sapiens (Human)
-
標記方式:Non-conjugated
-
抗體亞型:IgG
-
純化方式:Antigen affinity purification
-
濃度:It differs from different batches. Please contact us to confirm it.
-
保存緩沖液:-20°C, pH7.4 PBS, 0.05% NaN3, 40% Glycerol
-
產品提供形式:Liquid
-
應用范圍:ELISA,WB,IHC
-
推薦稀釋比:
Application Recommended Dilution ELISA 1:1000-1:5000 WB 1:500-1:2000 IHC 1:25-1:100 -
Protocols:
-
儲存條件:Upon receipt, store at -20°C or -80°C. Avoid repeated freeze.
-
貨期:Basically, we can dispatch the products out in 1-3 working days after receiving your orders. Delivery time maybe differs from different purchasing way or location, please kindly consult your local distributors for specific delivery time.
-
用途:For Research Use Only. Not for use in diagnostic or therapeutic procedures.
相關產品
靶點詳情
-
功能:Converts retinaldehyde to retinoic acid. Recognizes as substrates free retinal and cellular retinol-binding protein-bound retinal. Can metabolize octanal and decanal, but has only very low activity with benzaldehyde, acetaldehyde and propanal. Displays complete lack of activity with citral.
-
基因功能參考文獻:
- The authors findings indicate that the SNP rs4238326 in ALDH1A2 gene may potentially modify individual susceptibility to knee OA in the Chinese population. PMID: 28089900
- high transcription activities of ALDH1A2, ALDH1A3 and ALDH1L1 predicted worsen overall survival in gastric cancer patients PMID: 27015121
- Data show that hRALDH2 is not inhibited by its oxidation product, all-trans-RA, suggesting the absence of a negative feedback regulatory loop. Expression of the Raldh2 gene is known to be regulated by RA itself, suggesting that the main regulation of the hRALDH2 activity level is transcriptional. PMID: 27001866
- Study shows no evidence that genetic variants alter prostate cancer incidence, but show that SNPs in the ALDH1A2 gene affect prostate cancer mortality. PMID: 27643404
- a critical role of ALDH1A2-RAR signaling in the pathogenesis of head and neck cancer. PMID: 26634247
- High expression of ALDH1A2 and ALDH1B1 mRNA was found to be significantly correlated to worser survival in all NSCLC patients. PMID: 26366059
- the distribution of RALDH1, RALDH2, and RALDH3 in the postnatal eye was determined. PMID: 25793304
- ALDH1A2 is involved in the regulation of cancer stem cell properties in neuroblastoma. PMID: 25524880
- At the transcript level, the cisplatin + DEAB-resistant cells showed upregulated mRNA expression levels for ALDH1A2, ALDH1A3 isozymes and CD44 indicating the involvement of these markers in conferring chemoresistance PMID: 24884875
- DNA methylation at multiple CpG sites is associated with loss of control over alcohol drinking. PMID: 24236815
- Severe osteoarthritis of the hand associates with common variants within the ALDH1A2 gene and with rare variants at 1p31. PMID: 24728293
- These findings suggest that ALDH1A2 is the enzyme involved in retinoic acid biosynthesis in human germ cells. PMID: 24524833
- all three proteins (RDH10, RALDH2, and CRABP2) appeared to be required for ATRA production induced by activation of PPARgamma PMID: 23833249
- ALDH1A2 protein was effective in AraC resistance. ALDH1A2 knock-down induced sensitivity to AraC treatment in K562AC cells. ALDH1A2 overexpressed K562S cells acquired the AraC resistance. Ara-C-resistant patients had increased ALDH1A2. PMID: 23507523
- In vivo reduction of vitamin A levels results in an increase in astrocyte RALDH2 expression in the hippocampus. PMID: 22930583
- Aberrant methylation of ALDH1a2 gene is the main cause for gene transcriptional inactivation in human bladder cancer cell lines. 5-Aza-2'-deoxycitydine or trichostatin A treatment induces ALDH1a2 expression. PMID: 20450613
- A human ALDH1A2 gene variant is associated with increased newborn kidney size and serum retinoic acid. PMID: 20375987
- Individual variation in ALDH1A2/CRABP2 genes may account for subtle variations in retinoic acid-dependent human embryogenesis. PMID: 20308937
- The results of this study suggested a positive association between ALDH1A2 and schizophrenics in the Chinese population and support the retinoid hypothesis of schizophrenia. PMID: 19703508
- polymorphisms in ALDH1A2 may influence the risk for lumbosacral myelomeningocele PMID: 16237707
- Raldh2-/- knockout embryos exhibit defective morphogenesis of various forebrain derivatives, including the ventral diencephalon, the optic and telencephalic vesicles. PMID: 16368932
- Gene duplication event that gave rise to Aldh1a1 and Aldh1a2 was more recent than the duplication event that gave rise to Aldh1a3. PMID: 19478994
- our screen indicates that ALDH1A2 genetic variation is present in tetralogy of Fallot patients, suggesting a possible causal role for this gene in rare cases of human congenital heart disease PMID: 19886994
顯示更多
收起更多
-
亞細胞定位:Cytoplasm.
-
蛋白家族:Aldehyde dehydrogenase family
-
數據庫鏈接:
Most popular with customers
-
-
YWHAB Recombinant Monoclonal Antibody
Applications: ELISA, WB, IHC, IF, FC
Species Reactivity: Human, Mouse, Rat
-
Phospho-YAP1 (S127) Recombinant Monoclonal Antibody
Applications: ELISA, WB, IHC
Species Reactivity: Human
-
-
-
-
-















