AIMP1 Antibody
-
中文名稱:AIMP1兔多克隆抗體
-
貨號:CSB-PA618638EA01HU
-
規格:¥440
-
圖片:
-
Western Blot
Positive WB detected in: Hela whole cell lysate, HepG2 whole cell lysate, MCF-7 whole cell lysate, A549 whole cell lysate
All lanes: AIMP1 antibody at 3.7µg/ml
Secondary
Goat polyclonal to rabbit IgG at 1/50000 dilution
Predicted band size: 35, 38 kDa
Observed band size: 35 kDa -
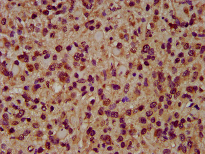
IHC image of CSB-PA618638EA01HU diluted at 1:200 and staining in paraffin-embedded human glioma performed on a Leica BondTM system. After dewaxing and hydration, antigen retrieval was mediated by high pressure in a citrate buffer (pH 6.0). Section was blocked with 10% normal goat serum 30min at RT. Then primary antibody (1% BSA) was incubated at 4°C overnight. The primary is detected by a biotinylated secondary antibody and visualized using an HRP conjugated SP system.
-
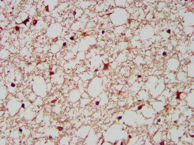
IHC image of CSB-PA618638EA01HU diluted at 1:200 and staining in paraffin-embedded human brain tissue performed on a Leica BondTM system. After dewaxing and hydration, antigen retrieval was mediated by high pressure in a citrate buffer (pH 6.0). Section was blocked with 10% normal goat serum 30min at RT. Then primary antibody (1% BSA) was incubated at 4°C overnight. The primary is detected by a biotinylated secondary antibody and visualized using an HRP conjugated SP system.
-
Immunofluorescence staining of Hela cells with CSB-PA618638EA01HU at 1:66, counter-stained with DAPI. The cells were fixed in 4% formaldehyde, permeabilized using 0.2% Triton X-100 and blocked in 10% normal Goat Serum. The cells were then incubated with the antibody overnight at 4°C. The secondary antibody was Alexa Fluor 488-congugated AffiniPure Goat Anti-Rabbit IgG(H+L).
-
-
其他:
產品詳情
-
產品名稱:Rabbit anti-Homo sapiens (Human) AIMP1 Polyclonal antibody
-
Uniprot No.:
-
基因名:AIMP1
-
別名:AIMP 1 antibody; Aimp1 antibody; AIMP1/p43 antibody; AIMP1_HUMAN antibody; Aminoacyl tRNA synthetase complex-interacting multifunctional protein 1 antibody; ARS interacting multifunctional protein 1 antibody; EMAP 2 antibody; EMAP-2 antibody; EMAP-II antibody; EMAP2 antibody; EMAPII antibody; Endothelial monocyte activating polypeptide 2 antibody; Endothelial monocyte activating polypeptide antibody; Endothelial monocyte-activating polypeptide 2 antibody; Endothelial monocyte-activating polypeptide II antibody; HLD3 antibody; Multisynthase complex auxiliary component p43 antibody; Multisynthetase complex auxiliary component p43 antibody; OTTHUMP00000219673 antibody; p43 antibody; Scye 1 antibody; Scye1 antibody; Scye1, formerly antibody; Small inducible cytokine subfamily E member 1 antibody; Small inducible cytokine subfamily E, member 1 (endothelial monocyte-activating) antibody; Small inducible cytokine subfamily E, member 1, formerly antibody
-
宿主:Rabbit
-
反應種屬:Human
-
免疫原:Recombinant Human Aminoacyl tRNA synthase complex-interacting multifunctional protein 1 protein (25-180AA)
-
免疫原種屬:Homo sapiens (Human)
-
標記方式:Non-conjugated
本頁面中的產品,AIMP1 Antibody (CSB-PA618638EA01HU),的標記方式是Non-conjugated。對于AIMP1 Antibody,我們還提供其他標記。見下表:
-
克隆類型:Polyclonal
-
抗體亞型:IgG
-
純化方式:>95%, Protein G purified
-
濃度:It differs from different batches. Please contact us to confirm it.
-
保存緩沖液:Preservative: 0.03% Proclin 300
Constituents: 50% Glycerol, 0.01M PBS, pH 7.4 -
產品提供形式:Liquid
-
應用范圍:ELISA, WB, IHC, IF
-
推薦稀釋比:
Application Recommended Dilution WB 1:500-1:5000 IHC 1:200-1:500 IF 1:50-1:200 -
Protocols:
-
儲存條件:Upon receipt, store at -20°C or -80°C. Avoid repeated freeze.
-
貨期:Basically, we can dispatch the products out in 1-3 working days after receiving your orders. Delivery time maybe differs from different purchasing way or location, please kindly consult your local distributors for specific delivery time.
-
用途:For Research Use Only. Not for use in diagnostic or therapeutic procedures.
相關產品
靶點詳情
-
功能:Non-catalytic component of the multisynthase complex. Stimulates the catalytic activity of cytoplasmic arginyl-tRNA synthase. Binds tRNA. Possesses inflammatory cytokine activity. Negatively regulates TGF-beta signaling through stabilization of SMURF2 by binding to SMURF2 and inhibiting its SMAD7-mediated degradation. Involved in glucose homeostasis through induction of glucagon secretion at low glucose levels. Promotes dermal fibroblast proliferation and wound repair. Regulates KDELR1-mediated retention of HSP90B1/gp96 in the endoplasmic reticulum. Plays a role in angiogenesis by inducing endothelial cell migration at low concentrations and endothelian cell apoptosis at high concentrations. Induces maturation of dendritic cells and monocyte cell adhesion. Modulates endothelial cell responses by degrading HIF-1A through interaction with PSMA7.
-
基因功能參考文獻:
- The increase of EMAP-II serum level reflects an endothelial dysfunction in type 1 diabetes, alteration of carbohydrate and lipid metabolism could influence of this pathway. PMID: 29537208
- This study showed the potential of the anti-AIMP1 antibody as a therapeutic option for AD treatment. Also, the finding of an association of blood AIMP1 levels with the MMSE score. PMID: 27906773
- systemic mRNA expression of AIMP1 strongly differentiated children who failed to achieve asthma control with triamcinolone administration PMID: 27665382
- p43 induces both the mRNA and protein expression of IP-10. PMID: 27574027
- Data indicate that AIMP1 downregulation using siRNA is a novel tool to restore TGF-beta signaling and thereby increases the chondrogenic potential of dedifferentiated/degenerated chondrocytes. PMID: 26890138
- two homozygous missense variants, p.(Gly299Arg) and p.(Val176Gly), in the gene AIMP1 that co-segregated with the phenotype, are reported. PMID: 26173967
- findings suggest EMAP II is elevated in type 1 diabetic patients, particularly those with micro-vascular complications; EMAP II levels are related to inflammation, glycemic control, albuminuria level of patients and the risk of micro-vascular complications PMID: 26142824
- AIMp1 promotes the proliferation and migration of fibroblasts/endothelial cells and importantly, pro-inflammatory gene expression in monocytes/macrophages and dendritic cells. PMID: 26325028
- Increased serum level of EMAP-II may be one of the pathways of endothelial dysfunction in type 1 diabetes. PMID: 27089716
- AIMP1 appears to function as a novel inhibitor of PPARgamma that regulates adipocyte differentiation by preventing the transcriptional activation of PPARgamma. PMID: 25146391
- Data indicate that HCV E2 glycoprotein interacts with cellular AIMP1/p43 protein and promotes cell surface expression of membrane glycoproteins gp96 and transforming growth factor beta TGF-beta signaling. PMID: 24816397
- Data indicate that the N terminus of Pro-EMAP II binds to its C terminus, arginyl-tRNA synthetase, and the neurofilament light subunit. PMID: 25724651
- EMAP2 is a multifunctional polypeptide with proinflammatory and antiangiogenic activity. (Review) PMID: 26040042
- Kisspeptin effect on endothelial monocyte activating polypeptide II (EMAP-II)-associated lymphocyte cell death and metastases in colorectal cancer patients PMID: 24395571
- interactions between the N-terminal domains of ArgRS and AIMP1 are important for the catalytic and noncatalytic activities of ArgRS and for the assembly of the higher-order MSC protein complex with ArgRS-GlnRS-AIMP1 PMID: 25288775
- vascular contribution to lung development and the implications that vascular mediators such as EMAP II have in distal lung formation during the vulnerable stage of alveolar genesis. PMID: 24619875
- AIMP1 peptide promotes the proliferation of BMMSCs by activating the beta-catenin/TCF complex via FGFR2-mediated activation of Akt, which leads to an increase in mesenchymal stem cells in peripheral blood. PMID: 23672191
- Downregulation of CD23 attenuated AIMP1-induced TNF-alpha secretion and AIMP1 binding. PMID: 22767513
- EMAP-II transcripts are upregulated in tumour cells in hypoxic conditions. PMID: 23082492
- EMAP II has specific intracellular effects, and that this intracellular function appears to antagonize its extracellular anti-angiogenic effects during fetal development and pulmonary disease progression. PMID: 22412987
- we propose that AIMP1 effect on EC adhesion is mediated by the assembly of a cytoskeletal protein complex on the cytosolic face of the cell membrane PMID: 21416500
- Decreased expression of AIMP1 in gastric and colorectal cancer tissues suggests that down-regulation of this protein may be related to inactivation of the tumor suppressor functions of AIMP proteins and might play a role in the development of GC and CRC. PMID: 21789020
- EMAPII is elevated in the BALF of active smokers and patients with COPD. Expression was increased in COPD lungs and emphysema. PMID: 21576822
- The known pathological functions together with abundant cellular accumulation in cerebral ischemia lesions suggest that EMAPII might contribute to pathophysiological consequences of cerebral ischemia. PMID: 21047177
- Through genome-wide homozygosity mapping and mutation analysis, we demonstrated in all affected individuals a homozygous frameshift mutation that fully abrogates the main active domain of AIMP1 PMID: 21092922
- autoantibodies of aminoacyl-tRNA synthetase can be used in the diagnosis of type I diabetes PMID: 20429837
- LPS induces the dissociation of gp96 from AIMP1 by phosphorylation through TLR4/MyD88-mediated JNK activation, resulting in translocation of gp96 on the cell surface. PMID: 20510162
- p43 is cleaved during apoptosis by calpains and released as a truncated protein that is harmless for the structure of the atherosclerotic plaque. PMID: 20413730
- AIMP1 may exert its antitumor activity by inducing tumor-suppressing cytokines. After a single intravenous injection, AMP1 exhibited a low clearance showing a one-compartmental disposition. PMID: 19573982
- These results suggest the potential interaction of p43/EMAP II with alpha-ATP synthase and its role in the proliferation of endothelial cells. PMID: 11741979
- temporal variation in EMAP II expression in the human endometrium across the menstrual cycle and localize expression to glandular epithelial, endothelial, and stromal cells. Moreover, EMAP II expression is negatively regulated by PGE(2). PMID: 12161535
- p43-induced TNF production was mediated by the activation of MAPK family members, ERK and p38 MAPK, and by IkappaB degradation leading to the activation of NFkappaB. PMID: 12543078
- Expression of endothelial monocyte activating polypeptide II is increased after spinal cord injury (SCI), suggesting a role for EMAP II in the pathophysiology of secondary injury following SCI. PMID: 14588117
- Membrane-bound and soluble EMAP-II appear to play multiple roles in the tumor microenvironment, one of which is to assist in immune evasion. PMID: 14688335
- EMAP-II causes a dose-dependent inhibition of proliferation and apoptosis in Jurkat T cells and mitogen-activated peripheral blood mononuclear cells, suggesting that EMAP-II constitutes a component of a novel, immunosuppressive pathway in solid tumors PMID: 14982944
- DOC1 might play a role in mediating some of the effects of EMAP-II on endothelial cells PMID: 15935955
- EMAP II is cleaved by MMP-9, elastase, and cathepsin L. PMID: 16674941
- Three-dimensional structure is projected from amino acid sequence. PMID: 17018011
- suggest that the cleavage of p43 and its cellular delocalization PMID: 17303557
- Arginyl t-RNA synthetase over-expression associates with a reduced AIMP1 secretion. Multicatalytic protease is involved in the generation of the mature cytokine, EMAP II. PMID: 17443684
- serum EMAP-II levels are significantly higher in patients with NSCLC than in healthy subjects and suggest it is of potential prognostic value PMID: 18621627
- Results suggest novel roles for EMAP II in modulating the migration of dendritic cells and suggest that these effects may modify Meth A tumor/host interactions. PMID: 18951814
- Inhibition of VEGF signaling is one possible antiangiogenic mechanism of EMAP II, which may explain its in vivo antitumor activity and delineate therapeutic strategies to enhance anti-VEGF therapy to inhibit tumor growth. PMID: 19002109
- one of the major anti-angiogenic functions of EMAP-II is exerted through its inhibition of the HIF-1alpha activities PMID: 19362550
- EMAP-II plays an important role in endothelial cell dysfunction related to graft-versus-host disease after allogeneic stem cell transplantation. PMID: 19565673
- this is the first report showing evidence for the chemoattractant properties of EMAPII on leech and human microglial cells PMID: 19917687
- Expression of the cleaved EMAP-II form in tumour-biopsies correlates with a good response of melanoma patients to TNF-based ILP. PMID: 16615114
- EMAP-II facilitates apoptotic signaling of TNF-R1 via mobilization of TRADD. PMID: 17051333
顯示更多
收起更多
-
相關疾?。?/div>Leukodystrophy, hypomyelinating, 3 (HLD3)亞細胞定位:Nucleus. Cytoplasm, cytosol. Secreted. Endoplasmic reticulum. Golgi apparatus.數據庫鏈接:
Most popular with customers
-
-
YWHAB Recombinant Monoclonal Antibody
Applications: ELISA, WB, IHC, IF, FC
Species Reactivity: Human, Mouse, Rat
-
Phospho-YAP1 (S127) Recombinant Monoclonal Antibody
Applications: ELISA, WB, IHC
Species Reactivity: Human
-
-
-
-
-















