AGTR2 Antibody
-
中文名稱:AGTR2兔多克隆抗體
-
貨號:CSB-PA963716
-
規格:¥1100
-
圖片:
-
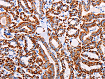
The image on the left is immunohistochemistry of paraffin-embedded Human thyroid cancer tissue using CSB-PA963716(AGTR2 Antibody) at dilution 1/15, on the right is treated with synthetic peptide. (Original magnification: ×200)
-
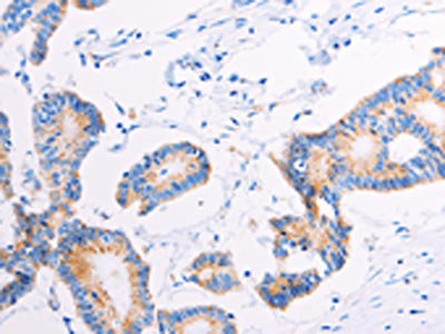
The image on the left is immunohistochemistry of paraffin-embedded Human colon cancer tissue using CSB-PA963716(AGTR2 Antibody) at dilution 1/15, on the right is treated with synthetic peptide. (Original magnification: ×200)
-
-
其他:
產品詳情
-
Uniprot No.:
-
基因名:
-
別名:AGTR 2 antibody; Agtr2 antibody; AGTR2_HUMAN antibody; angiotensin II receptor type 2 antibody; Angiotensin II type-2 receptor antibody; Angiotensin receptor 2 antibody; AT 2 antibody; AT2 antibody; ATGR 2 antibody; ATGR2 antibody; MRX 88 antibody; MRX88 antibody; Type 2 angiotensin II receptor antibody; Type-2 angiotensin II receptor antibody
-
宿主:Rabbit
-
反應種屬:Human,Mouse,Rat
-
免疫原:Synthetic peptide of Human AGTR2
-
免疫原種屬:Homo sapiens (Human)
-
標記方式:Non-conjugated
-
抗體亞型:IgG
-
純化方式:Antigen affinity purification
-
濃度:It differs from different batches. Please contact us to confirm it.
-
保存緩沖液:-20°C, pH7.4 PBS, 0.05% NaN3, 40% Glycerol
-
產品提供形式:Liquid
-
應用范圍:ELISA,IHC
-
推薦稀釋比:
Application Recommended Dilution ELISA 1:2000-1:5000 IHC 1:25-1:100 -
Protocols:
-
儲存條件:Upon receipt, store at -20°C or -80°C. Avoid repeated freeze.
-
貨期:Basically, we can dispatch the products out in 1-3 working days after receiving your orders. Delivery time maybe differs from different purchasing way or location, please kindly consult your local distributors for specific delivery time.
-
用途:For Research Use Only. Not for use in diagnostic or therapeutic procedures.
相關產品
靶點詳情
-
功能:Receptor for angiotensin II. Cooperates with MTUS1 to inhibit ERK2 activation and cell proliferation.
-
基因功能參考文獻:
- Intracrine action of angiotensin II in mesangial cells: subcellular distribution of angiotensin II receptor subtypes AT1 and AT2 PMID: 29455433
- rs5193, rs1403543 and rs12710567 of AT2R gene might have no effect on pregnancy-induced hypertension risk among Chinese Han women. PMID: 29714512
- It was found that the AGTR2 A-allele is a candidate genetic marker for top-level power athletes. Carriers of the minor allele (A-allele in males and A/A genotype in females) may possess some molecular advantage in developing muscle strength and power traits. PMID: 29561708
- Low levels of AT2R is associated with angiogenesis in bladder cancer. PMID: 28599664
- angiotensin II type 2 receptor activation in inguinal adipocytes opposes norepinephrine-induced uncoupling protein-1 (UCP1) production and aspects of cellular respiration PMID: 27477281
- loss of AT2 R is associated with podocyte loss/dysfunction and is mediated, at least in part, via augmented ectopic hedgehog interacting protein expression in podocytes PMID: 28722118
- AGTR2, which encodes angiotensin II receptor type 2, plays a role in modulating uteroplacental circulation and harbors variants that may contribute to the risk of preeclampsia. It is unlikely that the association that we identified with AGTR2 indicates a risk of preeclampsia rather than of spontaneous preterm birth, because women with preeclampsia as a reason for their delivery were excluded from the Nordic studies. PMID: 28877031
- In this genomewide association study, we found that variants at the EBF1, EEFSEC, AGTR2, WNT4, ADCY5, and RAP2C loci were associated with gestational duration and variants at the EBF1, EEFSEC, and AGTR2 loci with preterm birth. PMID: 28877031
- crystal structures of human AT2R bound to an AT2R-selective ligand and to an AT1R/AT2R dual ligand, capturing the receptor in an active-like conformation PMID: 28379944
- Suggest a gender-specific association between the AT2R -1332 A/G polymorphism and the occurrence of carotid plaque and the history of cerebrovascular insult in advanced carotid atherosclerosis. PMID: 27062416
- Significant overrepresentation of AT2R-1332 AA genotype in female multiple sclerosis patients was found, compared to female controls. PMID: 27000216
- Ang II-induced upregulation of ATF3 and SUMO1 in vitro and in vivo was blocked by Ang II type I receptor antagonist olmesartan. Moreover, Ang II induced ATF3 SUMOylation at lysine 42, which is SUMO1 dependent PMID: 26850942
- The A1166C polymorphism of AT1R, A1675G and C3123A polymorphisms of AT2R were analyzed. The A1675G polymorphism of AT2R might be associated with preeclampsia PMID: 25816156
- AT2R downregulates the expression of TGF-betaRII in human proximal tubule cells PMID: 26867007
- Angiotensin II type 2 receptor is present in human semen and may be involved in the control of sperm motility and male fertility. PMID: 26616438
- ATGR2 activation enhances ACE2 expression and activity and prevents TNF-alpha-stimulated ICAM-1 expression . PMID: 26163449
- Our results support that the AGTR2 gene may contribute to the pathogenesis of UPJO and the genetic origin of CAKUT could vary according to phenotype expression PMID: 24995698
- in colorectal cancer, AT2R expression showed an inverse correlation with tumor stage and liver metastasis PMID: 25138435
- Suggest a key regulatory role of ATI and ATII in promoting cellular proliferation in infantile hemangioma, and establish a role for ACE and ATIIR2 in the proliferation of this tumour. PMID: 25713419
- The AGTR2 gene C allele is associated with an increased proportion of slow-twitch muscle fibres. PMID: 24887114
- Activation of intracellular angiotensin AT receptors induces rapid cell death in non-cycling uterine leiomyosarcoma cells. PMID: 25487516
- Type 2 angiotensin II receptor (ATR2) expression was 3.5-fold higher in bronchoalveolar cells 1-6 h after lung with cardiopulmonary bypass transplantation. PMID: 24796630
- Loss of angiotensin II type 2 receptor is associated with hepatocellular carcinoma. PMID: 24391821
- Ang II induces corneal myofibroblasts resistance to apoptosis via activating NF-kappaB signaling pathway, and thus should be further investigated as a possible target for therapy of corneal fibrosis. PMID: 24917146
- These data indicate that the role of AT2R in human diseased arteries is divergent although the AT2R-mediated vasorelaxation prevails. PMID: 24674681
- G allele of AT2R - 1332 G:A polymorphism is associated with an increased risk of preeclampsia. PMID: 24440243
- Angiotensin II type 2 receptor antagonists could be particularly useful in the treatment of chronic pain and hypersensitivity associated with abnormal nerve sprouting PMID: 23255326
- In light of knowledge that AT2 R expression is regulated by oestrogen and that the prevalence of hypertension and cardiovascular risk is greater in women after menopause, AT2 R agonist therapy may represent an approach to treat hypertension. PMID: 23406015
- AGTR2 C4599A in mothers, fathers and babies was associated with preeclampsia and this association was only apparent in pregnancies in which the women had a BMI >/= 25 kg/m(2), suggesting a gene-environment interaction. PMID: 23122839
- angiotensin II type 2 receptor (AT2R) gene adenine/cytosine (A/C)-3123 polymorphism may be a marker associated with HDL metabolism by hypertension PMID: 22869520
- The polymorphism at AT (2) R gene was associated with the risk for aldosterone-producing adenoma. PMID: 21671168
- The expression of AT2R in aldosterone-producing adenoma of the adrenal gland was lower than that in normal adrenal gland tissues. AT2R expression was negatively related to plasma aldosterone concentration but positively related with plasma renin activity. PMID: 20714875
- Dopamine and angiotensin type 2 receptors cooperatively inhibit sodium transport in human renal proximal tubule cells. PMID: 22710646
- In the present study, we showed that the 3123 C/A polymorphism of AGT2R gene is not a significant factor for hypertension in a sample of Tunisian population PMID: 22987376
- angiotensin II receptor type 2 receptors are indispensable during islet -like cell clusters maturation in vivo. PMID: 22162314
- The data suggested that diameter of the retinal arterioles might be associated with the angiotensin II Type 2 Receptor 1675G/A polymorphism. PMID: 21850060
- This study therefore confirms a hypertrophy-modulating effect for AT(2)R also in hypertrophic cardiomyopathy. PMID: 21163866
- The present findings suggest that the homozygous form of the ATR gene may make improving systolic blood pressure and some obesity-related metabolic parameters through a dietary intervention difficult among obese women. PMID: 20371166
- A1166C genetic variation of the angiotensin II type I receptor gene may not have a major role in susceptibility to coronary heart disease [meta-analysis] PMID: 20732682
- ACE DD and AT2R GG genotypes are associated with chronic kidney disease and scarring in PUV PMID: 20149750
- Angiotensin II type 2 receptor signaling significantly attenuates growth of murine pancreatic carcinoma grafts in syngeneic mice PMID: 20181281
- Variations in AGTR1 and AGTR2 are associated with sudden cardiac arrest risk in a population-based case-control study. PMID: 19716087
- The aim of this study was to test the hypothesis that ACE I/D and AT2R 1675G>A are more frequent in patients suffering from the most severe episodes of hypoglycaemia requiring medical emergency treatment. PMID: 19820429
- The highest levels of expression of AT2R were found in early and mid TOP placentae compared to term pregnancy. PMID: 20304486
- The constitutive and ligand-mediated activity as well as the signal transduction of the AT(2) receptor, focusing on adapter proteins which directly bind to this receptor, is discussed. PMID: 19759061
- The loss of AT(2) receptor signalling is associated with increased renal injury and mortality in chronic kidney disease. PMID: 19861345
- This review focuses on the role of the AT(2) receptor in the kidney. PMID: 19861347
- The role of the AT(2) receptor on cardiovascular structure and disease, and the signalling pathways induced by its activation, is discussed. PMID: 19861349
- This review focuses primarily on the common polymorphism -1332G/A of angiotensin II type 2 (AT(2)) receptor but also briefly mentions 3123C/A (located in the 3'-UTR). PMID: 19861351
- Novel data from human oesophagus and jejunum suggest that the AT(1) receptor mediates muscular contractions and that the AT(2) receptor regulates epithelial functions. PMID: 19861352
顯示更多
收起更多
-
亞細胞定位:Cell membrane; Multi-pass membrane protein.
-
蛋白家族:G-protein coupled receptor 1 family
-
組織特異性:In adult, highly expressed in myometrium with lower levels in adrenal gland and fallopian tube. Expressed in the cerebellum. Very highly expressed in fetal kidney and intestine.
-
數據庫鏈接:
Most popular with customers
-
-
YWHAB Recombinant Monoclonal Antibody
Applications: ELISA, WB, IHC, IF, FC
Species Reactivity: Human, Mouse, Rat
-
-
-
-
-
-















