AGRN Antibody
-
中文名稱:AGRN兔多克隆抗體
-
貨號:CSB-PA986930
-
規格:¥1100
-
圖片:
-
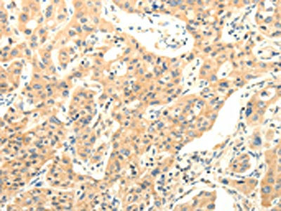
The image on the left is immunohistochemistry of paraffin-embedded Human esophagus cancer tissue using CSB-PA986930(AGRN Antibody) at dilution 1/30, on the right is treated with synthetic peptide. (Original magnification: ×200)
-
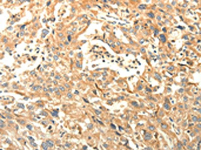
The image on the left is immunohistochemistry of paraffin-embedded Human lung cancer tissue using CSB-PA986930(AGRN Antibody) at dilution 1/30, on the right is treated with synthetic peptide. (Original magnification: ×200)
-
-
其他:
產品詳情
-
Uniprot No.:
-
基因名:
-
別名:AGRIN antibody; Agrin C-terminal 22 kDa fragment antibody; Agrin proteoglycan antibody; AGRIN_HUMAN antibody; Agrn antibody; C22 antibody; C90 antibody; FLJ45064 antibody; OTTHUMP00000044043 antibody
-
宿主:Rabbit
-
反應種屬:Human
-
免疫原:Synthetic peptide of Human AGRN
-
免疫原種屬:Homo sapiens (Human)
-
標記方式:Non-conjugated
-
抗體亞型:IgG
-
純化方式:Antigen affinity purification
-
濃度:It differs from different batches. Please contact us to confirm it.
-
保存緩沖液:-20°C, pH7.4 PBS, 0.05% NaN3, 40% Glycerol
-
產品提供形式:Liquid
-
應用范圍:ELISA,IHC
-
推薦稀釋比:
Application Recommended Dilution ELISA 1:2000-1:5000 IHC 1:25-1:100 -
Protocols:
-
儲存條件:Upon receipt, store at -20°C or -80°C. Avoid repeated freeze.
-
貨期:Basically, we can dispatch the products out in 1-3 working days after receiving your orders. Delivery time maybe differs from different purchasing way or location, please kindly consult your local distributors for specific delivery time.
-
用途:For Research Use Only. Not for use in diagnostic or therapeutic procedures.
相關產品
靶點詳情
-
功能:heparan sulfate basal lamina glycoprotein that plays a central role in the formation and the maintenance of the neuromuscular junction (NMJ) and directs key events in postsynaptic differentiation. Component of the AGRN-LRP4 receptor complex that induces the phosphorylation and activation of MUSK. The activation of MUSK in myotubes induces the formation of NMJ by regulating different processes including the transcription of specific genes and the clustering of AChR in the postsynaptic membrane. Calcium ions are required for maximal AChR clustering. AGRN function in neurons is highly regulated by alternative splicing, glycan binding and proteolytic processing. Modulates calcium ion homeostasis in neurons, specifically by inducing an increase in cytoplasmic calcium ions. Functions differentially in the central nervous system (CNS) by inhibiting the alpha(3)-subtype of Na+/K+-ATPase and evoking depolarization at CNS synapses. This secreted isoform forms a bridge, after release from motor neurons, to basal lamina through binding laminin via the NtA domain.; transmembrane form that is the predominate form in neurons of the brain, induces dendritic filopodia and synapse formation in mature hippocampal neurons in large part due to the attached glycosaminoglycan chains and the action of Rho-family GTPases.; Isoform 1, isoform 4 and isoform 5: neuron-specific (z+) isoforms that contain C-terminal insertions of 8-19 AA are potent activators of AChR clustering. Isoform 5, agrin (z+8), containing the 8-AA insert, forms a receptor complex in myotubules containing the neuronal AGRN, the muscle-specific kinase MUSK and LRP4, a member of the LDL receptor family. The splicing factors, NOVA1 and NOVA2, regulate AGRN splicing and production of the 'z' isoforms.; Isoform 3 and isoform 6: lack any 'z' insert, are muscle-specific and may be involved in endothelial cell differentiation.; is involved in regulation of neurite outgrowth probably due to the presence of the glycosaminoglcan (GAG) side chains of heparan and chondroitin sulfate attached to the Ser/Thr- and Gly/Ser-rich regions. Also involved in modulation of growth factor signaling.; this released fragment is important for agrin signaling and to exert a maximal dendritic filopodia-inducing effect. All 'z' splice variants (z+) of this fragment also show an increase in the number of filopodia.
-
基因功能參考文獻:
- High Agrin expression is associated with Chronic obstructive pulmonary disease. PMID: 29351440
- The presence of agrin at locations with particular importance for the growth and stability of atherosclerotic plaques renders this molecule strategically positioned to influence plaque development and vulnerability PMID: 29405249
- C-terminal agrin fragment levels predict acute kidney injury after acute myocardial infarction. PMID: 28646861
- Agrin promotes oncogenesis through YAP-dependent transcription. PMID: 28273460
- Agrin strongly promotes chondrocyte differentiation and cartilage formation in vivo. PMID: 26290588
- Knockdown of agrin and perlecan promoted a decrease on cell migration and adhesion, and on resistance of cells to cisplatin. PMID: 25506919
- Among 42 hip fractured patients (age 83.7+/-8.6 years, 76.2% women), sarcopenia was diagnosed in 7 individuals (16.7%). Serum C-terminal agrin fragment (CAF) levels were significantly higher in sarcopenic relative to non-sarcopenic patients. PMID: 25304331
- In patients suffering from severe sepsis and septic shock, serum levels of C-terminal agrin fragment were significantly associated with kidney function and the need for renal replacement therapy and were not influenced by severe septic conditions. PMID: 25807640
- MuSK myasthenia gravis IgG4 disrupts the interaction of LRP4 with MuSK but both IgG4 and IgG1-3 can disperse preformed agrin-independent AChR clusters PMID: 24244707
- these observations indicate that agrin is another autoantigen in patients with MG and agrin autoantibodies may be pathogenic through inhibition of agrin/LRP4/MuSK signaling at the NMJ. PMID: 24632822
- Five new recessive mutations in the gene encoding agrin are identified in patients with congenital myasthenic syndrome. PMID: 24951643
- study identifies a spontaneous agrin mutation that reduces the ability of z+ agrin to activate MuSK and induce AChR clustering; this results in a severe congenital myasthenic syndrome in the patient, with both pre- and postsynaptic defects at the neuromuscular junction PMID: 22205389
- Dynamics of expression patterns of agrin in human glioblastoma PMID: 22307776
- In contrast to wild-type neurons which form synapses and survive for prolonged periods, agrin-deficient neurons do not mature and are rapidly eliminated in the transgenic olfactory bulb. PMID: 22423096
- Agrin immunohistochemistry may facilitate determination of primary versus metastatic origin in problematic liver cancer cases. PMID: 20471664
- different regions within the agrin protein are responsible for synapse formation at the neuromuscular junction and for process formation in central nervous system neurons PMID: 19940118
- Agrin, a heparan sulfate proteoglycan, is a component of the basal lamina of BBB microvessels, and growing evidence suggests that it may be important for the maintenance of the BBB. PMID: 12070669
- acts at the nerve-muscle synapse in the glomerular basal membrane and on T-lymphocytes PMID: 12073527
- evidence for additional functions of agrin during axonal growth, establishment of the blood-brain barrier, and Alzheimer's disease is accumulating--REVIEW PMID: 12270958
- Thus, an agrin/MuSK complex may form part of a motor neuron stop signal involved in "reverse signaling" to the motor neuron. PMID: 15691710
- in the NtA-laminin complex, conserved amino acids in the gamma 1 chain are prerequisite for the binding to agrin PMID: 15694127
- agrin has a role in binding alpha-synuclein and modulating alpha-synuclein fibrillation PMID: 16037493
- In human sperm an agrin isoform with a short NH2-terminus (agrinSN) localized in the posterior post-acrosomal, neck, and flagellar mid-piece regions. PMID: 16487930
- agrin might play an important role in neoangiogenesis in human HCC, being a part of the newly formed vasculature. In CC, however, agrin might be involved in tumor progression PMID: 17640714
- The agrin expression in human T cells is regulated by cell activation and IFN-alpha, and may have an important function during cell activation with potential implications for autoimmunity. PMID: 18025246
- study concludes that Abeta can modulate the cellular expression of agrin and glypican-1, which may contribute to the accumulation of these heparan sulfate proteoglycans in Alzheimer's disease lesions PMID: 19166823
- agrin facilitates the discrimination of benign and malignant hepatocellular lesions PMID: 19194276
- The agrin mutation does not interfere with its ability to induce postsynaptic structures but that it dramatically perturbs the maintenance of the neuromuscular junction. PMID: 19631309
- Observational study of gene-disease association. (HuGE Navigator) PMID: 19598235
顯示更多
收起更多
-
相關疾病:Myasthenic syndrome, congenital, 8 (CMS8)
-
亞細胞定位:[Isoform 1]: Secreted, extracellular space, extracellular matrix.; [Isoform 2]: Cell junction, synapse. Cell membrane; Single-pass type II membrane protein.
-
組織特異性:Expressed in basement membranes of lung and kidney. Muscle- and neuron-specific isoforms are found. Isoforms (y+) with the 4 AA insert and (z+8) isoforms with the 8 AA insert are all neuron-specific. Isoforms (z+11) are found in both neuronal and non-neur
-
數據庫鏈接:
Most popular with customers
-
-
YWHAB Recombinant Monoclonal Antibody
Applications: ELISA, WB, IHC, IF, FC
Species Reactivity: Human, Mouse, Rat
-
Phospho-YAP1 (S127) Recombinant Monoclonal Antibody
Applications: ELISA, WB, IHC
Species Reactivity: Human
-
-
-
-
-















