AGR2 Antibody
-
中文名稱:AGR2兔多克隆抗體
-
貨號:CSB-PA960585
-
規格:¥1100
-
圖片:
-
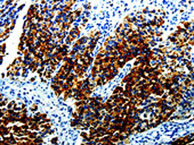
The image on the left is immunohistochemistry of paraffin-embedded Human renal cancer tissue using CSB-PA960585(AGR2 Antibody) at dilution 1/10, on the right is treated with fusion protein. (Original magnification: ×200)
-
Gel: 10%SDS-PAGE, Lysate: 40 μg, Lane: Mouse Large intestine tissue, Primary antibody: CSB-PA960585(AGR2 Antibody) at dilution 1/1000, Secondary antibody: Goat anti rabbit IgG at 1/8000 dilution, Exposure time: 20 seconds
-
-
其他:
產品詳情
-
Uniprot No.:
-
基因名:AGR2
-
別名:AG 2 antibody; AG 2 protein antibody; AG-2 antibody; AG2 antibody; AG2 protein antibody; AGR 2 antibody; AGR2 antibody; AGR2_HUMAN antibody; Anterior gradient 2 homolog (Xenopus laevis) antibody; anterior gradient 2 homolog antibody; Anterior gradient 2; protein disulphide isomerase family member antibody; Anterior gradient 2; Xenopus; homolog of antibody; Anterior gradient homolog 2 antibody; Anterior gradient protein 2 homolog antibody; Epididymis secretory protein Li 116 antibody; GOB 4 antibody; GOB4 antibody; HAG 2 antibody; hAG-2 antibody; hAG2 antibody; HAG2/R antibody; HEL S 116 antibody; HPC 8 antibody; hPC8 antibody; PDIA17 antibody; Protein disulfide isomerase family A member 17 antibody; secreted cement gland homolog antibody; Secreted cement gland protein XAG 2 homolog antibody; Secreted cement gland protein XAG-2 homolog antibody; Secreted cement gland protein XAG2 homolog antibody; XAG 2 antibody; XAG2 antibody
-
宿主:Rabbit
-
反應種屬:Human,Mouse
-
免疫原:Fusion protein of Human AGR2
-
免疫原種屬:Homo sapiens (Human)
-
標記方式:Non-conjugated
-
抗體亞型:IgG
-
純化方式:Antigen affinity purification
-
濃度:It differs from different batches. Please contact us to confirm it.
-
保存緩沖液:-20°C, pH7.4 PBS, 0.05% NaN3, 40% Glycerol
-
產品提供形式:Liquid
-
應用范圍:ELISA,WB,IHC
-
推薦稀釋比:
Application Recommended Dilution ELISA 1:1000-1:10000 WB 1:1000-1:5000 IHC 1:10-1:50 -
Protocols:
-
儲存條件:Upon receipt, store at -20°C or -80°C. Avoid repeated freeze.
-
貨期:Basically, we can dispatch the products out in 1-3 working days after receiving your orders. Delivery time maybe differs from different purchasing way or location, please kindly consult your local distributors for specific delivery time.
-
用途:For Research Use Only. Not for use in diagnostic or therapeutic procedures.
相關產品
靶點詳情
-
功能:Required for MUC2 post-transcriptional synthesis and secretion. May play a role in the production of mucus by intestinal cells. Proto-oncogene that may play a role in cell migration, cell differentiation and cell growth. Promotes cell adhesion.
-
基因功能參考文獻:
- AGR2 silencing could promote cell apoptosis and inhibit cell migration, invasion and chemotherapy resistance of pancreatic cancer cells with the involvement of the ERK/AKT axis PMID: 30055941
- Serum AGR2 can be used as a serum marker for clinical prognosis of nasopharyngeal carcinoma. However, serum AGR2 levels could not provide advantages in clinical practice for the differential diagnosis of cancer. PMID: 29269202
- The results suggest that MUC13 overexpression and loss of expression of AGR2 may predict the progression of Intraductal papillary mucinous neoplasm and an unfavorable prognosis in patients with Intraductal papillary mucinous neoplasm PMID: 29650332
- Cytosolic AGR2 contributed to cell metastasis ascribed to its stabilizing effect on p65 protein, which subsequently activated the NF-kappaB and facilitated epithelial to mesenchymal transition (EMT). PMID: 29410027
- Our data confirm AGR2 as a keeper of epithelial phenotypes, showing a positive role of AGR2 in the regulation of the epithelial marker E-cadherin and a negative effect on the mesenchymal markers vimentin and N-cadherin. PMID: 28810836
- Authors demonstrated that inhibition of either FOXM1 or AGR2 in human PIMAs inhibited mucinous characteristics, and reduced tumor growth and invasion. FOXM1 is necessary and sufficient to induce mucinous phenotypes in lung tumor cells in vivo. PMID: 29267283
- AGR2 is secreted by prostate cancer cells and induces programmed cell death in normal cells PMID: 27283903
- secretion and cell surface localization of AGR2 are characteristic of bladder cancer, while expression of AGR2 by itself is not. PMID: 26894971
- Obesity induces the expression of the mitochondrial form of arginase ARG2 in pancreatic ductal adenocarcinoma. PMID: 28808255
- Overexpression of AGR2 counteracts the phenotypes induced by miR-342-3p. PMID: 29107102
- The authors conclude that extracellular AGR2 plays an extracellular role independent of its endoplasmic reticulum function and elucidate this gain-of-function as a novel and unexpected critical extracellular matrix microenvironmental pro-oncogenic regulator of epithelial morphogenesis and tumorigenesis. PMID: 27240165
- High AGR2 expression is associated with ovarian cancer. PMID: 28481872
- This study demonstrates that AGR2, which is overexpressed in a variety of human cancers and provides a poor prognosis, up-regulates DUSP10 which subsequently inhibits p38 MAPK and prevents p53 activation by phosphorylation. PMID: 26733232
- A direct impact of mTOR signalling on AGR2 3'UTR shortening associated with increased protein synthesis was found, which led to the identification of a novel molecular mechanism involved in upregulation of AGR2 levels in mTOR-activated cells via modulating the 3'UTR length of AGR2 mRNA. PMID: 28408318
- Suggest elevated AGR2 as a candidate tamoxifen-dependent mechanism of action responsible for increased incidence of endometrial cancer. PMID: 28402678
- AGR2 could also be upregulated in hormone-independent manner. AGR2 expression was shown to be significantly increased in HER2 positive breast tumors on both the mRNA and the protein level. PMID: 28238761
- Our findings demonstrated recombinant human endostatin-gold nanoparticles might normalize vessels by interfering anterior gradient 2-mediated angiogenesis in metastatic colorectal cancer. PMID: 28714365
- All these data clearly showed that anterior gradient protein 2 is highly expressed in breast cancer and can be regarded as a putative biomarker for breast cancer prognosis. PMID: 28671019
- AGR2, through interaction with ER-alpha, enhances fulvestrant resistance and IGF-1-induced carcinogenesis in breast cancer cells. PMID: 27063095
- AGR2 inhibits TNF-alphainduced Caco-2 cell hyperpermeability by regulating TJ and that this protective mechanism may be promoted by inhibition of NF-kappaB p65-mediated activation of the MLCK/p-MLC signaling pathway. PMID: 28339048
- our study showed the important role of AGR2 in regulating EMT of glioblastoma. SDF-1 signaling induced the expression of AGR2 to control the progress of EMT in the progression of glioblastoma. PMID: 26608373
- Results show that AGR2 is O-glycosylated upon secretion from human and rat cell lines, and that this form of the protein is released from healthy cells and not as a result of cell lysis. PMID: 26169982
- Nearly all NSCLC tumors show AGR2 expression. Lung cancer expression of AGR2 has prognostic value for younger patients. PMID: 26445321
- These data together identify the single cysteine of AGR2 as an oxidant responsive moiety that regulates its propensity for oxidation and its monomeric-dimeric state. PMID: 26876500
- The prognostic impact of AGR2 expression could be related to treatment outcome in estrogen receptor-positive breast cancers and/or its metastasis-promoting effects. PMID: 25663596
- analysis of molecular characteristics, function, and regulation of AGR2 in cancer[review] PMID: 25937245
- AGR2 was higher in HNSCC than in normal oral mucosa. High levels were associated with the T category, pathological grade and lymphatic metastasis. AGR2 expression increased in recurring HNSCC after radiotherapy or cisplatin-based chemotherapy. PMID: 25871396
- The mechanism linking the IGF-1/insulin signal and AGR2 promoter activation is important. PMID: 25956506
- Data show the potential usability of anterior gradient homolog 3 (AGR3) and anterior gradient homolog 2 (AGR2) as biomarkers for blood-based early detection of breast cancer. PMID: 25875093
- Our findings, for the first time, describe AGR2 as an important regulator in chemical hypoxia-induced doxorubicin resistance in breast cancer cells PMID: 26079208
- Relying on available data and in silico analyses, study shows that AGR2 and AGR3 proteins are co-expressed or uncoupled in context-dependent manners in diverse carcinomas and healthy tissues. PMID: 25666661
- High AGR2/LGR5 was associated with poor progression-free survival by multivariate analysis. PMID: 22605983
- Data define the importance of AGR2 in breast cancer cell growth and highlight a mechanism where changes in FOXA1 activity obviate the need for ER in the regulation of this gene. PMID: 25100862
- Knockdown of anterior gradient 2 expression extenuates tumor-associated phenotypes of SNU-478 ampulla of Vater cancer cells. PMID: 25367337
- AGR2 is a novel marker of papillary thyroid carcinoma. PMID: 24976026
- AGR2 splice variant transcripts are potential diagnostic biomarkers for the non-invasive detection of PCa using urine exosomes. PMID: 25237833
- Expression of anterior gradient 2 is decreased with the progression of human biliary tract cancer. PMID: 25186196
- AGR2 has both intracellular and extracellular effects in the intestine PMID: 25111734
- Anterior gradient 2 downregulation in a subset of pancreatic ductal adenocarcinoma is a prognostic factor indicative of epithelial-mesenchymal transition. PMID: 25418581
- Results indicate that DNA methylation within the AGR2 promoter modulates more aggressive cancer cell phenotypes. PMID: 24920423
- Data demonstrates that AGR2 protein has a more dominant action on proteome remodelling rather than transcriptome effects and highlight a dominant effect on p53 pathway attenuation. PMID: 24710632
- anterior gradient 2 (AGR2) was overexpressed in human Nasopharyngeal carcinoma (NPC) tissues, particularly in cervical lymph node metastatic nasopharyngeal carcinoma. PMID: 24717913
- On the basis of an initial cohort of 37 subjects, urinary AGR2/PSA concentration ratios showed a significant difference (P = 0.026) between noncancer and cancer PMID: 24251762
- These data suggest that AGR-2 influence prostate cancer metastasis by regulation of cellular adhesion and apoptosis. PMID: 24587138
- AGR2-mediated lung adenocarcinoma metastasis novel mechanism network through repression with interferon coupling cytoskeleton to steroid metabolism-dependent humoral immune response. PMID: 24960290
- Increased expression of the AGR2 and ERp57 is associated with cancer. [review] PMID: 24490732
- Data indicate that aberrantly elevated anterior gradient 2 (AGR2) expression predicts poor patient outcome. PMID: 24177142
- AGR2 is frequently lost in colorectal carcinomas and might be a novel independent prognostic factor for overall patient survival. PMID: 24794000
- Prostate cancer biomarkers, AGR2 and CD10, can be used in combination to stratify prostate cancer patients for clinical outcome. PMID: 23348903
- overexpression of AGR2 showed a positive correlation with oral tumor metastasis. PMID: 23834814
顯示更多
收起更多
-
亞細胞定位:Secreted. Endoplasmic reticulum.
-
蛋白家族:AGR family
-
組織特異性:Expressed strongly in trachea, lung, stomach, colon, prostate and small intestine. Expressed weakly in pituitary gland, salivary gland, mammary gland, bladder, appendix, ovary, fetal lung, uterus, pancreas, kidney, fetal kidney, testis, placenta, thyroid
-
數據庫鏈接:
Most popular with customers
-
-
YWHAB Recombinant Monoclonal Antibody
Applications: ELISA, WB, IHC, IF, FC
Species Reactivity: Human, Mouse, Rat
-
Phospho-YAP1 (S127) Recombinant Monoclonal Antibody
Applications: ELISA, WB, IHC
Species Reactivity: Human
-
-
-
-
-















