ADRA1A Antibody
-
中文名稱:ADRA1A兔多克隆抗體
-
貨號:CSB-PA589884
-
規格:¥1100
-
圖片:
-
The image on the left is immunohistochemistry of paraffin-embedded Human thyroid cancer tissue using CSB-PA589884(ADRA1A Antibody) at dilution 1/60, on the right is treated with synthetic peptide. (Original magnification: ×200)
-
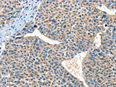
The image on the left is immunohistochemistry of paraffin-embedded Human liver cancer tissue using CSB-PA589884(ADRA1A Antibody) at dilution 1/60, on the right is treated with synthetic peptide. (Original magnification: ×200)
-
Gel: 10%SDS-PAGE, Lysate: 40 μg, Lane 1-2: PC3 cells, Raji cells, Primary antibody: CSB-PA589884(ADRA1A Antibody) at dilution 1/337.5, Secondary antibody: Goat anti rabbit IgG at 1/8000 dilution, Exposure time: 10 seconds
-
-
其他:
產品詳情
-
Uniprot No.:
-
基因名:
-
別名:ADRA1A; ADRA1C; Alpha-1A adrenergic receptor; Alpha-1A adrenoreceptor; Alpha-1A adrenoceptor; Alpha-1C adrenergic receptor; Alpha-adrenergic receptor 1c
-
宿主:Rabbit
-
反應種屬:Human,Mouse,Rat
-
免疫原:Synthetic peptide of Human ADRA1A
-
免疫原種屬:Homo sapiens (Human)
-
標記方式:Non-conjugated
-
抗體亞型:IgG
-
純化方式:Antigen affinity purification
-
濃度:It differs from different batches. Please contact us to confirm it.
-
保存緩沖液:-20°C, pH7.4 PBS, 0.05% NaN3, 40% Glycerol
-
產品提供形式:Liquid
-
應用范圍:ELISA,WB,IHC
-
推薦稀釋比:
Application Recommended Dilution ELISA 1:2000-1:5000 WB 1:200-1:1000 IHC 1:50-1:200 -
Protocols:
-
儲存條件:Upon receipt, store at -20°C or -80°C. Avoid repeated freeze.
-
貨期:Basically, we can dispatch the products out in 1-3 working days after receiving your orders. Delivery time maybe differs from different purchasing way or location, please kindly consult your local distributors for specific delivery time.
-
用途:For Research Use Only. Not for use in diagnostic or therapeutic procedures.
相關產品
靶點詳情
-
功能:This alpha-adrenergic receptor mediates its action by association with G proteins that activate a phosphatidylinositol-calcium second messenger system. Its effect is mediated by G(q) and G(11) proteins. Nuclear ADRA1A-ADRA1B heterooligomers regulate phenylephrine(PE)-stimulated ERK signaling in cardiac myocytes.
-
基因功能參考文獻:
- This study provided proof that SNPs within ADRA1 is significantly associated with the susceptibility to and the prognosis of cervical vertigo, so that NPY and NA might serve as the precise diagnostic marker and treatment target of cervical vertigo. PMID: 29197114
- Our novel data, describing the alpha1A-AR phosphorylation sites, suggest that the observed different phosphorylation patterns may participate in defining adrenoceptor localization and action, under the different conditions examined PMID: 28888989
- The presence of ADRA1A autoantibodies is an independent predictor for aortic stiffness progression in normotensive subjects. PMID: 29097625
- A mutation of rs2322333, located in the intronic and 3'UTR part of the gene ADRA1A in chromosome 8, has a probability of being deleterious the abolition of ELAV-like protein 1 (ELAVL1) binding site rs2695260. SNP rs2322333 in adrenergic receptor alpha1 (ADRA1A) was higher in Chronic Fatigue Syndrome/Myalgic Encephalomyelitis compared with healthy controls PMID: 27835969
- Demonstrate the utility of alpha1 -AR agonists in the treatment of traction alopecia and hair shedding during cosmetic procedures. PMID: 26678522
- Immunoreactivity for ADRA1A was densely distributed in vascular smooth muscle of nasal turbinates. PMID: 26739946
- alpha1A-adrenoceptor subtypes predominantly contributed to human IAS contraction PMID: 25913761
- Data are presented that indicate that Iso represents a novel type of alpha1A-AR partial agonist with signaling bias toward MAPK/ERK signaling cascade that is likely independent of coupling to Galphaq. PMID: 25606852
- Data suggested ADRA1A Arg347Cys polymorphism as susceptibility factor in patients with vasovagal syncope; ArgArg genotype could be a marker for vasovagal syncope susceptibility in the Mexican population PMID: 24548768
- The ADRA1A mutant triggers two distinct EGFR transactivation-dependent signaling pathways: 1) constitutive Gq-independent beta-arrestin-1/Src/MMP/EGFR/ERK-dependent hyperproliferation and 2) agonist-induced Gq- and EGFR/STAT-dependent hypertrophy. PMID: 24835978
- The alpha-AR-induced mydriasis in mice is mediated mainly by the alphaA-AR, with a smaller contribution of the alphaB-AR, matching the relative abundance of these subtypes at the mRNA level. PMID: 25425303
- alpha1-AR expression is greater on nerve fibers in skin affected by complex regional pain syndrome type II (CRPS) than in unaffected skin from the same patient or from pain-free controls. PMID: 24342464
- Adrenergic alpha1A receptor subtypes transactivate epidermal growth factor receptors. PMID: 23902938
- alpha1A-AR, when located in the plasma membrane, signal through calcium and ERK1/2 pathways but, when it translocates to deeper endosomes, continues signaling through ERK1/2 and could also activate the p38 pathway. PMID: 23717684
- Upon receptor activation, prostate alpha1A-adrenoceptors bind clathrin LCA. PMID: 23460120
- Presence of the Arg347 allele in the ADRA1A gene is a risk factor for occurrence of more severe metabolic abnormalities in patients with schizophrenia. PMID: 22037178
- Arg492Cys polymorphism in the alpha(1A) -AR gene was associated with heart rate reactivity to stress in young African Americans. PMID: 22091949
- [review] Altered adrenergic receptor signaling following brain trauma contributes to memory dysfunction. PMID: 21792097
- Data show that elevated levels of matrix metalloproteinase-7 (MMP7) and a disintegrin and metalloproteinase-12 (ADAM12) in alpha(1a)-247R-expressing cells are responsible for EGF receptor (EGFR) transactivation. PMID: 22089237
- Alpha1-adrenoceptor signaling in the human prostate involves regulation of p38 mitogen-activated protein kinase PMID: 21982020
- Data suggest that the endocytic pathway is involved in alpha(1A)-AR-induced ERK1/2 activation, which is independent of G(q)/PLC/PKC signaling. PMID: 21738688
- Study of alpha1-AR subtype expression on both human monocytes and macrophages illustrates a mechanism by which increased interleukin (IL)-1beta production can be modulated by alpha1-AR input. PMID: 21571945
- The mRNA expression of alpha1a-AR subtypes in bladder detrusor and posterior urethra was significantly higher in the inflammation group than in controls. PMID: 21223784
- the rs17055869 SNP near the 3' end of ADRA1A is significantly associated with metabolic syndrome and it may be involved in determining a greater level of sympathetic activation in metabolic syndrome patients PMID: 21519279
- interactions between metal ions and the alpha(1A)-adrenoceptor with affinities compatible with physiological concentrations PMID: 21262225
- Genetic variations in alpha-1A and beta-2 adrenergic receptors (ADRA1A, ADRB2) have been associated with changes in smooth muscle tone in various tissues, and implicated in bronchial hyper-responsiveness, metabolic syndrome, and other disorders. PMID: 19730237
- No association of the polmorphisms Arg492Cys (ADRA1A gene), Ser49Gly and Arg389Gly (ADRB1), Arg16Gly and Gln27Glu (ADRB2), 825C/T (GNB3), -1021C/T (DBH) and S/L (SLC6A4) with both tilt test outcomes and new syncopal episodes was found PMID: 20129829
- This study suggests the rs1048101 single nucleotide polymorphism within the alpha1a-adrenoceptor as one risk factor for the development of CRPS I after the distal radius fracture. PMID: 20173430
- Report a new alpha(1A)AR-CMC-online-HPLC/MS method can be applied for screening active components acting on alpha(1A)AR from traditional Chinese medicines exemplified by Radix Caulophylli. PMID: 20004544
- Our study suggests that the ADRA1A gene is involved in weight gain among schizophrenia patients treated with antipsychotics. PMID: 19918262
- alpha(1A)-adrenoceptor stimulation in androgen-independent prostate cancer cells via caveolae constitutes one of the mechanisms contributing to their protection from thapsigargin-induced apoptosis PMID: 19763272
- the inheritance of polymorphisms in the ADRA2A and ADRA1C genes in 113 nuclear families provided no significant evidence for linkage for these two genes; these genes are not major genetic factors contributing to the susceptibility to GTS PMID: 12707939
- alpha1-ARs play a role in promoting human prostate cancer epithelial cell proliferation via transient receptor potential channels PMID: 12782672
- Candidate gene for benign prostatic hyperplasia. PMID: 15136785
- alpha1A-adrenoceptor structural computer model PMID: 15474515
- alpha(1a)-ARs recycle rapidly by an agonist-independent, constitutive, beta-arrestin-dependent process and that this can transport "alpha-blockers" into cells carrying these receptors. PMID: 15626751
- The N terminus of RGS2 was required for association with alpha1A-ARs and inhibition of signaling, and amino acids Lys219, Ser220, and Arg238 within the alpha1A-AR i3 loop were found to be essential for this interaction PMID: 15917235
- Genetic variations in the ADRA1A gene are significantly associated with essential hypertension in this Chinese population. PMID: 16685204
- mTLD interacts with alpha(1A)-AR directly, alters the subcellular localization of receptor, and influences agonist-induced alpha(1A)-AR internalization and calcium signaling. PMID: 16690783
- The presence of alpha(1A)-adrenoceptors in epididymal smooth muscle and epithelial cells indicates their contribution to smooth muscle contractile responses and a possible role in the activities of the epithelium lining the epididymal duct. PMID: 18351393
- These findings suggest that stimulation of cutaneous alpha(1)-adrenoceptors increased the excitability of heat-sensitized nociceptive afferents. PMID: 18524654
- These data provide evidence for a potential clinical relevance for alpha(1)-AAB in hypertensive patients, and the notion of immunity as a possible cause of hypertension. PMID: 19011682
- Arg347Cys polymorphism is associated with blood pressure phenotypes, in a large sample of Brazilians from an urban population PMID: 19105822
- Administration of an alpha-1A-specific blocker reduced analgesic dosage and colic episodes after shock wave lithotripsy of lower ureteral stones. PMID: 19322003
- strongest signal emerged from SNPs in the promoter region (rs3808585) and in an intron (rs17426222, rs4732682, rs573514) of ADRA1A, all located within the same haplotype block PMID: 19352218
- Arg347Cys polymorphism of alpha1A-adrenoceptor gene is associated with blood pressure response to nifedipine GITS. PMID: 19444285
- The localization of alpha1AAR in lipid rafts directly impacts both basal and activated receptor signaling. PMID: 19520158
- Adrenergic receptor (alpha(1A)-AR, beta(2)-AR, and beta(3)-AR) gene polymorphisms are related to the risk of developing fibromyalgia (FM) and are also linked to different domains of the FM syndrome. PMID: 19565482
顯示更多
收起更多
-
亞細胞定位:Nucleus membrane; Multi-pass membrane protein. Cell membrane; Multi-pass membrane protein. Cytoplasm. Membrane, caveola. Note=Location at the nuclear membrane facilitates heterooligomerization and regulates ERK-mediated signaling in cardiac myocytes. Colocalizes with GNAQ, PLCB1 as well as LAP2 at the nuclear membrane of cardiac myocytes.
-
蛋白家族:G-protein coupled receptor 1 family, Adrenergic receptor subfamily, ADRA1A sub-subfamily
-
組織特異性:Expressed in heart, brain, liver and prostate, but not in kidney, lung, adrenal, aorta and pituitary. Within the prostate, expressed in the apex, base, periurethral and lateral lobe. Isoform 4 is the most abundant isoform expressed in the prostate with hi
-
數據庫鏈接:
Most popular with customers
-
-
YWHAB Recombinant Monoclonal Antibody
Applications: ELISA, WB, IHC, IF, FC
Species Reactivity: Human, Mouse, Rat
-
Phospho-YAP1 (S127) Recombinant Monoclonal Antibody
Applications: ELISA, WB, IHC
Species Reactivity: Human
-
-
-
-
-















