ADD1 Antibody
-
中文名稱:ADD1兔多克隆抗體
-
貨號:CSB-PA985327
-
規格:¥1100
-
圖片:
-
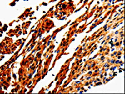
The image is immunohistochemistry of paraffin-embedded Human cervical cancer tissue using CSB-PA985327(ADD1 Antibody) at dilution 1/50. (Original magnification: ×200)
-
The image is immunohistochemistry of paraffin-embedded Human lung cancer tissue using CSB-PA985327(ADD1 Antibody) at dilution 1/50. (Original magnification: ×200)
-
-
其他:
產品詳情
-
Uniprot No.:
-
基因名:ADD1
-
別名:ADD A antibody; ADD1 antibody; ADDA antibody; ADDA_HUMAN antibody; Adducin 1 (alpha) antibody; Alpha adducin antibody; Alpha-adducin antibody; Erythrocyte adducin alpha subunit antibody; Erythrocyte adducin subunit alpha antibody; MGC3339 antibody; MGC44427 antibody; OTTHUMP00000151163 antibody; OTTHUMP00000151164 antibody; OTTHUMP00000151165 antibody; OTTHUMP00000218664 antibody; OTTHUMP00000218665 antibody
-
宿主:Rabbit
-
反應種屬:Human,Mouse,Rat
-
免疫原:Fusion protein of Human ADD1
-
免疫原種屬:Homo sapiens (Human)
-
標記方式:Non-conjugated
-
抗體亞型:IgG
-
純化方式:Antigen affinity purification
-
濃度:It differs from different batches. Please contact us to confirm it.
-
保存緩沖液:-20°C, pH7.4 PBS, 0.05% NaN3, 40% Glycerol
-
產品提供形式:Liquid
-
應用范圍:ELISA,IHC
-
推薦稀釋比:
Application Recommended Dilution ELISA 1:500-1:5000 IHC 1:50-1:200 -
Protocols:
-
儲存條件:Upon receipt, store at -20°C or -80°C. Avoid repeated freeze.
-
貨期:Basically, we can dispatch the products out in 1-3 working days after receiving your orders. Delivery time maybe differs from different purchasing way or location, please kindly consult your local distributors for specific delivery time.
-
用途:For Research Use Only. Not for use in diagnostic or therapeutic procedures.
相關產品
靶點詳情
-
功能:Membrane-cytoskeleton-associated protein that promotes the assembly of the spectrin-actin network. Binds to calmodulin.
-
基因功能參考文獻:
- alpha-adducing SNPs were not associated with bone density among lead workers. PMID: 29028685
- These findings highlight that ADD1 methylation may have a contributing role in the pathogenesis of EH with varying implications for both genders. PMID: 28686109
- The ADD1 Gly460Trp gene polymorphism is significantly and independently associated with Essential Hypertension risk in a Caucasian population from Madeira Island. PMID: 29049185
- ZNF322A overexpression transcriptionally dysregulates genes involved in cell growth and motility therefore contributes to lung tumorigenesis and poor prognosis PMID: 26279304
- ADD1 rs4963 polymorphism showed an increased hypertension risk. PMID: 28040068
- This indicates that ADD1 G460W polymorphism could be an important factor in the pathophysiology of tinnitus. PMID: 27340988
- study shows that the a-adducin G460T polymorphism is associated with essential hypertension PMID: 27349000
- Study shows that ADD1-rs4963 conferred susceptibility to colorectal cancer (CRC) suggesting an association between ADD1 and CRC risk. PMID: 25816007
- The T allele of ADD1 is associated with essential hypertension in Asians. PMID: 26042478
- study of potential effects of interaction between DNA methylation of ADD1 promoter and ADD1 tagSNPs and environmental factors on essential hypertension (EH); results indicate ADD1 SNP rs4961 has a protective role in development of EH; interactions between alcohol consumption and DNA methylation of ADD1 gene promoter have a significant role in modifying EH susceptibility PMID: 25567773
- There were significant differences between the control group and pediatric hypertensive group in terms of ACE I/D (P<0.05) and AGT M235T (P<0.05) polymorphisms, but there were no differences in ADD Gly460Trp (P>0.05) polymorphism. PMID: 25262176
- A significant association was found between ADD1 gene G614T polymorphism and essential hypertension in Chinese patients. Further studies need to be done to confirm these findings in a large sample. PMID: 24718403
- When alpha-adducin complexes with sodium potassium ATPase in astrocytes, non-cell autonomous neurodegeneration is triggered. PMID: 25344630
- Data indicate that adducin promotes adhesion by regulating desmosomes and is part of a protective pathway in pemphigus. PMID: 24711455
- Phosphorylation of ADD1 at Ser12 and Ser355 by cyclin-dependent kinase 1 enables ADD1 to bind to myosin-X (Myo10). PMID: 24379415
- Fnnctional polymorphism in the phosphorylation site of ADD1 (rs4963) may influence the susceptibility of non-cardia gastric cancer. PMID: 23985264
- concentration of AST was inversely correlated with ADD1 CpG2-5 methylation levels in female controls. These observations may bring new hints to elaborate the pathogenesis of essential hypertension PMID: 23691048
- study is the first meta-analysis to evaluate the influences of ACE and ADD1 polymorphisms on blood pressure responses to hydrochlorothiazide to combine the inconsistent results of previous studies PMID: 23863317
- the rs4963 polymorphism within ADD1 gene is associated with essential hypertension in the Chinese population PMID: 23509723
- role of ADD1 gene polymorphism in hypertension PMID: 22810272
- there was no association of ACE and ADD1 gene polymorphism in ischaemic stroke patients PMID: 23540412
- genotype and allele frequencies of ACE and ADD1 polymorphisms were compared between patients and controls as well as between ischemic stroke and ICH PMID: 21194526
- Hypertension-linked mutation of alpha-adducin increases CFTR surface expression and activity in HEK and cultured rat distal convoluted tubule cells. PMID: 23284854
- Variant genotype combinations of ACE and alphaADDUCIN render the hypertensive patient more vulnerable to recurrent intracerebral hemorrhage PMID: 22198647
- genetic variants of the ADD1 and GNB3 genes may have important roles in blood pressure response to the cold pressor test PMID: 22476228
- organization of a spectrin-like cytoskeleton is associated with keratinocyte differentiation, and cytoskeleton disruption is mediated by either PKCdelta(Thr505) phosphorylation associated with phosphorylated adducin or due to reduction of endogenous adducin PMID: 22163289
- The alpha-adducin Gly460Trp gene polymorphism might modulate renal function decline in the Chinese. PMID: 22677360
- Findings support a role for alpha-adducin in memory from nematodes to humans. PMID: 22307086
- Data show that alpha-adducin G460W gene polymorphism was linked to essential hypertension (EH) susceptibility. PMID: 22272309
- Further studies involving siRNA-mediated knockdowns of spectrin, adducin, or p4.1 revealed that those proteins are needed for efficient docking of enterohaemorrhagic Escherichia coli to host cells. PMID: 22197999
- the mechanism for alpha-adducin to shuttle between the cytoplasm and nucleus; a potential role for alpha-adducin in mitosis. PMID: 21736685
- In the studied Russian population G460W polymorphism of ADD1 gene can be considered as predisposition gene to hypertension, but its pathological effect is manifested solely under influence of environmental factors. PMID: 22117679
- Null association of alpha-adducin G460T and GNB3 C825T polymorphisms with hypertension in Chinese, but local marginal significance of C825T, as a putative salt-sensitive switch, in southern Chinese. PMID: 21364877
- this meta-analysis suggests that the Gly460Trp polymorphism might increase the risk of hypertension in Chinese populations, especially in Han Chinese. PMID: 21228790
- ADD1 variant genotypes were not associated with increased risk but in association with ACE DD genotype resulted in significantly higher risk of PSICH. ACE and ADD1 variant genotypes were associated with nonlobar hematoma. PMID: 21339657
- These findings suggest novel roles for adducins in stabilization of epithelial junctions and regulation of junctional remodeling. PMID: 20810786
- Alpha-adducin Gly460Trp polymorphism is associated with hypertension. PMID: 20927398
- Genetic variration in alpha adducion alter renal function and/or vasoreactivity are logical candidates to explain some of the individual variability in the blood pressure response to exercise. PMID: 20929695
- Although the effect of both genetic variants on CIMT was small, this study showed a statistically significant effect of AGTR1 and ADD1 in women PMID: 19620885
- The alpha-adducin gene G460W polymorphism was not associated with hypertension in either a case-control study of essential hypertension in Shangha residents or in a meta-analysis of all reports in English. PMID: 19960031
- ALPHA AND BETA ADDUCIN POLYMORPHISMS AFFECT DECLINE OF RENAL FUNCTION IN HUMAN IGA NEPHROPATHY. PMID: 19838659
- Alpha-adducin Gly460Trp polymorphism is associated with salt-sensitivity. PMID: 20145305
- The alpha-adducin G614T polymorphism is associated with the antihypertensive effect of hydrochlorothiazide. PMID: 16266470
- effects of environmental, demographic, & genetic factors & their interactions to SBP response to antihypertensive drugs, explained 23% of the total variance. Ethnicity, low sodium intake, & ADD1 614G-->T polymorphism were the only drug-related predictors PMID: 19779464
- Role of the alpha-adducin genotype on renal disease progression. PMID: 11918733
- interaction between diuretic therapy and the adducin variant on the incidence of myocardial infarction and stroke PMID: 11926892
- ADD1 460W allele associated with cardiovascular disease in hypertensive individuals PMID: 12052841
- Blood pressure in patients with primary aldosteronism is influenced by alpha-adducin gene polymorphisms. PMID: 12107246
- Carotid and femoral intima-media thickness were assessed in subjects genotyped for the presence of the ACE D, aldosterone synthase -344T and alpha-adducin 460Trp alleles. PMID: 12172317
- Patients homozygous for the allele of that polymorphism had a LV mass index significantly higher compared with heterozygotes or homozygotes. These subjects also have significantly lower plasma renin activity. PMID: 12195118
顯示更多
收起更多
-
亞細胞定位:Cytoplasm, cytoskeleton. Cell membrane; Peripheral membrane protein; Cytoplasmic side.
-
蛋白家族:Aldolase class II family, Adducin subfamily
-
組織特異性:Expressed in all tissues. Found in much higher levels in reticulocytes than the beta subunit.
-
數據庫鏈接:
Most popular with customers
-
-
YWHAB Recombinant Monoclonal Antibody
Applications: ELISA, WB, IHC, IF, FC
Species Reactivity: Human, Mouse, Rat
-
Phospho-YAP1 (S127) Recombinant Monoclonal Antibody
Applications: ELISA, WB, IHC
Species Reactivity: Human
-
-
-
-
-















