ADAMTS13 Antibody
-
中文名稱:ADAMTS13兔多克隆抗體
-
貨號:CSB-PA001301LA01HU
-
規格:¥440
-
圖片:
-
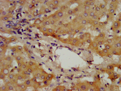
IHC image of CSB-PA001301LA01HU diluted at 1:400 and staining in paraffin-embedded human liver tissue performed on a Leica BondTM system. After dewaxing and hydration, antigen retrieval was mediated by high pressure in a citrate buffer (pH 6.0). Section was blocked with 10% normal goat serum 30min at RT. Then primary antibody (1% BSA) was incubated at 4°C overnight. The primary is detected by a biotinylated secondary antibody and visualized using an HRP conjugated SP system.
-
-
其他:
產品詳情
-
產品名稱:Rabbit anti-Homo sapiens (Human) ADAMTS13 Polyclonal antibody
-
Uniprot No.:
-
基因名:
-
別名:A disintegrin and metalloproteinase with thrombospondin motifs 13 antibody; A disintegrin like and metalloprotease (reprolysin type) with thrombospondin type 1 motif 13 antibody; A disintegrin like and metalloprotease with thrombospondin type 1 motif 13 antibody; ADAM metallopeptidase with thrombospondin type 1 motif 13 antibody; ADAM TS antibody; ADAM-TS 13 antibody; ADAM-TS13 antibody; ADAMTS 13 antibody; ADAMTS-13 antibody; ADAMTS13 antibody; ADAMTS13 protein antibody; ATS13_HUMAN antibody; C9orf8 antibody; TTP antibody; Von Willebrand factor cleaving protease antibody; von Willebrand factor-cleaving protease antibody; vWF cleaving protease antibody; vWF CP antibody; vWF-cleaving protease antibody; vWF-CP antibody; vWFCP antibody
-
宿主:Rabbit
-
反應種屬:Human
-
免疫原:Recombinant Human A disintegrin and metalloproteinase with thrombospondin motifs 13 protein (738-905AA)
-
免疫原種屬:Homo sapiens (Human)
-
標記方式:Non-conjugated
本頁面中的產品,ADAMTS13 Antibody (CSB-PA001301LA01HU),的標記方式是Non-conjugated。對于ADAMTS13 Antibody,我們還提供其他標記。見下表:
-
克隆類型:Polyclonal
-
抗體亞型:IgG
-
純化方式:>95%, Protein G purified
-
濃度:It differs from different batches. Please contact us to confirm it.
-
保存緩沖液:Preservative: 0.03% Proclin 300
Constituents: 50% Glycerol, 0.01M PBS, pH 7.4 -
產品提供形式:Liquid
-
應用范圍:ELISA, IHC
-
推薦稀釋比:
Application Recommended Dilution IHC 1:200-1:500 -
Protocols:
-
儲存條件:Upon receipt, store at -20°C or -80°C. Avoid repeated freeze.
-
貨期:Basically, we can dispatch the products out in 1-3 working days after receiving your orders. Delivery time maybe differs from different purchasing way or location, please kindly consult your local distributors for specific delivery time.
-
用途:For Research Use Only. Not for use in diagnostic or therapeutic procedures.
相關產品
靶點詳情
-
功能:Cleaves the vWF multimers in plasma into smaller forms thereby controlling vWF-mediated platelet thrombus formation.
-
基因功能參考文獻:
- acute myeloid leukemia patients with low activity of ADAMTS-13 had worse prognosis after bone morrow transplantation. PMID: 30322352
- The Plasma Levels of ADAMTS-13, von Willebrand Factor, VWFpp, and Fibrin-Related Markers in Patients With Systemic Sclerosis Having Thrombosis PMID: 29130325
- The aim of the study was to investigate the role of von Willebrand factor (vWF), the vWF-cleaving protease, ADAMTS13, the composition of thrombus, and patient outcome following mechanical cerebral artery thrombectomy in patients with acute ischemic stroke. PMID: 29887594
- ADAMTS 1, 4, 12, and 13 levels in the maternal and cord blood were lower in the preeclampsia group than in the control group. ADAMTS 1, 4, and 12 levels in placental tissues were higher in the preeclampsia group. PMID: 29135310
- Decreased ADAMTS-13 activity was found in patients with proliferative lupus nephritis, and plasma ADAMTS-13 activity was closely associated with renal injury indices. PMID: 28786769
- These results suggest that highly elevated plasma VWF might accelerate platelet thrombus formation not only in the circulation but also on the surface of vascular endothelial cells in the setting of ADAMTS13 deficiency in Upshaw-Schulman syndrome. PMID: 29040872
- Prothrombotic state and systemic inflammation status might contribute to explaining the high incidence of concealed chronic renal failure in COPD, and plasma ADAMTS-13 levels may serve as a strong predictor. PMID: 29255356
- VWF, GMP-140, ADAMTS13 and the cerebral vasospasm, delayed cerebral ischemia, tumor diameter and prognosis of aneurysmal subarachnoid hemorrhage patients are closely related PMID: 29077161
- The levels of ADAMTS13 among neonates were higher as compared with healthy adults, despite a significant elevation of VWF antigen (Ag) and Ristocetin cofactor (RiCof) noted in all neonates. PMID: 28087247
- investigated the roles of ADAMTS13 and VWF in thrombotic events of patients with Connective Tissue Diseases PMID: 26759371
- Studied the significance of the von Willebrand factor (VWF)/ ADAMTS-13 ratio in advanced non-small-cell lung cancer (NSCLC). Findings suggest that the imbalance between VWF secretion and ADAMTS-13 may play a role in the hypercoagulability state in advanced NSCLC, and increase of the plasma VWF/ADAMTS-13 ratio may serve as an independent predictive factor for mortality in patients with advanced NSCLC. PMID: 28374895
- vaso-occlusive crisis in sickle cell disease is associated with increased reactivity of VWF, without a pronounced ADAMTS-13 deficiency PMID: 28457019
- The endogenous plasmin activation alone is not sufficient to cause Thrombotic thrombocytopenic purpura (TTP), but plasmin activation with ADAMTS13 deficiency might increase the risk of TTP onset. PMID: 29228282
- the N-linked glycans of ADAMTS-13 play a crucial role in regulating ADAMTS-13 activity PMID: 28370891
- Complex VWF-ADAMTS13-mediated mechanisms disturb haemostasis in inflammatory bowel disease. PMID: 28765701
- Missense variant in ADAMTS13 gene in a patient with NCIPH decreases secretion and activity of ADAMTS13 protein. PMID: 28980147
- Deficiency of the von Willebrand factor-cleaving protease ADAMTS13 is central to the pathophysiology of thrombotic thrombocytopenic purpura. Reviewed is the evidence emerged from epidemiological studies of an inverse relationship between the plasma levels of ADAMTS13 and the risk of acute coronary syndrome. [review] PMID: 28521259
- Data indicate that in cultured endothelial cells, one role of endogenous ADAMTS-13 is regulation of angiogenesis, mediated through VEGF and AKT signaling pathway. PMID: 28546076
- ADAMTS13 haplotype had an independent protective effect on CAD and genetic variation of vWF V1565L polymorphism modulates ADAMTS13 activity. PMID: 27536857
- The relative deficiency of plasma ADAMTS13 activity in subarachnoid haemorrhage patients may associate with worse outcome. PMID: 28102428
- Low ADAMTS13 was associated with increased mortality in patients with severe sepsis and septic shock and was comparable to APACHE II scores for predicting mortality. PMID: 28447577
- These observations support the hypothesis that a significantly reduced ADAMTS13/VWF ratio in the coronary artery flow plays a pathogenic role in acute coronary syndromes (ACS) and suggest that transition from laminar to turbulent flow at sites of coronary stenosis further enhances VWF activation and deposition. PMID: 27034431
- Low ADAMTS-13 activity is associated with an increased risk of coronary heart disease in the elderly, independently of VWF and established cardiovascular risk factors PMID: 27559008
- As folding stability was progressively disrupted, proteolysis by ADAMTS13 increased. Due to the range of folding stabilities and wide distribution of VWF A2 domain mutations studied, we conclude that these mutations disrupt regulated folding of the VWF A2 domain PMID: 29186156
- The 'closed' conformation of ADAMTS-13 restricts its specificity and protects against fibrinogenolysis PMID: 27514025
- Our results indicate that the secondary TMA syndrome and its poor outcome is characterized by relative ADAMTS13 deficiency, inflammation, and complement activation with consumption via the classical and alternative pathways. PMID: 27771173
- Diagnosis of thrombotic thrombocytopenic purpura among patients with ADAMTS13 Activity 10%-20. PMID: 28815685
- Rare genetic variants in the ADAMTS13 on Willebrand factor-binding domain contribute to pediatric stroke. PMID: 27412500
- No correlation was found between VWF/ADAMTS13 and infarct size in patients. Patients suffering from intramyocardial hemorrhage had significantly higher VWF activity and lower ADAMTS13 activity. Intracoronary administration of rADAMTS13 did not decrease infarct size or IMH in a porcine model of myocardial ischaemia-reperfusion, disputing the idea that the imbalance in ADAMTS13 and VWF as the cause of no reflow. PMID: 27174213
- both in acute and chronic cerebrovascular disease patients, ADAMTS13 levels were significantly decreased, with the lowest ADAMTS13 levels found in acute stroke patients. This difference was even more distinct when the ratio of VWF:ADAMTS13 was considered. These results demonstrate the potentially important involvement of the VWF/ADAMTS13 axis in ischemic stroke. PMID: 28591212
- Placental trophoblasts and villous vessel endothelial cells produce a full-length and functional ADAMTS13 protease. Placental expression of ADAMTS13 exhibits a dynamic change during pregnancy, which seems to be inhibited in late pregnancy and in patients with severe preeclampsia. PMID: 28751574
- ADAMTS13 activity appears to be an independent risk factor for incident prediabetes and type 2 diabetes. PMID: 27787621
- both anti-ADAMTS13 IgG antibody and ADAMTS13 antigen levels correlate with outcome in thrombotic thrombocytopenic purpura with increased cardiac and neurological involvement and increased mortality. PMID: 28576877
- Low ADAMTS-13 levels correlated with high levels of NTproBNP but had no independent prognostic significance. In conclusion, high VWF:Ag levels, probably representing endothelial dysfunction, are associated with prognosis in patients with AL amyloidosis, independently of other features of the disease or cardiac biomarkers. PMID: 27166361
- findings highlight the complexity of glycan modifications on ADAMTS13, which may have implications for its interaction with immune- or clearance receptors containing carbohydrate recognition domains. PMID: 27574189
- ADAMTS-13 levels are decreased in plasma of AML patients and the level of ADAMTS-13 is related to inflammation and infection of AML patients. Besides, low ADAMTS-13 level is one potential risk factor for AML PMID: 28033504
- these results demonstrate that HNPs1-3 may be potent inhibitors of ADAMTS13 activity, likely by binding to the central A2 domain of VWF and physically blocking ADAMTS13 binding. PMID: 27207796
- Three Single Nucleotide Variants (p.Val154Ile, p.Asp187His and p.Arg421Cys) showed reduced ex vivo and in vitro ADAMTS13 levels. However, the low frequency of these variants makes it difficult to confirm their association with Deep Vein Thrombosis. PMID: 27802307
- ADAMTS13 activity and VWF:Ag levels are both associated with an increased risk of all-cause and cardiovascular mortality. PMID: 27737864
- These findings support an ADAMTS13 activation model in which VWF D4-CK engages the TSP8-CUB2 domains, inducing the conformational change that disrupts the CUB1-spacer domain interaction and thereby activates ADAMTS13 PMID: 28209710
- Three cases of systemic lupus erythematosus with ADAMTS13 inhibitor-negative thrombotic microangiopathy were successfully treated with combination of mycophenolate mofetil, plasma exchange and steroid. [case reports] PMID: 27416846
- The pregnancy loss rate does not appear to be affected by both ADAMTS-13 and ADAMTS-19. PMID: 28088271
- Two novel ADAMTS13 mutations (p.I143T and p.Y570C) identified in two adolescence onset congenital thrombotic thrombocytopenic purpura patients were studied. Proteasome degradation of these ADAMTS13 mutants contributed to their reduced secretion. PMID: 27665541
- Correlation between ADAMTS13 activity and neurological impairment in acute thrombotic microangiopathy patients. PMID: 27379499
- review to introduce the state of progress with respect to some of the theorized roles of ADAMTS13[review] PMID: 27696191
- IL-8, TNF-alpha, tissue factor, IL-8+tissue factor and TNF-alpha+tissue factor decreased the levels of ADAMTS13 secreted by umbilical vein endothelial cells. PMID: 27766025
- Significantly lower ADAMTS-13 levels and significantly higher VWF antigen levels were concluded to be the result of a pathological process rather than an etiological factor for Venous thromboembolism. PMID: 26872106
- ADAMTS13 and VWF are co-expressed in microvascular endothelial cells. PMID: 26366828
- ADAMTS13-a disintegrin-like metalloproteinase with thrombospondin motif type 1 member 13-regulates a key physiological process of coagulation in the circulation by cleaving VWF multimers into small, inactive fragments. Low levels of ADAMTS13 in the blood may play a role in cardiovascular and hematological disorders, and clarifying its role may help improve disease management. PMID: 27746209
- ADAMTS13 activity, d-Dimer and cystatin C are associated with retinopathy in type 1 diabetic patients and are promising biomarkers for the diagnosis and monitoring of diabetic retinopathy PMID: 27208743
顯示更多
收起更多
-
相關疾病:Thrombotic thrombocytopenic purpura congenital (TTP)
-
亞細胞定位:Secreted. Note=Secretion enhanced by O-fucosylation of TSP type-1 repeats.
-
組織特異性:Plasma. Expressed primarily in liver.
-
數據庫鏈接:
Most popular with customers
-
-
YWHAB Recombinant Monoclonal Antibody
Applications: ELISA, WB, IHC, IF, FC
Species Reactivity: Human, Mouse, Rat
-
Phospho-YAP1 (S127) Recombinant Monoclonal Antibody
Applications: ELISA, WB, IHC
Species Reactivity: Human
-
-
-
-
-















