ADAM33 Antibody
-
中文名稱:ADAM33兔多克隆抗體
-
貨號:CSB-PA861182ESR2HU
-
規格:¥440
-
圖片:
-
Western blot
All lanes: ADAM33 antibody at 4μg/ml + NIH/3T3 whole cell lysate
Secondary
Goat polyclonal to rabbit IgG at 1/10000 dilution
Predicted band size: 88, 85, 33 kDa
Observed band size: 88 kDa -
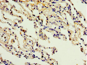
Immunohistochemistry of paraffin-embedded human lung tissue using CSB-PA861182ESR2HU at dilution of 1:100
-
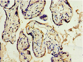
Immunohistochemistry of paraffin-embedded human placenta tissue using CSB-PA861182ESR2HU at dilution of 1:100
-
-
其他:
產品詳情
-
產品名稱:Rabbit anti-Homo sapiens (Human) ADAM33 Polyclonal antibody
-
Uniprot No.:
-
基因名:ADAM33
-
別名:A disintegrin and metalloprotease 33 antibody; A disintegrin and metalloproteinase domain 33 antibody; ADA33_HUMAN antibody; ADAM 33 antibody; ADAM metallopeptidase domain 33 antibody; ADAM33 antibody; C20orf153 antibody; Disintegrin and metalloproteinase domain-containing protein 33 antibody; Disintegrin and reprolysin metalloproteinase family protein antibody; DJ964F7.1 antibody; DKFZp434K0521 antibody; FLJ35308 antibody; FLJ36751 antibody; Metalloprotease disintegrin antibody; MGC149823 antibody; MGC71889 antibody; PRO1891 antibody; UNQ873 antibody
-
宿主:Rabbit
-
反應種屬:Human
-
免疫原:Recombinant Human Disintegrin and metalloproteinase domain-containing protein 33 protein (140-420AA)
-
免疫原種屬:Homo sapiens (Human)
-
標記方式:Non-conjugated
-
克隆類型:Polyclonal
-
抗體亞型:IgG
-
純化方式:Antigen Affinity Purified
-
濃度:It differs from different batches. Please contact us to confirm it.
-
保存緩沖液:PBS with 0.02% sodium azide, 50% glycerol, pH7.3.
-
產品提供形式:Liquid
-
應用范圍:ELISA, WB, IHC
-
推薦稀釋比:
Application Recommended Dilution WB 1:500-1:2000 IHC 1:20-1:200 -
Protocols:
-
儲存條件:Upon receipt, store at -20°C or -80°C. Avoid repeated freeze.
-
貨期:Basically, we can dispatch the products out in 1-3 working days after receiving your orders. Delivery time maybe differs from different purchasing way or location, please kindly consult your local distributors for specific delivery time.
-
用途:For Research Use Only. Not for use in diagnostic or therapeutic procedures.
相關產品
靶點詳情
-
基因功能參考文獻:
- This study suggests that metabolites of phthalate such as MEHHP, MECPP, MEOHP and Sigma4MEHP may increase the intron 1 methylation level to elevate ADAM33 gene expression and have a protective effect on reducing the risk of breast cancer. PMID: 30226539
- There was no significant difference in ADAM33 genotype and allele distributions between psoriasis and control groups (p > 0.05). CONCLUSIONS: ADAM33 V4 C/G rs2787094 polymorphism was not associated with psoriasis risk in the Turkish population. PMID: 30160137
- A lower level of ADAM33 was also correlated with shorter overall survival and metastasis-free survival and was considered an independent prognostic factor suggesting that ADAM33 is a novel molecular biomarker of Triple-negative breast cancer and basal-like phenotype that might be useful as a prognostic factor. PMID: 28294120
- IL4RA and ADAM33 variants may be risk markers of asthma exacerbations in type-2 inflammatory endotype. Precise endotyping may facilitate the identification of genetic risk markers of asthma exacerbations. PMID: 28326636
- Collectively, our findings suggest that 1,25(OH)2D3 inhibits VEGF-induced ASM cell proliferation by suppressing VEGFR2 and ERK1/2 activation and downregulating ADAM33. Further studies of these mechanisms are needed to facilitate the development of treatments for smooth muscle hyperplasia-associated diseases of the airway such as asthma. PMID: 28056993
- meta-analysis suggested that ADAM33 polymorphisms rs2280091, rs2280090, rs2787094, rs44707 and rs528557 were significantly associated with a high risk of childhood asthma PMID: 28876365
- There was a significant difference in the frequency of ADAM33 V4 polymorphism in both, asthmatic and COPD patients groups. No significant differences were found for T1 polymorphism. However, there were significant differences when haplotypes and diplotypes of ADAM33 V4/T1 were compared in all three groups. It can be concluded that the polymorphism V4 of ADAM33 is associated with asthma or COPD in Venezuelan patients. PMID: 28429897
- Evidence from this meta-analysis demonstrates that ADAM33 T1 polymorphism might be associated with increased susceptibility to asthma among Asian children and that ADAM33 F + 1, T2, S2, or V4 polymorphism may be unrelated to susceptibility of childhood asthma. PMID: 28285393
- enhances ADAM-33 expression and airway smooth muscle cell proliferation PMID: 27579513
- An association between ADAM33 gene polymorphism and impaired lung functions was detected in wood dust-exposed workers. PMID: 26500222
- This meta-analysis demonstrates that the ADAM33 gene polymorphisms confer susceptibility to allergic rhinitis PMID: 26619918
- findings suggest that genetic variants of ADAM33 gene may play important roles in asthma susceptibility in the Punjabi population of Pakistan PMID: 26666372
- We investigated the influence of ADAM33 polymorphisms on the serum levels of ADAM33 and the susceptibility to pediatric asthma in the Chinese Han population PMID: 26291893
- ADAM33 and ADAM12 genetic polymorphisms and their expression in Egyptian children with asthma PMID: 26553447
- the ADAM33 T1, T2, S1, Q-1, F+1 and ST+5 six locus polymorphisms association with the risk of COPD. PMID: 25280544
- a compromised ADAM33 gene may be implicated in the progression of wheeze into childhood asthma PMID: 25768087
- Our results suggest that the ADAM33 V4 polymorphism increases the risk of asthma. PMID: 25730038
- the intima+media of IPAH vessels, collagens (COL4A5, COL14A1, and COL18A1), matrix metalloproteinase (MMP) 19, and a disintegrin and metalloprotease (ADAM) 33 were higher expressed, whereas MMP10, ADAM17, TIMP1, and TIMP3 were less abundant. PMID: 25840998
- The results of this study suggest that these proteins play important roles in pulmonary inflammatory reactions elicited against etiological viral agents. PMID: 25453333
- Association between ADAM33 polymorphisms and susceptibility with adult and childhood asthma among Jordanians. PMID: 25313536
- ADAM33 was involved in the pathogenesis of chronic obstructive pulmonary disease in an East Asian population by affecting airway inflammation and immune response. PMID: 25369941
- A significant association was found between the T1 ADAM33 polymorphism and chronic obstructive pulmonary disease in the Chinese population in both dominant and recessive models, with no association with S2 ADAM33 polymorphism. (Meta-analysis) PMID: 25158257
- ADAM33 haplotypes (a1, a2, a3) are associated with severity of airway hyperreactivity and are significantly more often transmitted in the paternal line PMID: 23640030
- The proteins identified in this study were enriched for various mechanisms that are involved in airway hyperresponsiveness, and through the interaction with ADAM33, they may have potential relevance in asthma. PMID: 25155083
- ADAM33 rs628977G>A was marginally associated with a decreased risk of idiopathic pulmonary fibrosis in a recessive model. PMID: 24728305
- Apparently, the investigated polymorphisms of VDBP, MMP1, ADAM33, and IL8 contribute to the genetic susceptibility to chronic bronchitis induced by dust and toxic agents. PMID: 25739290
- Results suggest that polymorphisms T1, T2, and V4 in ADAM33 may contribute to the susceptibility to asthma. PMID: 25036518
- Our data suggest that the ADAM33 polymorphisms may be associated with Psoriasis in the northeastern Chinese population PMID: 24562625
- ADAM33 S1 polymorphism is a risk factor for COPD among the Chinese and smoking populations, and that Q-1 polymorphism is a risk factor for COPD among the overall populations. PMID: 24422987
- Polymorphisms in the ADAM33 gene may contribute to susceptibility of mite-sensitized persistent allergic rhinitis in the Chinese population. PMID: 24751681
- A meta-analysis suggests that the ADAM33 rs528557 C>G polymorphism may contribute to susceptibility to asthma. PMID: 25068505
- Meta-analysis suggested that S1 (rs3918396) polymorhism of ADAM33 is associated with increased risk of COPD in Asian (China) but not in Caucasians. PMID: 23902466
- Seven single nucleotide polymorphisms (SNPs) in ADAM33 were associated with chronic obstructive pulmonary disease in the Mongolian population of China. Even after Bonferroni correction, SNPs S2, S1, Q-1 and F+1 remained significant. PMID: 24191661
- ADAM33 polymorphisms are correlated with asthma and may be the underlying genetic basis of the association between asthma and palm dermatoglyphic patterns. PMID: 24141861
- ADAM33 is a pleiotropic gene that is associated with all-cause, chronic obstructive pulmonary disease, and cardiovascular mortality, independent of potential confounders. PMID: 23861802
- Single nucleotide polymorphisms in ADAM33 gene is associated with the risk of adult glioma. PMID: 23525950
- A higher expression of ADAM33 protein was seen in asthma patients compared to controls. PMID: 23640557
- The polymorphisms in the ADAM33 gene are associated with susceptibility to allergic rhinitis in the Jordanian population. PMID: 24035932
- Genetic polymorphism in the IL-4 promoter, ADRbeta2, and ADAM33 is associated with asthma. PMID: 23245479
- association of 11 SNPs of the ADAM33 and 6 of the STAT6 and their haplotypes with IgE levels and asthma PMID: 22660217
- This meta-analysis indicates that the rs2280091, rs2787094, rs511898, rs2280090, and rs2280089 polymorphisms in the ADAM33 gene are risk factors for asthma, especially in the Asian population. PMID: 23380143
- The single nucleotide polymorphisms (F+1 C/T, T2 G/A and V4 C/G) of the ADAM33 gene may be the causal variants in asthma disease. PMID: 21689380
- Experiments showed that the 14 CpG sites in exon 9 of the ADAM33 gene were highly methylated (100%) in all individuals with asthma. PMID: 23257708
- The ADAM33 ST+4 polymorphism is associated with asthma in Asians.[meta-analysis] PMID: 23612257
- Consistent interaction between genetic variants and environmental tobacco exposures was for ADAM33 SNP rs512625 in relation to asthma severity in asthmatic children. PMID: 23331525
- ADAM33 SNP rs612709 and the CCGGAAGA haplotype may be associated with asthma. Smoking may modify the associations between SNPs rs628977 and rs528557 and asthma. PMID: 22583515
- This meta-analysis demonstrates that the ADAM33 T1 polymorphism confers susceptibility to asthma in Asians, but no association was found between the ADAM33 T2 and ST+7 polymorphisms and asthma susceptibility. PMID: 22851202
- SNPs, T+1, S+1 and V - 3 do not individually confer any significant risk of asthma or its severity, but haplotype analysis suggests all three polymorphisms together play an important role in the disease of asthma PMID: 22989201
- ADAM33 polymorphisms, but not S1 or ST+4, were significantly associated with asthma development in Saudi children, like those reported for white and Hispanic populations in the United States PMID: 22871616
- 1,25-(OH)(2)D(3) has a direct inhibitory effect on passively sensitized human airway smooth muscle cells in vitro, including the inhibition of cell proliferation and the expressions of MMP-9 and ADAM33. PMID: 21781516
顯示更多
收起更多
-
相關疾病:Asthma (ASTHMA)
-
亞細胞定位:Membrane; Single-pass type I membrane protein.
-
組織特異性:Expressed in all tissues, except liver, with high expression in placenta, lung, spleen and veins.
-
數據庫鏈接:
Most popular with customers
-
-
YWHAB Recombinant Monoclonal Antibody
Applications: ELISA, WB, IHC, IF, FC
Species Reactivity: Human, Mouse, Rat
-
Phospho-YAP1 (S127) Recombinant Monoclonal Antibody
Applications: ELISA, WB, IHC
Species Reactivity: Human
-
-
-
-
-















