ADAM23 Antibody
-
中文名稱:ADAM23兔多克隆抗體
-
貨號:CSB-PA001285LA01HU
-
規格:¥440
-
圖片:
-
Western Blot
Positive WB detected in: Hela whole cell lysate
All lanes: ADAM23 antibody at 3.2µg/ml
Secondary
Goat polyclonal to rabbit IgG at 1/50000 dilution
Predicted band size: 92, 93 kDa
Observed band size: 92 kDa -
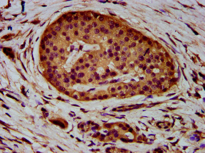
IHC image of CSB-PA001285LA01HU diluted at 1:400 and staining in paraffin-embedded human liver cancer performed on a Leica BondTM system. After dewaxing and hydration, antigen retrieval was mediated by high pressure in a citrate buffer (pH 6.0). Section was blocked with 10% normal goat serum 30min at RT. Then primary antibody (1% BSA) was incubated at 4°C overnight. The primary is detected by a biotinylated secondary antibody and visualized using an HRP conjugated SP system.
-
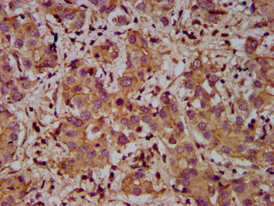
IHC image of CSB-PA001285LA01HU diluted at 1:400 and staining in paraffin-embedded human pancreatic cancer performed on a Leica BondTM system. After dewaxing and hydration, antigen retrieval was mediated by high pressure in a citrate buffer (pH 6.0). Section was blocked with 10% normal goat serum 30min at RT. Then primary antibody (1% BSA) was incubated at 4°C overnight. The primary is detected by a biotinylated secondary antibody and visualized using an HRP conjugated SP system.
-
Immunofluorescence staining of 293 cells with CSB-PA001285LA01HU at 1:133, counter-stained with DAPI. The cells were fixed in 4% formaldehyde, permeabilized using 0.2% Triton X-100 and blocked in 10% normal Goat Serum. The cells were then incubated with the antibody overnight at 4°C. The secondary antibody was Alexa Fluor 488-congugated AffiniPure Goat Anti-Rabbit IgG(H+L).
-
-
其他:
產品詳情
-
產品名稱:Rabbit anti-Homo sapiens (Human) ADAM23 Polyclonal antibody
-
Uniprot No.:
-
基因名:ADAM23
-
別名:ADAM23; MDC3; Disintegrin and metalloproteinase domain-containing protein 23; ADAM 23; Metalloproteinase-like, disintegrin-like, and cysteine-rich protein 3; MDC-3
-
宿主:Rabbit
-
反應種屬:Human
-
免疫原:Recombinant Human Disintegrin and metalloproteinase domain-containing protein 23 protein (498-647AA)
-
免疫原種屬:Homo sapiens (Human)
-
標記方式:Non-conjugated
本頁面中的產品,ADAM23 Antibody (CSB-PA001285LA01HU),的標記方式是Non-conjugated。對于ADAM23 Antibody,我們還提供其他標記。見下表:
-
克隆類型:Polyclonal
-
抗體亞型:IgG
-
純化方式:>95%, Protein G purified
-
濃度:It differs from different batches. Please contact us to confirm it.
-
保存緩沖液:Preservative: 0.03% Proclin 300
Constituents: 50% Glycerol, 0.01M PBS, pH 7.4 -
產品提供形式:Liquid
-
應用范圍:ELISA, WB, IHC, IF
-
推薦稀釋比:
Application Recommended Dilution WB 1:500-1:5000 IHC 1:200-1:500 IF 1:50-1:200 -
Protocols:
-
儲存條件:Upon receipt, store at -20°C or -80°C. Avoid repeated freeze.
-
貨期:Basically, we can dispatch the products out in 1-3 working days after receiving your orders. Delivery time maybe differs from different purchasing way or location, please kindly consult your local distributors for specific delivery time.
-
用途:For Research Use Only. Not for use in diagnostic or therapeutic procedures.
相關產品
靶點詳情
-
功能:May play a role in cell-cell and cell-matrix interactions. This is a non-catalytic metalloprotease-like protein.
-
基因功能參考文獻:
- The relationships between the decreased methylation levels of the SNAI2 and ADAM23 genes and cancer de-differentiation and haematogenous dissemination, respectively, indicate novel functions of those genes in the invasive processes. PMID: 30189837
- Our results demonstrate that ADAM23 expression is likely involved in the progression of epithelial ovarian cancer PMID: 29921495
- ADAM23 regulates neuronal differentiation by triggering specific signaling pathways during human neural progenitor cells differentiation. PMID: 28828010
- these results support the existence of a second mechanism, alternative to inhibition of protein secretion, by which ADLTE-causing LGI1 mutations exert their loss-of-function effect extracellularly, and suggest that interactions of LGI1 with both ADAM22 and ADAM23 play an important role in the molecular mechanisms leading to utosomal dominant lateral temporal epilepsy PMID: 27760137
- Our data provide evidence that ADAM23 plays a role in suppression of cancer cell progression through interaction with aVb3 integrin, and suggest that downregulation of ADAM23 in SP cells may contribute toward providing a cancer stem cell phenotype PMID: 26800504
- High ADAM23 gene methylation is associated with gastric tumor aggressiveness. PMID: 25740824
- quantification of CXCL12 and ADAM23 methylation could be useful for the prediction of advanced stage of BC PMID: 25620615
- Intratumoral heterogeneity of ADAM23 promotes tumor growth and metastasis through LGI4 and nitric oxide signals. PMID: 24662834
- The expression level of ADAM23 is likely to be involved in the progression of non-small-cell lung carcinoma, and its downregulation is probably correlated with promoter methylation. PMID: 21429053
- a SP1 binding site (-202/-190) that binds SP1 at the proximal promoter of human ADAM23 gene was indentified. PMID: 20851106
- Together, these results indicate that ADAM23 down-regulation by methylation in brain tumors is a rare event and it may help explain why brain tumor metastases are rarely found elsewhere in the body. PMID: 15862898
- ADAM23 is frequently silenced in gastric cancers by homozygous deletion or aberrant promoter methylation. PMID: 16103878
- ADAM23 may be down-regulated by aberrant promoter hypermethylation during the progression of colorectal cancer. PMID: 19089928
- PrP(C) is a novel molecular partner for ADAM23 in the nervous systems. PMID: 19477226
- Functional role of ADAM23 during lung caner metastatic progression by negatively modulating alpha(v)beta(3) integrin activation. PMID: 19549921
顯示更多
收起更多
-
亞細胞定位:Cell membrane; Single-pass type I membrane protein.; [Isoform Gamma]: Secreted.
-
組織特異性:Highly expressed in the brain and weakly expressed in the heart. In the brain, expressed prominently in the amygdala, caudate nucleus, hypothalamus, thalamus, cerebral cortex and occipital pole.
-
數據庫鏈接:
Most popular with customers
-
-
YWHAB Recombinant Monoclonal Antibody
Applications: ELISA, WB, IHC, IF, FC
Species Reactivity: Human, Mouse, Rat
-
Phospho-YAP1 (S127) Recombinant Monoclonal Antibody
Applications: ELISA, WB, IHC
Species Reactivity: Human
-
-
-
-
-















