-
中文名稱:ADAM10兔多克隆抗體
-
貨號:CSB-PA909378
-
規格:¥1100
-
圖片:
-
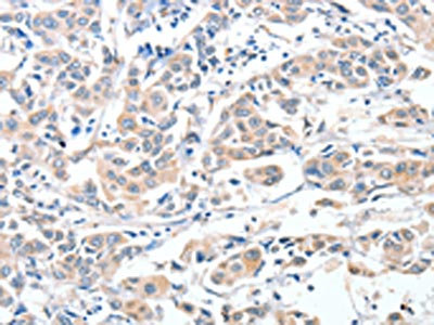
The image on the left is immunohistochemistry of paraffin-embedded Human thyroid cancer tissue using CSB-PA909378(ADAM10 Antibody) at dilution 1/30, on the right is treated with fusion protein. (Original magnification: ×200)
-
The image on the left is immunohistochemistry of paraffin-embedded Human breast cancer tissue using CSB-PA909378(ADAM10 Antibody) at dilution 1/30, on the right is treated with fusion protein. (Original magnification: ×200)
-
Gel: 8%SDS-PAGE, Lysate: 40 μg, Lane: PC3 cells, Primary antibody: CSB-PA909378(ADAM10 Antibody) at dilution 1/300, Secondary antibody: Goat anti rabbit IgG at 1/8000 dilution, Exposure time: 1 minute
-
-
其他:
產品詳情
-
Uniprot No.:
-
基因名:
-
別名:ADAM10; KUZ; MADM; Disintegrin and metalloproteinase domain-containing protein 10; ADAM 10; CDw156; Kuzbanian protein homolog; Mammalian disintegrin-metalloprotease; CD antigen CD156c
-
宿主:Rabbit
-
反應種屬:Human,Mouse,Rat
-
免疫原:Fusion protein of Human ADAM10
-
免疫原種屬:Homo sapiens (Human)
-
標記方式:Non-conjugated
-
抗體亞型:IgG
-
純化方式:Antigen affinity purification
-
濃度:It differs from different batches. Please contact us to confirm it.
-
保存緩沖液:-20°C, pH7.4 PBS, 0.05% NaN3, 40% Glycerol
-
產品提供形式:Liquid
-
應用范圍:ELISA,WB,IHC
-
推薦稀釋比:
Application Recommended Dilution ELISA 1:1000-1:2000 WB 1:200-1:1000 IHC 1:25-1:100 -
Protocols:
-
儲存條件:Upon receipt, store at -20°C or -80°C. Avoid repeated freeze.
-
貨期:Basically, we can dispatch the products out in 1-3 working days after receiving your orders. Delivery time maybe differs from different purchasing way or location, please kindly consult your local distributors for specific delivery time.
-
用途:For Research Use Only. Not for use in diagnostic or therapeutic procedures.
引用文獻
- Uterine Insulin Sensitivity Defects Induced Embryo Implantation Loss Associated with Mitochondrial Dysfunction-Triggered Oxidative Stress Meixia Chen,Oxidative medicine and cellular longevity,2021
相關產品
靶點詳情
-
功能:Cleaves the membrane-bound precursor of TNF-alpha at '76-Ala-|-Val-77' to its mature soluble form. Responsible for the proteolytical release of soluble JAM3 from endothelial cells surface. Responsible for the proteolytic release of several other cell-surface proteins, including heparin-binding epidermal growth-like factor, ephrin-A2, CD44, CDH2 and for constitutive and regulated alpha-secretase cleavage of amyloid precursor protein (APP). Contributes to the normal cleavage of the cellular prion protein. Involved in the cleavage of the adhesion molecule L1 at the cell surface and in released membrane vesicles, suggesting a vesicle-based protease activity. Controls also the proteolytic processing of Notch and mediates lateral inhibition during neurogenesis. Responsible for the FasL ectodomain shedding and for the generation of the remnant ADAM10-processed FasL (FasL APL) transmembrane form. Also cleaves the ectodomain of the integral membrane proteins CORIN and ITM2B. Mediates the proteolytic cleavage of LAG3, leading to release the secreted form of LAG3. Mediates the proteolytic cleavage of IL6R and IL11RA, leading to the release of secreted forms of IL6R and IL11RA. Enhances the cleavage of CHL1 by BACE1. Cleaves NRCAM. Cleaves TREM2, resulting in shedding of the TREM2 ectodomain. Involved in the development and maturation of glomerular and coronary vasculature. During development of the cochlear organ of Corti, promotes pillar cell separation by forming a ternary complex with CADH1 and EPHA4 and cleaving CADH1 at adherens junctions. May regulate the EFNA5-EPHA3 signaling.; (Microbial infection) Promotes the cytotoxic activity of S.aureus hly by binding to the toxin at zonula adherens and promoting formation of toxin pores.
-
基因功能參考文獻:
- SNHG20 could function as an oncogenic long non-coding RNA by regulating miR-140-5p-ADAM10 axis and MEK/ERK signaling pathway in cervical cancer. PMID: 29604594
- restoration of ADAM10 expression partially reversed the effects of miR152 on cell proliferation and apoptosis in rheumatoid arthritisfibroblastlike synoviocytes. PMID: 29693139
- Mechanisms underlying ADAM10 downregulation by miR-140-5p and suggests that dysfunctional regulation of ADAM10 expression is exacerbated by AD-related neurotoxic effects. PMID: 29253717
- elevated expression of ADAM10 was associated with the pathogenesis and development of immune thrombocytopenia PMID: 29223855
- Report overexpression of ADAM10 in oral squamous cell carcinomas, especially in OSCC with metastasis. PMID: 29895129
- High ADAM10 expression is associated with meningococcal purpura fulminans. PMID: 29630665
- The findings of the present study suggested that miR320a may function as a tumor suppressor in GC progression and potential therapeutic strategies for GC may be based on the miR320a/ADAM10 axis. PMID: 29152656
- Insulin-like growth factor-1 activates different catalytic subunits p110 of PI3K in a cell-type-dependent manner to induce lipogenesis-dependent epithelial-mesenchymal transition through the regulation of ADAM10 and ADAM17. PMID: 28819788
- mechanistic experiments revealed that ADAM10-RNAi resulted in an increase in E-cadherin and a decrease in N-cadherin and vimentin expression. Our study implies that high expression of ADAM10 promotes the proliferation and migration of hypopharyngeal squamous cell carcinoma (HSCC). These findings may help to provide a method for treatment of HSCC PMID: 28656294
- Notch is ligand activated and undergoes DTX4-mediated ubiquitylation and bilateral endocytosis before ADAM10 processing PMID: 28611181
- therapies against ADAM10 and ADAM17 may promote cancer stem cell migration away from the tumourigenic niche resulting in a differentiated phenotype that is more susceptible to treatment. PMID: 27541285
- Presence of anti-ADAM10 auto-Antibodies seems to reflect the increased tumor expression of the immunogenic immature-ADAM10 in a group of Colorectal cancer patients, and is associated with a favourable prognosis in patients at stage III of the disease. PMID: 27517630
- ADAM10 and ADAM17 are the best characterized members of the ADAM (A Disintegrin and Metalloproteinase) - family of transmembrane proteases. Both are involved diverse physiological and pathophysiological processes.For ADAM17 phosphatidylserine exposure is required to then induce its shedding function. PMID: 28624437
- A better understanding of the regulatory mechanisms controlling the expression, subcellular localization and activity of ADAM10 will likely uncover suitable drug targets which will allow a more specific and fine-tuned modulation of its proteolytic activity PMID: 28624438
- In the present study, the authors show that deletion of a triple serine (3S) motif (Ser-359 to Ser-361) adjacent to the cleavage site is sufficient to prevent IL-6R cleavage by ADAM17, but not ADAM10. We find that the impaired shedding is caused by the reduced distance between the cleavage site and the plasma membrane. PMID: 27151651
- Here, I review some of the proposed functions of ADAM10 associated with intestinal crypt homeostasis and tumorigenesis within the gastrointestinal tract in vivo. PMID: 28739265
- Study reports the structure of the ADAM10 ectodomain, providing fundamental insights into how substrate selectivity and regulation of catalytic activity is achieved in this important representative of the ADAM family of metalloproteases. PMID: 29224781
- Data suggest that ADAM10 associates directly with all members of a subgroup of tetraspanins having eight cysteines in the large extracellular domain ('TspanC8'): Tspan5, Tspan10, Tspan14, Tspan15, Tspan17, and Tspan33. [REVIEW] PMID: 28687716
- Results found ADAM10 expression under the regulation of MIR-655 which binds the 3'-UTR of ADAM10 mediating the progression of hepatocellular carcinoma. PMID: 27259866
- Data suggest that activation of the metalloproteinase ADAM10 by signal peptide peptidase-like 3 (SPPL3) triggered by mutant BRAF(V600E) was a critical transformation event. PMID: 28292959
- The ADAM17 messenger RNA (mRNA) and protein levels were significantly higher in the inferior turbinate than in nasal polyps (p < 0.05). The ADAM10 mRNA and protein levels did not differ significantly between NPs and inferior turbinates (p > 0.05). ADAM10 and ADAM17 were expressed primarily in inflammatory cells, submucosal glandular cells, and lining epithelial cells. PMID: 27012683
- study confirms the importance of ICOSL shedding in ICOS/ICOSL function and expression and it identifies ADAM10 as the most important sheddase for controlling ICOSL levels PMID: 28814605
- Inhibition of ADAM10 suppressed the expansion of NK cells and reduced the expression of CD16. PMID: 28982863
- Platelet ADAM10 protein expression in patients with AD [Alzheimer's Disease] was positively influenced by serotoninergic medication PMID: 26555131
- Tspan3 is a central endocytic membrane component regulating the expression of ADAM10, presenilin and the amyloid precursor protein. PMID: 27818272
- Endothelial Tspan5- and Tspan17-ADAM10 complexes may regulate inflammation by maintaining normal VE-cadherin expression and promoting T lymphocyte transmigration. PMID: 28600292
- Regulation of ADAM10 by the TspanC8 subgroup of tetraspanins, namely Tspan5, 10, 14, 15, 17 and 33 is reviewed. PMID: 28620033
- active ADAM10 form marks cancer stem-like cells with active Notch signaling, known to mediate chemoresistance. PMID: 27503072
- Data show that tetraspanin 33 (tspan33) is an early activation marker, and that disintegrin and metalloproteinase domain-containing protein 10 (ADAM10) protein expression does not correlate with Tspan33 expression in B cells. PMID: 28449222
- High ADAM10 expression is associated with metastasis of hepatocellular carcinoma. PMID: 28184920
- The dysregulation of ADAM10, Fas and FasL could be useful indicators of the progression and severity of OSCC. PMID: 27628319
- 1,25D3 causes ectodomain shedding of TLR4 and thereby decreases the responsiveness of cells to LPS. ADAM10, activated by extracellular Ca2+ influx, was implicated in the ectodomain cleavage of TLR4. PMID: 28427048
- The overexpression of MTERF4 induced a significant increase in the levels of APP protein and secreted Abeta 42 in HEK293-APPswe cells compared with control cells these results suggest that MTERF4 promotes the amyloidogenic processing of APP by inhibiting ADAM10 in HEK293-APPswe cells; therefore, MTERF4 may play an important role in the pathogenesis of Alzheimer's disease. PMID: 27894840
- Pre-incubation with simvastatin prior to treatment with IL-1beta + Oncostatin M decreased the level of CD44 fragmentation, decreased the proportion of CD44 that transits into the lipid raft fractions, decreased ADAM10 activity and diminished the interaction between CD44 and ADAM10. PMID: 27242325
- ADAM17 and ADAM10 cleave Nectin-4 and release soluble Nectin-4 (sN4). PMID: 28232483
- Data show that mononuclear leukocytes (PBMC) AXL receptor tyrosine kinase (Axl) is rescued by combined matrix metalloproteases ADAM10 and TACE (ADAM17) inhibition. PMID: 27237127
- we found that ADAM10 expression was associated with a more rapid metastatic progression confirming its role in uveal melanoma metastasis. PMID: 27546281
- the TLR4/Gal-1 signaling pathway regulates lactate-mediated EMT processes through the activation of ADAM10 and ADAM17 in colon cancer cells. PMID: 27837433
- Studies demonstrate a role for ADAM10 in the ectodomain shedding of LRP1 in the brain and the clearance of Abeta across the blood-brain barrier, which may provide a novel strategy for attenuating Abeta accumulation in the AD brain PMID: 27503326
- In response to trastuzumab, both HER3 and the metalloprotease ADAM10 are simultaneously upregulated. The proteolytic activity of the latter then releases the HER3 ligand heregulin from the cell surface to activate HER3 and confer resistance to trastuzumab by inducing compensatory growth factor receptor signaling. PMID: 26863569
- Active ADAM10 promotes the carcinogenesis, invasion, metastasis and proliferation of ESCC and controls invasion and metastasis at least in part through the shedding of E-cadherin activity. PMID: 26986985
- We now show that ADAM10 is critical for alpha-hemolysin-mediated activation of the NLRP3 inflammasome in human monocytes as siRNA knockdown or chemical blockade of ADAM10-alpha-hemolysin interaction leads to diminished inflammasome activation and cell death by reducing the available ADAM10 on the cell surface. PMID: 27043625
- ADAM10 was overexpressed in the posterior band of sections from some patients with temporomandibular joint disk disorders. PMID: 26947053
- ADAM10 activity contributes to house dust mite-induced shedding of chemokines, including CCL20 PMID: 26296735
- The results of this study demonistrated that age-dependent increase in ADAM10 levels and activity in platelets. PMID: 26757187
- higher expression levels in the allergic nasal mucosa PMID: 26250527
- The production of ADAM10-positive microvesicles from smoke-exposed neutrophils provides a novel molecular mechanism for the vastly accelerated risk of AAA in smokers. PMID: 26422658
- activated microRNA-494-targets Bmi1 and ADAM10 by silibinin and ablates cancer stemness in head and neck squamous cell carcinomas PMID: 26090866
- These findings indicate that different mechanisms regulate shear- and ligand-induced shedding and shear forces found within the vasculature can regulate ADAM10 activity. PMID: 26840909
- Data suggest that large extracellular loop of Tspan14 mediates interaction with ADAM10, promotes ADAM10 maturation/trafficking to cell surface, and affects ADAM10 substrate specificity; ADAM10/Tspan14 interact in platelets/vascular endothelial cells. PMID: 26668317
顯示更多
收起更多
-
相關疾病:Reticulate acropigmentation of Kitamura (RAK); Alzheimer disease 18 (AD18)
-
亞細胞定位:Cell membrane; Single-pass type I membrane protein. Golgi apparatus membrane; Single-pass type I membrane protein. Cytoplasmic vesicle, clathrin-coated vesicle. Cell projection, axon. Cell projection, dendrite. Cell junction, adherens junction. Cytoplasm.
-
組織特異性:Expressed in the brain (at protein level). Expressed in spleen, lymph node, thymus, peripheral blood leukocyte, bone marrow, cartilage, chondrocytes and fetal liver.
-
數據庫鏈接:
Most popular with customers
-
YWHAB Recombinant Monoclonal Antibody
Applications: ELISA, WB, IHC, IF, FC
Species Reactivity: Human, Mouse, Rat
-
Phospho-YAP1 (S127) Recombinant Monoclonal Antibody
Applications: ELISA, WB, IHC
Species Reactivity: Human
-
-
-
-
-
-















