ACY3 Antibody
-
中文名稱:ACY3兔多克隆抗體
-
貨號:CSB-PA587551
-
規格:¥1100
-
圖片:
-
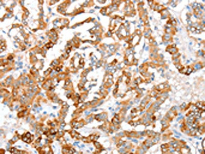
The image on the left is immunohistochemistry of paraffin-embedded Human thyroid cancer tissue using CSB-PA587551(ACY3 Antibody) at dilution 1/35, on the right is treated with fusion protein. (Original magnification: ×200)
-
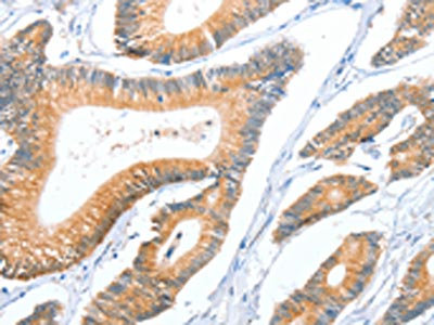
The image on the left is immunohistochemistry of paraffin-embedded Human colon cancer tissue using CSB-PA587551(ACY3 Antibody) at dilution 1/35, on the right is treated with fusion protein. (Original magnification: ×200)
-
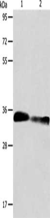
Gel: 10%SDS-PAGE, Lysate: 40 μg, Lane 1-2: Mouse kidney tissue, rat kidney tissue, Primary antibody: CSB-PA587551(ACY3 Antibody) at dilution 1/750, Secondary antibody: Goat anti rabbit IgG at 1/8000 dilution, Exposure time: 10 seconds
-
-
其他:
產品詳情
-
Uniprot No.:
-
基因名:ACY3
-
別名:AA3 antibody; ACY-3 antibody; acy3 antibody; ACY3_HUMAN antibody; Acylase III antibody; Aminoacylase 3 antibody; Aminoacylase III antibody; Aminoacylase-3 antibody; ASPA2 antibody; Aspartoacylase (aminoacylase) 3 antibody; Aspartoacylase 2 antibody; Aspartoacylase-2 antibody; AW107362 antibody; EC 3.5.1.- antibody; EC 3.5.1.15 antibody; HCBP1 antibody; Hepatitis C virus core binding protein 1 antibody; Hepatitis C virus core-binding protein 1 antibody
-
宿主:Rabbit
-
反應種屬:Human,Mouse
-
免疫原:Fusion protein of Human ACY3
-
免疫原種屬:Homo sapiens (Human)
-
標記方式:Non-conjugated
-
抗體亞型:IgG
-
純化方式:Antigen affinity purification
-
濃度:It differs from different batches. Please contact us to confirm it.
-
保存緩沖液:-20°C, pH7.4 PBS, 0.05% NaN3, 40% Glycerol
-
產品提供形式:Liquid
-
應用范圍:ELISA,WB,IHC
-
推薦稀釋比:
Application Recommended Dilution ELISA 1:2000-1:5000 WB 1:500-1:2000 IHC 1:50-1:200 -
Protocols:
-
儲存條件:Upon receipt, store at -20°C or -80°C. Avoid repeated freeze.
-
貨期:Basically, we can dispatch the products out in 1-3 working days after receiving your orders. Delivery time maybe differs from different purchasing way or location, please kindly consult your local distributors for specific delivery time.
-
用途:For Research Use Only. Not for use in diagnostic or therapeutic procedures.
相關產品
靶點詳情
-
功能:Plays an important role in deacetylating mercapturic acids in kidney proximal tubules. Also acts on N-acetyl-aromatic amino acids.
-
基因功能參考文獻:
- Suggest that ACY3 is an HCV core binding protein, which may play a role in the development of HCV-associated diseases. PMID: 19486448
-
亞細胞定位:Apical cell membrane; Peripheral membrane protein. Cytoplasm. Note=Predominantly localized in the apical membrane of cells in the S1 segment. In the proximal straight tubules (S2 and S3 segments) is expressed diffusely throughout the cytoplasm.
-
蛋白家族:AspA/AstE family, Aspartoacylase subfamily
-
數據庫鏈接:
Most popular with customers
-
-
YWHAB Recombinant Monoclonal Antibody
Applications: ELISA, WB, IHC, IF, FC
Species Reactivity: Human, Mouse, Rat
-
Phospho-YAP1 (S127) Recombinant Monoclonal Antibody
Applications: ELISA, WB, IHC
Species Reactivity: Human
-
-
-
-
-















