ACTN1 Antibody
-
中文名稱:ACTN1兔多克隆抗體
-
貨號:CSB-PA906019
-
規格:¥1100
-
圖片:
-
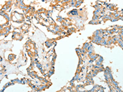
The image on the left is immunohistochemistry of paraffin-embedded Human thyroid cancer tissue using CSB-PA906019(ACTN1 Antibody) at dilution 1/10, on the right is treated with fusion protein. (Original magnification: ×200)
-
The image on the left is immunohistochemistry of paraffin-embedded Human colon cancer tissue using CSB-PA906019(ACTN1 Antibody) at dilution 1/10, on the right is treated with fusion protein. (Original magnification: ×200)
-
-
其他:
產品詳情
-
Uniprot No.:
-
基因名:
-
別名:actinin 1 smooth muscle antibody; Actinin alpha 1 antibody; actinin; alpha 1 antibody; ACTN 1 antibody; Actn1 antibody; ACTN1_HUMAN antibody; Alpha Actinin 1 antibody; Alpha actinin cytoskeletal isoform antibody; Alpha-actinin cytoskeletal isoform antibody; Alpha-actinin-1 antibody; BDPLT15 antibody; F actin cross linking protein antibody; F-actin cross-linking protein antibody; FLJ40884 antibody; FLJ54432 antibody; Non muscle alpha actinin 1 antibody; Non-muscle alpha-actinin-1 antibody
-
宿主:Rabbit
-
反應種屬:Human,Mouse,Rat
-
免疫原:Fusion protein of Human ACTN1
-
免疫原種屬:Homo sapiens (Human)
-
標記方式:Non-conjugated
-
抗體亞型:IgG
-
純化方式:Antigen affinity purification
-
濃度:It differs from different batches. Please contact us to confirm it.
-
保存緩沖液:-20°C, pH7.4 PBS, 0.05% NaN3, 40% Glycerol
-
產品提供形式:Liquid
-
應用范圍:ELISA,IHC
-
推薦稀釋比:
Application Recommended Dilution ELISA 1:1000-1:2000 IHC 1:15-1:50 -
Protocols:
-
儲存條件:Upon receipt, store at -20°C or -80°C. Avoid repeated freeze.
-
貨期:Basically, we can dispatch the products out in 1-3 working days after receiving your orders. Delivery time maybe differs from different purchasing way or location, please kindly consult your local distributors for specific delivery time.
-
用途:For Research Use Only. Not for use in diagnostic or therapeutic procedures.
相關產品
靶點詳情
-
功能:F-actin cross-linking protein which is thought to anchor actin to a variety of intracellular structures. This is a bundling protein.
-
基因功能參考文獻:
- these results indicate that increased alpha-actinin-1 expression destabilizes E-cadherin-based adhesions, which is likely to promote the migratory potential of breast cancer cells. Furthermore, our results identify a-actinin-1 as a candidate prognostic biomarker in basal-like breast cancer. PMID: 29742177
- provide a structural model of regulation of the actin crosslinking activity of alpha-actinin-1 where calcium induced structural stabilisation causes fastening of the juxtaposed actin binding domain, leading to impaired capacity to crosslink actin PMID: 27272015
- our 11 patients with macrothrombocytopenia related to ACTN1 mutation are characterized by an isolated autosomal dominant mild thrombocytopenia, with low bleeding tendency. PMID: 28562514
- Calcium modulates calmodulin-ACTN1 interaction with and agonist-dependent internalization of the adenosine A2A receptor. PMID: 28130124
- Actinin-1 binds to the C-terminus of A2B adenosine receptor (A2BAR) and enhances A2BAR cell-surface expression PMID: 27208173
- This suggests that a precise dosage of PC2 is necessary for an adequate mechanosensitive alpha-actinin recruitment at junctions. PMID: 27575580
- The present study identified a de novo mutation in ACTA1 (c.350A>G; p.Asn117Ser) in a Chinese patient using targetcapture sequencing of a panel containing 125 known causal genes for inherited muscle diseases. PMID: 27357517
- Drp1 is in dynamic equilibrium on mitochondria in a fission-independent manner, and that fission factors such as actin filaments target productive oligomerization to fission sites. PMID: 26609810
- Host cortactin, PKD1 and actin are recruited by Trypanosoma cruzi extracellular amastigotes based on experiments in fixed and live cells by time lapse confocal microscopy. PMID: 26096820
- The authors show that the microtubule binding protein EB1 (end-binding protein 1), a key regulator of microtubule dynamics, can bind directly to filamentous actin (F-actin) F-actin. PMID: 26854759
- Several dominantly inherited congenital macrothrombocytopenia-associated mutations that are located within the actinin-1 actin-binding domain cause increased binding of actinin-1 to actin filaments and enhance filament bundling in vitro. PMID: 26879394
- Data indicate that alpha-actinin (110 kDa) autoantibody was characterized as a major target in lupus nephritis (LN) patients positive for Anti-membrane autoantibodies (MbA). PMID: 26071203
- ACTN1 determines the motility of keratinocytes by regulating the organization of the actin cytoskeleton, focal adhesion, and hemidesmosome proteins complexes, thereby modulating cell speed, lamellipodial dynamics, and directed migration PMID: 25431851
- ArgBP2 interaction with alpha-actinin and actin stress fibers inhibits cell migration PMID: 25429109
- ACTN1-related thrombocytopenia is characterized by mild course with platelet macrocytosis and low risk for bleeding. PMID: 25361813
- A missense mutation in the alpha-actinin 1 gene (ACTN1) is the cause of autosomal dominant macrothrombocytopenia in a large French family. PMID: 24069336
- The C-terminal polybasic region of CYTH2 participates in interacting directly with the EFh2 domain of ACTN1. PMID: 22659138
- Loss of dorsal stress fibers either by depleting alpha-actinin-1 or Rac1 results in a beta-actin accumulation at the leading edge in migrating and spreading cells. PMID: 23132927
- Actinin-alpha1 readily forms heterodimers composed of monomers that may have different properties and interacting proteins, altering our view of non-muscle actinin, thus altering our view of non-muscle actinin function. PMID: 23557398
- Transduction of mouse fetal liver-derived megakaryocytes with disease-associated ACTN1 variants caused a disorganized actin-based cytoskeleton in megakaryocytes. PMID: 23434115
- Alpha actinin 1, a cytoskeleton protein implicated in inflammatory/degenerative autoimmune diseases, might be regarded as a novel multiple sclerosis autoantigen. PMID: 23139387
- We conclude that alpha-actinin stabilizes Ca(V)1.2 at the plasma membrane and that its displacement by calcium-calmodulin triggers calcium-induced endocytosis of Ca(V)1.2, thus providing an important negative feedback mechanism for calcium influx. PMID: 23664615
- The alpha-actinin/EWI motif-containing protein 2 (EWI-2) complex is involved in regulation of the actin cytoskeleton at T cell immune and virological synapses, providing a link between membrane microdomains and structures involved in T cell recognition. PMID: 22689882
- Actinin-1 and cortactin showed matrix-contact-side localization in adenocarcinoma cells. PMID: 21474972
- Identification of a 31 kD amino-terminal fragment of alpha-actinin protein, named mactinin, that promotes monocyte/macrophage maturation in vitro. PMID: 10029173
- Mactinin is a novel inducer of Hsp90 activity on monocytes and may serve to perpetuate and augment monocytic activation. PMID: 19715605
- cathepsin X overexpression reduced LFA-1 clustering and induced an intermediate affinity LFA-1 conformation that is known to associate with alpha-actinin-1. PMID: 19750481
- the focal adhesion component alpha-actinin interacts with syndecan-4 in a beta-integrin-independent manner PMID: 12493766
- an alpha-actinin-dependent association between the actin cytoskeleton and A2AR trafficking PMID: 12837758
- the dynamics of alpha-actinin are important for PI 3-kinase-induced reorganization of the actin cytoskeleton PMID: 15710624
- GluR4 may regulate its synaptic targeting through phosphorylation-dependent interactions with alpha-Actinin-1 and IQGAP1 PMID: 16190873
- S1P-induced recruitment of S1P1 to CEM fractions promotes PI3 kinase-mediated Tiam1/Rac1 activation required for alpha-actinin-1/4-regulated cortical actin rearrangement and EC barrier enhancement PMID: 16195373
- Alpha-actinin plays a role in regulating cell survival through stabilization of focal adhesions and regulation of TNF-alpha-induced survival signaling. PMID: 16807302
- Results show that the interaction between ICAM-5 and alpha-actinin is mediated through binding of positively charged amino acids near the transmembrane domain of ICAM-5, and this interaction may play an important role in neuronal differentiation. PMID: 16820411
- Interaction of alpha 1 actinin with ICAM-1 is required for leukocyte extravasation. PMID: 16951376
- Molecular dynamics method was applied to investigate the mechanical behaviour of the human skeletal muscle alpha-actinin. PMID: 17115122
- there is an alpha-actinin-1-dependent mGlu(5b) receptor association with the actin cytoskeleton modulating receptor cell surface expression and functioning PMID: 17311919
- ACT1 is de-expressed in endometriosis and endometrioid carcinoma compared with normal uterine epithelium. PMID: 17525629
- Alpha-actinin-1 phosphorylation at Y12 plays a crucial role in pressure-activated cell adhesion and mechanotransduction by facilitating Src recruitment to beta(1)-integrin, and consequently the association of focal adhesion kinase with Src. PMID: 17898132
- Taken together, alpha-actinin not only attaches TRPP3 to the cytoskeleton but also up-regulates TRPP3 channel function. PMID: 17944866
- study examines the mechanism by which phosphoinositide binding regulates alpha-actinin function PMID: 17965186
- A subset of the tumor-specific splicing alterations (ACTN1, CALD1, and VCL) was found in all three organs and may represent general cancer-related splicing events. PMID: 18353764
- alpha-actinin-1 may play a role in human glomerular disease PMID: 18408146
- two sm-titin Zq domains interact with each other and with the two R2-R3 sites in the alpha-actinin central rod PMID: 18519573
- interaction of GNE with alpha-actinin 1 might point to its involvement in alpha-actinin mediated processes PMID: 18560563
- ICAM-2 mediates suppression of metastatic phenotype and the interaction of ICAM-2/alpha-actinin/actin represents the first complete membrane-linker protein-actin linkage to impact tumor cell motility in vitro and metastatic potential in an in vivo model. PMID: 18978946
- Data describe alterations of myocardial intercellular and cell-matrix contacts in hypertrophic tissue, and show intracellular translocation of beta-catenin, alpha-actinin and chondroitin sulfate proteoglycan 6 in both an animal model and in LVH patients. PMID: 19094982
顯示更多
收起更多
-
相關疾病:Bleeding disorder, platelet-type 15 (BDPLT15)
-
亞細胞定位:Cytoplasm, cytoskeleton. Cytoplasm, myofibril, sarcomere, Z line. Cell membrane. Cell junction. Cell projection, ruffle.
-
蛋白家族:Alpha-actinin family
-
數據庫鏈接:
Most popular with customers
-
-
YWHAB Recombinant Monoclonal Antibody
Applications: ELISA, WB, IHC, IF, FC
Species Reactivity: Human, Mouse, Rat
-
Phospho-YAP1 (S127) Recombinant Monoclonal Antibody
Applications: ELISA, WB, IHC
Species Reactivity: Human
-
-
-
-
-















